Odsłonięte szyjki zębowe – kompleksowy przewodnik po przyczynach i skutecznych rozwiązaniach
- Odsłonięte szyjki zębowe to potoczne określenie recesji dziąseł, prowadzącej do ekspozycji korzenia zęba, który jest wrażliwy i podatny na próchnicę.
- Główne objawy to nadwrażliwość na zimno/ciepło, ból przy szczotkowaniu oraz wrażenie „dłuższych” zębów.
- Najczęstsze przyczyny obejmują agresywne szczotkowanie, choroby przyzębia, bruksizm i predyspozycje genetyczne.
- Problem wymaga uwagi, gdyż może prowadzić do próchnicy korzenia, utraty tkanek przyzębia i ruchomości zębów.
- Leczenie obejmuje zarówno metody domowe (pasty odczulające, prawidłowa higiena), jak i gabinetowe (bonding, leczenie ortodontyczne, przeszczepy dziąsłowe).
- Kluczowe jest szybkie rozpoznanie i wdrożenie leczenia, aby zatrzymać postęp recesji i zapobiec dalszym powikłaniom.

Czym są szyjki zębowe i dlaczego zaczynają być odsłonięte
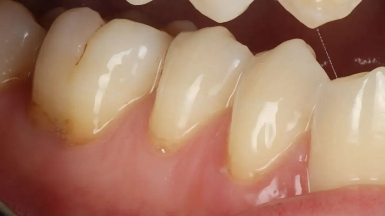
W stomatologii termin „szyjki zębowe” jest określeniem potocznym, odnoszącym się do obszaru zęba znajdującego się tuż przy linii dziąsła, gdzie korona zęba przechodzi w jego korzeń. To niezwykle ważna okolica, ponieważ stanowi naturalną barierę ochronną dla delikatnych struktur wewnętrznych zęba. Problem pojawia się, gdy dochodzi do tak zwanej recesji dziąseł, czyli cofania się tkanki dziąsłowej. Wówczas wspomniane szyjki zębowe, a precyzyjniej – powierzchnia korzenia zęba, stają się odsłonięte.
Dlaczego odsłonięcie korzenia jest tak problematyczne? Otóż korzeń zęba, w przeciwieństwie do korony, nie jest chroniony twardym szkliwem. Zamiast tego pokrywa go cement korzeniowy, który jest znacznie bardziej miękki i porowaty. Oznacza to, że odsłonięty korzeń jest o wiele bardziej podatny na uszkodzenia mechaniczne, próchnicę korzenia oraz, co najważniejsze, na nadwrażliwość. Właśnie dlatego tak wiele osób z odsłoniętymi szyjkami zębowymi odczuwa ostry, nieprzyjemny ból w kontakcie z zimnym, gorącym, słodkim czy kwaśnym pokarmem.

Jakie objawy dają odsłonięte szyjki zębowe
Odsłonięte szyjki zębowe manifestują się szeregiem charakterystycznych objawów, które często są pierwszym sygnałem alarmowym dla pacjenta. Warto je znać, aby szybko zareagować i skonsultować się ze stomatologiem. Najczęściej obserwowane symptomy to:- Nadwrażliwość na bodźce termiczne i chemiczne: Ostry, przeszywający ból pojawiający się w kontakcie z zimnymi napojami, lodami, gorącą herbatą, a także słodkimi lub kwaśnymi pokarmami. Jest to jeden z najbardziej uciążliwych objawów.
- Ból przy szczotkowaniu i nitkowaniu: Dotyk szczoteczki lub nici dentystycznej w okolicy odsłoniętej szyjki może wywoływać dyskomfort lub ból.
- Uczucie „dłuższych” zębów: Wizualnie zęby mogą wydawać się dłuższe niż wcześniej, ponieważ linia dziąseł cofnęła się, odsłaniając większą część korzenia.
- Krwawienie i tkliwość dziąseł: Często towarzyszy recesji, zwłaszcza jeśli jej przyczyną jest stan zapalny dziąseł.
- Zmiana koloru zęba przy dziąśle: Odsłonięty korzeń ma zazwyczaj ciemniejszy, bardziej żółtawy odcień niż korona zęba, co może wpływać na estetykę uśmiechu.
- Ruchomość zębów: W zaawansowanych przypadkach, gdy recesja jest znaczna i towarzyszy jej utrata kości, zęby mogą stać się ruchome.
Warto podkreślić, że chwilowa nadwrażliwość może być spowodowana wieloma czynnikami, takimi jak zbyt mocne szczotkowanie czy spożycie bardzo kwaśnych produktów. Jednakże, jeśli objawy te utrzymują się, nasilają się i towarzyszy im widoczne cofanie się dziąseł, a zęby wydają się „dłuższe”, to jest to silny sygnał sugerujący recesję dziąseł. W takiej sytuacji nie należy zwlekać z wizytą u stomatologa, ponieważ szybka diagnostyka i interwencja są kluczowe dla zatrzymania postępu problemu.

Najczęstsze przyczyny odsłoniętych szyjek zębowych
Zrozumienie przyczyn odsłaniania się szyjek zębowych jest kluczowe dla skutecznej profilaktyki i leczenia. Problem ten rzadko ma jedną, izolowaną przyczynę; zazwyczaj jest wynikiem współdziałania kilku czynników. Oto najczęstsze z nich:
- Agresywne szczotkowanie zębów: Zbyt mocne szorowanie zębów, używanie twardej szczoteczki lub nieprawidłowa technika szczotkowania może prowadzić do mechanicznego uszkodzenia dziąseł i ich cofania się.
- Nagromadzenie kamienia i płytki nazębnej: Bakterie zawarte w płytce nazębnej i kamieniu wydzielają toksyny, które wywołują stan zapalny dziąseł, prowadząc do ich obrzęku, krwawienia, a w konsekwencji do recesji.
- Choroby przyzębia (zapalenie dziąseł, paradontoza): Są to jedne z najczęstszych przyczyn recesji. Zapalenie dziąseł, jeśli nieleczone, może przekształcić się w paradontozę (zapalenie przyzębia), które prowadzi do destrukcji tkanek utrzymujących ząb w kości, w tym kości wyrostka zębodołowego i więzadeł ozębnej. W efekcie dziąsła cofają się, tworzą się kieszonki przyzębne, a zęby tracą swoje podparcie.
- Bruksizm (zaciskanie i zgrzytanie zębami): Chroniczne zaciskanie lub zgrzytanie zębami, często nieświadome i występujące w nocy, wywiera nadmierne siły na zęby i tkanki przyzębia. Może to prowadzić do przeciążenia, pęknięć szkliwa, a także do recesji dziąseł i zwiększonej nadwrażliwości.
- Nieprawidłowe ustawienie zębów (wady zgryzu): Zęby ustawione poza łukiem zębowym lub w nieprawidłowej pozycji są często narażone na większe siły żucia, co może sprzyjać cofaniu się dziąseł w tych miejscach.
- Palenie tytoniu: Palenie znacząco pogarsza ukrwienie dziąseł i osłabia ich zdolność do regeneracji, co zwiększa ryzyko chorób przyzębia i recesji.
- Piercing w jamie ustnej: Kolczyki w wargach lub języku mogą mechanicznie podrażniać dziąsła, prowadząc do ich uszkodzenia i recesji w miejscach kontaktu.
- Predyspozycje genetyczne: Niektóre osoby mają naturalnie cieńszy biotyp dziąseł, co sprawia, że są bardziej podatne na recesję, nawet przy minimalnych czynnikach drażniących.
Szczególnie niebezpieczne są choroby przyzębia. Początkowe zapalenie dziąseł, charakteryzujące się zaczerwienieniem, obrzękiem i krwawieniem, jest często bagatelizowane. Niestety, nieleczone, prowadzi do destrukcyjnych zmian w głębszych strukturach, tworząc tak zwane kieszonki przyzębne, w których gromadzą się bakterie. Ten postępujący proces zapalny i utrata kości sprawiają, że dziąsła tracą swoje podparcie i zaczynają się cofać, odsłaniając korzenie zębów. Z kolei bruksizm, choć często kojarzony głównie ze ścieraniem zębów, również znacząco przyczynia się do nadwrażliwości i recesji, poprzez ciągłe przeciążanie tkanek okołozębowych. Zawsze podkreślam, że rozpoznanie i eliminacja pierwotnej przyczyny jest fundamentem skutecznego leczenia.
Dlaczego nie wolno bagatelizować odsłoniętych szyjek zębowych
Bagatelizowanie problemu odsłoniętych szyjek zębowych to prosta droga do poważniejszych komplikacji, które mogą mieć długotrwałe konsekwencje dla zdrowia całej jamy ustnej. Z mojej perspektywy, jako eksperta, zawsze podkreślam, że szybka reakcja jest kluczowa. Oto najważniejsze ryzyka związane z ignorowaniem recesji dziąseł:
- Zwiększone ryzyko próchnicy korzenia: Jak już wspomniałem, odsłonięty korzeń nie jest chroniony szkliwem, co czyni go niezwykle podatnym na rozwój próchnicy. Próchnica korzenia postępuje szybko i jest trudniejsza w leczeniu niż próchnica szkliwa, często prowadząc do konieczności leczenia kanałowego lub nawet utraty zęba.
- Narastanie nadwrażliwości: Początkowa nadwrażliwość może z czasem się nasilać, stając się coraz bardziej uciążliwa i ograniczająca w codziennym życiu. Spożywanie ulubionych potraw czy napojów staje się bolesne, a nawet oddychanie zimnym powietrzem może wywoływać dyskomfort.
- Dalsza utrata tkanek przyzębia: Nieleczona recesja ma tendencję do postępu. Dziąsła cofają się coraz bardziej, a wraz z nimi może postępować utrata kości, co osłabia stabilność zębów.
- Potencjalna ruchomość zębów: W zaawansowanych stadiach, gdy utrata kości i tkanek przyzębia jest znaczna, zęby mogą stać się ruchome. W skrajnych przypadkach może to prowadzić do ich samoistnego wypadania lub konieczności ekstrakcji.
- Pogorszenie estetyki uśmiechu: Odsłonięte, ciemniejsze korzenie zębów oraz widocznie „dłuższe” zęby mogą znacząco obniżyć estetykę uśmiechu, wpływając na samoocenę i komfort psychiczny pacjenta.
Pamiętajmy, że im wcześniej problem zostanie zdiagnozowany i wdrożone zostanie odpowiednie leczenie, tym większa szansa na zatrzymanie jego postępu, zminimalizowanie ryzyka powikłań i zachowanie zdrowego, pięknego uśmiechu na długie lata.
Jak dentysta diagnozuje problem
Profesjonalna diagnostyka jest pierwszym i najważniejszym krokiem w skutecznym leczeniu odsłoniętych szyjek zębowych. Kiedy pacjent zgłasza się do gabinetu z objawami nadwrażliwości czy widocznym cofaniem się dziąseł, dentysta przeprowadza szereg badań, aby dokładnie ocenić sytuację i ustalić przyczynę problemu.Proces diagnostyczny rozpoczyna się od szczegółowego badania klinicznego jamy ustnej. Lekarz ocenia ogólny stan dziąseł, obecność płytki i kamienia nazębnego, a także sprawdza, czy występują objawy stanu zapalnego, takie jak zaczerwienienie, obrzęk czy krwawienie. Następnie kluczowym elementem jest pomiar stopnia recesji dziąseł. Za pomocą specjalnej sondy periodontologicznej, dentysta precyzyjnie mierzy odległość od brzegu dziąsła do granicy szkliwno-cementowej (czyli miejsca, gdzie korona łączy się z korzeniem) na każdym zębie. Pozwala to na określenie zaawansowania recesji i jej monitorowanie w czasie.
Równie ważna jest ocena głębokości kieszonek dziąsłowych. Sonda periodontologiczna jest delikatnie wprowadzana w przestrzeń między zębem a dziąsłem. Prawidłowa głębokość kieszonki nie powinna przekraczać 3 mm. Głębsze kieszonki świadczą o stanie zapalnym i utracie przyczepu dziąsłowego, co jest typowe dla chorób przyzębia. W niektórych przypadkach, zwłaszcza gdy podejrzewa się utratę kości lub inne patologie, stomatolog może zlecić wykonanie zdjęć rentgenowskich (RTG). Pozwalają one na ocenę stanu kości otaczającej zęby, wykrycie ewentualnych ubytków kostnych i dokładniejsze zaplanowanie leczenia. Całościowa analiza tych danych pozwala na postawienie trafnej diagnozy i opracowanie indywidualnego planu terapii.
Leczenie: co naprawdę pomaga przy odsłoniętych szyjkach zębowych
Leczenie odsłoniętych szyjek zębowych jest kompleksowe i powinno być dostosowane do indywidualnych potrzeb pacjenta, stopnia zaawansowania problemu oraz jego przyczyn. Dzielimy je na leczenie objawowe, które ma na celu zmniejszenie dolegliwości, oraz leczenie przyczynowe i zaawansowane, które eliminuje źródło problemu i odbudowuje utracone tkanki.
Leczenie objawowe
- Pasty odczulające: Zawierają składniki, takie jak azotan potasu lub chlorek strontu, które blokują kanaliki zębinowe, zmniejszając przewodnictwo bodźców bólowych do miazgi. Są skuteczne w łagodzeniu nadwrażliwości.
- Preparaty fluoru (lakiery, żele): Profesjonalne aplikacje fluoru w gabinecie stomatologicznym wzmacniają powierzchnię korzenia, czyniąc ją mniej wrażliwą i bardziej odporną na próchnicę.
- Specjalne płukanki: Niektóre płukanki mogą zawierać składniki odczulające lub antybakteryjne, wspomagające redukcję nadwrażliwości i kontrolę płytki nazębnej.
Przeczytaj również: Pulsujące dziąsła - stan zapalny? Kiedy pilnie do dentysty?
Leczenie przyczynowe i zaawansowane
To podejście koncentruje się na eliminacji źródła problemu i, w miarę możliwości, odbudowie utraconych tkanek. Według danych NIDCR, recesja dziąseł nie odrasta samoistnie, ale można ją zatrzymać lub spowolnić, a nawet chirurgicznie pokryć odsłonięte korzenie.
- Deep cleaning (skaling i root planing): To profesjonalne oczyszczanie zębów. Skaling polega na usunięciu kamienia nazębnego z powierzchni zębów i spod dziąseł, natomiast root planing (wygładzanie korzeni) to zabieg, podczas którego usuwa się nagromadzenia bakteryjne i toksyny z powierzchni korzenia, co sprzyja regeneracji tkanek i zmniejsza stan zapalny.
- Bonding kompozytowy: Jest to metoda polegająca na pokryciu odsłoniętych korzeni materiałem kompozytowym w kolorze zęba. Chroni to ząb przed nadwrażliwością i próchnicą, a także poprawia estetykę uśmiechu. Jest to rozwiązanie stosowane przy łagodniejszych i umiarkowanych recesjach.
- Leczenie ortodontyczne: Jeśli przyczyną recesji jest nieprawidłowe ustawienie zębów lub wada zgryzu, leczenie ortodontyczne może skorygować te problemy. Poprawne ustawienie zębów zmniejsza nadmierne obciążenia na tkanki przyzębia i tworzy lepsze warunki dla zdrowych dziąseł.
- Przeszczep dziąsłowy (chirurgia plastyczna dziąseł): W przypadkach zaawansowanej recesji, szczególnie gdy problem jest estetyczny lub istnieje ryzyko utraty zęba, stomatolog może zalecić przeszczep dziąsłowy. Polega on na chirurgicznym pobraniu niewielkiego fragmentu tkanki dziąsłowej (najczęściej z podniebienia pacjenta) i przeszczepieniu go w miejsce odsłoniętego korzenia. Pozwala to na pokrycie korzenia, odbudowę utraconych tkanek i znaczącą poprawę estetyki.
Dobór metody leczenia jest zawsze indywidualny i zależy od wielu czynników, w tym od przyczyny recesji, jej zaawansowania, ogólnego stanu zdrowia pacjenta i jego oczekiwań. Często stosuje się kombinację kilku metod, aby osiągnąć najlepsze i najtrwalsze rezultaty.
| Metoda leczenia | Zastosowanie (łagodne/zaawansowane) | Cel |
|---|---|---|
| Pasty odczulające | Łagodne objawy, doraźne | Zmniejszenie nadwrażliwości |
| Preparaty fluoru | Łagodne objawy, profilaktyka | Wzmocnienie szkliwa, ochrona przed próchnicą korzenia |
| Deep cleaning | Przyczyny związane z higieną | Usunięcie kamienia i płytki, redukcja stanu zapalnego |
| Bonding kompozytowy | Łagodne/umiarkowane, estetyka | Pokrycie odsłoniętych korzeni, ochrona, poprawa estetyki |
| Leczenie ortodontyczne | Przyczyny związane z wadami zgryzu | Korekta ustawienia zębów, zmniejszenie obciążeń, poprawa warunków dla dziąseł |
| Przeszczep dziąsłowy | Zaawansowane zmiany, estetyka | Chirurgiczne pokrycie odsłoniętych korzeni, odbudowa utraconych tkanek, poprawa estetyki |
Domowa profilaktyka, która zmniejsza ryzyko nawrotu
Po wdrożeniu leczenia gabinetowego lub w przypadku łagodnych objawów, kluczową rolę w zapobieganiu nawrotom recesji dziąseł i nadwrażliwości odgrywa codzienna, prawidłowa higiena jamy ustnej oraz modyfikacja szkodliwych nawyków. Oto praktyczne wskazówki, które pomogą utrzymać dziąsła w zdrowiu:
- Delikatne szczotkowanie zębów miękką szczoteczką: Zamiast agresywnego szorowania, stosuj delikatne, wymiatające ruchy. Idealna jest technika Bassa, która polega na ustawieniu szczoteczki pod kątem 45 stopni do linii dziąsła i wykonywaniu krótkich, wibrujących ruchów. Używaj szczoteczki z miękkim włosiem, aby uniknąć mechanicznego uszkodzenia dziąseł.
- Regularne stosowanie pasty z fluorem: Fluor wzmacnia szkliwo i cement korzeniowy, zwiększając ich odporność na próchnicę. W przypadku nadwrażliwości warto wybrać pastę dedykowaną do zębów wrażliwych.
- Codzienne czyszczenie przestrzeni międzyzębowych: Płytka nazębna i resztki pokarmowe gromadzą się również między zębami. Regularne używanie nici dentystycznej, szczoteczek międzyzębowych lub irygatora jest niezbędne do utrzymania zdrowych dziąseł i zapobiegania stanom zapalnym.
- Ograniczenie lub zaprzestanie palenia tytoniu: Palenie jest jednym z głównych czynników ryzyka chorób przyzębia i recesji dziąseł. Rzucenie palenia znacząco poprawi zdrowie dziąseł i ogólny stan jamy ustnej.
- Kontrola bruksizmu: Jeśli cierpisz na bruksizm (zaciskanie lub zgrzytanie zębami), skonsultuj się ze stomatologiem. Często zalecanym rozwiązaniem jest stosowanie indywidualnie dopasowanej szyny relaksacyjnej na noc, która chroni zęby przed nadmiernymi siłami i zmniejsza obciążenie tkanek przyzębia.
- Regularne wizyty kontrolne u stomatologa: Nawet przy wzorowej higienie domowej, profesjonalne czyszczenie zębów (skaling i piaskowanie) co 6-12 miesięcy jest niezbędne do usunięcia kamienia nazębnego i oceny stanu dziąseł przez specjalistę.
Pamiętaj, że konsekwencja w działaniach profilaktycznych to najlepsza inwestycja w długoterminowe zdrowie Twojego uśmiechu.
Kiedy zgłosić się do dentysty lub periodontologa
Choć wiele osób próbuje radzić sobie z nadwrażliwością i odsłoniętymi szyjkami zębowymi domowymi sposobami, istnieją sytuacje, w których niezbędna jest natychmiastowa konsultacja ze stomatologiem lub periodontologiem. Nie należy zwlekać z wizytą, jeśli zauważysz którykolwiek z poniższych objawów:
- Szybki postęp recesji dziąseł: Jeśli zauważasz, że dziąsła cofają się w szybkim tempie, odsłaniając coraz większą część korzenia zęba.
- Utrzymujący się lub nasilający się ból: Nadwrażliwość, która nie ustępuje po kilku dniach stosowania pasty odczulającej lub wręcz się nasila, jest sygnałem do wizyty.
- Krwawienie dziąseł: Częste krwawienie podczas szczotkowania, nitkowania lub samoistne, może świadczyć o zaawansowanym stanie zapalnym dziąseł lub paradontozie.
- Pojawienie się ruchomości zębów: To bardzo poważny objaw, który wskazuje na znaczną utratę kości i tkanek podtrzymujących ząb. Wymaga pilnej interwencji.
- Widoczna próchnica korzenia: Jeśli zauważysz ciemne plamy lub ubytki na odsłoniętej powierzchni korzenia, konieczna jest natychmiastowa wizyta, aby zapobiec dalszemu rozwojowi próchnicy.
- Brak poprawy objawów po kilku tygodniach stosowania pasty odczulającej: Jeśli mimo regularnego stosowania specjalistycznej pasty, nadwrażliwość nie zmniejsza się, oznacza to, że problem jest głębszy i wymaga profesjonalnej oceny.
Pamiętaj, że wczesna diagnoza i interwencja mogą zapobiec poważnym powikłaniom i uratować zęby przed utratą. Periodontolog to specjalista, który zajmuje się leczeniem chorób przyzębia i recesji dziąseł, więc w bardziej zaawansowanych przypadkach to właśnie do niego warto się udać.
Najczęstsze pytania pacjentów o szyjki zębowe
W mojej praktyce często spotykam się z podobnymi pytaniami dotyczącymi odsłoniętych szyjek zębowych. Postanowiłem zebrać te najczęściej zadawane i udzielić na nie krótkich, ale wyczerpujących odpowiedzi.
Czy szyjki zębowe mogą odrosnąć?
Niestety, recesja dziąseł nie odrasta samoistnie. Utracona tkanka dziąsłowa i kość nie regenerują się w sposób naturalny w takim stopniu, aby pokryć odsłonięty korzeń. Jednakże, nowoczesne metody leczenia, takie jak przeszczepy dziąsłowe, pozwalają na chirurgiczne pokrycie odsłoniętych korzeni, co jest formą ich "odbudowy". Ponadto, wczesne wdrożenie leczenia przyczynowego może zatrzymać postęp recesji i zapobiec dalszej utracie tkanek.
Czy nadwrażliwość minie sama?
W większości przypadków nadwrażliwość związana z odsłoniętymi szyjkami zębowymi nie ustępuje samoistnie. Bez interwencji, problem zazwyczaj utrzymuje się, a wręcz może się nasilać, ponieważ odsłonięta zębina jest stale narażona na drażniące bodźce. Doraźne stosowanie past odczulających może przynieść ulgę, ale nie eliminuje przyczyny. Konieczna jest diagnostyka i leczenie stomatologiczne, aby trwale rozwiązać problem.
Czy wybielanie zębów jest bezpieczne przy recesji dziąseł?
Wybielanie zębów, zwłaszcza profesjonalne, może znacząco nasilić nadwrażliwość u osób z odsłoniętymi szyjkami zębowymi. Preparaty wybielające działają poprzez utlenianie barwników, co może prowadzić do podrażnienia miazgi zęba, szczególnie gdy kanaliki zębinowe są odsłonięte. Zawsze, ale to zawsze, należy skonsultować się ze stomatologiem przed podjęciem decyzji o wybielaniu, jeśli masz problem z recesją dziąseł. Lekarz oceni stan Twoich zębów i dziąseł, zaproponuje ewentualne leczenie wstępne (np. pokrycie odsłoniętych szyjek) lub doradzi bezpieczne alternatywy.
