Odsłonięte szyjki zębowe: kompleksowe podejście do leczenia i profilaktyki
- Odsłonięte szyjki zębowe często prowadzą do nadwrażliwości i wymagają diagnostyki przyczyn.
- Wypełnienie kompozytowe może zmniejszyć nadwrażliwość, ale nie eliminuje pierwotnej przyczyny recesji dziąseł.
- Recesja dziąseł nie cofa się samoistnie, a leczenie ma na celu zatrzymanie jej postępu i ochronę tkanek.
- Kluczowe jest profesjonalne oczyszczenie zębów, korekta higieny i stosowanie preparatów odczulających jako pierwszy etap leczenia.
- W przypadku głębokich recesji lub problemów estetycznych, często konieczne jest leczenie periodontologiczne, np. przeszczep dziąsła.
- Odsłonięte korzenie zwiększają ryzyko próchnicy, zwłaszcza przy zaniedbanej higienie.

Odsłonięte szyjki zębowe i wypełnienie: czym dokładnie jest problem
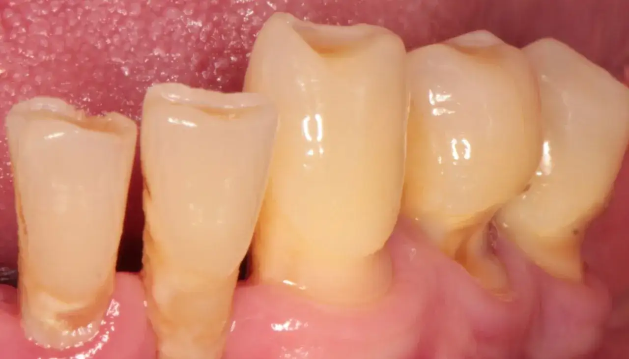
Odsłonięte szyjki zębowe to stan, w którym dochodzi do obniżenia linii dziąseł, co eksponuje powierzchnię korzenia zęba. Problem ten jest często związany z recesją dziąseł, czyli cofaniem się tkanek miękkich, lub z ubytkiem przyszyjkowym, czyli ubytkiem twardych tkanek zęba w okolicy przydziąsłowej. Typowe objawy to przede wszystkim nadwrażliwość na zimno, ciepło, słodkie pokarmy oraz dotyk, co znacząco obniża komfort życia. Może pojawić się również nieestetyczny wygląd zębów, które wydają się dłuższe.
- Czym są odsłonięte szyjki zębowe i dlaczego bolą: Odsłonięte szyjki zębowe to nic innego jak ekspozycja zębiny – warstwy zęba znajdującej się pod szkliwem i cementem korzeniowym. Zębina jest porowata i zawiera tysiące mikroskopijnych kanalików zębinowych, które prowadzą bezpośrednio do miazgi zęba, czyli jego żywej części. Kiedy te kanaliki są odsłonięte, bodźce zewnętrzne (zimno, ciepło, słodycz, dotyk) łatwo docierają do zakończeń nerwowych w miazdze, wywołując ostry, krótki ból.
- Czym różni się recesja dziąseł od ubytku przyszyjkowego: Recesja dziąseł to proces, w którym brzeg dziąsła przesuwa się w kierunku wierzchołka korzenia, odsłaniając powierzchnię korzenia zęba. Jest to problem tkanek miękkich. Z kolei ubytek przyszyjkowy (tzw. ubytek klinowy) to ubytek twardych tkanek zęba, najczęściej szkliwa i zębiny, w okolicy szyjki zęba, który ma charakterystyczny kształt klina. Może on występować niezależnie od recesji dziąseł, choć często współistnieją.
- Kiedy nadwrażliwość oznacza tylko odsłonięcie zębiny, a kiedy trzeba szukać próchnicy lub stanu zapalnego: Nadwrażliwość może być wyłącznie wynikiem odsłonięcia zębiny. Jednakże, jeśli ból jest silny, długotrwały, pojawia się samoistnie lub towarzyszy mu krwawienie dziąseł, obrzęk, a także jeśli zauważymy ciemne plamy na powierzchni zęba, może to wskazywać na poważniejsze problemy. Odsłonięte korzenie zwiększają ryzyko próchnicy korzenia, szczególnie przy zaniedbanej higienie, suchości jamy ustnej i odkładaniu płytki bakteryjnej. W takich przypadkach konieczna jest pilna diagnostyka, aby wykluczyć próchnicę lub stan zapalny przyzębia.
Najczęstsze przyczyny odsłonięcia szyjek zębowych
Zrozumienie przyczyn odsłoniętych szyjek zębowych jest kluczowe dla skutecznego leczenia i zapobiegania nawrotom. Problem ten rzadko ma jedną, izolowaną przyczynę; zazwyczaj jest wynikiem współdziałania kilku czynników, zarówno mechanicznych, jak i biologicznych. Moją rolą jako eksperta jest zawsze dokładna diagnostyka, aby zidentyfikować te czynniki i zaproponować kompleksowe rozwiązanie. Według danych Polskiego Towarzystwa Stomatologicznego, nieprawidłowa higiena jamy ustnej jest jednym z najpowszechniejszych czynników ryzyka.
- Zbyt mocne szczotkowanie i ścieranie okolicy przydziąsłowej: To jedna z najczęstszych przyczyn recesji dziąseł. Używanie twardej szczoteczki, zbyt duży nacisk podczas szczotkowania lub nieprawidłowa technika (np. poziome szorowanie) prowadzi do mechanicznego ścierania dziąsła i twardych tkanek zęba w okolicy szyjki.
- Choroba przyzębia, kamień nazębny i stan zapalny dziąseł: Choroba przyzębia (periodontitis) to przewlekły stan zapalny tkanek otaczających ząb, który prowadzi do destrukcji kości i więzadeł utrzymujących ząb w zębodole. Nagromadzony kamień nazębny i płytka bakteryjna wywołują stan zapalny dziąseł (gingivitis), który z czasem może przerodzić się w periodontitis, skutkując cofaniem się dziąseł i odsłanianiem szyjek.
- Bruksizm, wada zgryzu, urazy i czynniki anatomiczne: Bruksizm, czyli nieświadome zgrzytanie i zaciskanie zębów, generuje nadmierne siły na zęby, co może prowadzić do przeciążeń i w konsekwencji do ubytków przyszyjkowych oraz recesji. Wady zgryzu, nieprawidłowe ustawienie zębów czy urazy mechaniczne (np. piercing wargi lub języka) również mogą przyczyniać się do problemu. Cienki biotyp dziąsła, czyli genetycznie uwarunkowana cienka i delikatna tkanka dziąsłowa, jest anatomicznym czynnikiem ryzyka.
- Erozja, abrazja i inne niepróchnicowe ubytki szkliwa: Erozja to chemiczne rozpuszczanie szkliwa i zębiny przez kwasy, niezwiązane z działaniem bakterii (np. z kwaśnych napojów, refluksu żołądkowo-przełykowego). Abrazja to mechaniczne ścieranie tkanek zęba, inne niż to spowodowane szczotkowaniem, np. przez twarde pokarmy, nawykowe obgryzanie paznokci, czy używanie wykałaczek. Te procesy prowadzą do utraty twardych tkanek zęba, co również sprzyja odsłanianiu szyjek.

Czy wypełnienie pomaga na odsłonięte szyjki zębowe
Wypełnienie odsłoniętych szyjek zębowych, potocznie nazywane "plombą", jest jedną z metod leczenia, jednak ważne jest, aby zrozumieć, że nie zawsze stanowi kompleksowe rozwiązanie problemu. Może przynieść natychmiastową ulgę w nadwrażliwości i poprawić estetykę, ale kluczem do długotrwałego sukcesu jest zawsze adresowanie pierwotnej przyczyny. Z mojego doświadczenia wynika, że bez wyeliminowania czynników sprawczych, wypełnienie może być tylko tymczasowym środkiem.
- Kiedy bonding lub plomba rzeczywiście ma sens: Wypełnienie kompozytowe, często określane jako bonding, ma sens, gdy chcemy przede wszystkim zmniejszyć nadwrażliwość, przykryć odsłoniętą powierzchnię korzenia i poprawić estetykę uśmiechu. Jest to szczególnie skuteczne w przypadku ubytków przyszyjkowych (klinowych) oraz w mniejszych recesjach, gdzie dziąsło nie cofnęło się znacząco. Wypełnienie tworzy barierę ochronną, która izoluje zębinę od bodźców zewnętrznych, przynosząc natychmiastową ulgę.
- Kiedy wypełnienie tylko maskuje objaw, a nie leczy przyczyny: Samo wypełnienie nie wystarczy, jeśli nie usunięto pierwotnej przyczyny recesji. Jeśli problemem jest zbyt mocne szczotkowanie, bruksizm czy nieleczona choroba przyzębia, bez interwencji w te czynniki, recesja będzie postępować obok wypełnienia lub może dojść do jego utraty. W takim przypadku wypełnienie jest jedynie "plastrem" na objaw, a nie rozwiązaniem źródła problemu.
- W jakich sytuacjach lepsze są preparaty odczulające, a kiedy leczenie periodontologiczne: W początkowych stadiach nadwrażliwości, gdy recesja jest minimalna, a ubytek przyszyjkowy niewielki, często wystarczające są preparaty odczulające – specjalne pasty, płukanki czy lakiery aplikowane przez stomatologa. Tworzą one warstwę ochronną na zębinie lub blokują kanaliki zębinowe. Natomiast przy większej recesji, problemach estetycznych, postępującym cofaniu się dziąseł lub gdy istnieje ryzyko utraty zęba, konieczne jest bardziej zaawansowane leczenie periodontologiczne. Może to obejmować zabiegi chirurgiczne, takie jak przeszczep dziąsła, które mają na celu trwałe pokrycie odsłoniętej powierzchni korzenia i odbudowę tkanek.
Jakie materiały stosuje się przy wypełnieniu szyjek zębowych
Wybór odpowiedniego materiału do wypełnienia odsłoniętych szyjek zębowych jest kluczowy dla trwałości i estetyki zabiegu. Na rynku dostępnych jest kilka opcji, a decyzja o zastosowaniu konkretnego materiału zależy od wielu czynników, takich jak lokalizacja ubytku, warunki w jamie ustnej, estetyka oraz ryzyko próchnicy. Zawsze staram się dobrać materiał, który najlepiej spełni oczekiwania pacjenta i zapewni optymalne rezultaty kliniczne.
| Materiał | Charakterystyka | Zastosowanie przy odsłoniętych szyjkach | Co wpływa na wybór |
|---|---|---|---|
| Kompozyt estetyczny | Wysoka estetyka, adhezyjny (wiąże się chemicznie z tkankami zęba), szeroka gama kolorów | Najczęstsze rozwiązanie, szczególnie w widocznych miejscach, gdzie estetyka jest priorytetem. Skutecznie pokrywa odsłonięte szyjki i redukuje nadwrażliwość. | Estetyka, warunki kliniczne (np. suchość pola zabiegowego), możliwość izolacji (utrzymanie suchości podczas aplikacji), retencja (zdolność materiału do utrzymania się w ubytku), ryzyko próchnicy. |
| Szkło-jonomer i szkło-jonomer modyfikowany żywicą | Uwalnianie fluoru (działanie przeciwpróchnicowe), dobra adhezja do zębiny, tolerancja na wilgoć | W miejscach mniej widocznych, w przypadku trudności z izolacją (np. poddziąsłowo), u pacjentów z wysokim ryzykiem próchnicy. Modyfikowane żywicą mają lepsze właściwości mechaniczne i estetyczne. | Wilgoć (szkło-jonomery są mniej wrażliwe na wilgoć), ryzyko próchnicy (uwalnianie fluoru), warunki kliniczne, retencja. |
| Odczulające żywice i preparaty zabezpieczające powierzchnię korzenia | Tworzą cienką warstwę ochronną, blokują kanaliki zębinowe, nie są materiałami wypełniającymi w tradycyjnym sensie | Czasowe lub wspomagające leczenie nadwrażliwości, zwłaszcza gdy recesja jest minimalna i nie ma ubytku tkanek twardych. Mogą być stosowane jako uzupełnienie innych metod leczenia. | Stopień nadwrażliwości, brak potrzeby odbudowy utraconych tkanek, jako uzupełnienie leczenia, estetyka (są przezroczyste lub lekko zabarwione). |

Jak wygląda leczenie w gabinecie krok po kroku
Leczenie odsłoniętych szyjek zębowych w gabinecie stomatologicznym to proces, który zawsze rozpoczynam od dokładnej diagnostyki. Moim celem jest nie tylko usunięcie objawów, ale przede wszystkim zidentyfikowanie i wyeliminowanie przyczyn problemu. Poniżej przedstawiam typowy przebieg leczenia, który staram się dostosować do indywidualnych potrzeb każdego pacjenta.
- Diagnostyka przyczyny i ocena stopnia recesji: Pierwszym i najważniejszym krokiem jest kompleksowe badanie jamy ustnej. Oceniam stopień recesji dziąseł, obecność ubytków przyszyjkowych, stan higieny, zgryz, a także identyfikuję potencjalne czynniki ryzyka, takie jak bruksizm czy nieprawidłowa technika szczotkowania. To pozwala mi na ustalenie pierwotnej przyczyny problemu.
- Skaling, piaskowanie, polerowanie i instruktaż higieny: Zawsze zaczynamy od profesjonalnego oczyszczania zębów. Skaling to usunięcie kamienia nazębnego, piaskowanie usuwa osady i przebarwienia, a polerowanie wygładza powierzchnię zębów, utrudniając przyleganie płytki bakteryjnej. Niezwykle ważny jest również szczegółowy instruktaż higieny jamy ustnej. Uczę pacjentów prawidłowej techniki szczotkowania, doboru odpowiedniej szczoteczki i pasty, co jest fundamentem w zapobieganiu dalszemu cofaniu się dziąseł.
- Zabezpieczenie powierzchni zęba materiałem odczulającym lub kompozytem: W zależności od diagnozy, mogę zastosować preparaty odczulające, które zamykają kanaliki zębinowe, lub wykonać wypełnienie kompozytowe (bonding) w celu pokrycia odsłoniętej powierzchni korzenia. Wybór metody zależy od rozległości problemu, stopnia nadwrażliwości i oczekiwań estetycznych.
- Kontrola efektów i decyzja, czy potrzebne są kolejne zabiegi: Po wykonaniu początkowych procedur zawsze zapraszam pacjenta na wizytę kontrolną. Monitorujemy postępy leczenia, oceniamy redukcję nadwrażliwości i stan dziąseł. Jeśli problem jest zaawansowany lub wymaga specjalistycznej interwencji, mogę skierować pacjenta do periodontologa – specjalisty od chorób dziąseł i przyzębia.
Kiedy potrzebny jest periodontolog i przeszczep dziąsła
Chociaż wiele przypadków odsłoniętych szyjek zębowych można skutecznie leczyć w gabinecie stomatologa ogólnego, istnieją sytuacje, w których interwencja specjalisty periodontologa jest nie tylko wskazana, ale wręcz niezbędna. Periodontolog to ekspert w dziedzinie chorób dziąseł i tkanek otaczających ząb, a jego wiedza i umiejętności są kluczowe w zaawansowanych przypadkach. Według Raportu Zdrowie Dziąseł, przeszczepy dziąsła osiągają wysokie wskaźniki sukcesu w długoterminowej stabilizacji recesji.- Głębokie recesje i odsłonięty korzeń: Jeśli recesja dziąseł jest znaczna, a duża część korzenia zęba jest odsłonięta, samo wypełnienie może nie być wystarczające. W takich przypadkach periodontolog może zaproponować zabiegi chirurgiczne mające na celu pokrycie odsłoniętej powierzchni korzenia.
- Duża nadwrażliwość, problemy estetyczne i ryzyko dalszego cofania się dziąseł: Kiedy nadwrażliwość jest uporczywa i nie reaguje na mniej inwazyjne metody, a także gdy odsłonięte szyjki znacząco wpływają na estetykę uśmiechu, leczenie periodontologiczne staje się priorytetem. Jest to również ważne, gdy istnieje wysokie ryzyko dalszego postępu recesji.
- Dlaczego zabieg chirurgiczny bywa trwalszy niż samo wypełnienie: Recesja dziąseł, w przeciwieństwie do niektórych innych problemów stomatologicznych, nie cofa się samoistnie. Oznacza to, że raz cofnięte dziąsło nie powróci do swojej pierwotnej pozycji. Wypełnienie, choć skuteczne w redukcji nadwrażliwości, nie odbudowuje utraconych tkanek dziąsła. Natomiast przeszczep dziąsła, czyli zabieg chirurgiczny polegający na pobraniu fragmentu tkanki z innego miejsca w jamie ustnej (najczęściej z podniebienia) i przeszczepieniu go w miejsce recesji, może trwale pokryć odsłoniętą powierzchnię korzenia, zapobiec dalszemu cofaniu się dziąseł i przywrócić naturalny wygląd.

Co można robić w domu, żeby zmniejszyć ból i nie pogorszyć sytuacji
Rola pacjenta w domowej profilaktyce i łagodzeniu objawów odsłoniętych szyjek zębowych jest nie do przecenienia. Nawet najlepsze leczenie gabinetowe nie przyniesie długotrwałych efektów, jeśli codzienne nawyki nie zostaną skorygowane. Wierzę, że świadoma i prawidłowa higiena to podstawa utrzymania zdrowia jamy ustnej i komfortu.
- Pasta na nadwrażliwość i miękka szczoteczka: To podstawa. Stosowanie specjalistycznych past do zębów na nadwrażliwość, które zawierają składniki blokujące kanaliki zębinowe (np. sole potasu, arginina, fluorek cyny), może znacząco zmniejszyć dyskomfort. Niezbędna jest również miękka szczoteczka, która delikatnie, ale skutecznie oczyści zęby bez uszkadzania dziąseł i szyjek.
- Prawidłowa technika szczotkowania bez nacisku: Zbyt mocne szorowanie to wróg numer jeden dla odsłoniętych szyjek. Należy przyjąć delikatną, okrężną lub wymiatającą technikę szczotkowania, skupiając się na dokładnym oczyszczeniu powierzchni zębów i linii dziąseł, ale bez wywierania nadmiernego nacisku.
- Ograniczenie kwaśnych napojów, twardych bodźców i nadmiernego szorowania: Kwasy zawarte w napojach gazowanych, sokach owocowych czy niektórych produktach spożywczych mogą przyczyniać się do erozji szkliwa i zębiny, pogarszając stan odsłoniętych szyjek. Unikanie twardych pokarmów, które mogą mechanicznie uszkadzać dziąsła, oraz nawyków takich jak obgryzanie paznokci, również jest ważne.
- Znaczenie regularnych wizyt higienizacyjnych: Regularne wizyty u stomatologa i higienistki stomatologicznej są kluczowe. Profesjonalne czyszczenie usuwa kamień nazębny i płytkę, której nie jesteśmy w stanie usunąć samodzielnie, a także pozwala na wczesne wykrycie i interwencję w przypadku nowych problemów.
Kiedy nie czekać z wizytą u stomatologa
Chociaż wiele przypadków nadwrażliwości można opanować domowymi metodami i regularnymi wizytami, istnieją sygnały alarmowe, które powinny skłonić nas do natychmiastowej konsultacji ze stomatologiem. Ignorowanie tych objawów może prowadzić do poważniejszych konsekwencji i trudniejszego leczenia w przyszłości. Zawsze powtarzam moim pacjentom, że lepiej dmuchać na zimne.
- Ból samoistny lub narastający mimo odczulania: Jeśli ból zęba pojawia się bez wyraźnego bodźca (samoistnie), jest silny, pulsujący lub narasta, mimo stosowania past i płukanek odczulających, może to wskazywać na zapalenie miazgi zęba lub inne poważniejsze schorzenie.
- Krwawienie dziąseł, ruchomość zębów i szybkie pogłębianie recesji: Te objawy są klasycznymi sygnałami zaawansowanej choroby przyzębia. Krwawienie podczas szczotkowania, obrzęk dziąseł, a zwłaszcza zauważalna ruchomość zębów lub szybkie cofanie się dziąseł, wymagają natychmiastowej interwencji periodontologicznej.
- Podejrzenie próchnicy korzenia lub stanu zapalnego przyzębia: Jak już wspomniałem, odsłonięte korzenie zwiększają ryzyko próchnicy, która może rozwijać się szybko i bezboleśnie. Jeśli zauważysz ciemne plamy na odsłoniętych powierzchniach korzeni lub inne zmiany, które budzą Twój niepokój, nie zwlekaj z wizytą. Stan zapalny przyzębia również wymaga pilnego leczenia, aby zapobiec dalszej utracie kości i ewentualnej utracie zębów.
Najczęstsze pytania o wypełnienie odsłoniętych szyjek zębowych
Wielu pacjentów, z którymi pracuję, ma podobne pytania dotyczące leczenia odsłoniętych szyjek zębowych. Postanowiłem zebrać te najczęściej zadawane i udzielić na nie wyczerpujących odpowiedzi, aby rozwiać wszelkie wątpliwości i pomóc w podjęciu świadomych decyzji.
Czy plomba na szyjkę zęba jest trwała?
Trwałość wypełnienia na szyjce zęba zależy od wielu czynników. Materiały kompozytowe są bardzo trwałe, ale ich żywotność jest ściśle związana z przyczyną problemu. Jeśli nie wyeliminujemy czynników, które doprowadziły do odsłonięcia szyjki (np. zbyt mocne szczotkowanie, bruksizm), wypełnienie może ulec uszkodzeniu, ścieraniu, a nawet wypaść. Kluczowa jest więc dbałość o prawidłową higienę i regularne kontrole u stomatologa.
Czy taki zabieg boli?
Zabieg wypełniania odsłoniętych szyjek zębowych jest zazwyczaj bezbolesny. W większości przypadków stosuję znieczulenie miejscowe, które całkowicie eliminuje dyskomfort podczas procedury. Po zabiegu pacjenci mogą odczuwać minimalny dyskomfort lub krótkotrwałą nadwrażliwość, która zwykle szybko ustępuje.
Czy po wypełnieniu trzeba zmienić szczoteczkę i pastę?
Często zalecam zmianę szczoteczki na miękką lub ultra-miękką oraz stosowanie pasty na nadwrażliwość. Jest to kluczowe dla zapobiegania nawrotom problemu i ochrony zarówno wypełnienia, jak i pozostałych tkanek zęba. Prawidłowa technika szczotkowania jest równie ważna, aby nie uszkodzić nowo założonego wypełnienia i nie spowodować dalszej recesji.
Przeczytaj również: Ostre zapalenie dziąseł - objawy, leczenie - kiedy pilnie do dentysty?
Czy odsłonięte szyjki można całkowicie wyleczyć?
Pamiętajmy, że recesja dziąseł nie cofa się samoistnie. Oznacza to, że utracone dziąsło nie odrośnie. Jednakże, dzięki odpowiedniemu leczeniu – czy to poprzez wypełnienia, preparaty odczulające, czy zaawansowane zabiegi periodontologiczne, takie jak przeszczep dziąsła – możemy skutecznie zatrzymać postęp recesji, zredukować objawy nadwrażliwości, poprawić estetykę i przywrócić pełen komfort. W wielu przypadkach udaje się całkowicie pokryć odsłonięte powierzchnie i zapewnić długotrwałe rezultaty, co ja osobiście uważam za pełne wyleczenie w kontekście funkcjonalności i estetyki.
