Ropień na dziąśle u dziecka - objawy, leczenie, kiedy na SOR?
29 stycznia 2026
Ropień na dziąśle u dziecka - pilny problem! Poznaj objawy alarmowe, przyczyny i leczenie. Dowiedz się, kiedy do dentysty, a kiedy na SOR.
29 stycznia 2026
Ropień na dziąśle u dziecka - pilny problem! Poznaj objawy alarmowe, przyczyny i leczenie. Dowiedz się, kiedy do dentysty, a kiedy na SOR.
Przerost dziąseł - poznaj przyczyny, objawy i leczenie. Dowiedz się, kiedy to niegroźne, a kiedy pilnie szukać pomocy. Sprawdź, kiedy reagować!
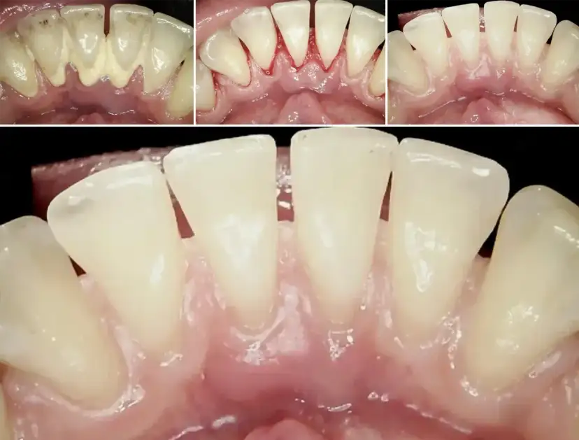
Czy krwawienie dziąseł to normalne? Poznaj objawy zapalenia dziąseł, dowiedz się, kiedy iść do dentysty oraz jak skutecznie leczyć i zapobiegać.
Ból dziąsła z tyłu? Dowiedz się, czy to ósemka, stan zapalny czy infekcja. Poznaj objawy alarmowe i sprawdź, jak skutecznie złagodzić ból. Przeczytaj!
Czy ból dziąsła na końcu szczęki to ósemka? Poznaj przyczyny, objawy alarmowe i doraźne sposoby ulgi. Sprawdź, kiedy pilnie do dentysty!
Zapalenie dziąseł - objawy, przyczyny, leczenie. Nie ignoruj krwawienia! Dowiedz się, jak zapobiegać i kiedy pilnie iść do dentysty.
Ból dziąsła przy zębie - co oznacza? Poznaj przyczyny, objawy alarmowe i dowiedz się, kiedy pilnie iść do dentysty. Sprawdź, jak sobie pomóc.
Masz krwawiące dziąsła? Dowiedz się, jak rozpoznać i leczyć infekcję dziąsła, by uniknąć poważnych chorób przyzębia. Sprawdź praktyczne porady ekspertów!
Wirusowe zapalenie dziąseł - poznaj objawy, przyczyny i skuteczne leczenie. Dowiedz się, kiedy pilnie zgłosić się do lekarza i jak sobie pomóc w domu.