Ten artykuł wyjaśnia, na czym polega paradontoza i czy domowe metody mogą ją wyleczyć. Dowiesz się, co naprawdę pomaga w codziennej higienie, kiedy należy szukać pomocy u dentysty lub periodontologa, a także jakie mity krążą wokół domowego leczenia tej choroby.
Paradontoza – wsparcie domowe i granice samodzielnego leczenia
- Paradontoza to przewlekła choroba przyzębia, której zaawansowane stadium nie cofnie się samoistnie domowymi metodami.
- Kluczowe jest codzienne usuwanie płytki bakteryjnej: szczotkowanie minimum 2 razy dziennie oraz czyszczenie przestrzeni międzyzębowych.
- Płukanki z chlorheksydyną są tylko krótkoterminowym wsparciem; nie zastępują higieny mechanicznej i mogą powodować skutki uboczne.
- Kontrola czynników ryzyka, takich jak palenie, zła dieta czy cukrzyca, jest integralną częścią leczenia.
- Domowe "kuracje" typu oil pulling, soda czy ocet nie mają podstaw naukowych i mogą opóźnić właściwe leczenie.
- Zaawansowana paradontoza wymaga profesjonalnego leczenia gabinetowego, a następnie długoterminowej terapii podtrzymującej.

Czym jest paradontoza i dlaczego domowe metody mają swoje granice
Paradontoza, znana również jako periodontitis, to przewlekła choroba zapalna przyzębia. Przyzębie to zespół tkanek otaczających i utrzymujących ząb w zębodole, składający się z dziąsła, ozębnej, cementu korzeniowego i kości wyrostka zębodołowego. W przebiegu paradontozy dochodzi do postępującego zniszczenia tych tkanek, w tym kości, co w konsekwencji może prowadzić do rozchwiania, a nawet utraty zębów. To nie jest zwykłe podrażnienie dziąseł, lecz poważne schorzenie, które wymaga kompleksowego i systematycznego podejścia.
W warunkach domowych możemy skutecznie ograniczać gromadzenie się płytki bakteryjnej i redukować stan zapalny dziąseł, co jest niezwykle ważne w walce z chorobą. Niemożliwe jest jednak samodzielne usunięcie kamienia nazębnego znajdującego się pod dziąsłami, ani odtworzenie utraconej kości czy cofnięcie głębokich kieszonek dziąsłowych. To właśnie ta różnica stanowi klucz do zrozumienia, że wsparcie domowe, choć niezbędne, nie zastąpi profesjonalnego leczenia.
Paradontoza a zwykłe zapalenie dziąseł
Warto rozróżnić dwa stany: zapalenie dziąseł (gingivitis) i paradontozę (periodontitis). Zapalenie dziąseł to łagodna forma choroby, objawiająca się zaczerwienieniem, obrzękiem i krwawieniem dziąseł, najczęściej podczas szczotkowania. Jest ono w pełni odwracalne przy odpowiedniej i regularnej higienie jamy ustnej. Jeśli jednak zapalenie dziąseł nie zostanie wyleczone, może przekształcić się w paradontozę. W tym zaawansowanym stadium dochodzi już do nieodwracalnej utraty kości wokół zębów oraz tworzenia się tzw. kieszonek przyzębnych, czyli przestrzeni między zębem a dziąsłem, w których gromadzą się bakterie i kamień nazębny. Zapalenie dziąseł jest więc często wstępem do paradontozy, jeśli nie zostanie odpowiednio wyleczone.Co w paradontozie można zatrzymać, a czego nie da się cofnąć w domu
Domowa higiena odgrywa kluczową rolę w spowalnianiu postępu paradontozy. Dzięki niej możemy zmniejszyć krwawienie i stan zapalny dziąseł, a także zapobiec dalszemu tworzeniu się płytki i kamienia nazębnego, które są głównymi czynnikami wywołującymi chorobę. Regularne i prawidłowe szczotkowanie oraz czyszczenie przestrzeni międzyzębowych pozwala na kontrolę populacji bakterii w jamie ustnej. Niestety, raz utraconej kości nie da się odbudować domowymi sposobami, a głębokie kieszonki przyzębne, które są siedliskiem bakterii, wymagają profesjonalnej interwencji stomatologicznej, aby usunąć z nich kamień i zakażone tkanki. Celem domowej pielęgnacji jest więc kontrola choroby i zapobieganie jej progresji, a nie jej całkowite wyleczenie w zaawansowanym stadium.

Alarmujące objawy: Kiedy domowa higiena to za mało
Paradontoza to podstępna choroba, która często rozwija się bezboleśnie, a jej objawy bywają bagatelizowane. Istnieją jednak sygnały, które powinny zapalić czerwoną lampkę i skłonić do natychmiastowej wizyty u dentysty lub periodontologa. Ignorowanie ich może prowadzić do poważnych konsekwencji, włącznie z utratą zębów, ponieważ świadczą one o zaawansowaniu choroby, której nie da się opanować wyłącznie domowymi metodami.
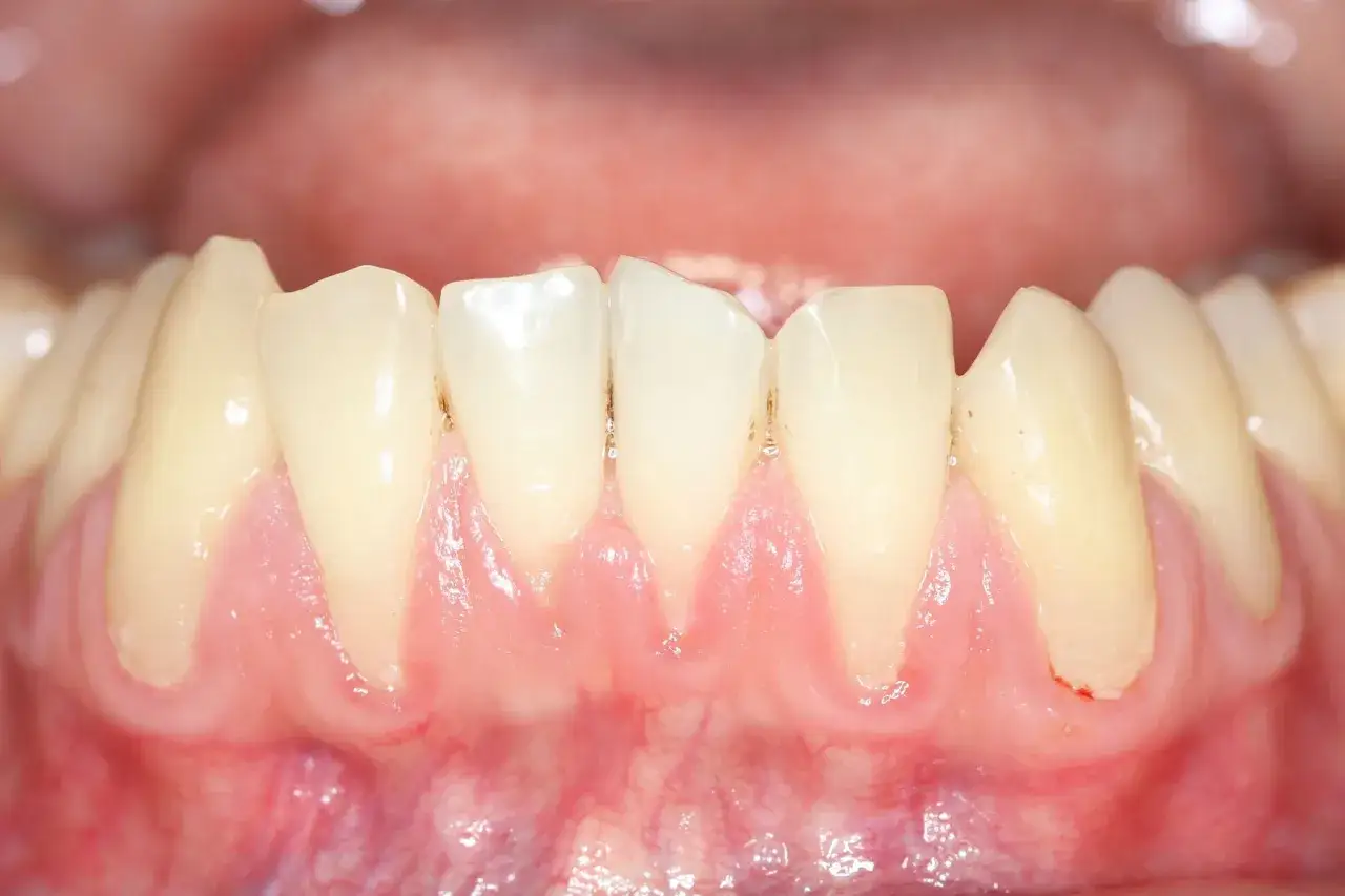
Krwawienie dziąseł, nieprzyjemny zapach z ust i cofanie się dziąseł
To jedne z najwcześniejszych i najczęściej lekceważonych objawów paradontozy. Krwawienie dziąseł podczas szczotkowania, nitkowania, a nawet jedzenia, jest sygnałem stanu zapalnego. Zdrowe dziąsła nie krwawią. Utrzymujący się nieprzyjemny zapach z ust, czyli halitoza, często jest wynikiem namnażania się bakterii beztlenowych w kieszonkach przyzębnych. Widoczne cofanie się dziąseł (recesja dziąseł) prowadzi do odsłaniania szyjek zębowych, co może skutkować nadwrażliwością na zimno, ciepło czy słodkie pokarmy. Wszystkie te sygnały świadczą o tym, że proces chorobowy postępuje i wymaga uwagi specjalisty.
Ruchomość zębów, ropienie, ból przy nagryzaniu i „wydłużone” zęby
Gdy paradontoza wchodzi w bardziej zaawansowane stadium, pojawiają się poważniejsze symptomy. Odczuwalna ruchomość zębów to jeden z najbardziej alarmujących znaków, świadczący o znacznej utracie kości podtrzymującej zęby. Pojawienie się ropy z kieszonek dziąsłowych, widoczne przy ucisku na dziąsło, jest oznaką aktywnej infekcji bakteryjnej. Ból podczas nagryzania pokarmów może wskazywać na zapalenie ozębnej lub uszkodzenie tkanek wokół zęba. Wrażenie „wydłużonych” zębów jest bezpośrednim skutkiem recesji dziąseł i utraty kości, co sprawia, że zęby wydają się dłuższe niż w rzeczywistości. Te objawy są jednoznacznymi wskazaniami do pilnej konsultacji ze specjalistą.
Dlaczego szybka reakcja ma znaczenie dla zachowania zębów
Paradontoza jest chorobą postępującą, co oznacza, że bez interwencji jej przebieg będzie się pogarszał. Im szybciej zostanie zdiagnozowana i profesjonalnie leczona, tym większe są szanse na zatrzymanie jej progresji, zachowanie zębów i uniknięcie kosztownych i skomplikowanych procedur w przyszłości. Każdy dzień zwłoki to potencjalnie dalsza utrata kości i tkanek przyzębia, co może prowadzić do nieodwracalnych uszkodzeń. Wczesna interwencja nie tylko ratuje zęby, ale także pozwala na mniej inwazyjne i tańsze leczenie. Zwlekanie z wizytą u dentysty może niestety skutkować utratą uzębienia.
Skuteczne wsparcie domowe: Co naprawdę działa na dziąsła
Chociaż domowe metody nie wyleczą zaawansowanej paradontozy, są absolutnie kluczowe w jej kontrolowaniu i spowalnianiu postępu. Pamiętajmy, że te zalecenia są uzupełnieniem leczenia gabinetowego, a nie jego zamiennikiem. Opierają się one na dowodach naukowych i są rekomendowane przez wiodące instytucje stomatologiczne, takie jak Amerykańskie Towarzystwo Stomatologiczne (ADA), które podkreśla znaczenie codziennej, rygorystycznej higieny jamy ustnej.
Szczotkowanie 2 razy dziennie miękką szczoteczką lub szczoteczką elektryczną
Prawidłowe szczotkowanie to fundament higieny. Zalecam używanie miękkiej szczoteczki manualnej z małą główką, która umożliwia dotarcie do wszystkich powierzchni zębów, lub szczoteczki elektrycznej (sonicznej lub oscylacyjno-rotacyjnej). Szczoteczki elektryczne często są bardziej efektywne w usuwaniu płytki bakteryjnej, zwłaszcza dla osób, które mają trudności z opanowaniem prawidłowej techniki manualnej. Szczotkuj zęby przez co najmniej dwie minuty, dwa razy dziennie, wykonując delikatne ruchy, obejmujące zarówno powierzchnię zęba, jak i linię dziąseł. Unikaj zbyt mocnego szorowania, które może prowadzić do recesji dziąseł i uszkodzenia szkliwa.
Codzienne czyszczenie przestrzeni międzyzębowych nicią, szczoteczkami międzyzębowymi albo irygatorem
Przestrzenie międzyzębowe to miejsca, gdzie gromadzi się najwięcej płytki bakteryjnej, niedostępnej dla samej szczoteczki. Dlatego ich codzienne czyszczenie jest absolutnie kluczowe. Nić dentystyczna jest skuteczna w usuwaniu płytki z ciasnych przestrzeni. Szczoteczki międzyzębowe są często zalecane przez periodontologów jako najbardziej efektywne, zwłaszcza przy większych przestrzeniach międzyzębowych lub w przypadku recesji dziąseł. Dostępne są w różnych rozmiarach, więc ważne jest dobranie odpowiedniego. Irygator to urządzenie, które za pomocą strumienia wody pod ciśnieniem wypłukuje resztki pokarmowe i luźną płytkę bakteryjną. Może być dobrym uzupełnieniem higieny, szczególnie dla osób z aparatami ortodontycznymi, mostami czy implantami, ale nie zawsze zastępuje mechaniczne usuwanie płytki za pomocą nici czy szczoteczek międzyzębowych. Warto zaznaczyć, że według przeglądów systematycznych (np. Cochrane), szczoteczki międzyzębowe są często bardziej efektywne niż nić dentystyczna w redukcji płytki i zapalenia dziąseł.
Płukanki jako wsparcie, a nie zamiennik higieny mechanicznej
Płukanki do jamy ustnej, nawet te lecznicze, są jedynie uzupełnieniem, a nie alternatywą dla mechanicznego usuwania płytki nazębnej. Mogą pomóc w redukcji bakterii, odświeżeniu oddechu i dostarczeniu składników aktywnych (np. fluoru), ale nie są w stanie usunąć kamienia nazębnego ani przylegającej płytki z powierzchni zębów i spod dziąseł. Ich rola polega na wspieraniu codziennej higieny, a nie jej zastępowaniu. Wybór płukanki powinien być zawsze skonsultowany z dentystą.
Dieta, nawodnienie, ograniczenie cukru i kontrola suchości w ustach
To, co jemy i pijemy, ma bezpośredni wpływ na zdrowie naszych dziąseł. Zbilansowana dieta, bogata w witaminy (szczególnie witaminę C i D) oraz minerały, wspiera ogólną odporność organizmu i zdolność tkanek do regeneracji. Odpowiednie nawodnienie organizmu jest kluczowe dla produkcji śliny, która naturalnie oczyszcza jamę ustną. Ograniczenie spożycia cukrów jest niezwykle ważne, ponieważ cukry są pożywką dla bakterii odpowiedzialnych za rozwój płytki i próchnicy. Problem suchości w ustach (kserostomii), często spowodowany lekami lub chorobami, znacząco pogarsza stan dziąseł, ponieważ brak śliny sprzyja namnażaniu się bakterii. Warto stosować specjalne preparaty nawilżające lub żuć gumę bez cukru, aby stymulować produkcję śliny.Rzucenie palenia i kontrola cukrzycy jako element leczenia, nie dodatek
Muszę to podkreślić z całą mocą: palenie tytoniu jest jednym z największych czynników ryzyka paradontozy i znacząco utrudnia jej leczenie. Palacze są kilkukrotnie bardziej narażeni na rozwój choroby, a ich dziąsła gorzej reagują na leczenie. Podobnie, niekontrolowana cukrzyca znacząco pogarsza przebieg choroby przyzębia, osłabiając układ odpornościowy i zdolność tkanek do gojenia. Rzucenie palenia i ścisła kontrola poziomu cukru we krwi to integralne i niezbędne elementy skutecznego leczenia paradontozy, a nie tylko „dodatki”. Bez tych zmian, nawet najlepsze leczenie stomatologiczne może okazać się nieskuteczne.
Płukanki i antyseptyki: Jak używać ich bezpiecznie i z głową
Płukanki antyseptyczne mogą być cennym narzędziem w walce z paradontozą, ale ich stosowanie wymaga wiedzy i rozwagi. Kluczowe jest, aby ich użycie było zawsze konsultowane z dentystą i ograniczone czasowo, aby uniknąć potencjalnych skutków ubocznych i nie zaburzyć naturalnej równowagi w jamie ustnej.
Kiedy chlorheksydyna ma sens i dlaczego tylko krótkoterminowo
Chlorheksydyna jest silnym środkiem antyseptycznym, który wykazuje dużą skuteczność w redukcji bakterii w jamie ustnej. Ma sens w krótkoterminowym leczeniu ostrego zapalenia dziąseł, po zabiegach chirurgicznych (np. ekstrakcjach, implantacjach) lub w sytuacjach, gdy pacjent nie jest w stanie utrzymać odpowiedniej higieny mechanicznej (np. po urazach, w przypadku bólu). Jej działanie polega na przyleganiu do powierzchni zębów i błon śluzowych, stopniowo uwalniając substancję czynną. Jednakże, jej długotrwałe stosowanie jest niewskazane ze względu na potencjalne skutki uboczne i ryzyko zaburzenia naturalnej flory bakteryjnej jamy ustnej, co może prowadzić do rozwoju innych problemów.
Jakie są najczęstsze działania niepożądane: przebarwienia, zmiana smaku, podrażnienie
Do najczęstszych działań niepożądanych związanych z długotrwałym stosowaniem chlorheksydyny należą: przebarwienia zębów i języka, które mogą być dość intensywne, ale są zazwyczaj odwracalne i możliwe do usunięcia podczas profesjonalnego czyszczenia w gabinecie. Innym częstym efektem jest przejściowe zaburzenie smaku, które ustępuje po zaprzestaniu stosowania preparatu. U niektórych osób może również wystąpić podrażnienie błony śluzowej jamy ustnej, objawiające się pieczeniem lub suchością. Ważne jest, aby być świadomym tych efektów i w razie ich wystąpienia skonsultować się z dentystą.
Kiedy warto zapytać dentystę o konkretny preparat do domowej pielęgnacji
Zawsze zalecam konsultowanie wyboru płukanek i innych preparatów do domowej pielęgnacji z dentystą lub periodontologiem. Specjalista, biorąc pod uwagę indywidualny stan zdrowia pacjenta, zaawansowanie choroby, obecność innych schorzeń czy przyjmowanych leków, dobierze odpowiedni środek i określi optymalny czas jego stosowania. To gwarantuje bezpieczeństwo i maksymalną skuteczność terapii, unikając jednocześnie niepotrzebnych działań niepożądanych.
Mity i pułapki: Czego unikać w domowym "leczeniu" paradontozy
Internet pełen jest "cudownych" receptur i domowych sposobów na leczenie paradontozy. Niestety, większość z nich jest nie tylko nieskuteczna, ale często wręcz szkodliwa. Poleganie na niesprawdzonych metodach może opóźnić właściwą diagnozę i leczenie, prowadząc do pogorszenia stanu zdrowia jamy ustnej i nieodwracalnych konsekwencji.
Oil pulling, soda, ocet, woda utleniona i inne popularne domowe metody
Wśród popularnych, lecz niesprawdzonych metod, często wymienia się płukanie ust olejem (tzw. oil pulling), stosowanie sody oczyszczonej, octu jabłkowego czy wody utlenionej. Muszę jasno powiedzieć: brak jest wiarygodnych dowodów naukowych potwierdzających ich skuteczność w leczeniu paradontozy. Co więcej, niektóre z nich mogą być szkodliwe. Na przykład, soda oczyszczona i ocet jabłkowy, ze względu na swoje właściwości ścierne lub kwasowe, mogą prowadzić do uszkodzenia szkliwa zębów, zwiększając ryzyko próchnicy i nadwrażliwości. Woda utleniona, stosowana w zbyt wysokim stężeniu lub zbyt często, może podrażniać dziąsła i błony śluzowe. Amerykańskie Towarzystwo Stomatologiczne (ADA) aktywnie dementuje te i podobne mity.
Dlaczego takie sposoby mogą opóźnić właściwe leczenie
Największym zagrożeniem związanym z wiarą w cudowne domowe "kuracje" jest to, że często prowadzą one do zwlekania z wizytą u specjalisty. Pacjenci, licząc na szybką i łatwą poprawę, tracą cenny czas, w którym paradontoza nieuchronnie postępuje, powodując dalsze, nieodwracalne zniszczenia tkanek przyzębia. To opóźnienie może skutkować koniecznością bardziej inwazyjnego i kosztownego leczenia w przyszłości, a nawet utratą zębów, której można by było uniknąć, gdyby interwencja nastąpiła wcześniej. Czas jest kluczowy w leczeniu paradontozy.
Jak odróżnić bezpieczne wsparcie higieny od niesprawdzonych „kuracji”
Aby odróżnić bezpieczne i skuteczne metody od niesprawdzonych "kuracji", zawsze szukaj informacji opartych na dowodach naukowych. Sprawdzaj, czy dane zalecenia są publikowane przez renomowane instytucje medyczne, takie jak towarzystwa stomatologiczne (np. Polskie Towarzystwo Periodontologiczne, ADA, EFP), uniwersytety medyczne czy uznane organizacje zdrowotne. Ostrzegam przed "cudownymi" rozwiązaniami promowanymi w internecie, które obiecują szybkie wyleczenie bez naukowego potwierdzenia. Zawsze konsultuj się ze swoim dentystą lub periodontologiem – to oni są najlepszym źródłem rzetelnej wiedzy i indywidualnie dopasowanych zaleceń.
Kiedy czas na specjalistę: Rozpoznaj sygnały alarmowe
Zrozumienie, kiedy domowa higiena przestaje być wystarczająca, a konieczna staje się interwencja specjalisty, jest kluczowe dla zachowania zdrowia jamy ustnej. Istnieją sygnały, których absolutnie nie wolno ignorować, ponieważ wskazują na zaawansowanie choroby wymagające profesjonalnej diagnostyki i leczenia.
Objawy alarmowe wymagające pilnej konsultacji
Jeśli zauważysz u siebie którekolwiek z poniższych objawów, niezwłocznie umów się na wizytę u dentysty lub periodontologa: nasilone krwawienie dziąseł, które nie ustępuje mimo poprawy higieny; obrzęk i ból dziąseł, często pulsujący lub nasilający się; pojawienie się ropy z kieszonek dziąsłowych; silna ruchomość zębów, nawet jeśli nie towarzyszy jej ból; zauważalna zmiana pozycji zębów (np. rozsuwanie się, przemieszczanie); utrzymujący się, bardzo nieprzyjemny zapach z ust, którego nie eliminuje regularne szczotkowanie; a także ogólne złe samopoczucie, gorączka lub powiększone węzły chłonne, które mogą wskazywać na rozprzestrzenienie się infekcji. Każdy z tych objawów jest sygnałem do natychmiastowej interwencji.
Po czym dentysta ocenia zaawansowanie choroby: kieszonki, krwawienie, zdjęcie RTG, utrata kości
Profesjonalna diagnostyka paradontozy jest kompleksowa. Dentysta lub periodontolog ocenia stan dziąseł, ich kolor, kształt i konsystencję. Kluczowym elementem jest sondowanie kieszonek przyzębnych, czyli pomiar głębokości przestrzeni między zębem a dziąsłem za pomocą specjalnej sondy. Głębokie kieszonki (powyżej 3 mm) wskazują na obecność paradontozy. Podczas sondowania sprawdza się również krwawienie, które jest wskaźnikiem aktywnego stanu zapalnego. Niezbędne są także zdjęcia rentgenowskie (pantomograficzne lub punktowe), które pozwalają ocenić stopień utraty kości wokół zębów. Na ich podstawie specjalista jest w stanie postawić dokładną diagnozę, określić zaawansowanie choroby i zaplanować indywidualny plan leczenia.
Dlaczego leczenie periodontologiczne zwykle trzeba zacząć od gabinetu, a dopiero potem kontynuować w domu
Leczenie periodontologiczne musi rozpocząć się w gabinecie stomatologicznym, ponieważ tylko tam możliwe jest usunięcie kamienia nazębnego i płytki bakteryjnej z głębokich kieszonek poddziąsłowych. Te miejsca są niedostępne dla domowych metod higienicznych. Kamień poddziąsłowy jest twardy i mocno przylega do powierzchni korzenia, stanowiąc idealne środowisko dla rozwoju szkodliwych bakterii. Usunięcie tej przyczyny zapalenia (bakterii i kamienia) jest podstawą skutecznego leczenia. Dopiero po profesjonalnym oczyszczeniu i wygładzeniu powierzchni korzeni, domowa higiena może efektywnie wspierać utrzymanie zdrowia, zapobiegając ponownemu gromadzeniu się płytki i kamienia.
Profesjonalne leczenie paradontozy: Od gabinetu do zdrowego uśmiechu
Leczenie paradontozy w gabinecie stomatologicznym to proces kompleksowy, który wymaga zaangażowania zarówno periodontologa, jak i pacjenta. Jego głównym celem jest eliminacja przyczyn choroby, zatrzymanie jej postępu i, o ile to możliwe, regeneracja utraconych tkanek. Bez profesjonalnej interwencji, w zaawansowanych stadiach, choroba będzie postępować.
Skaling i root planing jako podstawa usuwania złogów spod dziąseł
Podstawą leczenia niechirurgicznego paradontozy są zabiegi skalingu i root planingu. Skaling polega na profesjonalnym usunięciu kamienia nazębnego (naddziąsłowego i poddziąsłowego) oraz płytki bakteryjnej z powierzchni zębów. Root planing, czyli wygładzanie powierzchni korzeni zębów, to kolejny etap, podczas którego usuwa się toksyny bakteryjne i zmieniony chorobowo cement korzeniowy z kieszonek przyzębnych. Celem tych zabiegów jest stworzenie gładkiej, czystej powierzchni, do której dziąsło może ponownie przylegać, co sprzyja redukcji stanu zapalnego i zmniejszeniu głębokości kieszonek. Zabiegi te są często wykonywane w znieczuleniu miejscowym, aby zapewnić komfort pacjentowi.
Kiedy potrzebne są antybiotyki lub leczenie chirurgiczne
W niektórych, bardziej zaawansowanych przypadkach paradontozy, gdy standardowe leczenie nie jest wystarczające, periodontolog może zalecić dodatkowe interwencje. Antybiotyki, podawane miejscowo (np. w formie żelu do kieszonek) lub ogólnie (doustnie), mogą być stosowane w celu zwalczania specyficznych infekcji bakteryjnych. Jeśli kieszonki przyzębne są bardzo głębokie, a ich oczyszczenie metodami niechirurgicznymi jest niemożliwe, konieczne może być leczenie chirurgiczne. Obejmuje ono takie procedury jak kiretaż otwarty (odchylenie dziąsła w celu dokładnego oczyszczenia korzenia i kości), zabiegi regeneracyjne z użyciem materiałów kościozastępczych lub błon zaporowych (mające na celu odbudowę utraconej kości) oraz przeszczepy dziąseł (korekta recesji dziąseł). Celem chirurgii jest redukcja głębokości kieszonek i, w miarę możliwości, regeneracja utraconych tkanek.
Dlaczego po leczeniu potrzebne są wizyty podtrzymujące co kilka miesięcy
Paradontoza jest chorobą przewlekłą, co oznacza, że nawet po skutecznym leczeniu aktywnym, istnieje ryzyko nawrotu. Dlatego długoterminowa terapia podtrzymująca jest absolutnie niezbędna. Regularne wizyty kontrolne u periodontologa (zazwyczaj co 3-6 miesięcy, w zależności od indywidualnych potrzeb pacjenta) są kluczowe. Podczas tych wizyt monitoruje się stan dziąseł i kości, usuwa nowo powstałą płytkę i kamień nazębny, a także wcześnie wykrywa ewentualne nawroty choroby. Terapia podtrzymująca pozwala utrzymać efekty leczenia, zapobiega progresji choroby i chroni zęby przed dalszymi uszkodzeniami. To inwestycja w długoterminowe zdrowie jamy ustnej.
Twój codzienny plan: Jak dbać o dziąsła po diagnozie
Po diagnozie i ewentualnym leczeniu gabinetowym, kluczowe staje się wdrożenie rygorystycznego i konsekwentnego planu codziennej higieny jamy ustnej. To właśnie Twoje codzienne nawyki będą decydować o sukcesie w utrzymaniu zdrowia dziąseł i zapobieganiu nawrotom paradontozy. Pamiętaj, że konsekwencja w działaniu jest kluczem do sukcesu.
Prosty schemat poranny i wieczorny
Oto praktyczny schemat codziennej pielęgnacji, który pomoże Ci utrzymać dziąsła w najlepszej kondycji:
| Pora dnia | Czynność | Cel |
|---|---|---|
| Rano | 1. Dokładne szczotkowanie zębów (min. 2 minuty) | Usunięcie płytki bakteryjnej i resztek pokarmowych |
| 2. Czyszczenie przestrzeni międzyzębowych (nić/szczoteczki) | Usunięcie płytki z trudno dostępnych miejsc | |
| 3. Płukanie jamy ustnej (jeśli zalecone przez dentystę) | Wsparcie w redukcji bakterii | |
| Wieczór | 1. Dokładne szczotkowanie zębów (min. 2 minuty) | Kluczowe usunięcie płytki przed snem |
| 2. Czyszczenie przestrzeni międzyzębowych (nić/szczoteczki/irygator) | Kompleksowe oczyszczenie wszystkich powierzchni | |
| 3. Płukanie jamy ustnej (jeśli zalecone) | Ograniczenie namnażania bakterii w nocy | |
| Dodatkowo | Regularne wizyty kontrolne u dentysty/periodontologa | Monitorowanie stanu i profesjonalne czyszczenie |
| Kontrola czynników ryzyka (palenie, cukrzyca, dieta) | Wsparcie ogólnego zdrowia jamy ustnej |
Jak dobrać szczoteczkę, nić, szczoteczki międzyzębowe i płukankę
Dobór odpowiednich narzędzi jest indywidualny i najlepiej skonsultować go ze specjalistą. Generalnie zalecam:
- Szczoteczka: Miękka, z małą główką, aby dotrzeć do wszystkich zakamarków. Może być manualna lub elektryczna (soniczna/oscylacyjno-rotacyjna).
- Nić dentystyczna: Wybierz taką, która łatwo przechodzi przez Twoje przestrzenie międzyzębowe – woskowana, niewoskowana, z fluorem.
- Szczoteczki międzyzębowe: Są niezwykle skuteczne. Często potrzebne są różne rozmiary, aby dopasować je do różnych przestrzeni w jamie ustnej. Twój periodontolog pomoże Ci dobrać właściwe rozmiary.
- Płukanka: Stosuj tylko te, które zostały zalecone przez dentystę, zgodnie z instrukcją i przez określony czas.
Jak monitorować poprawę i kiedy zgłosić się na kontrolę wcześniej niż planowo
Samodzielne monitorowanie stanu dziąseł jest ważne. Zwracaj uwagę na: zmniejszenie krwawienia podczas szczotkowania, ustąpienie obrzęku, brak bólu i nieprzyjemnego zapachu z ust. Jeśli zauważysz, że dziąsła wyglądają zdrowiej, są jaśniejsze i mniej opuchnięte, to dobry znak. Jednakże, jeśli pojawią się nowe lub nasilą się istniejące objawy, takie jak ponowne krwawienie, ból, ruchomość zębów, ropienie, czy pogorszenie ogólnego samopoczucia, natychmiast umów się na wizytę u dentysty, nawet jeśli planowa kontrola jest dopiero za jakiś czas. Szybka reakcja może zapobiec poważniejszym problemom.
Najczęściej zadawane pytania o domowe leczenie paradontozy
Wokół tematu domowego leczenia paradontozy krąży wiele pytań i wątpliwości. Postaram się odpowiedzieć na te najczęściej pojawiające się, aby rozwiać wszelkie niejasności i utrwalić kluczowe informacje.
Czy paradontoza może sama zniknąć?
Niestety, paradontoza nie może sama zniknąć. Jest to choroba przewlekła i postępująca. Bez profesjonalnego leczenia w gabinecie stomatologicznym oraz bez rygorystycznej i odpowiedniej higieny domowej, jej objawy będą się nasilać, prowadząc do dalszych uszkodzeń tkanek przyzębia, utraty kości i w konsekwencji do utraty zębów. Wczesne stadium, czyli zapalenie dziąseł, może ustąpić, ale zaawansowana paradontoza wymaga zawsze interwencji specjalisty.
Czy domowe sposoby mogą zatrzymać krwawienie dziąseł?
Tak, prawidłowa i regularna higiena domowa – czyli dokładne szczotkowanie zębów i codzienne czyszczenie przestrzeni międzyzębowych – może znacząco zredukować, a nawet całkowicie zatrzymać krwawienie dziąseł, jeśli jest ono spowodowane łagodnym zapaleniem dziąseł (gingivitis). Jeśli jednak krwawienie jest objawem zaawansowanej paradontozy, domowe metody mogą jedynie zmniejszyć objawy, ale nie wyeliminują przyczyny (kamienia poddziąsłowego, głębokich kieszonek) bez interwencji specjalisty. W takim przypadku krwawienie będzie nawracać.
Czy irygator wystarczy zamiast nici?
Irygator jest doskonałym uzupełnieniem higieny jamy ustnej, szczególnie w usuwaniu luźnej płytki bakteryjnej i resztek pokarmowych, a także w płukaniu kieszonek. Jednakże, nie zawsze jest w stanie usunąć przylegającą płytkę bakteryjną i kamień nazębny tak skutecznie jak nić dentystyczna czy szczoteczki międzyzębowe. Wiele badań wskazuje, że szczoteczki międzyzębowe są często bardziej efektywne w mechanicznym usuwaniu płytki z przestrzeni międzyzębowych. Dlatego zaleca się stosowanie irygatora jako dodatku do nici dentystycznej lub szczoteczek międzyzębowych, a nie jako ich wyłącznego zamiennika, zwłaszcza w przypadku paradontozy.
Przeczytaj również: Gum care - co to znaczy i jak dbać o zdrowe dziąsła?
Jak długo trzeba dbać o dziąsła po leczeniu w gabinecie?
Dbanie o dziąsła po leczeniu w gabinecie to proces ciągły i trwający przez całe życie. Paradontoza jest chorobą przewlekłą, co oznacza, że wymaga stałej kontroli i utrzymania rygorystycznej higieny domowej oraz regularnych wizyt podtrzymujących u periodontologa. Nie ma możliwości "wyleczenia się" z paradontozy raz na zawsze i zaprzestania dbania o dziąsła. Tylko w ten sposób można zapobiec nawrotom choroby, utrzymać stabilny stan zdrowia jamy ustnej i zachować zęby na długie lata.
