Ząbkowanie - czy to tylko zęby, czy coś więcej?
Ząbkowanie - poznaj typowe i nietypowe objawy. Odróżnij je od infekcji, dowiedz się, kiedy do lekarza i jak bezpiecznie ulżyć dziecku.
Ząbkowanie - poznaj typowe i nietypowe objawy. Odróżnij je od infekcji, dowiedz się, kiedy do lekarza i jak bezpiecznie ulżyć dziecku.
Ząbkowanie - poznaj typowe i nietypowe objawy. Odróżnij je od infekcji, dowiedz się, kiedy do lekarza i jak bezpiecznie ulżyć dziecku.
Boli Cię ząb? Dowiedz się, kiedy wizyta u dentysty jest konieczna. Sprawdź, jak wygląda leczenie, co zabrać do gabinetu i jak pokonać stres. Poznaj fakty!
Znieczulenie miejscowe u dentysty - wszystko, co musisz wiedzieć. Czy boli? Jak długo działa? Poznaj rodzaje, bezpieczeństwo i praktyczne wskazówki.
Czy to ząbkowanie u 3 miesięcznego dziecka? Dowiedz się, jak rozpoznać objawy, bezpiecznie łagodzić ból i kiedy skonsultować się z lekarzem. Sprawdź!
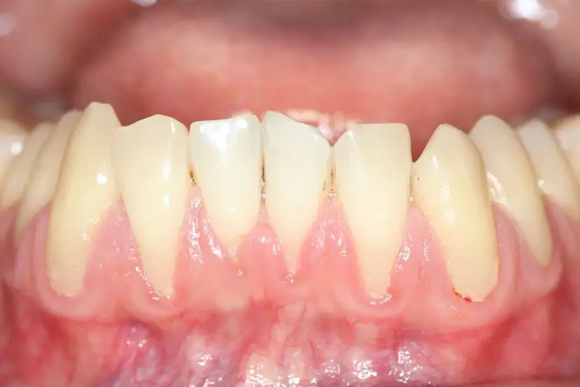
Zrozum płytkę nazębną - jej powstawanie, skutki i różnice z kamieniem. Odkryj skuteczne metody usuwania i zapobiegania dla zdrowego uśmiechu!
Ząbkowanie u niemowlaka – kiedy pierwsze zęby, jak łagodzić ból i dbać o higienę? Sprawdź objawy alarmowe i porady dla rodziców.
Dziecko nie myje zębów? Poznaj przyczyny, skutki i skuteczne metody na wprowadzenie higieny bez walki. Sprawdź, jak dbać o zdrowie jamy ustnej!
Ropne zapalenie dziąseł - poznaj objawy, przyczyny i leczenie. Sprawdź, kiedy pilnie udać się do dentysty i jak zapobiegać nawrotom.
Ropień zęba - objawy, leczenie i pilna pomoc. Dowiedz się, kiedy jest groźny, jak rozpoznać i co robić przed wizytą u dentysty. Sprawdź!
Boli Cię dziąsło? Rozróżnij podrażnienie od zapalenia. Poznaj domowe sposoby na ból dziąseł i dowiedz się, kiedy pilnie szukać pomocy dentysty. Sprawdź!
Bolesna afta na języku? Poznaj przyczyny, domowe sposoby na ulgę i dowiedz się, kiedy wizyta u lekarza jest konieczna. Sprawdź nasz poradnik!
Nie ma magicznej tabletki na kieszonki dziąsłowe. Dowiedz się, co naprawdę działa, kiedy do dentysty i jak zapobiegać nawrotom. Sprawdź poradnik.
Kiedy wymieniać końcówkę szczoteczki sonicznej? Poznaj zasady, oznaki zużycia i jak dobrać nową. Zadbaj o zdrowie jamy ustnej!
Szczoteczka soniczna - obroty czy ruchy? Poznaj mechanizm działania, liczbę ruchów na minutę i porównaj z rotacyjną. Odkryj sekrety higieny!
Martwy ząb - czy zawsze usuwać? Poznaj ryzyko, objawy infekcji i rokowanie. Dowiedz się, ile wytrzyma i kiedy pilna wizyta u dentysty jest kluczowa.
Paradontoza - czy jest zaraźliwa? Rozwiej wątpliwości! Dowiedz się, jak bakterie się przenoszą i co naprawdę wpływa na rozwój choroby. Sprawdź!
Szałwia na dziąsła - czy pomaga? Sprawdź, kiedy przyniesie ulgę, jak ją stosować i kiedy iść do dentysty. Poznaj bezpieczne zasady.
Ostre zapalenie dziąseł - przewodnik. Poznaj objawy, przyczyny i skuteczne leczenie. Sprawdź, kiedy krwawiące dziąsła wymagają pilnej wizyty u dentysty.
Czy objawy u dziecka to bakteryjne zapalenie jamy ustnej? Naucz się odróżniać je od aft i wirusów. Sprawdź, kiedy iść do lekarza i na co uważać.
Czy fluorek sodu jest szkodliwy? Poznaj prawdę o jego bezpieczeństwie, działaniu i dawkowaniu u dzieci i dorosłych. Rozwiej mity i chroń zęby!
Kamień nazębny - dowiedz się, od czego się robi, jakie są objawy i jak skutecznie mu zapobiegać. Poznaj profesjonalne metody usuwania i dbaj o zdrowy uśmiech!
Co na ból zęba? Sprawdź domowe sposoby na ulgę i poznaj objawy, które wymagają natychmiastowej wizyty u dentysty. Działaj szybko!
Paradontoza - czy leczenie domowe działa? Sprawdź, co naprawdę pomaga w higienie, czego unikać i kiedy konieczna jest wizyta u specjalisty.
Twój maluch ma ruszający się mleczak? Poznaj normy, objawy alarmowe i praktyczne wskazówki, kiedy iść do stomatologa dziecięcego.
Czy bolący język u dziecka to afta, infekcja, czy uraz? Poznaj objawy, domowe sposoby i czerwone flagi. Sprawdź, kiedy iść do pediatry lub dentysty.
Dziura w dziąśle - co oznacza? Poznaj przyczyny, objawy alarmowe i dowiedz się, kiedy pilnie iść do dentysty. Sprawdź, jak leczyć i zapobiegać.
Martwisz się opryszczką u dziecka? Dowiedz się, jak rozpoznać objawy, odróżnić od aft, bezpiecznie leczyć w domu i kiedy iść do lekarza.