Ropne zapalenie dziąseł - objawy i kiedy pilnie do dentysty?
17 kwietnia 2026
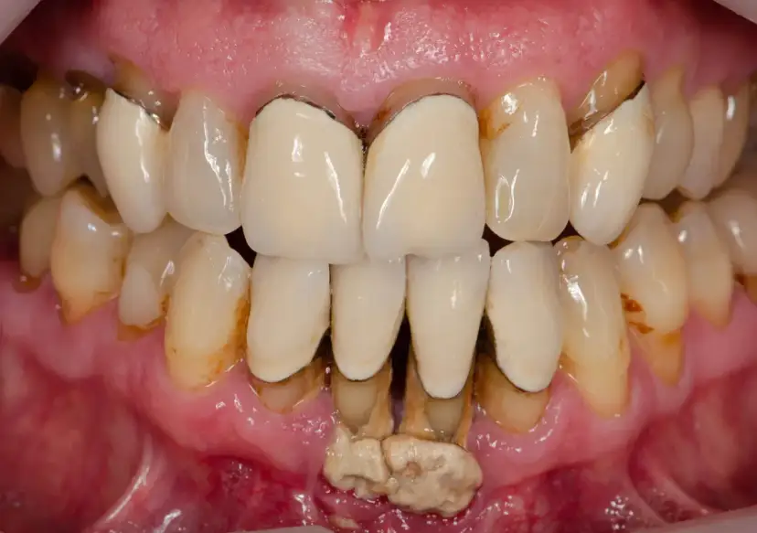
Ropne zapalenie dziąseł - poznaj objawy, przyczyny i leczenie. Sprawdź, kiedy pilnie udać się do dentysty i jak zapobiegać nawrotom.
Dziąsła i przyzębie to kluczowe elementy zdrowego uśmiechu, dlatego warto poświęcić im uwagę. W tej kategorii znajdziesz praktyczne porady dotyczące higieny jamy ustnej, sposoby na walkę z problemami dziąseł oraz informacje o najnowszych badaniach w stomatologii. Nasze artykuły pomogą Ci lepiej zrozumieć, jak dbać o swoje dziąsła, aby cieszyć się zdrowym uśmiechem przez długie lata. Zachęcamy do lektury, aby odkryć, jak proste zmiany w codziennej rutynie mogą znacząco wpłynąć na Twoje zdrowie jamy ustnej. Poznaj nasze wskazówki i dbaj o swój uśmiech z nami!
17 kwietnia 2026
Ropne zapalenie dziąseł - poznaj objawy, przyczyny i leczenie. Sprawdź, kiedy pilnie udać się do dentysty i jak zapobiegać nawrotom.
Boli Cię dziąsło? Rozróżnij podrażnienie od zapalenia. Poznaj domowe sposoby na ból dziąseł i dowiedz się, kiedy pilnie szukać pomocy dentysty. Sprawdź!
Nie ma magicznej tabletki na kieszonki dziąsłowe. Dowiedz się, co naprawdę działa, kiedy do dentysty i jak zapobiegać nawrotom. Sprawdź poradnik.
Paradontoza - czy jest zaraźliwa? Rozwiej wątpliwości! Dowiedz się, jak bakterie się przenoszą i co naprawdę wpływa na rozwój choroby. Sprawdź!
Szałwia na dziąsła - czy pomaga? Sprawdź, kiedy przyniesie ulgę, jak ją stosować i kiedy iść do dentysty. Poznaj bezpieczne zasady.
Ostre zapalenie dziąseł - przewodnik. Poznaj objawy, przyczyny i skuteczne leczenie. Sprawdź, kiedy krwawiące dziąsła wymagają pilnej wizyty u dentysty.
Paradontoza - czy leczenie domowe działa? Sprawdź, co naprawdę pomaga w higienie, czego unikać i kiedy konieczna jest wizyta u specjalisty.
Dziura w dziąśle - co oznacza? Poznaj przyczyny, objawy alarmowe i dowiedz się, kiedy pilnie iść do dentysty. Sprawdź, jak leczyć i zapobiegać.
Paradontoza i wypadanie zębów – czy to nieuniknione? Poznaj objawy, etapy choroby i skuteczne leczenie, by uratować swój uśmiech.