Przerost dziąseł, znany również jako hiperplazja dziąseł, to stan charakteryzujący się powiększeniem tkanki dziąsłowej. Nie jest to samodzielna choroba, lecz objaw, który może wskazywać na szereg problemów – od niewystarczającej higieny jamy ustnej po poważne schorzenia ogólnoustrojowe. Zrozumienie przyczyn, objawów i metod leczenia tego zjawiska jest kluczowe dla zachowania zdrowia jamy ustnej i wczesnego wykrycia potencjalnie groźnych chorób.
Przerost dziąseł – co musisz wiedzieć
- Przerost dziąseł to objaw, a nie pojedyncza choroba, często związany z płytką bakteryjną i stanem zapalnym.
- Może być wywołany lekami (np. blokery kanału wapniowego, leki przeciwpadaczkowe, immunosupresanty), zmianami hormonalnymi, czynnikami genetycznymi lub chorobami ogólnoustrojowymi.
- Leczenie zazwyczaj rozpoczyna się od poprawy higieny i profesjonalnego oczyszczania, a w niektórych przypadkach wymaga zmiany leków lub interwencji chirurgicznej.
- Nieleczony przerost utrudnia codzienną higienę jamy ustnej i zwiększa ryzyko próchnicy oraz chorób przyzębia.
- Czerwone flagi, takie jak szybki wzrost, krwawienie, ból czy objawy ogólne, wymagają pilnej konsultacji stomatologicznej lub lekarskiej.
- Współczesne nazewnictwo preferuje terminy "gingival enlargement" oraz "drug-influenced gingival enlargement".

Przerost dziąseł – czym jest i jak wygląda
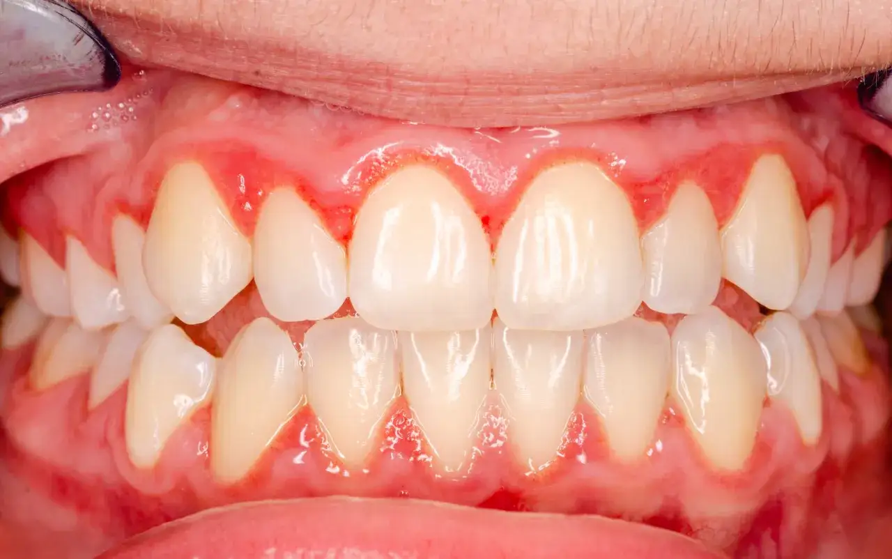
Przerost dziąseł to powiększenie objętości tkanki dziąsłowej, które, jak już wspomniałem, jest objawem, a nie chorobą samą w sobie. Ważne jest, aby odróżnić go od obrzęku, czyli czasowego powiększenia dziąseł spowodowanego nagromadzeniem płynów w tkankach. W przypadku przerostu mamy do czynienia z rzeczywistym rozrostem komórek, co prowadzi do trwałego zwiększenia masy tkanki. Klinicznie najczęściej obserwujemy pogrubienie dziąseł, które mogą częściowo lub całkowicie zasłaniać korony zębów. Dziąsła mogą zmieniać swój kolor – być zaczerwienione i błyszczące w przypadku stanu zapalnego, lub blade i włókniste, gdy jest to przerost bez aktywnego zapalenia. W nowszym piśmiennictwie medycznym coraz częściej używa się terminu „gingival enlargement”, co dosłownie oznacza powiększenie dziąseł, lepiej oddając istotę problemu.
Najczęstsze przyczyny przerostu dziąseł
Przyczyny przerostu dziąseł są niezwykle zróżnicowane. Mogą mieć charakter miejscowy, związany bezpośrednio z jamą ustną, ale również ogólnoustrojowy, wskazując na szersze problemy zdrowotne. Moje doświadczenie pokazuje, że często ignorujemy te sygnały, skupiając się jedynie na estetyce, a nie na pierwotnej przyczynie.
Stan zapalny i nagromadzona płytka bakteryjna
Jedną z najczęstszych przyczyn przerostu dziąseł jest niewystarczająca higiena jamy ustnej. Brak regularnego i dokładnego szczotkowania oraz nitkowania prowadzi do gromadzenia się płytki bakteryjnej i kamienia nazębnego. Te złogi są siedliskiem bakterii, które wywołują stan zapalny dziąseł, czyli gingivitis. Przewlekły stan zapalny, jeśli nie jest leczony, może prowadzić do powiększenia dziąseł, które stają się obrzmiałe, zaczerwienione i często krwawią.
Leki, które mogą powodować przerost dziąseł
Istnieje grupa leków, które jako efekt uboczny mogą wywoływać przerost dziąseł. Nazywamy to polekowym przerostem dziąseł, a w nowszym nazewnictwie – „drug-influenced gingival enlargement”. Zmiany te zazwyczaj pojawiają się po 1-3 miesiącach od rozpoczęcia terapii. Najważniejsze grupy leków to:
- Blokery kanału wapniowego: stosowane w leczeniu nadciśnienia tętniczego i dławicy piersiowej.
- Leki przeciwpadaczkowe: używane w terapii padaczki.
- Immunosupresanty: podawane pacjentom po przeszczepach organów w celu zapobiegania odrzuceniu przeszczepu.
Poniższa tabela przedstawia przykłady tych leków:
| Kategoria leku | Przykładowe substancje czynne (jeśli znane) lub ogólne działanie |
|---|---|
| Blokery kanału wapniowego | Leki na nadciśnienie, dławicę piersiową |
| Leki przeciwpadaczkowe | Leki stosowane w leczeniu padaczki |
| Immunosupresanty | Leki stosowane po przeszczepach organów |
Zmiany hormonalne w ciąży i okresie dojrzewania
Wahania hormonalne, szczególnie te występujące w okresie ciąży i dojrzewania, mogą znacząco wpływać na tkanki dziąseł. Zwiększony poziom hormonów płciowych sprawia, że dziąsła stają się bardziej wrażliwe na płytkę bakteryjną i stan zapalny, nawet przy zachowaniu dobrej higieny. W efekcie, nawet niewielka ilość płytki może wywołać silniejszą reakcję zapalną i prowadzić do przerostu. Według danych Cleveland Clinic, przerost dziąseł jest często obserwowany u kobiet w ciąży z powodu zmian hormonalnych.
Czynniki genetyczne i wrodzona skłonność do przerostów
U niektórych osób może występować wrodzona skłonność do przerostu dziąseł, niezależnie od innych czynników. Oznacza to, że predyspozycje genetyczne mogą odgrywać rolę w rozwoju tego stanu, czyniąc niektóre osoby bardziej podatnymi na powiększenie tkanki dziąsłowej nawet przy minimalnym drażnieniu.Choroby ogólnoustrojowe, które mogą dawać podobne objawy
Przerost dziąseł może być również sygnałem alarmowym innych, poważnych chorób ogólnoustrojowych, które wymagają natychmiastowej uwagi. Przykładem jest białaczka, gdzie powiększenie dziąseł może być jednym z pierwszych objawów. W takich przypadkach, przerost dziąseł wymaga szerszej diagnostyki poza stomatologią, często z udziałem internisty lub hematologa, aby wykluczyć lub potwierdzić obecność choroby podstawowej.
Jakie objawy powinny zwrócić uwagę pacjenta
Rozpoznanie przerostu dziąseł nie zawsze jest oczywiste dla pacjenta. Wiele osób myli go z naturalnym wyglądem dziąseł lub bagatelizuje początkowe objawy. Ważne jest, aby umieć odróżnić zwykły problem kosmetyczny od objawu stanu zapalnego czy poważniejszej choroby ogólnej. Moim zdaniem, świadomość tych sygnałów jest pierwszym krokiem do szybkiej interwencji.
Krwawienie przy szczotkowaniu i nitkowaniu
Krwawienie dziąseł podczas codziennej higieny, czyli szczotkowania zębów czy nitkowania, jest zawsze sygnałem ostrzegawczym. Wskazuje ono na obecność stanu zapalnego, który może towarzyszyć przerostowi. Zdrowe dziąsła nie krwawią, dlatego każdy epizod krwawienia powinien skłonić do wizyty u stomatologa.
Ból, tkliwość i trudność w jedzeniu
Powiększone dziąsła mogą powodować dyskomfort, ból i tkliwość na dotyk. Pacjenci często zgłaszają trudności w gryzieniu i żuciu pokarmów, zwłaszcza twardych, co znacząco wpływa na jakość życia i może prowadzić do unikania niektórych produktów.
Uczucie „puchnięcia” dziąseł i zasłanianie zębów
Wizualnie przerost dziąseł objawia się jako wrażenie opuchniętych, „grubych” dziąseł. Mogą one częściowo lub całkowicie zasłaniać korony zębów, sprawiając, że zęby wydają się krótsze. Jest to nie tylko problem estetyczny, ale także funkcjonalny, utrudniający prawidłowe czyszczenie.
Nieświeży oddech i odkładanie się płytki
Przerośnięte dziąsła tworzą idealne nisze dla gromadzenia się płytki nazębnej i bakterii, ponieważ utrudniają prawidłowe czyszczenie zębów. To z kolei prowadzi do nasilenia stanu zapalnego, a także do nieświeżego oddechu, czyli halitozy. Jest to błędne koło, które pogłębia problem.
Kiedy przerost dziąseł wymaga pilnej konsultacji
Chociaż wiele przypadków przerostu dziąseł jest związanych z higieną, istnieją sytuacje, w których objawy te mogą wskazywać na coś znacznie poważniejszego. Nagłe lub nietypowe objawy powinny zawsze skłonić pacjenta do szybkiej oceny, często nie tylko stomatologicznej, ale również internistycznej lub hematologicznej. Zawsze powtarzam moim pacjentom, że szybka reakcja na "czerwone flagi" może uratować zdrowie, a nawet życie.
Szybko narastające zmiany
Jeśli zauważysz gwałtowne powiększanie się dziąseł w krótkim czasie, jest to sygnał alarmowy. Taki szybki wzrost może wskazywać na agresywny proces chorobowy i wymaga natychmiastowej uwagi stomatologa oraz lekarza ogólnego.
Nasilone krwawienie
Obfite lub spontaniczne krwawienie z dziąseł, które nie jest związane z urazem ani intensywnym szczotkowaniem, to bardzo poważny objaw. Może świadczyć o zaburzeniach krzepnięcia krwi lub chorobach hematologicznych, dlatego wymaga pilnej diagnostyki.
Przerost nieadekwatny do higieny jamy ustnej
Jeżeli przerost dziąseł występuje pomimo wzorowej, sumiennej higieny jamy ustnej, może to wskazywać na inne, ogólnoustrojowe przyczyny. W takiej sytuacji należy rozważyć diagnostykę w kierunku chorób systemowych, które mogą manifestować się w jamie ustnej.
Objawy ogólne, takie jak osłabienie, gorączka lub łatwe siniaczenie
Towarzyszące przerostowi dziąseł objawy ogólnoustrojowe, takie jak przewlekłe osłabienie, niewyjaśniona gorączka, łatwe powstawanie siniaków, powiększone węzły chłonne czy utrata masy ciała, są "czerwonymi flagami". W takich przypadkach konieczna jest pilna diagnostyka internistyczna lub hematologiczna, na przykład w celu wykluczenia białaczki, jak podkreślają eksperci z SDCEP/NHS Education for Scotland.Jak dentysta diagnozuje przerost dziąseł
Diagnostyka przerostu dziąseł to proces, który wykracza poza samo obejrzenie jamy ustnej. Kluczowe jest ustalenie przyczyny problemu, a nie tylko stwierdzenie jego obecności. Moim zadaniem jako specjalisty jest zebranie wszystkich niezbędnych informacji, aby postawić trafną diagnozę i zaplanować skuteczne leczenie.
Wywiad medyczny i lista przyjmowanych leków
Szczegółowy wywiad medyczny to podstawa. Pytam pacjenta o jego ogólny stan zdrowia, choroby przewlekłe, przebyte operacje oraz, co niezwykle ważne, o wszystkie przyjmowane leki – zarówno te na receptę, jak i suplementy czy zioła. Ma to kluczowe znaczenie, zwłaszcza w kontekście polekowego przerostu dziąseł.
Badanie jamy ustnej i ocena płytki nazębnej
Podczas badania jamy ustnej oceniam ilość płytki nazębnej i kamienia, stan dziąseł (kolor, kształt, konsystencja, obecność krwawienia), a także głębokość kieszonek dziąsłowych za pomocą sondy periodontologicznej. Sprawdzam również, czy przerost utrudnia higienę i czy ma wpływ na zgryz.
Zdjęcia RTG i periodontologiczna ocena przyzębia
W zależności od sytuacji, mogę zlecić wykonanie zdjęć rentgenowskich, takich jak pantomograficzne (przeglądowe zdjęcie wszystkich zębów) lub skrzydłowo-zgryzowe (ukazujące korony zębów i przestrzeń między nimi). Pozwalają one ocenić stan kości wyrostka zębodołowego, co jest kluczowe w diagnostyce chorób przyzębia. Pełna periodontologiczna ocena przyzębia obejmuje pomiary głębokości kieszonek, recesji dziąseł i ruchomości zębów.
Kiedy potrzebna jest biopsja lub dodatkowe badania krwi
W sytuacjach, gdy przerost dziąseł jest atypowy, szybko narasta, nie reaguje na standardowe leczenie, lub towarzyszą mu objawy ogólnoustrojowe, stomatolog może zlecić dodatkowe badania. Może to być biopsja zmiany, czyli pobranie niewielkiego fragmentu tkanki do badania histopatologicznego, aby wykluczyć nowotwory. W przypadku podejrzenia chorób ogólnoustrojowych, takich jak białaczka, konieczne są badania krwi – morfologia, wskaźniki stanu zapalnego czy inne specjalistyczne testy.
Jak leczy się przerost dziąseł
Leczenie przerostu dziąseł jest złożone i zawsze musi być ukierunkowane na usunięcie przyczyny, a nie tylko objawu. Samo usunięcie nadmiaru tkanki nie rozwiąże problemu, jeśli nie zajmiemy się jego źródłem. Moje podejście zawsze opiera się na eliminacji czynnika wywołującego, a dopiero potem na korekcie estetycznej i funkcjonalnej.
Profesjonalna higienizacja i usunięcie stanu zapalnego
Podstawą leczenia, zwłaszcza w przypadkach związanych ze stanem zapalnym, jest profesjonalne oczyszczanie zębów. Obejmuje ono skaling (usunięcie kamienia nazębnego) oraz piaskowanie (usunięcie osadów i przebarwień). Te zabiegi mają na celu usunięcie płytki i kamienia nazębnego, co jest kluczowe dla redukcji stanu zapalnego i często prowadzi do znacznego zmniejszenia przerostu.
Poprawa domowej higieny jamy ustnej
Rola pacjenta w procesie leczenia jest nieoceniona. Niezbędna jest codzienna, dokładna higiena jamy ustnej, obejmująca prawidłowe szczotkowanie zębów (np. metodą Bassa) i regularne nitkowanie. Bez zaangażowania pacjenta w utrzymanie czystości, efekty profesjonalnego leczenia będą krótkotrwałe, a problem prawdopodobnie nawróci.Zmiana lub modyfikacja leczenia farmakologicznego po konsultacji z lekarzem
W przypadku polekowego przerostu dziąseł, często konieczna jest konsultacja z lekarzem prowadzącym, który przepisał dany lek. Nigdy nie należy samodzielnie odstawiać ani zmieniać leków. Lekarz może rozważyć zmianę leku na alternatywny, który nie wywołuje przerostu, lub modyfikację dawki. Według NCBI StatPearls, w wielu przypadkach zmiana leku może prowadzić do znacznej regresji przerostu dziąseł.
Leczenie chirurgiczne, gdy zmiany są utrwalone lub bardzo rozległe
Gdy przerost dziąseł jest utrwalony, bardzo rozległy, włóknisty lub znacząco utrudnia higienę i estetykę, konieczne może być leczenie chirurgiczne. Najczęściej wykonuje się gingiwektomię (usunięcie nadmiaru tkanki dziąsłowej) lub gingiwoplastykę (modelowanie kształtu dziąseł). Celem tych zabiegów jest przywrócenie prawidłowego kształtu dziąseł, ułatwienie higieny i poprawa estetyki uśmiechu.
Jak zapobiegać nawrotom i dbać o dziąsła na co dzień
Zapobieganie nawrotom przerostu dziąseł jest równie ważne, jak samo leczenie. Wdrożenie prostych, ale konsekwentnych nawyków w codziennej pielęgnacji jamy ustnej może znacząco zmniejszyć ryzyko ponownego pojawienia się problemu. Jako specjalista zawsze staram się edukować moich pacjentów w tym zakresie.
Prawidłowe szczotkowanie i nitkowanie
Kluczem do zdrowych dziąseł jest codzienna, dokładna higiena. Zalecam szczotkowanie zębów co najmniej dwa razy dziennie, przez dwie minuty, miękką szczoteczką, stosując technikę Bassa, która skupia się na czyszczeniu linii dziąseł. Niezwykle ważne jest również codzienne nitkowanie zębów, aby usunąć płytkę bakteryjną i resztki pokarmowe z przestrzeni międzyzębowych, do których szczoteczka nie dociera.
Regularne wizyty higienizacyjne i kontrolne
Nawet przy najlepszej higienie domowej, profesjonalne czyszczenie jest niezbędne. Zalecam regularne wizyty u stomatologa i higienistki stomatologicznej co 6-12 miesięcy. Podczas tych wizyt usuwane są złogi kamienia i płytki, które mogły się nagromadzić, a także oceniany jest ogólny stan jamy ustnej i dziąseł.
Kontrola płytki nazębnej przy aparacie ortodontycznym i uzupełnieniach protetycznych
Osoby noszące aparaty ortodontyczne, mosty czy korony protetyczne muszą poświęcić higienie jamy ustnej szczególną uwagę. Elementy te mogą sprzyjać gromadzeniu się płytki bakteryjnej, dlatego konieczne jest stosowanie dodatkowych narzędzi, takich jak szczoteczki międzyzębowe, irygatory czy specjalne nici dentystyczne, aby skutecznie czyścić trudno dostępne miejsca.
Higiena przy stosowaniu leków zwiększających ryzyko przerostu
Pacjenci przyjmujący leki, które mogą powodować przerost dziąseł, powinni być szczególnie skrupulatni w codziennej higienie jamy ustnej. Regularne, częstsze wizyty kontrolne u stomatologa są w ich przypadku kluczowe, aby monitorować stan dziąseł i wcześnie reagować na ewentualne zmiany. Wczesne wykrycie i interwencja mogą zapobiec znacznemu rozwojowi problemu.
Czy przerost dziąseł sam zniknie
To pytanie często pojawia się w gabinecie. Odpowiedź nie jest jednoznaczna. Czasami, jeśli przyczyną przerostu był wyłącznie stan zapalny wywołany płytką bakteryjną, a pacjent znacząco poprawi higienę jamy ustnej i podda się profesjonalnemu oczyszczaniu, dziąsła mogą wrócić do normy bez zabiegu chirurgicznego. Podobnie, w przypadku polekowego przerostu, zmiana leku (zawsze po konsultacji z lekarzem prowadzącym) może doprowadzić do zmniejszenia, a nawet całkowitego ustąpienia zmian. Niestety, w wielu przypadkach, zwłaszcza gdy przerost jest utrwalony, włóknisty lub ma podłoże genetyczne, problem nie zniknie sam. Wymaga leczenia przyczynowego i stałej kontroli stomatologicznej. Bez usunięcia przyczyny, problem prawdopodobnie nawróci, dlatego tak ważne jest profesjonalne podejście do diagnostyki i terapii.
Najczęstsze pytania o przerost dziąseł
W mojej praktyce często spotykam się z podobnymi pytaniami od pacjentów, którzy po raz pierwszy stykają się z problemem przerostu dziąseł. Zebranie ich w jednym miejscu i udzielenie jasnych odpowiedzi to, moim zdaniem, najlepszy sposób na rozwianie wątpliwości i uspokojenie obaw.
Czy przerost dziąseł boli
Sam przerost dziąseł, czyli powiększenie tkanki, zazwyczaj nie boli. Jednakże, bardzo często towarzyszy mu stan zapalny, który jest źródłem bólu, tkliwości, obrzęku i krwawienia. Dziąsła stają się wrażliwe na dotyk, szczotkowanie, a nawet jedzenie, co znacząco obniża komfort życia pacjenta.
Czy przerost dziąseł jest groźny
Przerost dziąseł może być objawem zarówno łagodnego stanu zapalnego, jak i poważniejszych chorób ogólnoustrojowych, w tym białaczki. Nieleczony, nawet ten łagodny, prowadzi do dalszych problemów z jamą ustną, takich jak próchnica (ponieważ zęby są zasłonięte i trudniej je czyścić) oraz progresja chorób przyzębia. Jeśli pojawiają się "czerwone flagi" (szybki wzrost, nasilone krwawienie, objawy ogólne), przerost jest potencjalnie bardzo groźny i wymaga natychmiastowej diagnostyki.
Czy można go odwrócić bez zabiegu
W wielu przypadkach, tak. Jeśli przyczyną jest stan zapalny, poprawa higieny i profesjonalne oczyszczanie mogą doprowadzić do regresji przerostu. W przypadku przerostu polekowego, zmiana leku (pod nadzorem lekarza prowadzącego) również często pomaga. Zabieg chirurgiczny jest konieczny, gdy zmiany są bardzo rozległe, utrwalone, włókniste lub nie reagują na leczenie zachowawcze.
Przeczytaj również: Czarne dziąsło przy zębie - Łagodne czy alarmujące? Sprawdź
Które leki najczęściej powodują problem
Najczęściej problem przerostu dziąseł wywołują trzy główne kategorie leków: blokery kanału wapniowego (stosowane w chorobach serca i nadciśnieniu), leki przeciwpadaczkowe (np. fenytoina) oraz immunosupresanty (np. cyklosporyna, stosowane po przeszczepach organów).
