Zapalenie dziąsła przy ósemce, fachowo nazywane zapaleniem okołokoronowym (pericoronitis), to częsta i uciążliwa dolegliwość, która potrafi zaskoczyć nagłym bólem i dyskomfortem. Problem ten, choć często bagatelizowany, wymaga uwagi, ponieważ nieleczony może prowadzić do poważniejszych powikłań. W tym artykule omówię, czym jest to schorzenie, jak rozpoznać jego objawy, co można zrobić doraźnie w domu, a przede wszystkim – kiedy konieczna jest pilna wizyta u dentysty. Zapewniam praktyczne wskazówki, które pomogą Ci zrozumieć problem i podjąć właściwe kroki.
Zapalenie dziąsła przy ósemce: szybka pomoc i sygnały alarmowe
- Zapalenie dziąsła przy ósemce, czyli pericoronitis, to stan zapalny często związany z częściowym wyrzynaniem zęba mądrości.
- Główną przyczyną jest gromadzenie się resztek jedzenia i bakterii pod kapturkiem dziąsłowym, zwłaszcza w przypadku dolnych ósemek.
- Typowe objawy to ból, obrzęk, nieprzyjemny zapach z ust, a w zaawansowanych przypadkach gorączka czy trudności w otwieraniu ust.
- Doraźnie można stosować płukanki z ciepłej wody z solą i leki przeciwbólowe, ale nie zastępują one profesjonalnego leczenia.
- Pilna wizyta u dentysty jest niezbędna przy obrzęku twarzy lub szyi, trudnościach w połykaniu, szczękościsku lub szybko narastających objawach.
- Leczenie stomatologiczne obejmuje oczyszczenie, a często ekstrakcję zęba, aby zapobiec nawrotom i powikłaniom.

Zapalenie dziąsła przy ósemce: czym jest i dlaczego pojawia się właśnie przy zębie mądrości
Kiedy mówimy o „zapaleniu dziąsła przy ósemce”, najczęściej mamy na myśli zapalenie okołokoronowe, czyli pericoronitis. Jest to stan zapalny tkanek miękkich otaczających częściowo wyrżnięty lub zaklinowany ząb mądrości, czyli ósemkę. Problem ten dotyczy głównie zębów, które nie mają wystarczająco miejsca, aby w pełni wyrosnąć, przez co część ich korony pozostaje pokryta dziąsłem. To właśnie ta specyficzna sytuacja stwarza idealne warunki dla rozwoju infekcji, co czyni ósemki szczególnie podatnymi na tego typu dolegliwości.

Najczęstsze przyczyny zapalenia dziąsła przy ósemce
Zapalenie okołokoronowe to złożony problem, którego mechanizm powstawania wynika z kilku kluczowych czynników, ściśle związanych z procesem wyrzynania się zębów mądrości.
-
Częściowo wyrżnięta lub zaklinowana ósemka
Niepełne wyrzynanie się zęba mądrości jest głównym winowajcą. Gdy ósemka nie może w pełni przebić się przez dziąsło, tworzy się tak zwany kapturek dziąsłowy – fałd tkanki, który częściowo przykrywa koronę zęba. Pod tym kapturkiem powstaje idealne środowisko dla rozwoju bakterii beztlenowych, które są odpowiedzialne za stan zapalny. Trudno dostępne miejsce sprzyja gromadzeniu się resztek jedzenia i płytki bakteryjnej, co jest bezpośrednią przyczyną infekcji. -
Zaleganie resztek jedzenia i bakterii pod kapturkiem dziąsłowym
Obszar pod kapturkiem dziąsłowym jest niezwykle trudny do skutecznego oczyszczenia za pomocą szczoteczki do zębów czy nici dentystycznej. Resztki pokarmowe, zwłaszcza te drobne i włókniste, łatwo tam zalegają, stając się pożywką dla bakterii. W efekcie dochodzi do namnażania się mikroorganizmów, co prowadzi do reakcji zapalnej, a w konsekwencji do bólu, obrzęku i innych nieprzyjemnych objawów.
-
Dlaczego dolne ósemki chorują częściej niż górne
Zapalenie okołokoronowe znacznie częściej dotyka dolnych zębów mądrości niż górnych. Wynika to z kilku przyczyn. Po pierwsze, dolne ósemki mają tendencję do bardziej skomplikowanego, często poziomego lub ukośnego wyrzynania się, co zwiększa ryzyko tworzenia się kapturka dziąsłowego. Po drugie, są one trudniej dostępne dla szczoteczki, co utrudnia utrzymanie higieny. Dodatkowo, w dolnej szczęce często brakuje miejsca na pełne wyrznięcie się zęba, co potęguje problem. Moje doświadczenie pokazuje, że pacjenci z dolnymi ósemkami znacznie częściej zgłaszają się z nawracającymi stanami zapalnymi.
Rozumiejąc te mechanizmy, łatwiej jest podjąć świadome decyzje dotyczące leczenia i profilaktyki, aby uniknąć nawrotów i poważniejszych powikłań.
Objawy, które najczęściej wskazują na stan zapalny przy ósemce
Rozpoznanie zapalenia okołokoronowego często zaczyna się od charakterystycznych objawów, które mogą narastać od łagodnego dyskomfortu do silnego bólu i ogólnego złego samopoczucia. Ważne jest, aby umieć je odróżnić i odpowiednio zareagować.
- Ból przy gryzieniu i uczucie rozpierania z tyłu jamy ustnej: To jeden z pierwszych i najbardziej typowych objawów. Ból może być pulsujący, nasilać się podczas jedzenia, a nawet promieniować do ucha lub skroni. Często towarzyszy mu uczucie ucisku lub rozpierania w okolicy zęba mądrości.
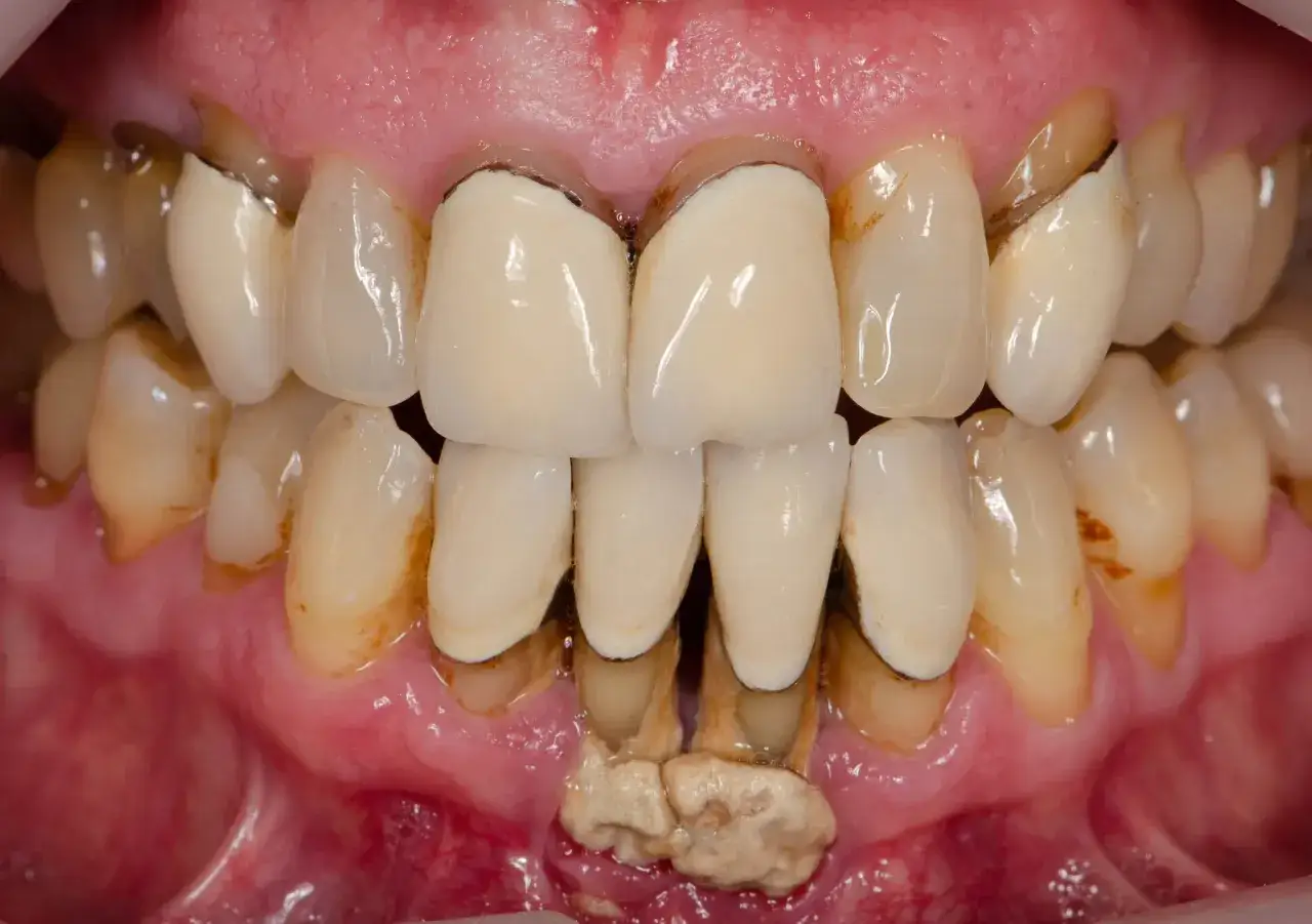
- Obrzęk, zaczerwienienie i bolesność dziąsła: Dziąsło wokół częściowo wyrżniętej ósemki staje się opuchnięte, czerwone i bardzo tkliwe na dotyk. Można zauważyć, że kapturek dziąsłowy jest powiększony i bolesny.
- Nieprzyjemny smak, brzydki zapach z ust i możliwa ropa: Nagromadzone bakterie i resztki jedzenia pod kapturkiem dziąsłowym prowadzą do powstawania nieprzyjemnego zapachu z ust (halitozy) oraz metalicznego lub gorzkiego posmaku. W zaawansowanych przypadkach, przy ucisku na dziąsło, może pojawić się wydzielina ropna, co jest wyraźnym sygnałem aktywnej infekcji.
- Gorączka, powiększone węzły chłonne i szczękościsk: Te objawy wskazują na bardziej zaawansowaną infekcję, która zaczyna wpływać na cały organizm. Gorączka, powiększenie i bolesność węzłów chłonnych podżuchwowych oraz trudności w pełnym otwieraniu ust (szczękościsk) są sygnałami, że infekcja rozprzestrzenia się i wymaga szybkiej interwencji stomatologicznej.
Wczesne rozpoznanie tych objawów pozwala na szybsze podjęcie leczenia i uniknięcie poważniejszych powikłań.
Kiedy to już wymaga pilnej wizyty u dentysty
Chociaż wiele przypadków zapalenia dziąsła przy ósemce można początkowo łagodzić domowymi sposobami, istnieją objawy, które powinny natychmiast skłonić Cię do wizyty u dentysty. Ignorowanie ich może prowadzić do poważnych konsekwencji zdrowotnych.- Obrzęk twarzy lub szyi: Jeśli zauważysz, że opuchlizna rozprzestrzenia się poza samą okolicę zęba, obejmując policzek, żuchwę, a nawet szyję, jest to sygnał, że infekcja zaczęła się szerzyć. Taki obrzęk wymaga natychmiastowej oceny stomatologicznej, ponieważ może wskazywać na ropień lub zapalenie tkanki łącznej.
- Trudność w połykaniu lub otwieraniu ust (szczękościsk): Kiedy ból i obrzęk są tak silne, że utrudniają normalne połykanie pokarmów lub ograniczają ruchomość żuchwy, mówimy o szczękościsku. Te objawy świadczą o poważnym zaangażowaniu mięśni i tkanek okołozębowych w proces zapalny i wymagają pilnej interwencji.
- Gorączka i szybko narastający ból: Jeśli oprócz miejscowych objawów pojawia się gorączka, dreszcze, ogólne osłabienie, a ból staje się nieznośny i szybko narasta, oznacza to, że organizm walczy z rozwijającą się infekcją. W takiej sytuacji nie ma co czekać – pilna wizyta jest niezbędna.
- Objawy, których nie wolno przeczekać w domu: Podsumowując, wszelkie objawy wskazujące na rozprzestrzenianie się infekcji poza jamę ustną, takie jak obrzęk twarzy/szyi, szczękościsk, trudności w połykaniu, a także gorączka i gwałtownie nasilający się ból, to czerwone flagi. W takich przypadkach domowe sposoby nie wystarczą i mogą jedynie opóźnić konieczne leczenie, zwiększając ryzyko powikłań.
Co można zrobić w domu do czasu wizyty
W oczekiwaniu na wizytę u dentysty, możesz podjąć pewne kroki, aby złagodzić ból i dyskomfort. Pamiętaj jednak, że są to jedynie działania doraźne, które nie leczą przyczyny problemu i nie zastąpią profesjonalnej pomocy.
- Delikatna higiena okolicy i usuwanie zalegających resztek: Mimo bólu i obrzęku, staraj się bardzo delikatnie czyścić okolicę zapalnej ósemki. Użyj miękkiej szczoteczki do zębów, aby usunąć resztki jedzenia, które mogłyby pogłębić stan zapalny. Pamiętaj, aby robić to z dużą ostrożnością, aby nie podrażnić dodatkowo dziąsła.
- Płukanie ciepłą wodą z solą lub płynem zaleconym przez dentystę: Ciepłe płukanki z solą (pół łyżeczki soli na szklankę ciepłej wody) mogą przynieść ulgę, zmniejszyć obrzęk i pomóc w wypłukaniu resztek. Sól działa antyseptycznie. Jeśli dentysta wcześniej zalecił płukankę z chlorheksydyną, możesz jej użyć zgodnie z instrukcją – chlorheksydyna ma silne właściwości antybakteryjne.
- Leki przeciwbólowe dostępne bez recepty: W celu złagodzenia bólu możesz sięgnąć po standardowe leki przeciwbólowe dostępne bez recepty, takie jak ibuprofen czy paracetamol. Stosuj je zgodnie z zaleceniami producenta i nie przekraczaj maksymalnych dawek.
- Czego nie robić, żeby nie pogorszyć stanu: Przede wszystkim nie próbuj samodzielnie „grzebać” w okolicy zapalnej, używając wykałaczek, igieł czy innych ostrych przedmiotów. Możesz w ten sposób wprowadzić więcej bakterii, uszkodzić tkanki i pogorszyć infekcję. Unikaj też gorących, twardych i ostrych pokarmów, które mogą podrażniać dziąsło.
Pamiętaj, że te metody mają na celu jedynie złagodzenie objawów i nie eliminują przyczyny zapalenia. Jak najszybciej skonsultuj się z dentystą.
Jak dentysta leczy zapalenie dziąsła przy ósemce
Leczenie zapalenia okołokoronowego przez dentystę jest kluczowe dla trwałego rozwiązania problemu i zapobiegania nawrotom. Wybór metody zależy od nasilenia objawów, położenia zęba oraz tego, czy problem ma charakter nawracający.
-
Oczyszczenie i płukanie okolicy zapalnej
Pierwszym krokiem jest zazwyczaj dokładne oczyszczenie obszaru pod kapturkiem dziąsłowym. Dentysta używa specjalnych narzędzi, aby usunąć zalegające resztki jedzenia, płytkę bakteryjną i kamień nazębny. Następnie kieszonka dziąsłowa jest płukana roztworami antyseptycznymi, takimi jak chlorheksydyna, co pomaga zwalczyć infekcję i zmniejszyć stan zapalny. -
Chlorheksydyna i leczenie przeciwbakteryjne, gdy jest potrzebne
Po profesjonalnym oczyszczeniu, często zaleca się kontynuowanie płukania jamy ustnej preparatami z chlorheksydyną w domu. W niektórych przypadkach, szczególnie gdy infekcja jest bardziej zaawansowana, dentysta może zastosować miejscowe leczenie przeciwbakteryjne lub włożyć do kieszonki specjalny opatrunek z lekiem.
-
Antybiotyk tylko w wybranych sytuacjach
Wbrew powszechnemu przekonaniu, antybiotyki nie są rutynowo przepisywane przy każdym zapaleniu dziąsła przy ósemce. Są one zarezerwowane dla przypadków, gdy infekcja jest nasilona, towarzyszy jej gorączka, obrzęk rozprzestrzenia się poza okolicę zęba, występuje szczękościsk lub powiększone węzły chłonne. Antybiotyk ma za zadanie zwalczyć ogólnoustrojową infekcję, ale nie eliminuje on przyczyny miejscowej, dlatego zawsze musi być połączony z leczeniem stomatologicznym.
-
Usunięcie kapturka dziąsłowego albo ekstrakcja ósemki
Jeśli problem nawraca, a ósemka ma szansę na prawidłowe wyrznięcie, dentysta może zdecydować się na usunięcie kapturka dziąsłowego (tzw. operkulektomia). Jest to niewielki zabieg chirurgiczny, który ma na celu odsłonięcie korony zęba i ułatwienie higieny. Jednak w wielu przypadkach, zwłaszcza gdy ósemka jest zaklinowana, ma nieprawidłowe położenie, lub stany zapalne często nawracają, ekstrakcja zęba mądrości jest najskuteczniejszym i często jedynym trwałym rozwiązaniem. Usunięcie zęba eliminuje źródło problemu i zapobiega przyszłym infekcjom.
Decyzja o wyborze metody leczenia zawsze podejmowana jest indywidualnie, po dokładnej ocenie stanu klinicznego i radiologicznego pacjenta.
Czy ósemkę zawsze trzeba usuwać
To jedno z najczęściej zadawanych pytań w gabinecie stomatologicznym. Odpowiedź nie jest jednoznaczna i zależy od wielu czynników. Nie każde zapalenie dziąsła przy ósemce oznacza konieczność jej usunięcia, ale w wielu przypadkach jest to najlepsze rozwiązanie.
-
Kiedy można ją zostawić pod obserwacją
Jeśli zapalenie okołokoronowe jest pierwszym i łagodnym epizodem, ósemka ma prawidłowe położenie i wystarczająco miejsca do pełnego wyrznięcia, a pacjent jest w stanie utrzymać dobrą higienę tej okolicy, dentysta może zdecydować o pozostawieniu zęba pod obserwacją. W takich sytuacjach leczenie polega na oczyszczeniu, płukankach i poprawie higieny, a następnie regularnych kontrolach, aby monitorować proces wyrzynania.
-
Kiedy ekstrakcja jest najczęściej najlepszym rozwiązaniem
Ekstrakcja ósemki jest zazwyczaj zalecana w sytuacjach, gdy:
- Stany zapalne są nawracające i znacząco obniżają komfort życia pacjenta.
- Ząb jest zaklinowany (np. poziomo lub ukośnie), co uniemożliwia jego prawidłowe wyrznięcie i sprzyja tworzeniu się kapturka dziąsłowego.
- Brak jest miejsca w łuku zębowym, co może prowadzić do stłoczeń innych zębów.
- Występują poważne powikłania, takie jak ropień, szczękościsk czy uszkodzenie sąsiedniego zęba.
-
Dlaczego nawroty zwykle przemawiają za usunięciem zęba
Nawracające stany zapalne są sygnałem, że przyczyna problemu – czyli nieprawidłowe wyrzynanie się ósemki i trudności w higienie – nie została wyeliminowana. Każdy kolejny epizod zapalenia wiąże się z ryzykiem poważniejszych powikłań, większym bólem i dyskomfortem. Ponadto, przewlekłe zapalenie może negatywnie wpływać na sąsiednie zęby i kość. W takich sytuacjach, usunięcie zęba mądrości jest często jedynym sposobem na trwałe pozbycie się problemu i zapewnienie długoterminowego zdrowia jamy ustnej.
Jak długo trwa zapalenie i czy może samo przejść
Zapalenie dziąsła przy ósemce to dolegliwość, której przebieg może być bardzo różny – od krótkiego epizodu po przewlekły problem. Kluczowe jest zrozumienie, że choć objawy mogą chwilowo ustąpić, bez wyeliminowania przyczyny problem często powraca.
-
Różnica między krótkim epizodem a nawrotową dolegliwością
Łagodne stany zapalne, szczególnie te wywołane chwilowym zaniedbaniem higieny lub niewielkim urazem, mogą ustąpić po zastosowaniu doraźnych środków, takich jak płukanki i leki przeciwbólowe. Taki epizod może trwać od kilku dni do tygodnia. Jednak jeśli ósemka jest zaklinowana lub częściowo wyrżnięta z kapturkiem dziąsłowym, istnieje duże prawdopodobieństwo, że problem będzie nawracał, stając się nawrotową dolegliwością.
-
Dlaczego objawy mogą chwilowo ustąpić, a potem wrócić
Objawy zapalenia okołokoronowego mogą ustąpić, gdy infekcja bakteryjna zostanie tymczasowo opanowana (np. dzięki płukankom lub antybiotykom) lub gdy resztki jedzenia zostaną wypłukane. Jednak jeśli przyczyna – czyli trudna do oczyszczenia przestrzeń pod kapturkiem dziąsłowym – pozostaje, to tylko kwestia czasu, zanim bakterie ponownie się namnożą i wywołają kolejny stan zapalny. Bez usunięcia mechanicznej przyczyny, takiej jak kapturek dziąsłowy lub sam ząb, problem ma tendencję do cyklicznych nawrotów, co jest frustrujące i szkodliwe dla pacjenta.
Możliwe powikłania nieleczonego zapalenia przy ósemce
Ignorowanie zapalenia dziąsła przy ósemce, choć kuszące, gdy ból chwilowo ustąpi, niesie ze sobą ryzyko poważniejszych powikłań. Ważne jest, aby być świadomym tych zagrożeń, aby podjąć świadomą decyzję o leczeniu.
- Ropień i szerzenie się infekcji: Nieleczone zapalenie okołokoronowe może prowadzić do powstania ropnia – zbiornika ropy w tkankach miękkich wokół zęba. Jeśli ropień nie zostanie zdrenowany, infekcja może rozprzestrzenić się na sąsiednie obszary, takie jak kość szczęki, tkanki miękkie twarzy i szyi, a nawet przestrzenie głębokie szyi, co jest stanem potencjalnie zagrażającym życiu. Według MSD Manual, nieleczone zapalenie może prowadzić do poważnych infekcji, w tym ropni.
- Ból przy sąsiednim zębie i trudniejsze leczenie: Przewlekłe zapalenie w okolicy ósemki może negatywnie wpływać na sąsiedni ząb trzonowy. Może prowadzić do jego próchnicy (spowodowanej trudnościami w higienie i zaleganiem płytki), a nawet do resorpcji korzenia. W przypadku konieczności leczenia kanałowego lub usunięcia sąsiedniego zęba, obecność nieleczonej ósemki komplikuje procedury i zwiększa ryzyko powikłań.
- Nawracające stany zapalne i pogorszenie komfortu życia: Ciągłe nawroty bólu, obrzęku i dyskomfortu znacząco obniżają jakość życia. Mogą prowadzić do problemów z jedzeniem, mówieniem, a nawet snem. Przewlekłe zapalenie jest również źródłem stresu i niepokoju, co negatywnie wpływa na ogólne samopoczucie pacjenta.
Dlatego tak ważne jest, aby nie lekceważyć problemu i skonsultować się z dentystą, który oceni sytuację i zaproponuje odpowiednie leczenie.
Jak zapobiegać nawrotom zapalenia przy ósemce
Zapobieganie nawrotom zapalenia dziąsła przy ósemce jest kluczowe, zwłaszcza dla osób, które mają częściowo wyrżnięte zęby mądrości. Skuteczna profilaktyka opiera się na kilku filarach:
- Dokładne czyszczenie tylnej części łuku zębowego: To podstawa. Nawet jeśli dostęp jest utrudniony, należy poświęcić szczególną uwagę tej okolicy. Używaj małej główki szczoteczki do zębów, szczoteczek jednopęczkowych lub irygatora dentystycznego, aby dotrzeć pod kapturek dziąsłowy i usunąć resztki jedzenia oraz płytkę bakteryjną. Regularne i precyzyjne czyszczenie minimalizuje ryzyko infekcji.
- Regularne kontrole stomatologiczne: Wizyty kontrolne u dentysty co najmniej raz na sześć miesięcy są niezwykle ważne. Stomatolog może ocenić stan ósemek, wykryć wczesne objawy zapalenia, a także profesjonalnie oczyścić trudno dostępne miejsca. Wczesne wykrycie problemu pozwala na podjęcie działań zanim rozwinie się pełnoobjawowe zapalenie.
- Wczesna ocena po pierwszych epizodach bólu i obrzęku: Nie czekaj, aż ból stanie się nieznośny. Jeśli doświadczyłeś już epizodu zapalenia, nawet łagodnego, skonsultuj się z dentystą. Oceni on, czy ósemka ma szansę na prawidłowe wyrznięcie, czy też jej usunięcie będzie najlepszym rozwiązaniem, aby zapobiec przyszłym nawrotom. Wczesna interwencja może oszczędzić Ci wiele cierpienia i kosztów w przyszłości.
Najczęstsze pytania pacjentów o zapalenie dziąsła przy ósemce
| Pytanie | Odpowiedź |
|---|---|
| Czy to zawsze oznacza problem z wyrzynaniem ósemki? | Najczęściej tak, zapalenie okołokoronowe jest związane z częściowym wyrzynaniem lub zaklinowaniem zęba mądrości. Rzadziej może dotyczyć zębów już w pełni wyrżniętych, ale wtedy zwykle jest to efekt trudności w utrzymaniu higieny. |
| Czy można leczyć to tylko płukankami? | Płukanki, takie jak ciepła woda z solą czy chlorheksydyna, to tylko doraźna pomoc, która łagodzi objawy. Nie leczą one przyczyny problemu (np. zaklinowanej ósemki czy kapturka dziąsłowego) i nie zastępują wizyty u dentysty. |
| Kiedy trzeba brać antybiotyk? | Antybiotyk jest przepisywany wyłącznie przez dentystę w przypadku zaawansowanej infekcji z objawami ogólnymi, takimi jak gorączka, obrzęk twarzy lub szyi, szczękościsk czy powiększone węzły chłonne. Nie jest to rutynowe leczenie i zawsze musi być połączone z leczeniem stomatologicznym. |
| Czy ból przy ósemce może wracać mimo leczenia? | Tak, ból i zapalenie mogą nawracać, jeśli nie usunięto pierwotnej przyczyny problemu, czyli na przykład nie usunięto zaklinowanego zęba mądrości lub kapturka dziąsłowego. Bez eliminacji źródła infekcji, problem ma tendencję do nawrotów. |
