Czarne dziąsło przy zębie może budzić niepokój, ale nie zawsze oznacza poważną chorobę. Ten artykuł pomoże Ci zrozumieć najczęstsze przyczyny tego zjawiska, odróżnić zmiany łagodne od tych wymagających pilnej interwencji stomatologicznej oraz poznać dostępne metody diagnostyki i leczenia.
Czarne dziąsło przy zębie: kiedy niepokój jest uzasadniony
- Czarne dziąsło to często łagodne przebarwienie, np. tatuaż amalgamatowy, pigmentacja od palenia, siniak.
- Niepokojące objawy to nowa, rosnąca, bolesna, krwawiąca zmiana lub utrzymująca się ponad 2 tygodnie.
- Zdrowe dziąsła mogą mieć różne odcienie, ale zapalenie objawia się ciemnoczerwonym/fioletowym kolorem i krwawieniem.
- Diagnostyka u dentysty obejmuje wywiad, badanie kliniczne, RTG, a czasem biopsję.
- Pilna wizyta u dentysty jest konieczna przy nagłym pojawieniu się plamy, bólu, obrzęku, krwawieniu lub zmianie po urazie/zabiegu.
- W Unii Europejskiej od 2025 roku obowiązuje zakaz użycia amalgamatu dentystycznego, co wpływa na jego obecność w stomatologii.

Czarne dziąsło przy zębie: co może oznaczać i kiedy nie trzeba panikować
Zauważenie ciemnej plamy na dziąśle, zwłaszcza w okolicy zęba, potrafi wywołać spory niepokój. Moje doświadczenie pokazuje, że choć często jest to łagodne przebarwienie, zawsze wymaga oceny, jeśli jest to zmiana nowa, bolesna lub zmieniająca swój charakter. Nie zawsze jednak jest to powód do paniki. Wiele osób ma naturalnie ciemniejsze dziąsła, co jest wynikiem fizjologicznej pigmentacji, podobnie jak różnice w kolorze skóry.
Warto pamiętać, że zdrowe dziąsła mogą mieć różne odcienie – od jasnoróżowego po brązowy, a nawet czarny, w zależności od etniczności i genetyki. Kluczowe jest, aby kolor był jednolity i stabilny. Inaczej wygląda sytuacja, gdy mamy do czynienia z zapaleniem dziąseł. Wówczas, zamiast jednolitej czarnej plamy, dziąsła przyjmują ciemnoczerwony lub fioletowy kolor, są obrzęknięte i często krwawią, co jest wyraźnym sygnałem stanu zapalnego, jak podkreślają specjaliści z Mayo Clinic. Jeśli jednak ciemna plama jest nowa, bolesna, powiększa się lub zmienia kształt, należy potraktować to jako sygnał do konsultacji stomatologicznej.

Najczęstsze przyczyny czarnego dziąsła przy zębie
Rozumiem, że każda niepokojąca zmiana w jamie ustnej skłania do szukania przyczyn. Przyjrzyjmy się najczęstszym powodom pojawienia się ciemnych przebarwień na dziąsłach.
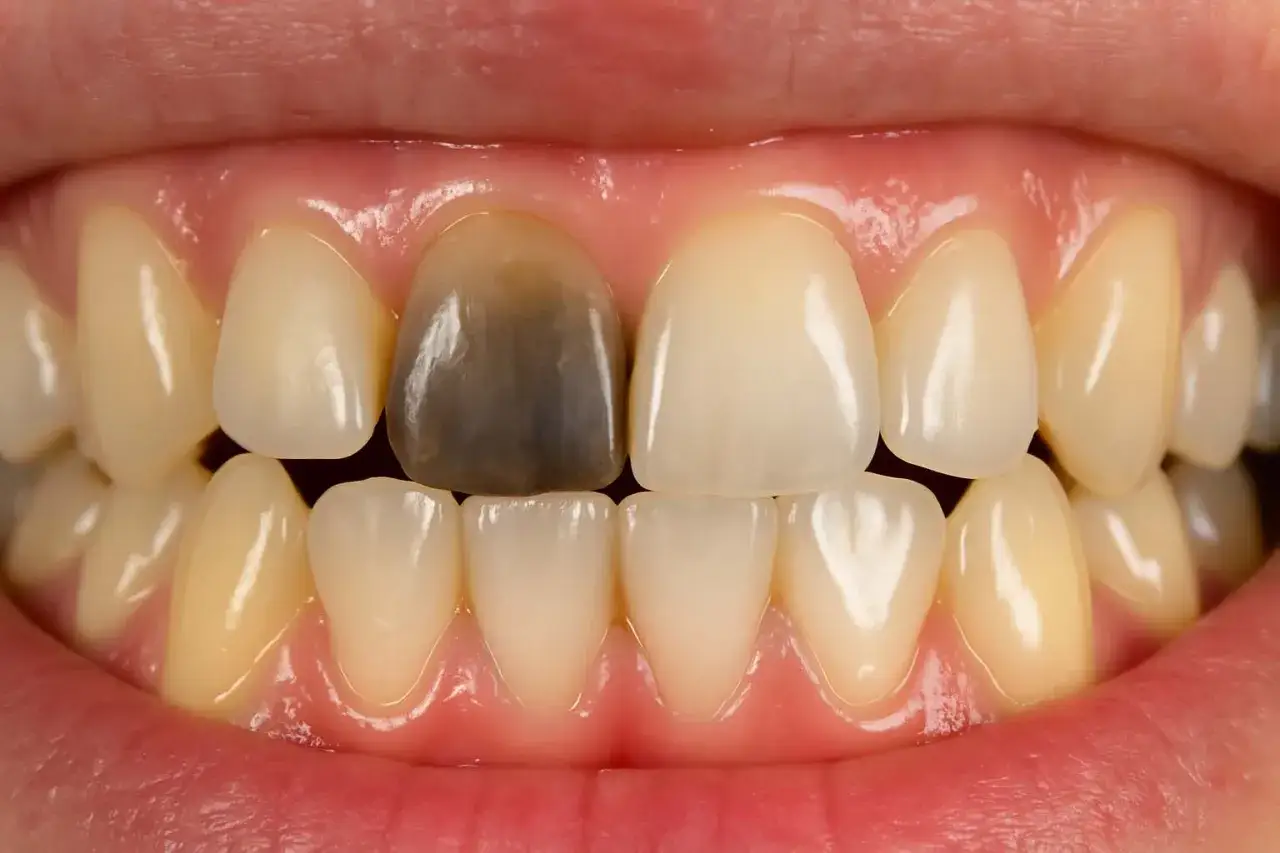
Tatuaż amalgamatowy i ślad po starym leczeniu stomatologicznym
Jedną z najczęstszych i jednocześnie najmniej groźnych przyczyn ciemnego przebarwienia dziąsła jest tak zwany tatuaż amalgamatowy. Powstaje on, gdy drobne fragmenty materiału amalgamatowego, używanego do wypełnień zębów, dostaną się do tkanek miękkich dziąsła podczas zabiegu lub usuwania starego wypełnienia. Przebarwienie to ma zazwyczaj szaro-niebieski lub ciemny kolor i jest stabilne w czasie. Warto wiedzieć, że w Unii Europejskiej, zgodnie z przepisami EUR-Lex, od 1 stycznia 2025 roku obowiązuje zakaz użycia i eksportu amalgamatu dentystycznego, z wąską derogacją do 30 czerwca 2026 roku dla niektórych państw. Mimo to, stare wypełnienia amalgamatowe wciąż są obecne w jamie ustnej wielu pacjentów i mogą być źródłem tego typu przebarwień.
Przebarwienie związane z paleniem papierosów i nikotyną
Palenie tytoniu to kolejny istotny czynnik ryzyka ciemnego przebarwienia dziąseł, znany jako melanoza palacza. Nikotyna i inne substancje chemiczne zawarte w dymie tytoniowym stymulują produkcję melaniny – naturalnego barwnika – w komórkach dziąseł. Prowadzi to do powstawania brązowych lub czarnych plam, najczęściej zlokalizowanych na dziąsłach wargowych. Poza estetyką, palenie papierosów znacząco zwiększa ryzyko rozwoju chorób przyzębia, takich jak zapalenie dziąseł i paradontoza, co dodatkowo pogarsza stan zdrowia jamy ustnej.Krwiak, siniak lub ciemna zmiana po urazie, zabiegu albo wyrzynaniu zęba
Podobnie jak na skórze, na dziąsłach również mogą pojawić się krwiaki lub siniaki. Jest to tymczasowa zmiana barwy, która powstaje w wyniku wynaczynienia krwi do tkanek miękkich. Taka sytuacja może mieć miejsce po urazie mechanicznym (np. uderzeniu, zbyt agresywnym szczotkowaniu), po ekstrakcji zęba, leczeniu kanałowym, innych zabiegach chirurgicznych w jamie ustnej, a także w trakcie trudnego wyrzynania się zębów, zwłaszcza u dzieci, gdy ząb przebija się przez dziąsło. Zwykle takie zmiany ustępują samoistnie w ciągu kilku dni lub tygodni.
Zapalenie dziąseł i przyzębia, gdy kolor dziąsła staje się ciemnoczerwony lub fioletowy
Choć nie jest to typowo "czarne" dziąsło, to zaawansowane stany zapalne dziąseł i przyzębia mogą prowadzić do bardzo ciemnych odcieni, takich jak ciemnoczerwony, a nawet fioletowy. To zjawisko wynika z przekrwienia i obrzęku tkanek spowodowanego infekcją bakteryjną. W przeciwieństwie do jednolitej czarnej plamy, zapaleniu dziąseł towarzyszą inne objawy, takie jak obrzęk, tkliwość, krwawienie podczas szczotkowania lub nitkowania, a także nieprzyjemny zapach z ust. Te symptomy wyraźnie odróżniają stan zapalny od prostego przebarwienia.
Rzadsze zmiany barwnikowe i choroby ogólne, które trzeba wykluczyć
W rzadszych przypadkach ciemne przebarwienie dziąsła może być objawem poważniejszych schorzeń, które wymagają dokładnej diagnostyki różnicowej. Należą do nich między innymi melanotyczna plamka, melanoacanthoma (łagodna zmiana, która może wyglądać niepokojąco), znamię barwnikowe, a w najgorszym scenariuszu – nowotwór jamy ustnej (np. czerniak błony śluzowej). W takich sytuacjach kluczowe jest szybkie i precyzyjne rozpoznanie, aby wdrożyć odpowiednie leczenie.
Jak odróżnić niegroźne przebarwienie od objawu wymagającego diagnostyki
Rozróżnienie, czy ciemna plama na dziąśle jest czymś niegroźnym, czy sygnałem alarmowym, jest kluczowe. Skupmy się na cechach, które pomogą podjąć decyzję o wizycie u dentysty.
Zmiana stabilna, mała, bez bólu i bez krwawienia
Jeśli zauważona zmiana jest stała w rozmiarze i kolorze, nie boli, nie krwawi i nie zmienia się w czasie, zazwyczaj nie wymaga pilnej interwencji. Może to być na przykład tatuaż amalgamatowy, który jest stabilnym, łagodnym przebarwieniem, lub fizjologiczna pigmentacja, która jest obecna od dawna i nie wykazuje żadnych niepokojących cech. W takich przypadkach wystarczy regularna kontrola stomatologiczna.
Zmiana rosnąca, nieregularna, bolesna lub krwawiąca
Te cechy są sygnałami alarmowymi i wymagają natychmiastowej konsultacji stomatologicznej. Niepokojące są zmiany, które są nowe, szybko rosną, mają nieregularny kształt lub brzegi, są bolesne, krwawią przy dotyku lub samoistnie, a także te, które są owrzodziałe. Każda z tych cech może wskazywać na poważniejszy problem, w tym na proces nowotworowy, i nie powinna być ignorowana.
Objawy towarzyszące: obrzęk, nieprzyjemny zapach, rozchwianie zęba, owrzodzenie
- Obrzęk dziąsła: Może wskazywać na stan zapalny lub infekcję.
- Nieprzyjemny zapach z ust (halitoza): Często towarzyszy chorobom przyzębia.
- Rozchwianie zęba: Sygnał zaawansowanej choroby przyzębia lub innej patologii.
- Owrzodzenie: Otwarta rana na dziąśle, która nie goi się, jest bardzo niepokojąca i wymaga pilnej diagnostyki.

Kiedy trzeba szybko iść do dentysty
Nie zawsze musimy panikować, ale istnieją sytuacje, w których szybka wizyta u stomatologa jest absolutnie konieczna. Pamiętaj, że utrzymująca się zmiana barwy w jamie ustnej wymaga oceny stomatologicznej, nawet jeśli nie boli.
-
Ciemna plama pojawiła się nagle i nie znika
Jeśli zauważysz nagłe pojawienie się ciemnej plamy na dziąśle, która nie ustępuje samoistnie w ciągu kilku dni, jest to sygnał do pilnej wizyty. Nagłe zmiany zawsze wymagają profesjonalnej oceny.
-
Zmiana utrzymuje się dłużej niż 2 tygodnie
Każda zmiana w jamie ustnej, która utrzymuje się dłużej niż dwa tygodnie, zwłaszcza jeśli nie ma jasnej, łagodnej przyczyny (jak np. świeży siniak po urazie), powinna zostać zbadana przez dentystę. Długotrwałe utrzymywanie się zmiany jest sygnałem alarmowym.
-
Pojawia się ból, ropienie, obrzęk lub krwawienie
Ból, ropienie, obrzęk dziąsła lub krwawienie, szczególnie samoistne lub przy delikatnym dotyku, są objawami aktywnego procesu chorobowego. W takich przypadkach nie ma co zwlekać – natychmiastowa konsultacja jest niezbędna.
-
Występuje po urazie, ekstrakcji, leczeniu kanałowym albo innym zabiegu
Choć siniaki i niewielkie przebarwienia po zabiegach stomatologicznych są normalne, to utrzymujące się, nasilające się objawy, silny ból lub pojawienie się ropy wymagają kontroli. Może to świadczyć o powikłaniu, takim jak infekcja.
-
Zmiana łączy się z ruchem zęba lub gorączką
Jeśli ciemnej plamie towarzyszy rozchwianie zęba, ból przy zębie, nieprzyjemny zapach z ust, a zwłaszcza gorączka, są to objawy wskazujące na poważniejsze problemy, takie jak zaawansowana infekcja lub choroba przyzębia. W takich sytuacjach należy bezzwłocznie udać się do dentysty.
Jak dentysta diagnozuje czarne dziąsło przy zębie
Diagnoza ciemnego przebarwienia na dziąśle to proces, który wymaga staranności i doświadczenia. Dentysta krok po kroku zbiera informacje i przeprowadza badania, aby ustalić przyczynę.
Wywiad: palenie, niedawne zabiegi, urazy, leki i czas trwania zmiany
Pierwszym krokiem jest dokładny wywiad z pacjentem. Dentysta zapyta o Twoje nawyki, takie jak palenie papierosów, które jest częstą przyczyną przebarwień. Ważne są również informacje o niedawnych zabiegach stomatologicznych, ewentualnych urazach jamy ustnej, przyjmowanych lekach oraz o tym, kiedy zauważyłeś zmianę i jak długo się utrzymuje. Te dane pomagają zawęzić krąg potencjalnych przyczyn.
Badanie jamy ustnej i ocena, czy zmiana jest płaska, wypukła, bolesna albo krwawi
Następnie dentysta przeprowadzi szczegółowe badanie jamy ustnej. Oceni wygląd zmiany: czy jest płaska czy wypukła, jednolita czy nieregularna, czy jest bolesna przy dotyku, czy krwawi. Sprawdzi również okoliczne tkanki, węzły chłonne i ogólny stan higieny jamy ustnej. To badanie kliniczne pozwala na wstępne rozróżnienie zmian łagodnych od tych potencjalnie niebezpiecznych.Zdjęcie RTG, gdy podejrzewa się ślad po materiale stomatologicznym lub problem przy korzeniu
W niektórych przypadkach, zwłaszcza gdy podejrzewa się tatuaż amalgamatowy lub problem związany z zębem, dentysta może zlecić zdjęcie rentgenowskie (RTG). Zdjęcie RTG może wykazać obecność fragmentów amalgamatu w tkankach miękkich lub ujawnić stany zapalne wokół korzenia zęba, które mogą prowadzić do przebarwień dziąsła.
Biopsja, gdy zmiana nie ma typowego wyglądu albo trzeba wykluczyć chorobę nowotworową
Jeśli zmiana nie ma typowego wyglądu dla łagodnych przebarwień, jest nieregularna, szybko rośnie lub budzi inne podejrzenia, dentysta może zdecydować o wykonaniu biopsji. Biopsja polega na pobraniu niewielkiego fragmentu tkanki do badania histopatologicznego. Jest to ostateczna metoda diagnostyczna, która pozwala na precyzyjne określenie charakteru zmiany i wykluczenie lub potwierdzenie obecności komórek nowotworowych.

Leczenie zależne od przyczyny czarnego dziąsła
Skuteczne leczenie ciemnego przebarwienia dziąsła jest zawsze uzależnione od prawidłowo postawionej diagnozy. Różne przyczyny wymagają odmiennego podejścia terapeutycznego.
Wystarczy obserwacja, jeśli to łagodne przebarwienie bez objawów alarmowych
W wielu przypadkach, gdy dentysta zdiagnozuje łagodne przebarwienie, takie jak tatuaż amalgamatowy czy fizjologiczna pigmentacja, i nie ma żadnych objawów alarmowych (bólu, krwawienia, wzrostu), interwencja nie jest konieczna. Wystarczy regularna kontrola stomatologiczna, aby monitorować zmianę i upewnić się, że nie zmienia ona swojego charakteru. To podejście jest często wystarczające i pozwala uniknąć niepotrzebnych zabiegów.
Leczenie stanu zapalnego dziąseł i przyzębia, jeśli problem wynika z płytki i kamienia
Jeśli ciemny kolor dziąseł jest wynikiem zaawansowanego stanu zapalnego, spowodowanego nagromadzeniem płytki bakteryjnej i kamienia nazębnego, leczenie skupi się na eliminacji tych czynników. Obejmuje to profesjonalną higienizację w gabinecie stomatologicznym (skaling, czyli usuwanie kamienia, oraz piaskowanie, czyli usuwanie osadów). Niezwykle ważny jest również instruktaż prawidłowej higieny domowej, aby pacjent mógł skutecznie dbać o czystość jamy ustnej i zapobiegać nawrotom zapalenia.
Usunięcie czynnika drażniącego, gdy winne jest palenie, ostra krawędź lub nieszczelne wypełnienie
W przypadku, gdy przyczyną przebarwienia jest czynnik drażniący, kluczowe jest jego usunięcie. Jeśli to palenie tytoniu, zaleca się rzucenie nałogu, co może prowadzić do stopniowego rozjaśnienia dziąseł. Jeśli problemem jest ostra krawędź wypełnienia lub uzupełnienia protetycznego, która rani dziąsło, dentysta dokona korekty. Nieszczelne wypełnienia również mogą być źródłem problemów i wymagają wymiany.
Zabiegi estetyczne przy uporczywej pigmentacji, jeśli pacjent chce poprawić wygląd
Dla pacjentów, u których łagodne przebarwienia dziąseł (np. tatuaż amalgamatowy, melanoza palacza po rzuceniu nałogu) stanowią problem estetyczny, dostępne są zabiegi mające na celu poprawę wyglądu. Jedną z metod jest laserowe usuwanie pigmentacji, które pozwala na rozjaśnienie ciemnych obszarów dziąseł. To rozwiązanie jest rozważane tylko wtedy, gdy zmiana jest w pełni zdiagnozowana jako łagodna i nie stanowi zagrożenia dla zdrowia.
Leczenie onkologiczne lub chirurgiczne, jeśli diagnostyka wykaże zmianę podejrzaną
W najpoważniejszych przypadkach, gdy diagnostyka (zwłaszcza biopsja) wskaże na zmianę nowotworową, konieczne jest specjalistyczne leczenie onkologiczne lub chirurgiczne. W zależności od rodzaju i zaawansowania nowotworu, może to obejmować usunięcie zmiany chirurgicznie, radioterapię, chemioterapię lub inne formy terapii. W takich sytuacjach kluczowa jest szybka interwencja i współpraca z zespołem specjalistów.
Co można robić w domu do czasu wizyty
- Delikatne szczotkowanie i codzienne czyszczenie przestrzeni międzyzębowych: Utrzymuj prawidłową higienę jamy ustnej, ale zachowaj ostrożność wokół zmienionego obszaru. Używaj miękkiej szczoteczki i nie drażnij dziąsła.
- Unikanie palenia, drażnienia dziąsła i samodzielnego skrobania zmiany: Absolutnie unikaj palenia papierosów. Nie próbuj samodzielnie "czyścić" ani "skrobać" ciemnej plamy, ponieważ może to pogorszyć sytuację, wywołać krwawienie lub infekcję.
- Obserwacja, czy plama rośnie, boli, krwawi lub zmienia kolor: Zwracaj uwagę na wszelkie zmiany w wyglądzie plamy. Zapisuj daty i obserwacje (np. czy plama się powiększyła, czy pojawił się ból, krwawienie, zmiana koloru). Te informacje będą niezwykle cenne dla dentysty podczas diagnozy.
Jak zmniejszyć ryzyko nawrotu i przebarwień dziąseł
- Regularna higiena i kontrole stomatologiczne: Podstawą profilaktyki jest codzienne, dokładne szczotkowanie zębów i czyszczenie przestrzeni międzyzębowych. Niezbędne są również regularne wizyty kontrolne u dentysty (co najmniej raz na 6 miesięcy) połączone z profesjonalnym czyszczeniem zębów.
- Ograniczenie palenia i innych używek: Rzucenie palenia tytoniu to jeden z najskuteczniejszych sposobów na poprawę zdrowia dziąseł i zmniejszenie ryzyka przebarwień. Ograniczenie innych używek, które mogą drażnić błonę śluzową, również jest korzystne.
- Szybka reakcja na krwawienie dziąseł, kamień i stany zapalne: Nie ignoruj krwawiących dziąseł, nieprzyjemnego zapachu z ust czy widocznego kamienia nazębnego. Wczesna interwencja stomatologiczna pozwala zapobiec rozwojowi poważniejszych chorób przyzębia i związanych z nimi przebarwień.
- Kontrola starych wypełnień i prac protetycznych przy wizycie kontrolnej: Podczas każdej wizyty kontrolnej poproś dentystę o ocenę stanu starych wypełnień amalgamatowych i innych prac protetycznych. Wczesne wykrycie nieszczelności lub ostrych krawędzi może zapobiec powstawaniu tatuaży amalgamatowych i innych podrażnień.
Najczęstsze pytania o czarne dziąsło przy zębie
Czy czarne dziąsło zawsze oznacza raka?
Nie, absolutnie nie. W zdecydowanej większości przypadków czarne dziąsło jest łagodnym przebarwieniem, takim jak tatuaż amalgamatowy, pigmentacja fizjologiczna lub efekt palenia. Jednakże, w przypadku pojawienia się niepokojących objawów, takich jak wzrost, ból, krwawienie czy owrzodzenie, konieczna jest diagnostyka, aby wykluczyć poważniejsze schorzenia, w tym rzadkie nowotwory jamy ustnej.
Czy takie przebarwienie może samo zniknąć?
To zależy od przyczyny. Krwiaki i siniaki, które powstają po urazie lub zabiegu, zazwyczaj znikają samoistnie w ciągu kilku dni lub tygodni, podobnie jak siniaki na skórze. Natomiast inne przyczyny, takie jak tatuaż amalgamatowy czy pigmentacja od palenia (melanoza palacza), są zazwyczaj trwałe i nie znikają bez interwencji. W przypadku melanozy palacza, po rzuceniu nałogu, przebarwienia mogą się z czasem rozjaśnić, ale rzadko całkowicie znikają.
Czy można je usunąć domowymi sposobami?
Nie, nie należy próbować usuwać ciemnych przebarwień dziąseł domowymi sposobami. Takie próby mogą pogorszyć sytuację, prowadząc do podrażnień, krwawień, infekcji lub opóźniając właściwą diagnozę. Wszelkie zmiany w jamie ustnej, zwłaszcza te niepokojące, wymagają profesjonalnej oceny stomatologicznej i ewentualnego leczenia przez specjalistę.
Przeczytaj również: Zapalenie dziąsła przy ósemce - Ulga i pilna wizyta u dentysty
Czy po amalgamacie zostaje trwała ciemna plama?
Tak, tatuaż amalgamatowy, który powstaje w wyniku wprowadzenia drobnych cząstek amalgamatu do dziąsła, jest zazwyczaj zmianą trwałą. Jest to przebarwienie łagodne i niegroźne dla zdrowia, co jest ważne do podkreślenia. Chociaż nie stanowi zagrożenia medycznego, może być problemem estetycznym dla niektórych pacjentów, dla których dostępne są opcje leczenia estetycznego, takie jak laserowe usuwanie pigmentacji.
