Recesja dziąseł – kluczowe informacje o cofaniu się dziąseł
- Recesja dziąseł to utrata tkanki dziąsłowej, prowadząca do odsłonięcia korzenia zęba.
- Objawy obejmują „wydłużenie” zębów, nadwrażliwość na bodźce oraz trudności w utrzymaniu higieny.
- Główne przyczyny to agresywne szczotkowanie, choroba przyzębia i cienki biotyp dziąseł.
- Diagnostyka opiera się na badaniu klinicznym, pomiarze kieszonek i zdjęciach RTG.
- Recesja nie cofa się samoistnie, a leczenie ma na celu zatrzymanie jej progresji i pokrycie korzenia.
- Pilna wizyta u dentysty jest konieczna przy ruchomości zębów, silnym bólu lub szybkim pogłębianiu się problemu.

Recesja dziąseł - czym jest cofanie się dziąseł i dlaczego nie wolno tego ignorować
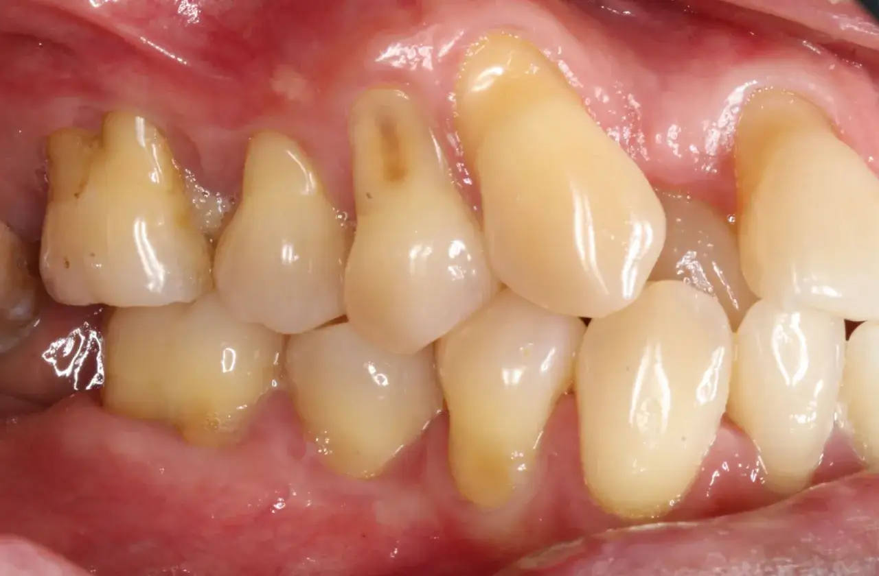
Recesja dziąseł to stan, w którym dochodzi do utraty tkanki przy linii dziąseł, co prowadzi do odsłonięcia korzenia zęba. To zjawisko, choć brzmi niepokojąco, często rozwija się powoli i, co zaskakujące, może być początkowo całkowicie bezbolesne. Właśnie dlatego wielu pacjentów ignoruje pierwsze sygnały, a problem postępuje niezauważony.
Ignorowanie recesji dziąseł to błąd, który może mieć poważne konsekwencje dla zdrowia jamy ustnej. Odsłonięte korzenie zębów są znacznie bardziej narażone na nadwrażliwość na zimne, gorące, słodkie lub kwaśne pokarmy i napoje, co może znacząco obniżyć komfort życia. Co więcej, powierzchnia korzenia nie jest chroniona szkliwem, co zwiększa ryzyko rozwoju próchnicy korzenia. Z perspektywy estetycznej, zęby mogą wydawać się „wydłużone”, a uśmiech mniej atrakcyjny. Według informacji dostępnych w serwisie NIDCR, recesja dziąseł jest powszechnym problemem, który wymaga uwagi, aby zapobiec dalszym komplikacjom.

Jakie objawy daje recesja dziąseł
Rozpoznanie recesji dziąseł na wczesnym etapie jest kluczowe dla skutecznego leczenia. Oto najczęstsze objawy, na które warto zwrócić uwagę:
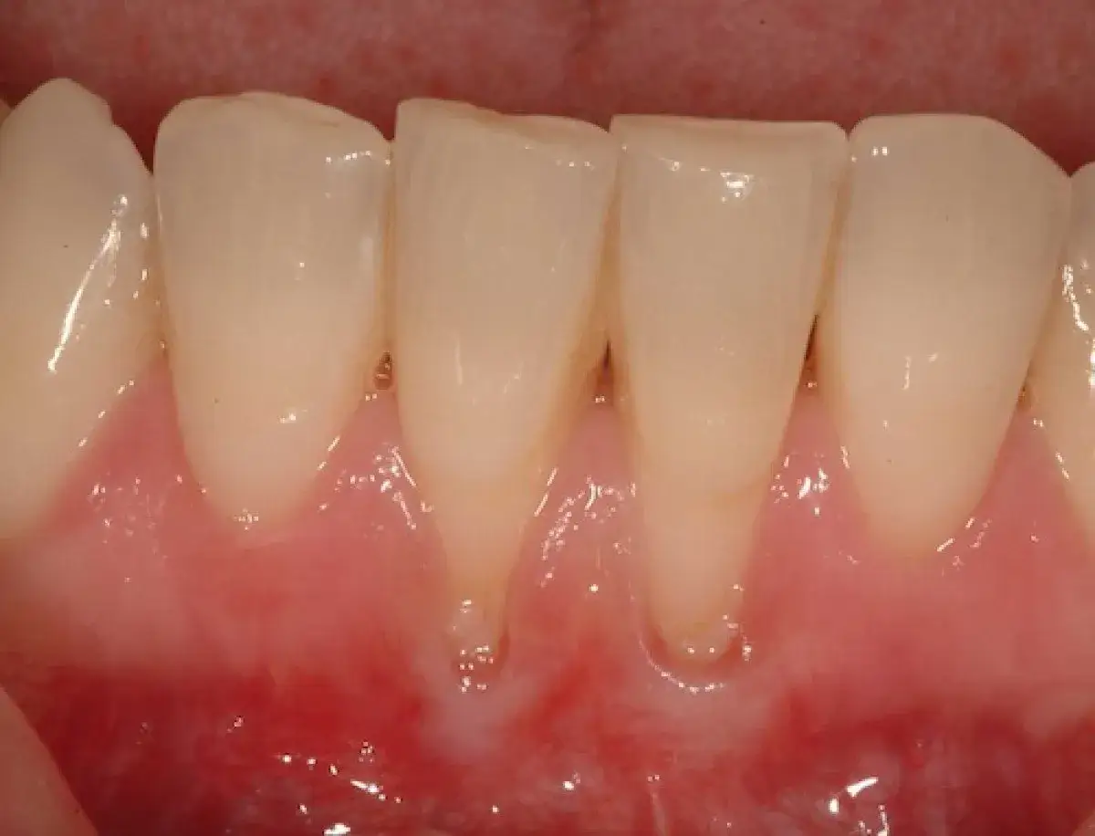
- „Wydłużenie” zębów: To jeden z najbardziej widocznych objawów. Zęby wydają się dłuższe niż kiedyś, ponieważ linia dziąseł cofa się, odsłaniając ich korzenie.
- Nadwrażliwość na zimno, słodkie lub dotyk: Odsłonięte korzenie zębów zawierają kanaliki z zakończeniami nerwowymi, które reagują na bodźce zewnętrzne. To właśnie nadwrażliwość jest często pierwszym i najbardziej dokuczliwym sygnałem alarmowym dla pacjentów.
- Trudniejsze czyszczenie: W zagłębieniach i nierównościach odsłoniętych korzeni łatwiej gromadzi się płytka bakteryjna, co utrudnia efektywne szczotkowanie i nitkowanie.
- Krwawienie dziąseł: Choć recesja sama w sobie nie musi krwawić, często współistnieje z zapaleniem dziąseł, które objawia się krwawieniem podczas szczotkowania.
- Nieświeży oddech: Nagromadzenie bakterii w trudno dostępnych miejscach może prowadzić do halitozy.
- Zmiana koloru zęba: Odsłonięty korzeń ma zazwyczaj ciemniejszy, żółtawy odcień w porównaniu do korony zęba, co może wpływać na estetykę uśmiechu.
Pamiętajmy, że nadwrażliwość jest sygnałem, którego nie należy lekceważyć, gdyż świadczy o odsłonięciu wrażliwych struktur zęba.
Najczęstsze przyczyny recesji dziąseł
Recesja dziąseł rzadko ma jedną, izolowaną przyczynę. Zazwyczaj jest to złożony problem, wynikający z interakcji wielu czynników, zarówno genetycznych, jak i środowiskowych. Zrozumienie tych przyczyn jest fundamentalne dla skutecznej profilaktyki i leczenia.
Zbyt agresywne szczotkowanie, twarda szczoteczka i ścierne pasty
Jedną z najczęstszych przyczyn mechanicznych recesji dziąseł jest nieprawidłowa technika szczotkowania. Zbyt mocne szorowanie zębów, zwłaszcza poziome, w połączeniu z używaniem twardej lub średniej szczoteczki, może dosłownie "zdzierać" tkankę dziąsłową. Podobnie, pasty do zębów o wysokiej ścieralności, często reklamowane jako "wybielające", mogą przyczyniać się do mechanicznego uszkodzenia dziąseł i stopniowego ich cofania. Dziąsła są delikatną tkanką, która wymaga łagodnego traktowania.
Choroba przyzębia jako najważniejsza przyczyna postępującej recesji
Choroba przyzębia, znana również jako paradontoza (periodontitis), jest kluczowym czynnikiem prowadzącym do recesji dziąseł. To przewlekły stan zapalny, który dotyka tkanki otaczające ząb. Recesja często współwystępuje z periodontitis, czyli stanem zapalnym przyzębia, który może prowadzić do utraty kości i rozchwiania zębów. Mechanizm jest prosty: bakterie gromadzące się w płytce nazębnej i kamieniu wywołują stan zapalny. Organizm, próbując walczyć z infekcją, uruchamia procesy, które prowadzą do destrukcji kości wyrostka zębodołowego i włókien utrzymujących ząb w zębodole. W efekcie dziąsło, pozbawione podparcia, cofa się, odsłaniając korzeń. Według Merck Manual, periodontitis jest główną przyczyną utraty zębów u dorosłych i często towarzyszy jej recesja dziąseł.Cienki biotyp dziąseł, ustawienie zębów, wędzidełka i urazy mechaniczne
Istnieje szereg innych czynników, które mogą predysponować do rozwoju recesji dziąseł. Należy do nich cienki biotyp dziąseł – genetyczna predyspozycja do posiadania delikatnych, cienkich dziąseł, które są bardziej podatne na urazy i cofanie się. Nieprawidłowe ustawienie zębów w łuku, na przykład zęby wychylone poza łuk zębowy, mogą mieć cieńszą warstwę kości i dziąsła, co zwiększa ryzyko recesji. Obecność wysokich lub krótkich wędzidełek warg i języka również może przyczyniać się do cofania się dziąseł, ponieważ napinają one tkankę dziąsłową. Ponadto, inne urazy mechaniczne, takie jak piercing w jamie ustnej (np. w wardze lub języku), który ociera o dziąsła, a także nawykowe zaciskanie zębów (bruksizm) lub zgrzytanie nimi, mogą prowadzić do przeciążeń i w konsekwencji do recesji.
Recesja dziąseł a zapalenie dziąseł i paradontoza - jak odróżnić te problemy
Wielu pacjentów myli te trzy pojęcia, a zrozumienie różnic między nimi jest kluczowe dla właściwej diagnozy i leczenia. Zapalenie dziąseł (gingivitis) to najłagodniejsza forma choroby przyzębia, charakteryzująca się zaczerwienieniem, obrzękiem i krwawieniem dziąseł. Jest to stan odwracalny – przy właściwej higienie i profesjonalnym czyszczeniu dziąsła wracają do zdrowia.
Jeśli zapalenie dziąseł nie jest leczone, może przekształcić się w paradontozę (periodontitis). Jest to zaawansowana forma zapalenia, która prowadzi do nieodwracalnej utraty kości otaczającej zęby, tworzenia się kieszonek dziąsłowych, a w konsekwencji do rozchwiania, a nawet utraty zębów. Paradontoza jest chorobą postępującą, która wymaga kompleksowego leczenia.
Recesja dziąseł natomiast to fizyczne cofnięcie się tkanki dziąsłowej, odsłaniające korzeń zęba. Może być ona konsekwencją długotrwałej paradontozy, gdzie utrata kości pociąga za sobą również cofanie się dziąsła. Jednak recesja może występować również niezależnie od aktywnego stanu zapalnego, na przykład w wyniku agresywnego szczotkowania, cienkiego biotypu dziąseł czy nieprawidłowego ustawienia zębów. Ważne jest, aby pamiętać, że choć te problemy często współistnieją, nie zawsze oznaczają to samo i wymagają różnego podejścia terapeutycznego.
Jak dentysta diagnozuje recesję dziąseł
Diagnostyka recesji dziąseł w gabinecie stomatologicznym jest procesem kompleksowym, który pozwala nie tylko ocenić stopień zaawansowania problemu, ale także zidentyfikować jego przyczyny. To kluczowe dla zaplanowania skutecznego leczenia.
Badanie dziąseł, pomiar kieszonek i ocena nadwrażliwości
Pierwszym krokiem jest dokładne badanie kliniczne. Dentysta lub periodontolog wizualnie ocenia stan dziąseł, ich kolor, kształt, teksturę oraz obecność ewentualnych krwawień czy obrzęków. Następnie, za pomocą specjalnej sondy periodontologicznej, mierzy głębokość kieszonek dziąsłowych. Zdrowe kieszonki mają zwykle 1–3 mm, a głębsze mogą sugerować chorobę przyzębia, która często towarzyszy recesji. Ważnym elementem jest również zebranie szczegółowego wywiadu od pacjenta, dotyczącego odczuwanej nadwrażliwości, nawyków higienicznych, ewentualnych urazów czy przebytych chorób.
Zdjęcia RTG i ocena utraty kości przyzębia
W diagnostyce recesji dziąseł zdjęcia rentgenowskie (RTG) odgrywają niezwykle istotną rolę. Pozwalają one na ocenę stanu kości wyrostka zębodołowego, która stanowi fundament dla zębów i dziąseł. Na zdjęciach RTG dentysta może zauważyć ewentualną utratę kości, która często towarzyszy zaawansowanym chorobom przyzębia i jest jedną z głównych przyczyn cofania się dziąseł. Dzięki temu można precyzyjnie określić, czy recesja ma podłoże zapalne i czy doszło do uszkodzenia struktur kostnych.
Czy recesja dziąseł może się cofnąć
To jedno z najczęściej zadawanych pytań przez pacjentów. Odpowiedź jest niestety jednoznaczna: recesja dziąseł nie „odrasta” sama. Tkanka dziąsłowa, która uległa utracie, nie ma zdolności do naturalnej regeneracji w takim stopniu, aby pokryć odsłonięty korzeń. Oznacza to, że raz cofnięte dziąsło nie powróci samoistnie do swojej pierwotnej pozycji.
Celem leczenia jest przede wszystkim zatrzymanie progresji recesji, czyli zapobieganie dalszemu cofaniu się dziąseł. Ponadto, terapia ma na celu zmniejszenie nadwrażliwości zębów, poprawę estetyki uśmiechu, a w wielu przypadkach – pokrycie odsłoniętego korzenia za pomocą specjalistycznych zabiegów chirurgicznych. Choć naturalna regeneracja jest niemożliwa, nowoczesne metody leczenia periodontologicznego pozwalają na skuteczne zarządzanie problemem, a często na częściowe lub nawet całkowite pokrycie odsłoniętych powierzchni korzeni, przywracając zarówno funkcję, jak i estetykę.
Leczenie recesji dziąseł - od zmiany nawyków po przeszczep dziąsła
Leczenie recesji dziąseł jest procesem zindywidualizowanym, który zależy od przyczyny, stopnia zaawansowania problemu oraz ogólnego stanu zdrowia pacjenta. Obejmuje ono zarówno proste zmiany w codziennej higienie, jak i zaawansowane procedury chirurgiczne.
Leczenie przyczynowe i higienizacja w gabinecie
Podstawą skutecznego leczenia jest wyeliminowanie pierwotnych przyczyn recesji. Jeśli problemem jest agresywne szczotkowanie, konieczna jest zmiana techniki i narzędzi. W przypadku obecności choroby przyzębia, niezbędne jest profesjonalne leczenie, które obejmuje: scaling (usunięcie kamienia nazębnego), piaskowanie (usunięcie osadów i przebarwień) oraz, w razie potrzeby, głębokie czyszczenie korzeni (root planing). Kluczowe jest także przeprowadzenie w gabinecie instruktażu higieny jamy ustnej, podczas którego pacjent uczy się prawidłowej techniki szczotkowania i używania nici dentystycznych, aby zapobiec nawrotom problemu.
Pasty odczulające, miękka szczoteczka i delikatna technika szczotkowania
W zarządzaniu objawami i zapobieganiu dalszej progresji recesji, kluczowe są metody konserwatywne. Stosowanie specjalnych past odczulających, które zawierają składniki blokujące kanaliki zębinowe (np. azotan potasu, fluorek cyny), może znacząco zmniejszyć nadwrażliwość. Niezwykle ważne jest również używanie miękkiej lub ultra miękkiej szczoteczki do zębów, która delikatnie czyści zęby i dziąsła, nie powodując ich uszkodzeń. Pacjenci muszą nauczyć się prawidłowej, delikatnej techniki szczotkowania, często z użyciem ruchów okrężnych lub wymiatających, aby skutecznie usuwać płytkę nazębną bez traumatyzowania dziąseł.
Kiedy potrzebny jest przeszczep dziąsła i co daje zabieg
W sytuacjach, gdy recesja jest znaczna, powoduje silną nadwrażliwość, zagraża stabilności zęba lub stanowi poważny problem estetyczny, stomatolog lub periodontolog może zalecić zabieg przeszczepu dziąsła. Procedura ta polega na pobraniu niewielkiego fragmentu tkanki dziąsłowej (najczęściej z podniebienia pacjenta) i przeszczepieniu go w miejsce recesji. Istnieją różne techniki przeszczepów, w zależności od potrzeb klinicznych.
Korzyści z przeszczepu dziąsła są wielorakie: przede wszystkim pokrywa odsłonięty korzeń, co eliminuje nadwrażliwość i chroni ząb przed próchnicą korzenia. Dodatkowo, zabieg może wzmocnić dziąsło w obszarze recesji, czyniąc je bardziej odpornym na przyszłe urazy. Wreszcie, przeszczep znacząco poprawia estetykę uśmiechu, przywracając naturalną linię dziąseł.

Jak zatrzymać pogłębianie recesji dziąseł na co dzień
Codzienna profilaktyka i odpowiednie nawyki są kluczowe w zatrzymywaniu progresji recesji dziąseł. Oto praktyczne wskazówki, które warto wdrożyć:
- Prawidłowa higiena jamy ustnej: Myj zęby co najmniej dwa razy dziennie, używając miękkiej lub ultra miękkiej szczoteczki. Zastosuj delikatną technikę szczotkowania, np. ruchy wymiatające od dziąsła do korony zęba.
- Używaj nici dentystycznej lub irygatora: Codzienne czyszczenie przestrzeni międzyzębowych jest niezbędne do usuwania płytki bakteryjnej i resztek jedzenia, które mogą prowadzić do zapalenia dziąseł.
- Regularne wizyty kontrolne u dentysty: Odwiedzaj stomatologa co najmniej raz na 6-12 miesięcy na przegląd i profesjonalne czyszczenie zębów (scaling i piaskowanie). Pozwoli to na wczesne wykrycie problemów i usunięcie kamienia nazębnego.
- Unikaj agresywnego szczotkowania: Zbyt mocne szorowanie zębów jest jedną z głównych przyczyn mechanicznej recesji. Bądź delikatny!
- Wybierz odpowiednią pastę do zębów: Stosuj pasty o niskiej ścieralności, najlepiej te przeznaczone dla wrażliwych zębów lub dziąseł. Unikaj past "wybielających" z dużą ilością drobinek ściernych.
- Zwróć uwagę na dietę: Zbilansowana dieta bogata w witaminy (zwłaszcza C i D) oraz minerały wspiera zdrowie dziąseł. Ogranicz spożycie cukrów i kwasów, które sprzyjają próchnicy i erozji szkliwa.
- Zrezygnuj z używek: Palenie tytoniu i nadmierne spożycie alkoholu negatywnie wpływają na zdrowie dziąseł i spowalniają procesy gojenia.
- Zadbaj o leczenie ortodontyczne: Jeśli masz wady zgryzu lub nieprawidłowe ustawienie zębów, skonsultuj się z ortodontą. Prawidłowe ustawienie zębów może zmniejszyć ryzyko recesji.
Kiedy trzeba pilnie umówić wizytę u dentysty lub periodontologa
Chociaż recesja dziąseł często rozwija się powoli, istnieją sygnały alarmowe, które powinny skłonić Cię do natychmiastowej wizyty u specjalisty. Szybka reakcja może zapobiec poważniejszym konsekwencjom i uratować zęby. Pilna konsultacja jest wskazana, gdy zauważysz:
- Ruchomość zębów: Jeśli zęby zaczynają się chwiać lub czujesz, że są niestabilne, to znak, że choroba przyzębia jest w zaawansowanym stadium i wymaga natychmiastowej interwencji.
- Silny ból: Nagły, intensywny ból w okolicy dziąseł lub zębów, zwłaszcza jeśli jest uporczywy, może świadczyć o poważnym stanie zapalnym lub infekcji.
- Obrzęk lub ropienie: Opuchlizna dziąseł, obecność ropy lub nieprzyjemny posmak w ustach to objawy aktywnej infekcji, która wymaga pilnego leczenia.
- Szybkie pogłębianie się cofania dziąseł: Jeśli zauważasz, że recesja postępuje w krótkim czasie, niezwłocznie skonsultuj się ze stomatologiem. Szybka progresja może świadczyć o agresywnym przebiegu choroby.
- Krwawienie dziąseł, które nie ustępuje: Chociaż sporadyczne krwawienie może być objawem zapalenia, jeśli utrzymuje się i jest obfite, należy to zbadać.
Pamiętaj, że wczesna interwencja jest kluczowa dla zachowania zdrowia Twoich zębów i dziąseł.
Najczęstsze pytania o recesję dziąseł
Czy recesja dziąseł boli
Recesja dziąseł może być początkowo całkowicie bezbolesna, co niestety często prowadzi do jej ignorowania. Jednak w miarę odsłaniania się korzeni zębów, bardzo często pojawia się nadwrażliwość na zimno, ciepło, słodkie pokarmy lub dotyk, co może być niezwykle dokuczliwe. W zaawansowanych stadiach, zwłaszcza gdy recesji towarzyszy aktywny stan zapalny (paradontoza) lub próchnica korzenia, może pojawić się również silny ból.
Czy można myć zęby przy recesji dziąseł
Mycie zębów jest absolutnie konieczne, nawet przy recesji dziąseł, a wręcz staje się jeszcze ważniejsze. Kluczem jest jednak prawidłowa technika i odpowiednie narzędzia. Należy używać miękkiej lub ultra miękkiej szczoteczki i delikatnie, ale dokładnie czyścić zęby, aby nie pogłębiać problemu. Właściwa higiena jest niezbędna do kontrolowania płytki bakteryjnej i zapobiegania dalszemu cofaniu się dziąseł oraz rozwojowi próchnicy korzenia.
Jaka szczoteczka i pasta są najlepsze przy cofających się dziąsłach
Przy cofających się dziąsłach zawsze zalecam miękkie lub ultra miękkie szczoteczki do zębów. Ich delikatne włókna skutecznie usuwają płytkę nazębną, nie podrażniając i nie uszkadzając delikatnych tkanek. Jeśli chodzi o pasty, najlepiej wybierać te o niskiej ścieralności, przeznaczone dla wrażliwych zębów lub dziąseł. Często zawierają one składniki odczulające, takie jak azotan potasu, fluorek cyny, a także związki wspomagające remineralizację szkliwa i zębiny, np. hydroksyapatyt czy fluor. Unikaj past wybielających z dużymi drobinkami ściernymi.
Przeczytaj również: Czarne dziąsło przy zębie - Łagodne czy alarmujące? Sprawdź
Czy recesja dziąseł zawsze oznacza paradontozę
Nie, recesja dziąseł nie zawsze oznacza paradontozę. Chociaż te dwa problemy często współistnieją, a paradontoza jest istotnym czynnikiem ryzyka recesji, to jednak recesja może być spowodowana również innymi czynnikami. Do najczęstszych należą agresywne szczotkowanie, używanie twardej szczoteczki, cienki biotyp dziąseł (predyspozycja genetyczna), nieprawidłowe ustawienie zębów w łuku, a także urazy mechaniczne. W takich przypadkach recesja może występować nawet przy braku aktywnego stanu zapalnego przyzębia. Ważne jest, aby dentysta dokładnie zdiagnozował przyczynę, aby móc wdrożyć odpowiednie leczenie.
