Nadwrażliwość dziąseł to często sygnał ostrzegawczy, a nie samodzielna choroba. Zazwyczaj wskazuje na podrażnienie, stan zapalny lub recesję dziąseł, które wymagają naszej uwagi. Zrozumienie przyczyn, rozpoznanie objawów i podjęcie skutecznych działań – zarówno w domu, jak i w gabinecie stomatologicznym – jest kluczowe dla zachowania zdrowia jamy ustnej. Ten artykuł pomoże Ci w pełni zrozumieć ten problem i podjąć odpowiednie kroki.
Nadwrażliwość dziąseł – sygnał, który wymaga uwagi i konkretnych działań
- Nadwrażliwość dziąseł to najczęściej objaw podrażnienia, zapalenia lub recesji, a nie odrębna choroba.
- Typowe sygnały to tkliwość, pieczenie, zaczerwienienie, obrzęk oraz krwawienie podczas szczotkowania.
- Główne przyczyny obejmują płytkę nazębną, zapalenie dziąseł, agresywne szczotkowanie i zmiany hormonalne.
- Diagnostyka u dentysty jest kluczowa do rozróżnienia od próchnicy czy zapalenia miazgi.
- Leczenie koncentruje się na eliminacji przyczyn, profesjonalnej higienizacji i stosowaniu preparatów odczulających.
- W domu pomogą miękka szczoteczka, delikatna technika i unikanie drażniących produktów.
Czym jest nadwrażliwość dziąseł i dlaczego to częsty sygnał problemu z przyzębiem
Nadwrażliwość dziąseł to stan, w którym tkanki otaczające zęby reagują bólem, dyskomfortem lub pieczeniem na różne bodźce. Ważne jest, aby zrozumieć, że nie jest to choroba sama w sobie, lecz symptom, który wskazuje na istnienie głębszego problemu. Najczęściej nadwrażliwość dziąseł jest związana z zapaleniem dziąseł (gingivitis), recesją dziąseł lub po prostu mechanicznym czy chemicznym podrażnieniem tkanek.
Kiedy dziąsła są w stanie zapalnym, stają się bardziej tkliwe, zaczerwienione i skłonne do krwawień, co prowadzi do odczuwania dyskomfortu. Recesja dziąseł, czyli ich cofanie się, odsłania wrażliwe szyjki zębowe i korzenie, które nie są chronione szkliwem. W efekcie nerwy w zębinie stają się bardziej narażone na bodźce zewnętrzne, takie jak zimno, ciepło czy dotyk, co objawia się bólem. Podrażnienia mechaniczne, na przykład zbyt agresywne szczotkowanie, również mogą uszkodzić delikatną tkankę dziąseł, wywołując ból i nadwrażliwość. Zatem, nadwrażliwość dziąseł to zazwyczaj alarm ze strony naszego organizmu, który domaga się uwagi i interwencji.
Jakie objawy daje nadwrażliwość dziąseł
Rozpoznanie nadwrażliwości dziąseł jest kluczowe, aby móc podjąć odpowiednie kroki. Objawy mogą być różnorodne, od łagodnego dyskomfortu po ostry ból, a ich charakter często wskazuje na przyczynę problemu.
Objawy miejscowe, które pacjent zauważa na co dzień
- Ból lub tkliwość przy dotyku: Dziąsła mogą boleć podczas szczotkowania, nitkowania, jedzenia, a nawet przy lekkim nacisku palcem.
- Pieczenie: Często odczuwalne jako nieprzyjemne uczucie pieczenia wzdłuż linii dziąseł.
- Swędzenie: Nietypowe, ale możliwe uczucie swędzenia dziąseł, które może być irytujące.
- Zaczerwienienie: Dziąsła stają się intensywnie czerwone, zamiast zdrowego, bladoróżowego koloru.
- Obrzęk: Dziąsła mogą być spuchnięte, wyglądają na powiększone i mogą częściowo zakrywać zęby.
- Krwawienie podczas szczotkowania lub nitkowania: To jeden z najbardziej klasycznych sygnałów zapalenia dziąseł, który nie powinien być ignorowany.
Objawy, które mogą sugerować chorobę przyzębia
Powyższe objawy mogą eskalować i współwystępować z innymi, bardziej niepokojącymi sygnałami, które świadczą o zaawansowanej chorobie przyzębia:
- Nieświeży oddech (halitoza): Utrzymujący się nieprzyjemny zapach z ust, często spowodowany bakteriami gromadzącymi się w kieszonkach dziąsłowych.
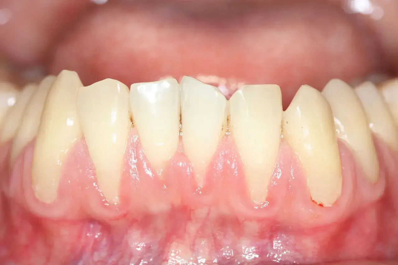
- Cofanie się dziąseł (recesja): Widoczne odsłonięcie korzeni zębów, sprawiające, że zęby wydają się dłuższe.
- Odsłonięte szyjki zębowe: Bezpośredni skutek recesji, prowadzący do zwiększonej wrażliwości.
- Ból przy jedzeniu: Zwłaszcza twardych lub gorących pokarmów, spowodowany odsłoniętymi korzeniami lub stanem zapalnym.
- Wrażliwość na bodźce termiczne (zimno, ciepło) i chemiczne (słodkie, kwaśne): To typowy objaw odsłoniętej zębiny, która reaguje na zmiany temperatury i składu chemicznego pokarmów.
Najczęstsze przyczyny nadwrażliwych dziąseł
Zrozumienie przyczyn nadwrażliwości dziąseł jest pierwszym krokiem do skutecznego leczenia i zapobiegania. Problemy te rzadko pojawiają się bez powodu.
Zapalenie dziąseł i choroby przyzębia
Najczęstszą przyczyną nadwrażliwości dziąseł jest nagromadzenie płytki nazębnej – lepkiej warstwy bakterii, która osadza się na zębach. Jeśli płytka nie jest regularnie usuwana, twardnieje, tworząc kamień nazębny. Zarówno płytka, jak i kamień drażnią dziąsła, prowadząc do ich zapalenia, czyli gingivitis. Objawia się ono zaczerwienieniem, obrzękiem i krwawieniem. Nieleczone zapalenie dziąseł może przekształcić się w periodontitis – poważniejszą chorobę, w której dochodzi do postępującego uszkodzenia tkanek podtrzymujących zęby, a nawet utraty kości, co w konsekwencji prowadzi do zwiększonej wrażliwości i ruchomości zębów.
Recesja dziąseł i odsłonięcie korzeni zębów
Recesja dziąseł to proces, w którym brzeg dziąsła cofa się, odsłaniając powierzchnię korzenia zęba. Powierzchnia korzenia, w przeciwieństwie do korony zęba, nie jest pokryta szkliwem, lecz zębiną, która zawiera tysiące drobnych kanalików prowadzących do miazgi (nerwu zęba). Kiedy zębina jest odsłonięta, te kanaliki stają się bramą dla bodźców zewnętrznych (zimno, ciepło, dotyk), wywołując ból. Recesja może być spowodowana wieloma czynnikami, a w zaawansowanych przypadkach wymaga oceny periodontologicznej i specjalistycznego leczenia, takiego jak przeszczep dziąsła.
Zbyt mocne szczotkowanie i drażniące produkty do higieny
Paradoksalnie, nadmierna dbałość o higienę może szkodzić. Agresywne szczotkowanie zębów, zwłaszcza z użyciem twardej szczoteczki i silnego nacisku, może fizycznie uszkodzić delikatne tkanki dziąseł, prowadząc do ich podrażnienia, krwawienia, a nawet recesji. Podobnie, niektóre produkty do higieny jamy ustnej, takie jak wybielające lub silnie ścierne pasty do zębów, mogą uszkadzać szkliwo i podrażniać dziąsła. Płukanki do ust zawierające alkohol również mogą wysuszać i drażnić błonę śluzową, zwiększając wrażliwość. Według danych Cleveland Clinic, zbyt agresywne szczotkowanie jest jedną z głównych przyczyn recesji dziąseł.
Bruksizm, protezy, aparaty i inne czynniki mechaniczne
Nie tylko szczotkowanie może być przyczyną mechanicznych podrażnień. Zaciskanie i zgrzytanie zębami (bruksizm) wywiera nadmierny nacisk na zęby i dziąsła, prowadząc do ich przeciążenia i uszkodzenia. Źle dopasowane uzupełnienia protetyczne, takie jak protezy, korony czy mosty, mogą nieustannie ocierać się o dziąsła, powodując przewlekłe podrażnienia, rany i stany zapalne. Aparaty ortodontyczne, zwłaszcza na początku leczenia, również mogą powodować dyskomfort i tkliwość dziąseł, choć zazwyczaj jest to stan przejściowy.
Hormony, suchość jamy ustnej i niedobory
Zmiany hormonalne mają znaczący wpływ na zdrowie dziąseł. Kobiety mogą doświadczać zwiększonej wrażliwości i krwawienia dziąseł w okresie ciąży, menopauzy, a także podczas cyklu menstruacyjnego, ze względu na wahania poziomu hormonów. Suchość jamy ustnej (kserostomia), spowodowana przyjmowaniem niektórych leków (np. antydepresantów, leków na ciśnienie) lub chorobami ogólnoustrojowymi (np. zespołem Sjögrena), zmniejsza produkcję śliny, która naturalnie chroni zęby i dziąsła. Brak śliny sprzyja rozwojowi bakterii i podrażnieniom. Ponadto, niedobory niektórych witamin i minerałów, zwłaszcza witaminy C i D, mogą osłabiać odporność dziąseł i zwiększać ich podatność na stany zapalne.
Czym nadwrażliwość dziąseł różni się od nadwrażliwości zębów
Choć objawy mogą być podobne, istnieje kluczowa różnica między nadwrażliwością dziąseł a nadwrażliwością zębów. Nadwrażliwość dziąseł odnosi się do bólu lub dyskomfortu odczuwanego w samej tkance dziąsłowej, często związanego z zapaleniem, obrzękiem, krwawieniem lub recesją. Ból pochodzi bezpośrednio z podrażnionych lub uszkodzonych dziąseł.
Z kolei nadwrażliwość zębów (zwana też nadwrażliwością zębiny) to ostry, krótkotrwały ból zęba, pojawiający się w odpowiedzi na bodźce termiczne (zimno, ciepło), chemiczne (słodkie, kwaśne) lub mechaniczne (dotyk). Ten rodzaj bólu wynika z odsłonięcia zębiny – warstwy zęba pod szkliwem – która zawiera kanaliki prowadzące do nerwów. Odsłonięcie zębiny może być spowodowane recesją dziąseł (co łączy oba problemy), erozją szkliwa, próchnicą, pęknięciami zębów czy nadmiernym ścieraniem. Ważne jest, aby nie zakładać jednego źródła bólu bez profesjonalnej diagnostyki, ponieważ objawy mogą się nakładać, a przyczyny bywają złożone.
Jak dentysta rozpoznaje przyczynę problemu
Dokładna diagnostyka w gabinecie stomatologicznym jest niezbędna do ustalenia prawdziwej przyczyny nadwrażliwości dziąseł i wdrożenia skutecznego leczenia. Dentysta przeprowadza kompleksowe badanie, aby wykluczyć inne schorzenia i zidentyfikować źródło problemu.
Wywiad i badanie jamy ustnej
- Szczegółowy wywiad: Dentysta zapyta o Twoje nawyki higieniczne (jak często i czym szczotkujesz, czy używasz nici dentystycznej), dietę, stosowane pasty i płukanki, występowanie bruksizmu (zgrzytanie zębami), krwawienie dziąseł oraz czas trwania i charakter objawów. Ważne są również informacje o chorobach ogólnoustrojowych i przyjmowanych lekach.
- Wizualne badanie jamy ustnej: Stomatolog oceni ogólny stan dziąseł, ich kolor, kształt, teksturę oraz obecność ewentualnych zmian patologicznych, takich jak owrzodzenia czy guzki.
Ocena dziąseł, kieszonek i złogów nazębnych
- Kontrola płytki i kamienia nazębnego: Dentysta sprawdzi obecność i ilość płytki bakteryjnej oraz kamienia nazębnego, które są głównymi czynnikami drażniącymi.
- Pomiar recesji dziąseł: Za pomocą specjalnego narzędzia (sondy periodontologicznej) zmierzy stopień cofnięcia dziąseł, jeśli występuje.
- Pomiar głębokości kieszonek dziąsłowych: Zwiększona głębokość kieszonek (przestrzeni między zębem a dziąsłem) może wskazywać na zaawansowaną chorobę przyzębia.
- Ocena ruchomości zębów: Sprawdzenie, czy zęby nie są rozchwiane, co jest sygnałem utraty kości.
- Zdjęcia rentgenowskie: Mogą być wykonane w celu oceny stanu kości wokół zębów i wykrycia ewentualnych ubytków kostnych.
Różnicowanie z innymi przyczynami bólu
- Wykluczenie próchnicy: Dentysta dokładnie zbada zęby pod kątem ubytków próchnicowych, które mogą powodować ból podobny do nadwrażliwości.
- Sprawdzenie pod kątem pęknięć zęba: Niewidoczne gołym okiem pęknięcia mogą być źródłem dyskomfortu.
- Wykluczenie zapalenia miazgi: Stan zapalny nerwu zęba (miazgi) może dawać silne dolegliwości bólowe, wymagające leczenia kanałowego.
- Ocena urazów mechanicznych: Sprawdzenie, czy ból nie jest wynikiem niedawnego urazu.
Jak leczy się nadwrażliwość dziąseł
Leczenie nadwrażliwości dziąseł jest zawsze ukierunkowane na eliminację przyczyny problemu. Podejście jest kompleksowe i może obejmować zarówno interwencje w gabinecie, jak i zalecenia dotyczące pielęgnacji domowej.
Leczenie przyczynowe w gabinecie
- Instruktaż higieny jamy ustnej: Kluczowym elementem jest nauka prawidłowej techniki szczotkowania i używania nici dentystycznej/szczoteczek międzyzębowych.
- Scaling (usuwanie kamienia nazębnego): Profesjonalne usunięcie twardych złogów kamienia nazębnego zarówno nad-, jak i poddziąsłowo.
- Root planing (wygładzanie powierzchni korzeni): Procedura polegająca na usunięciu bakterii i toksyn z powierzchni korzeni zębów, co pomaga dziąsłom przylegać do zębów.
- Leczenie zapalenia dziąseł i periodontitis: W zależności od zaawansowania choroby, może być konieczne zastosowanie antybiotyków, płukanek antyseptycznych lub bardziej zaawansowanych zabiegów periodontologicznych.
- Kontrola czynników ryzyka: W przypadku bruksizmu dentysta może zalecić szynę relaksacyjną. Jeśli problemem są źle dopasowane uzupełnienia protetyczne, konieczna będzie ich korekta lub wymiana.
Preparaty zmniejszające nadwrażliwość
- Pasty do zębów z fluorem lub innymi składnikami odczulającymi: Na rynku dostępne są specjalistyczne pasty zawierające składniki takie jak azotan potasu, chlorek strontu, arginina czy związki fluoru, które pomagają zamykać kanaliki zębinowe i zmniejszać wrażliwość. Ich działanie zazwyczaj wymaga kilku tygodni regularnego stosowania.
- Żele i płukanki odczulające: Dentysta może zalecić stosowanie specjalnych żeli lub płukanek z wysokim stężeniem fluoru lub innych substancji, które wzmacniają szkliwo i zębinę.
- Lakowanie odsłoniętych szyjek: W niektórych przypadkach dentysta może zastosować specjalne lakiery lub żywice, które tworzą barierę ochronną na odsłoniętych powierzchniach korzeni.
Leczenie przy większej recesji dziąseł
- Bonding (pokrycie odsłoniętych szyjek materiałem kompozytowym): Estetyczna i funkcjonalna metoda polegająca na pokryciu odsłoniętych powierzchni korzeni zęba materiałem kompozytowym w kolorze zęba, co chroni je przed bodźcami zewnętrznymi.
- Leczenie ortodontyczne: W wybranych przypadkach, gdy recesja jest związana z nieprawidłowym ustawieniem zębów, leczenie ortodontyczne może pomóc w repozycjonowaniu zębów i poprawie warunków dla dziąseł.
- Przeszczep dziąsła: Jeśli recesja jest znaczna i prowadzi do poważnych problemów, periodontolog może wykonać zabieg przeszczepu dziąsła. Polega on na pobraniu niewielkiego fragmentu tkanki dziąsłowej z podniebienia lub innej okolicy i przeszczepieniu go w miejsce ubytku, aby pokryć odsłonięty korzeń. Według NHS, w zaawansowanych przypadkach chorób przyzębia, przeszczepy dziąseł są skuteczną metodą odbudowy utraconych tkanek.
Co można robić w domu, żeby zmniejszyć objawy
Wiele działań, które możesz podjąć w domu, ma kluczowe znaczenie dla złagodzenia objawów nadwrażliwości dziąseł i zapobiegania ich nawrotom. Pamiętaj jednak, że domowe metody są uzupełnieniem, a nie zastępstwem profesjonalnej opieki stomatologicznej.
Delikatna higiena i właściwa szczoteczka
- Szczoteczka z miękkim włosiem: Zawsze wybieraj szczoteczkę z miękkimi lub bardzo miękkimi włóknami, aby uniknąć podrażniania dziąseł i ścierania szkliwa.
- Delikatny nacisk podczas szczotkowania: Szczotkuj zęby okrężnymi ruchami, bez nadmiernego nacisku. Pomyśl o masowaniu dziąseł, a nie szorowaniu.
- Dokładne, ale nieagresywne czyszczenie: Poświęć na szczotkowanie co najmniej dwie minuty, dwa razy dziennie, docierając do wszystkich powierzchni zębów i linii dziąseł.
- Codzienne czyszczenie przestrzeni międzyzębowych: Używaj nici dentystycznej, szczoteczek międzyzębowych lub irygatora, aby usunąć płytkę bakteryjną i resztki jedzenia z miejsc niedostępnych dla szczoteczki. To absolutna podstawa profilaktyki zapalenia dziąseł.
Dieta i nawyki, które pomagają
- Ograniczenie bardzo kwaśnych i pikantnych produktów: Kwaśne napoje (np. soki cytrusowe, napoje gazowane) oraz pikantne potrawy mogą podrażniać wrażliwe dziąsła i nasilać ból.
- Unikanie palenia tytoniu: Palenie jest jednym z największych wrogów zdrowia dziąseł, osłabia ich odporność i utrudnia gojenie.
- Kontrola zgrzytania zębami (bruksizm): Jeśli zgrzytasz zębami, zwłaszcza w nocy, rozważ noszenie szyny relaksacyjnej. Pomoże ona zmniejszyć nacisk na zęby i dziąsła.
Czego lepiej nie robić
- Szorowanie dziąseł: Jak już wspomniałem, agresywne szczotkowanie to prosta droga do uszkodzeń.
- Częste używanie płukanek z alkoholem: Alkohol może wysuszać i podrażniać błonę śluzową, pogarszając stan wrażliwych dziąseł. Wybieraj płukanki bezalkoholowe.
- Samodzielne maskowanie objawów bez wcześniejszej diagnostyki stomatologicznej: Leki przeciwbólowe czy domowe "cudowne" sposoby mogą chwilowo ulżyć, ale nie rozwiążą problemu. Zawsze najpierw skonsultuj się z dentystą, aby poznać przyczynę.
Kiedy nadwrażliwość dziąseł wymaga pilnej wizyty u dentysty
Chociaż wiele przypadków nadwrażliwości dziąseł można opanować za pomocą domowej pielęgnacji i regularnych wizyt kontrolnych, istnieją sytuacje, które wymagają natychmiastowej konsultacji stomatologicznej. Są to tzw. czerwone flagi, których nie wolno ignorować:
- Bardzo bolesne i spuchnięte dziąsła: Jeśli ból jest intensywny i towarzyszy mu znaczny obrzęk, może to wskazywać na ostrą infekcję lub ropień.
- Pojawienie się ropy: Wyciek ropy z dziąseł lub z przestrzeni między zębem a dziąsłem jest sygnałem zaawansowanego stanu zapalnego lub ropnia, wymagającego natychmiastowej interwencji.
- Ruchomość zębów: Jeśli zauważysz, że jeden lub więcej zębów stało się ruchome, jest to bardzo poważny objaw zaawansowanej choroby przyzębia i utraty kości.
- Owrzodzenia, czerwone plamy lub guzki w jamie ustnej: Wszelkie nietypowe zmiany na dziąsłach, które nie goją się w ciągu tygodnia lub dwóch, powinny zostać natychmiast zbadane przez dentystę, aby wykluczyć poważniejsze schorzenia.
- Silny, uporczywy ból, który nie ustępuje: Jeśli ból jest tak silny, że utrudnia jedzenie, mówienie lub sen, i nie reaguje na dostępne bez recepty środki przeciwbólowe, konieczna jest pilna wizyta u specjalisty.
Jak zapobiegać nawrotom i utrzymać zdrowe dziąsła na co dzień
Profilaktyka jest zawsze lepsza niż leczenie. Aby zapobiegać nawrotom nadwrażliwości dziąseł i cieszyć się zdrowym uśmiechem, warto wdrożyć kilka kluczowych nawyków:
- Szczotkowanie zębów dwa razy dziennie: Używaj miękkiej szczoteczki i pasty z fluorem, szczotkując zęby przez co najmniej dwie minuty.
- Codzienne czyszczenie przestrzeni międzyzębowych: Nici dentystyczne, szczoteczki międzyzębowe lub irygator to Twoi sprzymierzeńcy w walce z płytką bakteryjną.
- Regularne kontrole stomatologiczne i profesjonalne higienizacje: Odwiedzaj dentystę co najmniej raz na sześć miesięcy na przegląd i profesjonalne czyszczenie zębów (scaling i piaskowanie).
- Szybkie reagowanie na krwawienie dziąseł: Krwawienie to sygnał alarmowy. Nie ignoruj go, lecz skonsultuj się z dentystą, aby ustalić przyczynę i wdrożyć leczenie.
- Zdrowa dieta i styl życia: Ogranicz cukry, unikaj palenia tytoniu i nadmiernego spożycia alkoholu. Zadbaj o zbilansowaną dietę bogatą w witaminy i minerały.
Najczęstsze pytania o nadwrażliwość dziąseł
Czy dziąsła mogą „odrosnąć”?
Niestety, dziąsła, które uległy recesji, zazwyczaj nie „odrastają” samoistnie. Utracona tkanka dziąsłowa nie regeneruje się w naturalny sposób. Możliwe jest jednak zatrzymanie dalszej recesji poprzez eliminację jej przyczyn (np. zmianę techniki szczotkowania, leczenie bruksizmu) oraz wdrożenie odpowiedniej higieny. W przypadkach znacznej recesji, stomatologia estetyczna i periodontologia oferują rozwiązania takie jak przeszczepy dziąsła, które pozwalają na pokrycie odsłoniętych korzeni i odbudowę linii dziąseł.
Przeczytaj również: Kieszonki dziąsłowe - czy leczenie jest konieczne? Dowiedz się
Ile trwa poprawa po wdrożeniu leczenia?
Czas potrzebny na zauważenie poprawy po wdrożeniu leczenia nadwrażliwości dziąseł może się różnić. W przypadku stosowania past i terapii odczulających, pierwsze efekty często pojawiają się po kilku tygodniach regularnego stosowania, ponieważ składniki aktywne potrzebują czasu na zadziałanie. Jeśli przyczyną jest zapalenie dziąseł, poprawa po profesjonalnej higienizacji i wdrożeniu prawidłowej higieny domowej może być widoczna już po kilku dniach do tygodnia. Natomiast leczenie bardziej zaawansowanych problemów, takich jak periodontitis czy znaczna recesja dziąseł, może wymagać dłuższego czasu i serii zabiegów, a pełna poprawa zależy od indywidualnej reakcji pacjenta i zaawansowania zmian.
