Wizyta u dentysty - Kiedy ból nie może czekać i jak się przygotować?
21 kwietnia 2026
Boli Cię ząb? Dowiedz się, kiedy wizyta u dentysty jest konieczna. Sprawdź, jak wygląda leczenie, co zabrać do gabinetu i jak pokonać stres. Poznaj fakty!
Ból zębów potrafi być uciążliwy, ale nie musisz z nim walczyć sam. W tej kategorii znajdziesz praktyczne porady dotyczące przyczyn bólu oraz skutecznych metod leczenia. Nasze artykuły obejmują tematy związane z diagnostyką, nowoczesnymi technikami stomatologicznymi oraz domowymi sposobami na ulgę. Dowiesz się, jak dbać o higienę jamy ustnej, by zapobiegać problemom oraz jak reagować w sytuacjach kryzysowych. Zapraszamy do lektury, aby zyskać wiedzę, która pomoże Ci cieszyć się zdrowym i pięknym uśmiechem przez długie lata.
21 kwietnia 2026
Boli Cię ząb? Dowiedz się, kiedy wizyta u dentysty jest konieczna. Sprawdź, jak wygląda leczenie, co zabrać do gabinetu i jak pokonać stres. Poznaj fakty!
Znieczulenie miejscowe u dentysty - wszystko, co musisz wiedzieć. Czy boli? Jak długo działa? Poznaj rodzaje, bezpieczeństwo i praktyczne wskazówki.
Ropień zęba - objawy, leczenie i pilna pomoc. Dowiedz się, kiedy jest groźny, jak rozpoznać i co robić przed wizytą u dentysty. Sprawdź!
Martwy ząb - czy zawsze usuwać? Poznaj ryzyko, objawy infekcji i rokowanie. Dowiedz się, ile wytrzyma i kiedy pilna wizyta u dentysty jest kluczowa.
Co na ból zęba? Sprawdź domowe sposoby na ulgę i poznaj objawy, które wymagają natychmiastowej wizyty u dentysty. Działaj szybko!
Nieleczony stan zapalny zęba nie minie sam. Sprawdź objawy alarmowe, ryzyko powikłań i poznaj skuteczne metody leczenia infekcji. Dowiedz się więcej!
Torbiel pod zębem - dowiedz się, czym jest, jakie daje objawy i powikłania. Sprawdź, kiedy boli, jak diagnozować i leczyć, by uniknąć zagrożeń. Czytaj!
Ból zęba na zimne to sygnał nadwrażliwości lub ubytku. Dowiedz się, jak rozpoznać przyczynę, co pomaga doraźnie i kiedy udać się do stomatologa. Sprawdź!
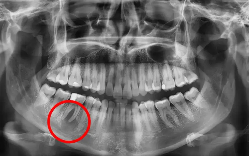
Ząb piątka - ile ma kanałów? Poznaj anatomię, objawy bólu i leczenie kanałowe górnej i dolnej piątki. Dowiedz się, kiedy wizyta u dentysty jest pilna.