Paradontoza może prowadzić do utraty zębów, ale proces ten zależy od wielu czynników i jest często odwracalny
- Paradontoza to przewlekła choroba tkanek utrzymujących ząb, prowadząca do utraty przyczepu i kości.
- Utrata zębów nie następuje nagle; zależy od stopnia zaawansowania choroby, ruchomości zębów i podjętego leczenia.
- Wczesne zapalenie dziąseł jest odwracalne, zanim dojdzie do trwałej utraty kości.
- Najważniejsze objawy ostrzegawcze to krwawienie dziąseł, cofanie się dziąseł, ruchomość zębów i nieprzyjemny zapach z ust.
- Leczenie, zwłaszcza wcześnie wdrożone, może zatrzymać lub spowolnić postęp choroby i uratować zęby.
- Choroba przyzębia jest jedną z głównych przyczyn utraty zębów u dorosłych.

Paradontoza kiedy wypadają zęby: krótka odpowiedź dla czytelnika
Wielu pacjentów, u których zdiagnozowano paradontozę, zadaje sobie pytanie, kiedy mogą spodziewać się utraty zębów. Moja odpowiedź jest zawsze taka sama: nie ma jednej, uniwersalnej daty ani liczby miesięcy, po których zęby wypadają w wyniku paradontozy. To proces wysoce indywidualny, zależny od wielu czynników, które wspólnie decydują o tempie postępu choroby.
Utrata zębów jest konsekwencją długotrwałego procesu zapalnego. Zależy od stopnia zaawansowania choroby, ilości utraconej kości wokół zęba, poziomu ruchomości zęba oraz, co niezwykle ważne, od tego, czy pacjent podjął leczenie stanu zapalnego. Wczesne etapy choroby, takie jak zapalenie dziąseł, są w pełni odwracalne. Jeśli jednak paradontoza jest zaawansowana i pozostaje bez leczenia, niestety, nieuchronnie prowadzi do utraty zębów. Pamiętajmy, że "nie ma jednej daty, kiedy „wypadają zęby” - to zależy od stopnia zniszczenia kości, ruchomości zębów, tempa choroby i leczenia".

Czym jest paradontoza i dlaczego prowadzi do utraty zębów
Paradontoza to choroba przyzębia, a nie zwykłe podrażnienie dziąseł
Paradontoza, medycznie znana jako periodontitis, to znacznie więcej niż chwilowe podrażnienie dziąseł. To przewlekła choroba zapalna, która atakuje tkanki otaczające i podtrzymujące ząb. Jak wskazują specjaliści, "paradontoza to potocznie periodontitis, czyli przewlekła choroba tkanek utrzymujących ząb". Bez odpowiedniego leczenia, choroba ta postępuje, prowadząc do stopniowego, ale nieodwracalnego uszkodzenia struktur, które utrzymują zęby w szczęce.
Co dzieje się z dziąsłem, więzadłem i kością wokół zęba
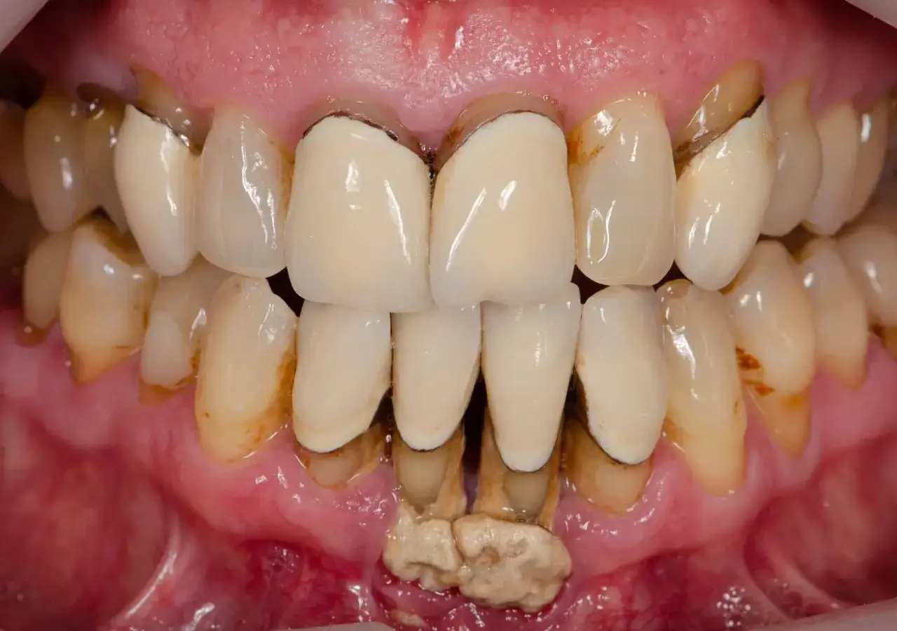
Proces rozpoczyna się zazwyczaj od gromadzenia się płytki bakteryjnej i kamienia nazębnego. Te złogi wywołują zapalenie dziąseł (gingivitis), objawiające się zaczerwienieniem, obrzękiem i krwawieniem. Jeśli na tym etapie nie zostanie podjęte leczenie, stan zapalny rozprzestrzenia się głębiej, atakując struktury podtrzymujące ząb. Bakterie i ich toksyny niszczą więzadło ozębnej – delikatne włókna, które łączą korzeń zęba z kością wyrostka zębodołowego. Równocześnie dochodzi do destrukcji samej kości wyrostka zębodołowego, czyli kości, w której osadzone są zęby. W miarę postępu choroby, między zębem a dziąsłem tworzą się tzw. kieszonki dziąsłowe – patologiczne przestrzenie, które stają się idealnym środowiskiem dla rozwoju bakterii, pogłębiając stan zapalny i niszczenie tkanek.
Dlaczego ząb zaczyna się ruszać, a potem może wypaść
Utrata kości i uszkodzenie więzadeł ozębnej sprawiają, że ząb traci swoje stabilne podparcie. Wyobraźmy sobie ząb jako drzewo, a kość i więzadła jako jego korzenie i glebę. Gdy korzenie są niszczone, drzewo zaczyna się chwiać. Podobnie dzieje się z zębem – stopniowo staje się ruchomy. W zaawansowanych stadiach paradontozy, gdy większość kości podtrzymującej ząb ulegnie zniszczeniu, ząb może zacząć się bardzo chwiać, a w konsekwencji prowadzi to do jego samoistnego wypadnięcia lub konieczności usunięcia przez stomatologa. Jak podkreślają eksperci, "Paradontoza prowadzi do utraty przyczepu i kości, a w zaawansowanych przypadkach do rozchwiania i utraty zębów."

Czy zęby wypadają nagle, czy proces trwa miesiącami albo latami
Dlaczego nie da się podać jednej daty utraty zęba
To kluczowe pytanie, które często słyszę w gabinecie. Muszę ponownie podkreślić, że proces utraty zębów w wyniku paradontozy jest niezwykle zmienny i nie ma stałych ram czasowych. Nie da się powiedzieć, że ząb wypadnie po roku czy pięciu latach od diagnozy. Zależy to od wielu czynników: indywidualnych cech pacjenta, takich jak genetyka i ogólna odporność organizmu, agresywności szczepów bakteryjnych odpowiedzialnych za infekcję, a także od obecności dodatkowych czynników ryzyka, o których powiem później. Co więcej, "Przebieg choroby nie jest zwykle liniowy; bywa skokowy, z okresami zaostrzeń i remisji." Oznacza to, że choroba może przez jakiś czas postępować szybko, a potem na pewien czas się ustabilizować, by znów przyspieszyć.
Jak wygląda typowy przebieg od krwawienia dziąseł do rozchwiania zębów
Typowa progresja paradontozy zaczyna się dość niewinnie. Najpierw pojawia się zapalenie dziąseł, objawiające się krwawieniem podczas szczotkowania. To wczesne stadium jest w pełni odwracalne – wystarczy poprawa higieny i profesjonalne czyszczenie. Jeśli jednak zapalenie nie zostanie opanowane, przechodzi w paradontozę. Wtedy zaczynają tworzyć się kieszonki dziąsłowe, a bakterie niszczą kość. Proces ten jest często bezbolesny, co sprawia, że wielu pacjentów nie zdaje sobie sprawy z powagi sytuacji. Stopniowo, w miarę utraty kości, zęby zaczynają się rozchwiewać. Początkowo jest to ledwo zauważalne, ale z czasem ruchomość staje się coraz większa, aż w końcu ząb może wypaść lub musi zostać usunięty.
Dlaczego u jednych choroba postępuje wolniej, a u innych szybciej
Tempo progresji paradontozy jest bardzo zróżnicowane. U niektórych pacjentów choroba rozwija się powoli przez wiele lat, u innych zaś ma charakter agresywny i szybko prowadzi do poważnych uszkodzeń. Kluczowe czynniki wpływające na to tempo to: genetyka (predyspozycje rodzinne), ogólny stan zdrowia (np. niekontrolowana cukrzyca znacząco przyspiesza postęp choroby), nawyki (palenie tytoniu jest jednym z najsilniejszych czynników ryzyka) oraz, co najważniejsze, regularność i skuteczność higieny jamy ustnej. Osoby, które regularnie dbają o higienę i odwiedzają stomatologa, mają znacznie większe szanse na spowolnienie lub zatrzymanie choroby, nawet jeśli mają pewne predyspozycje. Wspomniane wcześniej "okresy zaostrzeń i remisji" również odgrywają tu rolę, sprawiając, że przebieg choroby jest nieprzewidywalny.
Po czym poznać, że paradontoza zbliża się do etapu utraty zębów
Zawsze podkreślam, że wczesne rozpoznanie objawów jest kluczowe. Niestety, paradontoza często rozwija się podstępnie, bez silnego bólu. Istnieją jednak sygnały, na które należy zwrócić szczególną uwagę, ponieważ mogą sygnalizować zaawansowaną utratę podparcia zęba. Ignorowanie ich może mieć poważne konsekwencje.
Objawy, których nie wolno ignorować
Poniżej przedstawiam listę objawów, które powinny skłonić do natychmiastowej wizyty u specjalisty. Jak wynika z obserwacji klinicznych, "Najczęstsze objawy ostrzegawcze to krwawienie dziąseł, cofanie się dziąseł, kieszonki przyzębne, nieprzyjemny zapach z ust, ruchomość zębów, ból przy nagryzaniu i rozsuwanie się zębów."| Objaw | Opis i znaczenie |
|---|---|
| Krwawienie dziąseł | Nawet przy delikatnym szczotkowaniu lub nitkowaniu; często pierwszy sygnał zapalenia. |
| Cofanie się dziąseł | Zęby wydają się dłuższe, widoczne są korzenie; świadczy o utracie przyczepu. |
| Kieszonki dziąsłowe | Przestrzenie między zębem a dziąsłem, gdzie gromadzą się bakterie i kamień; mierzone przez periodontologa. |
| Nieprzyjemny zapach z ust (halitoza) | Spowodowany przez bakterie beztlenowe w kieszonkach. |
| Ruchomość zębów | Ząb jest wyraźnie chwiejny; bardzo zaawansowany objaw utraty kości. |
| Ból przy nagryzaniu | Może wskazywać na zapalenie ozębnej lub przeciążenie zęba. |
| Rozsuwanie się zębów | Zmiana pozycji zębów, powstawanie szpar. |
| Ropna wydzielina z dziąseł | Wskazuje na aktywny proces zapalny i infekcję. |
Jakie sygnały oznaczają zaawansowaną utratę podparcia zęba
Gdy obserwujemy dużą ruchomość zębów, to jest to już bardzo zaawansowany sygnał. Oznacza to, że struktury podtrzymujące ząb są poważnie uszkodzone. Głębokie kieszonki przyzębne, mierzące powyżej 4-5 mm, świadczą o znacznym zniszczeniu kości i więzadeł. Widoczne cofanie się dziąseł z odsłonięciem korzeni zębów to kolejny alarmujący objaw. W klasyfikacji Amerykańskiego Towarzystwa Stomatologicznego (ADA) "stage III oznacza ciężką postać z potencjałem dalszej utraty zębów, a stage IV - ciężką postać z potencjałem utraty uzębienia". To pokazuje, jak poważne są te objawy i jak pilna jest interwencja.
Kiedy ból nie jest głównym objawem, mimo że choroba jest poważna
To jeden z najbardziej zdradliwych aspektów paradontozy. W przeciwieństwie do próchnicy, która często sygnalizuje swoją obecność bólem, paradontoza rozwija się często bezboleśnie. Pacjenci mogą nie odczuwać dyskomfortu nawet przy znacznym uszkodzeniu tkanek. Brak bólu nie oznacza braku problemu i nie powinien usypiać naszej czujności. Właśnie dlatego regularne wizyty kontrolne u stomatologa są tak ważne – pozwalają wykryć chorobę, zanim stanie się ona poważnym zagrożeniem dla zębów.
Co najbardziej przyspiesza wypadanie zębów przy paradontozie
Rozumienie czynników ryzyka jest kluczowe dla skutecznej profilaktyki i leczenia paradontozy. Niektóre nawyki i stany zdrowotne mogą znacząco przyspieszyć postęp choroby i zwiększyć ryzyko utraty zębów.
Palenie, cukrzyca i słaba higiena jako najważniejsze czynniki ryzyka
- Palenie tytoniu: To jeden z najsilniejszych czynników ryzyka. Palenie osłabia układ odpornościowy w jamie ustnej, zmniejsza ukrwienie dziąseł, co utrudnia ich gojenie i maskuje krwawienie, które jest pierwszym sygnałem zapalenia. Palacze są znacznie bardziej narażeni na rozwój paradontozy i jej szybszy postęp.
- Cukrzyca: Niekontrolowana cukrzyca ma ogromny wpływ na stan naczyń krwionośnych i odpowiedź immunologiczną organizmu. Osoby z cukrzycą są bardziej podatne na infekcje, w tym te bakteryjne w jamie ustnej, a ich tkanki goją się wolniej. To sprawia, że paradontoza u diabetyków często przebiega agresywniej.
- Słaba higiena jamy ustnej: Niewystarczające szczotkowanie i nitkowanie zębów prowadzi do gromadzenia się płytki bakteryjnej i kamienia nazębnego. To właśnie te złogi są bezpośrednią przyczyną zapalenia dziąseł, które, jeśli nieleczone, przeradza się w paradontozę.
Znaczenie kamienia nazębnego, płytki bakteryjnej i przerw w leczeniu
Jak już wspomniałem, nagromadzenie kamienia nazębnego i płytki bakteryjnej jest bezpośrednią przyczyną zapalenia. Jeśli te złogi nie są regularnie usuwane, stan zapalny pogłębia się. Niestety, nieregularne wizyty u dentysty i przerywanie leczenia, na przykład brak regularnych zabiegów scalingu (usuwania kamienia), pozwalają chorobie na dalszy, niekontrolowany postęp. Warto pamiętać, że "Najważniejsze czynniki ryzyka to palenie, cukrzyca, słaba higiena jamy ustnej, genetyka, suchość w ustach i niektóre choroby ogólne."
Dlaczego bruksizm i przeciążenie zębów mogą pogarszać sytuację
Nadmierne siły działające na zęby, takie jak zgrzytanie zębami (bruksizm) czy zaciskanie szczęk, mogą dodatkowo obciążać już osłabione przez paradontozę tkanki przyzębia. Te siły mechaniczne, w połączeniu ze stanem zapalnym, mogą przyspieszać utratę kości i zwiększać ruchomość zębów. W takich przypadkach konieczne jest leczenie bruksizmu, często z zastosowaniem szyn relaksacyjnych, aby chronić zęby i przyzębie przed dalszym uszkodzeniem.
Czy da się uratować zęby, jeśli są już ruchome
To pytanie, które budzi wiele obaw, ale chcę zapewnić, że nawet ruchome zęby często można uratować, jeśli podjęte zostanie odpowiednie i konsekwentne leczenie. Kluczem jest szybka reakcja i współpraca z periodontologiem. Jak pokazują badania, "Leczenie może zatrzymać lub mocno spowolnić proces; im wcześniej wdrożone scaling i root planing oraz opieka periodontologiczna, tym większa szansa na uratowanie zębów."
Leczenie niechirurgiczne: scaling, root planing i kontrola stanu zapalnego
Podstawą leczenia paradontozy jest faza niechirurgiczna, która ma na celu usunięcie przyczyny zapalenia. Obejmuje ona:
- Scaling (skaling): Profesjonalne usunięcie kamienia nazębnego, zarówno tego widocznego nad dziąsłem, jak i tego ukrytego pod nim.
- Root planing (root-planing): Wygładzanie powierzchni korzenia zęba. Celem jest usunięcie toksyn bakteryjnych i zainfekowanego cementu korzeniowego, co sprzyja ponownemu przyczepieniu się dziąsła do zęba.
Leczenie chirurgiczne i regeneracyjne w cięższych przypadkach
W bardziej zaawansowanych przypadkach, gdy kieszonki są bardzo głębokie, a uszkodzenia tkanek znaczne, konieczne może być leczenie chirurgiczne. Do najczęściej stosowanych procedur należą:
- Kiretaż otwarty (zabiegi płatowe): Polega na odchyleniu dziąsła w celu uzyskania lepszego dostępu do korzenia i kieszonki, co pozwala na dokładne oczyszczenie i usunięcie zainfekowanych tkanek.
- Procedury regeneracyjne: Mają na celu odbudowę utraconych tkanek przyzębia, takich jak kość i więzadło ozębnej. Wykorzystuje się tu techniki takie jak sterowana regeneracja tkanek (GTR), przeszczepy kości lub błon, które stymulują naturalne procesy naprawcze organizmu.
Dlaczego regularne wizyty podtrzymujące są kluczowe
Paradontoza to choroba przewlekła, co oznacza, że wymaga stałej kontroli i opieki. Po zakończeniu aktywnej fazy leczenia, niezbędne są regularne wizyty podtrzymujące u periodontologa lub higienistki stomatologicznej, zazwyczaj co 3-6 miesięcy. Celem tych wizyt jest monitorowanie stanu przyzębia, usuwanie nowo powstałych złogów bakteryjnych i kamienia, a także wczesne wykrywanie ewentualnych nawrotów choroby. Bez tej regularnej opieki, ryzyko powrotu paradontozy i dalszej utraty zębów jest bardzo wysokie.
Co zrobić, gdy ząb wyraźnie się rusza
Jeśli zauważysz, że Twój ząb jest wyraźnie ruchomy, to jest to sygnał, którego absolutnie nie wolno ignorować. To objaw zaawansowanej paradontozy i wymaga natychmiastowej reakcji.
Kiedy trzeba pilnie umówić wizytę
Natychmiast skontaktuj się z dentystą lub periodontologiem. Ruchomość zęba świadczy o znacznym uszkodzeniu aparatu zawieszeniowego zęba i utracie kości. Pilna diagnostyka i interwencja są kluczowe, aby zwiększyć szanse na uratowanie zęba i zapobiec jego utracie. Nie zwlekaj, każda godzina może mieć znaczenie.
Czego nie robić samodzielnie w domu
Wiem, że w obliczu niepokojących objawów można szukać szybkich rozwiązań. Jednak stanowczo odradzam próby samodzielnego leczenia, stosowania "domowych sposobów" czy ignorowania problemu w nadziei, że sam zniknie. Takie działania mogą jedynie pogorszyć sytuację, opóźnić skuteczną pomoc i prowadzić do nieodwracalnych uszkodzeń. Unikaj dotykania ruchomego zęba, aby nie pogarszać jego stabilności.
Jak przygotować się do badania periodontologicznego
Aby wizyta była jak najbardziej efektywna, warto się do niej przygotować:
- Przygotuj listę wszystkich przyjmowanych leków, w tym suplementów.
- Zapisz historię swoich chorób ogólnych (np. cukrzyca, choroby serca).
- Zastanów się nad pytaniami, które chcesz zadać lekarzowi.
- Lekarz prawdopodobnie zleci wykonanie zdjęć rentgenowskich (np. pantomogramu, zdjęć skrzydłowo-zgryzowych), a także dokładnie zmierzy głębokość kieszonek dziąsłowych. Bądź gotowy na te procedury.
Jak zapobiegać utracie zębów przy paradontozie
Profilaktyka jest zawsze lepsza niż leczenie, zwłaszcza w przypadku paradontozy. Skuteczne zapobieganie utracie zębów opiera się na kilku filarach.
Codzienna higiena jamy ustnej, która realnie zmniejsza ryzyko
Podstawą jest sumienna i prawidłowa codzienna higiena jamy ustnej. Obejmuje ona:
- Szczotkowanie zębów: Co najmniej dwa razy dziennie, przez dwie minuty, używając miękkiej szczoteczki i odpowiedniej techniki (np. technika Bass, skupiająca się na linii dziąseł).
- Używanie nici dentystycznych: Codziennie, aby usunąć płytkę bakteryjną i resztki jedzenia z przestrzeni międzyzębowych, gdzie szczoteczka nie dociera.
- Szczoteczki międzyzębowe: W wielu przypadkach są skuteczniejsze niż nić, zwłaszcza przy większych przestrzeniach.
- Płyny do płukania ust: Mogą być pomocne, szczególnie te zalecone przez stomatologa, zawierające składniki antyseptyczne.
Rola profesjonalnego czyszczenia i kontroli kieszonek dziąsłowych
Niestety, sama domowa higiena, choć niezwykle ważna, nie wystarczy do usunięcia wszystkich złogów, zwłaszcza kamienia nazębnego. Dlatego regularne wizyty u higienistki stomatologicznej na profesjonalne czyszczenie (scaling i piaskowanie) są niezbędne. Pozwalają one usunąć kamień, który jest niemożliwy do usunięcia w domu. Równie ważna jest kontrola głębokości kieszonek dziąsłowych przez periodontologa podczas każdej wizyty kontrolnej. To pozwala na wczesne wykrycie pogłębiających się problemów i szybką interwencję.
Jakie nawyki najbardziej chronią przyzębie na dłuższą metę
Oprócz higieny, istnieją inne nawyki, które znacząco wpływają na zdrowie przyzębia:
- Unikanie palenia tytoniu: To jeden z najskuteczniejszych sposobów na zmniejszenie ryzyka i spowolnienie postępu paradontozy.
- Kontrola chorób ogólnych: Szczególnie cukrzycy. Stabilny poziom cukru we krwi ma ogromne znaczenie dla zdrowia dziąseł.
- Zbilansowana dieta: Bogata w witaminy i minerały, wspierająca ogólną odporność organizmu.
- Regularne wizyty kontrolne u dentysty: Przynajmniej raz na 6 miesięcy, nawet jeśli nie odczuwasz żadnych dolegliwości.
Najczęstsze pytania o paradontozę i wypadanie zębów
Podsumowując, chciałbym odpowiedzieć na kilka pytań, które często pojawiają się w kontekście paradontozy i utraty zębów.
Czy paradontoza zawsze kończy się utratą zębów
Nie, absolutnie nie zawsze. To bardzo ważna wiadomość. Wczesne wykrycie paradontozy i konsekwentne, odpowiednio dobrane leczenie mogą zatrzymać postęp choroby i zapobiec utracie zębów. Jak już wspomniałem, "Leczenie może zatrzymać lub mocno spowolnić proces". Kluczem jest zaangażowanie pacjenta i regularna opieka specjalistyczna.
Czy ząb z paradontozy można jeszcze uratować
Wiele zębów dotkniętych paradontozą, nawet tych ruchomych, można uratować. Dzięki nowoczesnym metodom leczenia periodontologicznego, zarówno niechirurgicznym, jak i chirurgicznym, możliwe jest ustabilizowanie zębów i utrzymanie ich w jamie ustnej na długie lata. Szybkie działanie i ścisła współpraca z periodontologiem są tu decydujące.
Czy paradontoza boli
Często nie boli, zwłaszcza w początkowych i umiarkowanych stadiach. To jest właśnie jej podstępny charakter. Ból może pojawić się w zaawansowanych etapach, na przykład przy nagryzaniu, w przypadku ostrych stanów zapalnych, ropni lub znacznej ruchomości zębów. Brak bólu nie oznacza braku choroby, dlatego tak ważne są regularne kontrole.
Przeczytaj również: Ząbkowanie dziąseł - Objawy, ulga i kiedy do lekarza?
