Kamień nazębny to problem, z którym boryka się wielu z nas. Często słyszę pytania, czy ten uciążliwy osad może po prostu "odpaść" samoczynnie. Prawda jest taka, że choć fragment kamienia może się odłamać, nie oznacza to, że problem został rozwiązany. Wręcz przeciwnie – jest to sygnał, że należy podjąć natychmiastowe działania. W tym artykule wyjaśnię, czym dokładnie jest kamień nazębny, jak odróżnić go od płytki bakteryjnej, jakie objawy powinny nas zaniepokoić, a przede wszystkim – co należy zrobić, gdy zauważymy, że fragment kamienia odpadł. Przedstawię również skuteczne metody profilaktyki i leczenia, które są kluczowe dla zachowania zdrowia jamy ustnej.
Kamień nazębny sam nie odpada – zawsze wymaga interwencji specjalisty
- Kamień nazębny to zmineralizowana płytka bakteryjna, której nie da się usunąć domowymi sposobami.
- Odpadnięcie fragmentu kamienia oznacza, że problem nadal istnieje i wymaga profesjonalnej higienizacji.
- Nieleczony kamień prowadzi do zapalenia dziąseł, paradontozy i innych poważnych problemów zdrowotnych.
- Objawy takie jak krwawienie dziąseł, nieświeży oddech czy nadwrażliwość są sygnałem do wizyty u dentysty.
- Profesjonalne usuwanie kamienia (skaling) jest jedyną skuteczną metodą i jest dostępne w ramach NFZ.
- Regularna higiena i kontrole stomatologiczne to podstawa w zapobieganiu nawrotom kamienia.

Czy kamień nazębny może sam odpaść? Prawda o złogach
Wielu pacjentów pyta mnie, czy kamień nazębny może po prostu zniknąć. Odpowiedź jest jednoznaczna: kamień nazębny nie odpada "sam" w sensie rozwiązania problemu. To bardzo ważne, aby to zrozumieć. Jeśli zauważysz, że fragment kamienia się odłamał lub ukruszył, oznacza to jedynie, że część złogu odpadła, a reszta nadal przylega do powierzchni zęba lub, co gorsza, pod dziąsłem. Kamień nazębny to zmineralizowana płytka bakteryjna – twarda struktura, której nie da się usunąć domowymi metodami, takimi jak szczotkowanie czy nitkowanie. Jego odpadnięcie to nie powód do zadowolenia, lecz sygnał do pilnej wizyty u dentysty lub higienistki stomatologicznej. To znak, że problem jest już na tyle zaawansowany, że wymaga profesjonalnej interwencji.

Czym kamień nazębny różni się od płytki nazębnej i osadu?
Zanim zagłębimy się w temat kamienia nazębnego, warto rozróżnić trzy pojęcia, które często są ze sobą mylone: płytkę nazębną, osad i kamień nazębny. Płytka nazębna to miękki, bezbarwny nalot, który stale tworzy się na zębach. Składa się głównie z bakterii, resztek pokarmowych i śliny. Jest to struktura, którą możemy usunąć codziennym szczotkowaniem i nitkowaniem. Osad nazębny to natomiast przebarwienia na powierzchni zębów, często spowodowane kawą, herbatą, winem czy paleniem tytoniu. Choć nie jest tak szkodliwy jak kamień, może wpływać na estetykę uśmiechu i również wymaga profesjonalnego usunięcia. Kamień nazębny to z kolei zmineralizowana, twarda forma płytki bakteryjnej, której nie da się usunąć samodzielnie.
Jak powstaje kamień nazębny z płytki bakteryjnej
Proces powstawania kamienia nazębnego jest dość prosty, choć jego konsekwencje bywają poważne. Wszystko zaczyna się od płytki bakteryjnej. Jeśli płytka nie jest regularnie i dokładnie usuwana, sole mineralne obecne w ślinie zaczynają się w niej odkładać. Ten proces mineralizacji sprawia, że miękka płytka stopniowo twardnieje, tworząc kamień nazębny. Co ciekawe, płytka może stwardnieć w kamień w ciągu zaledwie kilku dni, jeśli nie jest regularnie usuwana. To dlatego tak kluczowa jest codzienna, sumienna higiena jamy ustnej.
Dlaczego sama szczoteczka, nitka i płukanka nie usuną już zmineralizowanego złogu
Gdy płytka bakteryjna ulegnie mineralizacji i przekształci się w kamień nazębny, staje się on niezwykle twardy i mocno przylega do powierzchni zębów. Właśnie dlatego raz powstały kamień nazębny jest niemożliwy do usunięcia za pomocą codziennych zabiegów higienicznych. Ani szczoteczka, ani nitka dentystyczna, ani nawet płukanki nie są w stanie poradzić sobie z tą zmineralizowaną strukturą. Próby usunięcia go na własną rękę mogą prowadzić do uszkodzenia szkliwa, podrażnienia dziąseł, a nawet infekcji. Jedynym skutecznym i bezpiecznym sposobem na pozbycie się kamienia jest profesjonalne oczyszczanie w gabinecie stomatologicznym.

Jakie objawy sugerują, że kamień nazębny szkodzi dziąsłom?
Kamień nazębny, jeśli nie jest usuwany, staje się siedliskiem bakterii, które nieustannie podrażniają dziąsła i prowadzą do stanów zapalnych. Z czasem może to prowadzić do znacznie poważniejszych problemów niż tylko estetyka. Istnieje szereg objawów, które powinny zapalić czerwoną lampkę i skłonić nas do wizyty u dentysty.
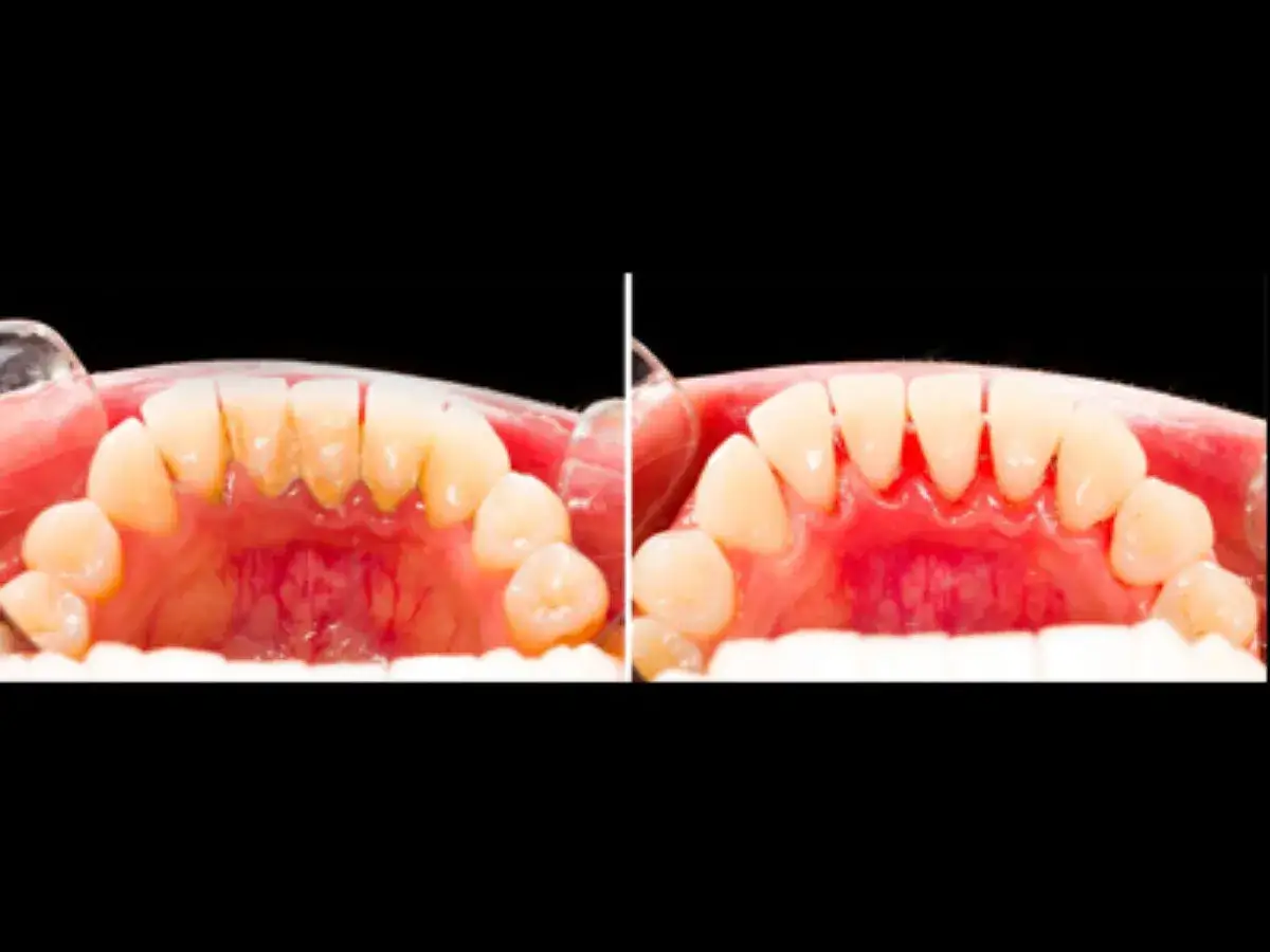
Krwawienie, obrzęk i zaczerwienienie dziąseł
Te objawy to często pierwsze i najbardziej widoczne sygnały, że kamień nazębny zaczyna szkodzić dziąsłom. Krwawienie dziąseł, zwłaszcza podczas szczotkowania czy nitkowania, jest klasycznym objawem zapalenia dziąseł (gingivitis), które jest bezpośrednią konsekwencją obecności kamienia. Dziąsła mogą być również obrzęknięte i zaczerwienione, a także bardziej wrażliwe na dotyk. Nie należy ich ignorować, ponieważ są to wczesne ostrzeżenia organizmu.
Nieświeży oddech, nadwrażliwość i cofanie się dziąseł
Obecność kamienia nazębnego i związanych z nim bakterii często prowadzi do nieświeżego oddechu, zwanego halitozą. Bakterie te produkują lotne związki siarki, które są odpowiedzialne za nieprzyjemny zapach. Ponadto, kamień nazębny może powodować nadwrażliwość zębów, zwłaszcza na zimne lub gorące pokarmy, ponieważ podrażnia dziąsła i odsłania szyjki zębowe. W bardziej zaawansowanych przypadkach dochodzi do cofania się dziąseł, co sprawia, że zęby wydają się dłuższe, a ich korzenie stają się bardziej narażone na próchnicę i uszkodzenia.Kiedy podejrzewać rozwijającą się chorobę przyzębia
Jeśli wspomniane objawy są ignorowane, zapalenie dziąseł może przekształcić się w znacznie poważniejszą chorobę – paradontozę, czyli zaawansowaną chorobę przyzębia (periodontitis). Objawy, które powinny skłonić do podejrzenia tej choroby, to przede wszystkim rozchwianie zębów, tworzenie się kieszonek dziąsłowych (przestrzeni między zębem a dziąsłem, gdzie gromadzą się bakterie), a nawet utrata zębów. Paradontoza jest chorobą postępującą, która bez leczenia prowadzi do nieodwracalnych uszkodzeń struktur utrzymujących zęby w kości. Właśnie dlatego tak ważne jest, aby nie lekceważyć żadnych sygnałów i regularnie odwiedzać stomatologa.

Co zrobić, jeśli fragment kamienia nazębnego odpadł sam?
Odpadnięcie fragmentu kamienia nazębnego może być zaskakujące, a nawet niepokojące. Kluczowe jest, aby wiedzieć, jak prawidłowo zareagować na taką sytuację, aby uniknąć dalszych komplikacji i zadbać o zdrowie jamy ustnej.
Kiedy wystarczy umówić higienizację
W większości przypadków, gdy fragment kamienia nazębnego odpadnie, jest to sygnał, że profesjonalna higienizacja (skaling) jest pilnie potrzebna. Odpadnięcie części złogu oznacza, że pozostała jego część nadal przylega do zęba lub pod dziąsłem, a struktura kamienia jest już na tyle osłabiona, że zaczyna się kruszyć. W takiej sytuacji należy jak najszybciej umówić się na wizytę u higienistki stomatologicznej lub dentysty. Celem będzie usunięcie reszty złogów, ocena stanu dziąseł i zębów oraz zaplanowanie dalszej profilaktyki. Nie próbuj samodzielnie "dokończyć" usuwania kamienia – to może przynieść więcej szkody niż pożytku.
Kiedy potrzebna jest pilna konsultacja dentystyczna
Są jednak sytuacje, w których odpadnięcie fragmentu kamienia nazębnego wymaga pilnej konsultacji dentystycznej. Jeśli odpadnięciu towarzyszy silny ból, obfite krwawienie dziąseł, widoczne uszkodzenie zęba (np. ukruszenie szkliwa) lub dziąsła, a także jeśli fragment kamienia był bardzo duży i pozostawił dużą, wrażliwą powierzchnię, nie należy zwlekać. Może to świadczyć o poważniejszym problemie, takim jak zaawansowane zapalenie przyzębia, uszkodzenie zęba lub konieczność szybkiego zwalczenia infekcji. W takich przypadkach najlepiej skontaktować się z gabinetem stomatologicznym jeszcze tego samego dnia.
Jak dentysta usuwa kamień nazębny i czego się spodziewać po zabiegu?
Profesjonalne usuwanie kamienia nazębnego to jedyna skuteczna metoda walki z tym problemem. Zabieg ten, znany jako higienizacja, zazwyczaj składa się z kilku etapów, które mają na celu kompleksowe oczyszczenie jamy ustnej.
Skaling, piaskowanie i polerowanie
Pierwszym i najważniejszym etapem jest skaling. Najczęściej wykonuje się go za pomocą ultradźwięków (skaling ultradźwiękowy). Specjalne urządzenie generuje drgania o wysokiej częstotliwości, które rozbijają twardy kamień nazębny, nie uszkadzając przy tym szkliwa. W niektórych przypadkach, zwłaszcza gdy kamień jest poddziąsłowy, może być konieczny skaling ręczny, wykonywany precyzyjnymi narzędziami. Po usunięciu kamienia następuje piaskowanie. Jest to zabieg polegający na usunięciu osadów i przebarwień z powierzchni zębów za pomocą strumienia wody, powietrza i drobnego proszku (np. wodorowęglanu sodu). To właśnie piaskowanie przywraca zębom ich naturalny kolor i gładkość. Ostatnim etapem jest polerowanie zębów specjalnymi pastami i gumkami. Polerowanie wygładza powierzchnię szkliwa, co utrudnia przyleganie nowej płytki bakteryjnej i kamienia, a także sprawia, że zęby są bardziej odporne na osadzanie się przebarwień.
Czy usuwanie kamienia boli i jak wygląda po zabiegu higiena
Większość pacjentów obawia się bólu podczas usuwania kamienia. Na szczęście, zabieg skalingu jest zazwyczaj bezbolesny, choć niektórzy mogą odczuwać pewien dyskomfort, zwłaszcza w miejscach, gdzie kamienia jest dużo lub dziąsła są wrażliwe. W przypadku dużej nadwrażliwości lub rozległego kamienia poddziąsłowego, dentysta może zastosować znieczulenie miejscowe. Po zabiegu zęby mogą być przez krótki czas bardziej wrażliwe na zimno lub ciepło, a dziąsła mogą być lekko podrażnione. To normalne i mija zazwyczaj w ciągu kilku dni. Bezpośrednio po zabiegu zalecam unikanie barwiących pokarmów i napojów (kawa, herbata, czerwone wino, buraki) przez około 24-48 godzin, ponieważ szkliwo jest wtedy bardziej podatne na przebarwienia. Kluczowa jest również kontynuacja sumiennej higieny jamy ustnej w domu.
Jak zapobiegać nawrotom kamienia nazębnego?
Usunięcie kamienia nazębnego to dopiero początek. Aby problem nie powracał, kluczowa jest konsekwentna profilaktyka i zmiana nawyków. Pamiętajmy, że kamień ma tendencję do szybkiego nawracania, zwłaszcza u osób z predyspozycjami.
Codzienna rutyna: szczotkowanie, czyszczenie przestrzeni międzyzębowych, pasta z fluorem
- Szczotkowanie zębów: Myj zęby co najmniej 2 razy dziennie, rano i wieczorem, przez minimum 2 minuty. Używaj szczoteczki o miękkim lub średnim włosiu i stosuj odpowiednią technikę (np. ruchy wymiatające), aby skutecznie usuwać płytkę nazębną z powierzchni zębów i linii dziąseł.
- Czyszczenie przestrzeni międzyzębowych: To absolutny fundament. Sama szczoteczka nie dociera do wszystkich zakamarków. Codziennie używaj nici dentystycznej, irygatora lub szczoteczek międzyzębowych. Te narzędzia pomagają usunąć resztki jedzenia i płytkę bakteryjną z miejsc, gdzie najczęściej tworzy się kamień.
- Użycie pasty z fluorem: Fluor wzmacnia szkliwo i czyni je bardziej odpornym na działanie kwasów produkowanych przez bakterie, co pośrednio pomaga w walce z płytką i kamieniem.
Nawyki, które przyspieszają odkładanie się kamienia: palenie, dieta, suchość w ustach
Niektóre czynniki mogą znacząco przyspieszać odkładanie się kamienia nazębnego. Zwróć uwagę na następujące aspekty:
- Palenie tytoniu: Palenie nie tylko sprzyja osadzaniu się kamienia i przebarwień, ale także znacząco zwiększa ryzyko chorób dziąseł i przyzębia.
- Dieta bogata w cukry i węglowodany: Cukry są pożywką dla bakterii w jamie ustnej, które produkują kwasy i tworzą płytkę nazębną. Ograniczenie słodyczy i przetworzonej żywności jest kluczowe.
- Suchość w ustach (kserostomia): Niedostateczna produkcja śliny (spowodowana np. niektórymi lekami, chorobami czy wiekiem) utrudnia naturalne oczyszczanie zębów i neutralizowanie kwasów, co sprzyja powstawaniu płytki i kamienia.
- Predyspozycje genetyczne: Niektórzy ludzie mają naturalną tendencję do szybszego odkładania się kamienia, niezależnie od higieny. W ich przypadku regularne wizyty u higienistki są jeszcze ważniejsze.
- Trudności z doczyszczaniem przestrzeni międzyzębowych: Nierówności zębów, stłoczenia czy aparaty ortodontyczne mogą utrudniać skuteczne czyszczenie, co wymaga szczególnej uwagi i odpowiednich narzędzi.
Jak często chodzić na kontrolę i higienizację
Nawet przy perfekcyjnej higienie domowej, nie da się całkowicie zapobiec odkładaniu się kamienia. Dlatego regularne kontrole stomatologiczne (co 6-12 miesięcy) i profesjonalne higienizacje są absolutnie niezbędne. Dentysta lub higienistka ocenią stan jamy ustnej, usuną ewentualne złogi kamienia, zanim staną się problemem, i udzielą indywidualnych wskazówek dotyczących higieny. To inwestycja w długoterminowe zdrowie Twojego uśmiechu.
Czy usunięcie kamienia nazębnego jest dostępne w ramach NFZ?

To bardzo ważne pytanie dla wielu pacjentów. W Polsce usunięcie złogów nazębnych (skaling) jest świadczeniem finansowanym przez Narodowy Fundusz Zdrowia. Zgodnie z aktualnymi komunikatami NFZ z 2026 roku, dotyczy to usuwania zmineralizowanych złogów. Miękkie osady, które są usuwane podczas piaskowania, są traktowane jako element innych świadczeń przygotowawczych. Oznacza to, że masz prawo do bezpłatnego usunięcia kamienia nazębnego raz w roku kalendarzowym w gabinecie, który ma podpisaną umowę z NFZ. Warto jednak pamiętać, że nie wszystkie procedury (np. piaskowanie czy fluoryzacja po skalingu) są zawsze w pełni refundowane w ramach podstawowego świadczenia. Zawsze warto dopytać w wybranym gabinecie stomatologicznym, który ma umowę z NFZ, o szczegóły i zakres bezpłatnych usług, aby uniknąć nieporozumień.
Najczęstsze pytania o kamień nazębny, który sam odpada
Wokół tematu kamienia nazębnego krąży wiele mitów i niejasności. Postaram się odpowiedzieć na najczęściej zadawane pytania, aby rozwiać wszelkie wątpliwości.
Czy można próbować zdrapać kamień w domu?
Zdecydowanie odradzam wszelkie próby samodzielnego zdrapywania kamienia nazębnego w domu. Używanie ostrych przedmiotów, takich jak igły, szpilki czy nawet specjalne "skrobaki" dostępne online, jest niezwykle ryzykowne. Możesz łatwo uszkodzić delikatne szkliwo zębów, co prowadzi do nadwrażliwości i zwiększa ryzyko próchnicy. Co więcej, bardzo łatwo jest zranić dziąsła, co może doprowadzić do poważnych stanów zapalnych, krwawień, a nawet wprowadzenia infekcji do tkanek okołozębowych. Profesjonalne narzędzia stomatologiczne są zaprojektowane tak, aby bezpiecznie i skutecznie usuwać kamień, minimalizując ryzyko uszkodzeń.
Czy kamień nazębny może wracać szybko?
Tak, niestety kamień nazębny ma tendencję do szybkiego nawracania. Szczególnie u osób z predyspozycjami genetycznymi, niedokładną higieną jamy ustnej, palących papierosy lub zmagających się z suchością w ustach, nowe złogi mogą pojawić się już po kilku tygodniach od profesjonalnej higienizacji. To właśnie dlatego tak kluczowa jest konsekwentna i sumienna profilaktyka domowa oraz regularne wizyty kontrolne i higienizacyjne u stomatologa. Tylko w ten sposób można utrzymać jamę ustną w zdrowiu na dłuższą metę.
Przeczytaj również: Płyn do irygatora - woda czy płukanka? Bezpieczna higiena
Czy brak bólu oznacza, że wszystko jest w porządku?
Absolutnie nie. Brak bólu nie zawsze oznacza brak problemu. Kamień nazębny często rozwija się bezboleśnie przez długi czas. Początkowe stadia zapalenia dziąseł, wywołane obecnością kamienia, mogą przebiegać bez odczuwalnego dyskomfortu. Dopiero w miarę postępu choroby, gdy pojawia się silniejsze zapalenie, krwawienie, nadwrażliwość czy cofanie się dziąseł, pacjent zaczyna odczuwać dolegliwości. To podstępna cecha kamienia nazębnego – może on niszczyć struktury podporowe zębów, prowadząc do paradontozy, zanim pojawią się wyraźne sygnały bólowe. Regularne wizyty u dentysty są więc niezbędne do wczesnego wykrywania i leczenia problemów, zanim staną się poważne.
