Wielu moich pacjentów pyta, czy irygator dentystyczny jest w stanie usunąć kamień nazębny. Odpowiedź jest jednoznaczna: irygator nie usuwa kamienia nazębnego. W tym artykule wyjaśnię, dlaczego tak jest, a także przedstawię rzeczywiste korzyści płynące z jego stosowania i pokażę, kiedy irygator staje się niezastąpionym elementem codziennej higieny jamy ustnej.
Irygator: pomocnik w higienie, nie pogromca kamienia
- Irygator skutecznie usuwa resztki jedzenia i miękką płytkę nazębną, zwłaszcza z trudno dostępnych miejsc.
- Nie jest w stanie usunąć zmineralizowanego kamienia nazębnego, który wymaga profesjonalnej interwencji stomatologicznej.
- Stanowi doskonałe uzupełnienie szczotkowania, szczególnie dla osób z aparatem ortodontycznym, mostami czy implantami.
- Może przyczynić się do redukcji krwawienia dziąseł i stanów zapalnych.
- Nie zastępuje nitki dentystycznej, szczoteczek międzyzębowych ani regularnych wizyt u stomatologa.

Czy irygator usuwa kamień nazębny? Krótka odpowiedź i najważniejszy wniosek
Odpowiadając wprost na kluczowe pytanie: nie, irygator dentystyczny nie usuwa kamienia nazębnego. Jego działanie polega na wypłukiwaniu resztek jedzenia oraz luźnej płytki nazębnej z przestrzeni międzyzębowych, spod linii dziąseł i z trudno dostępnych miejsc. To kluczowa informacja, którą każdy użytkownik irygatora powinien znać, aby mieć realistyczne oczekiwania co do jego możliwości i nie zaniedbywać profesjonalnej higienizacji.
Czym jest kamień nazębny i dlaczego nie da się go usunąć samym irygatorem
Aby zrozumieć, dlaczego irygator nie radzi sobie z kamieniem nazębnym, musimy najpierw rozróżnić dwa pojęcia: płytkę nazębną i kamień nazębny. Płytka nazębna to miękki, lepki nalot bakteryjny, który nieustannie tworzy się na powierzchni zębów. Można ją usunąć poprzez codzienne szczotkowanie i nitkowanie. Kamień nazębny, zwany również osadem nazębnym lub konkrementem, to z kolei zmineralizowana forma płytki, która stwardniała i mocno przylgnęła do zębów.
Jak płytka nazębna zamienia się w kamień
Proces powstawania kamienia nazębnego jest dość prosty. Jeśli miękka płytka bakteryjna nie jest regularnie i dokładnie usuwana, zaczyna ona ulegać mineralizacji. Dzieje się to pod wpływem składników mineralnych obecnych w ślinie, takich jak wapń i fosforany. W efekcie płytka twardnieje, tworząc szorstką powierzchnię, która sprzyja dalszemu odkładaniu się bakterii i resztek jedzenia, przyspieszając proces mineralizacji i narastania kamienia.
Dlaczego kamień wymaga profesjonalnej higienizacji
Kamień nazębny jest niezwykle twardy i mocno przylega do powierzchni zębów, a także do korzeni zębów poniżej linii dziąseł. Z tego powodu nie da się go usunąć za pomocą domowych metod, takich jak szczoteczka, nitka czy właśnie irygator. Strumień wody z irygatora, choć silny i skuteczny w usuwaniu luźnych zanieczyszczeń, jest niewystarczający do skruszenia i oderwania zmineralizowanego kamienia. Wymaga to użycia specjalistycznych narzędzi, takich jak skalery ultradźwiękowe, które wibrują z dużą częstotliwością, krusząc kamień, lub narzędzia ręczne, którymi posługuje się stomatolog lub higienistka stomatologiczna podczas profesjonalnej higienizacji.
Co naprawdę robi irygator w codziennej higienie jamy ustnej
Skoro irygator nie usuwa kamienia, to czy w ogóle warto go używać? Zdecydowanie tak! Irygator jest niezwykle cennym narzędziem do uzupełniania codziennej higieny jamy ustnej, ale nigdy nie powinien zastępować szczotkowania zębów. Jego prawdziwa moc tkwi w zdolności do docierania tam, gdzie tradycyjna szczoteczka, a nawet nitka, mają trudności. Według danych Amerykańskiego Stowarzyszenia Stomatologicznego (ADA), water flossery, czyli irygatory, mogą redukować płytkę nazębną i zapalenie dziąseł.
Usuwanie resztek jedzenia z przestrzeni międzyzębowych
Jedną z głównych zalet irygatora jest jego zdolność do efektywnego wypłukiwania resztek jedzenia. Silny, pulsujący strumień wody z łatwością dociera do ciasnych przestrzeni międzyzębowych, kieszonek dziąsłowych oraz obszarów pod linią dziąseł, gdzie często gromadzą się drobinki pokarmu. Jest to szczególnie ważne, ponieważ zalegające resztki jedzenia stanowią pożywkę dla bakterii, prowadząc do powstawania płytki nazębnej i próchnicy.
Wsparcie w usuwaniu płytki przy linii dziąseł
Irygator doskonale radzi sobie z usuwaniem luźnej płytki nazębnej, zwłaszcza tej, która gromadzi się wzdłuż linii dziąseł. To właśnie w tych miejscach bakterie mają idealne warunki do rozwoju, prowadząc do stanów zapalnych. Strumień wody delikatnie, ale skutecznie "zmywa" biofilm bakteryjny, zapobiegając jego dojrzewaniu i mineralizacji. Jak już wspomniałem, według danych ADA, water flossery mogą redukować płytkę i zapalenie dziąseł, co potwierdza ich wartość w codziennej profilaktyce.
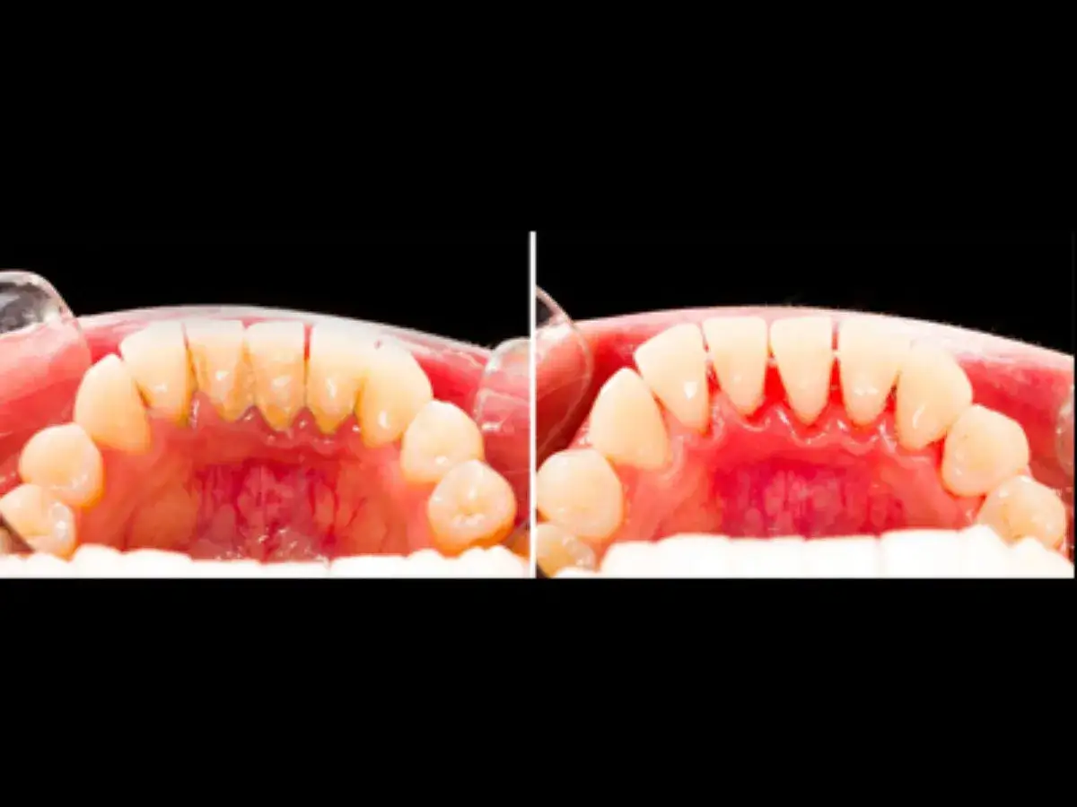
Ograniczanie krwawienia i stanu zapalnego dziąseł
Regularne stosowanie irygatora znacząco przyczynia się do poprawy zdrowia dziąseł. Poprzez efektywniejsze usuwanie bakterii i resztek pokarmowych, irygator pomaga zmniejszyć stan zapalny i krwawienie dziąseł, które są często pierwszymi objawami chorób przyzębia. Czyste środowisko w jamie ustnej sprzyja regeneracji tkanek i utrzymaniu zdrowych, mocnych dziąseł.
Kiedy irygator jest szczególnie przydatny
Chociaż irygator jest korzystny dla każdego, istnieją pewne sytuacje i grupy osób, dla których staje się on wręcz niezastąpionym narzędziem w utrzymaniu optymalnej higieny jamy ustnej.
- Osoby noszące aparat ortodontyczny.
- Pacjenci z mostami protetycznymi.
- Osoby posiadające implanty dentystyczne.
- Pacjenci z chorobami przyzębia (paradontozą).
- Osoby z dużymi przestrzeniami międzyzębowymi lub recesjami dziąseł.
- Osoby z ograniczoną sprawnością manualną.
Aparat ortodontyczny, mosty i implanty
Dla osób noszących aparat ortodontyczny, irygator to prawdziwe wybawienie. Druty, zamki i gumki aparatu tworzą mnóstwo zakamarków, w których gromadzą się resztki jedzenia i płytka. Tradycyjne szczotkowanie i nitkowanie jest w takich warunkach niezwykle trudne i często nieskuteczne. Strumień wody z irygatora z łatwością dociera pod druty i wokół zamków, skutecznie wypłukując zanieczyszczenia. Podobnie jest w przypadku mostów protetycznych i implantów, gdzie irygator pozwala na dokładne oczyszczenie przestrzeni pod mostami i wokół filarów implantów, zapobiegając stanom zapalnym. Mayo Clinic podkreśla, że irygator jest szczególnie przydatny przy aparacie ortodontycznym, mostach, innych pracach protetycznych oraz u osób, które mają trudność z klasycznym nitkowaniem.Trudności manualne i wrażliwe dziąsła
Osoby starsze, z artretyzmem, chorobą Parkinsona czy innymi schorzeniami ograniczającymi sprawność manualną, często mają problem z precyzyjnym używaniem nitki dentystycznej. Irygator, dzięki prostszej obsłudze, może znacznie ułatwić im utrzymanie higieny przestrzeni międzyzębowych. Ponadto, dla osób z wrażliwymi dziąsłami, które odczuwają dyskomfort przy mechanicznym używaniu nitki, delikatny strumień wody z irygatora może być znacznie bardziej komfortową i mniej inwazyjną alternatywą.
Osoby z przestrzeniami trudnymi do oczyszczenia nitką
Nie każdy ma idealnie równe zęby i ciasne przestrzenie międzyzębowe. Osoby z dużymi przerwami między zębami, recesjami dziąseł (czyli odsłonięciem szyjek zębowych) czy innymi nieregularnościami w jamie ustnej często borykają się z problemem skutecznego czyszczenia tych miejsc nitką. Irygator, dzięki elastyczności strumienia wody, jest w stanie dotrzeć do tych trudno dostępnych obszarów, zapewniając dokładniejsze oczyszczenie niż sama nitka.Irygator a nitka dentystyczna i szczoteczki międzyzębowe
Często pojawia się pytanie, czy irygator może zastąpić nitkę dentystyczną lub szczoteczki międzyzębowe. Moje doświadczenie podpowiada, że są to narzędzia komplementarne, a nie wzajemnie się wykluczające. Każde z nich ma swoje unikalne zalety i mechanizmy działania, które sprawiają, że w optymalnej higienie jamy ustnej często warto łączyć różne metody. Poniżej przedstawiam tabelę porównawczą, która pomoże zrozumieć różnice:
| Cecha / Narzędzie | Irygator | Nitka dentystyczna | Szczoteczki międzyzębowe |
|---|---|---|---|
| Główne działanie | Wypłukiwanie resztek i luźnej płytki | Mechaniczne usuwanie płytki | Mechaniczne usuwanie płytki |
| Skuteczność w ciasnych przestrzeniach | Wysoka (strumień wody) | Wysoka (dokładne przyleganie) | Zależna od rozmiaru |
| Usuwanie kamienia nazębnego | Brak | Brak | Brak |
| Przydatność przy aparacie/implantach | Bardzo wysoka | Niska/Trudna | Wysoka (specjalne kształty) |
| Redukcja krwawienia dziąseł | Wysoka | Wysoka | Wysoka |
| Wymagana manualność | Niska | Wysoka | Średnia |
Co lepiej usuwa płytkę w ciasnych przestrzeniach
Zarówno irygator, jak i nitka dentystyczna czy szczoteczki międzyzębowe, mają swoje mocne strony w oczyszczaniu ciasnych przestrzeni. Irygator, dzięki pulsującemu strumieniowi wody, skutecznie wypłukuje resztki jedzenia i luźną płytkę, docierając do miejsc, gdzie inne narzędzia mogą mieć problem. Nitka dentystyczna natomiast, poprzez mechaniczne "zdrapywanie" płytki z powierzchni stycznych zębów, jest niezastąpiona w usuwaniu przylegającego biofilmu bakteryjnego. Szczoteczki międzyzębowe, dobrane do rozmiaru przestrzeni, również mechanicznie oczyszczają te obszary.
Kiedy lepsza będzie nitka, a kiedy szczoteczka międzyzębowa
Wybór między nitką a szczoteczką międzyzębową zależy od indywidualnych warunków w jamie ustnej. Nitka dentystyczna będzie lepszym wyborem dla osób z bardzo ciasnymi przestrzeniami międzyzębowymi, gdzie szczoteczka międzyzębowa po prostu się nie zmieści, a także dla tych, którzy nie mają aparatu ortodontycznego czy rozległych prac protetycznych. Szczoteczki międzyzębowe są natomiast idealne dla osób z większymi przestrzeniami, recesjami dziąseł, mostami czy implantami, ponieważ ich włosie lepiej wypełnia te przestrzenie i skuteczniej czyści nierówne powierzchnie.
Dlaczego najlepszy efekt daje dobór narzędzia do warunków w jamie ustnej
Optymalna higiena jamy ustnej wymaga indywidualnego podejścia. Nie ma jednego uniwersalnego narzędzia, które sprawdzi się w każdej sytuacji. Często najlepsze efekty osiąga się, łącząc różne metody – na przykład szczotkowanie zębów, następnie użycie irygatora do wypłukania resztek, a na koniec nitki lub szczoteczek międzyzębowych do mechanicznego usunięcia płytki. Kluczem jest dostosowanie narzędzi do anatomii jamy ustnej, obecności prac protetycznych i indywidualnych potrzeb. Warto skonsultować się ze swoim stomatologiem lub higienistką, aby dobrać najlepszy zestaw do codziennej pielęgnacji.
Jak używać irygatora, żeby faktycznie pomagał
Aby irygator mógł w pełni wykorzystać swój potencjał i faktycznie wspierać higienę jamy ustnej, kluczowe jest jego prawidłowe używanie. Niewłaściwa technika może zmniejszyć jego skuteczność lub nawet prowadzić do podrażnień.
- Napełnij zbiornik: Użyj letniej wody. Możesz dodać niewielką ilość płynu do płukania ust, jeśli chcesz, ale nie jest to konieczne.
- Wybierz odpowiednią końcówkę: Większość irygatorów ma różne końcówki – standardowe, do aparatów ortodontycznych, do implantów, do kieszonek dziąsłowych. Wybierz tę, która najlepiej odpowiada Twoim potrzebom.
- Ustaw ciśnienie: Zacznij od najniższego ustawienia ciśnienia, zwłaszcza jeśli dopiero zaczynasz lub masz wrażliwe dziąsła. Stopniowo zwiększaj je, aż znajdziesz komfortowy, ale skuteczny poziom.
- Pochyl się nad umywalką: To pozwoli wodzie swobodnie wypływać z ust, zamiast spływać po brodzie.
- Kieruj strumień wody: Trzymaj końcówkę irygatora pod kątem około 90 stopni do linii dziąseł. Powoli przesuwaj ją wzdłuż każdego zęba, koncentrując się na przestrzeniach międzyzębowych i obszarze pod linią dziąseł.
- Oczyść każdą powierzchnię: Dokładnie oczyść zarówno wewnętrzne, jak i zewnętrzne powierzchnie zębów, a także powierzchnie żujące.
- Nie spiesz się: Poświęć około 1-2 minut na irygację całej jamy ustnej.
- Opróżnij i wyczyść irygator: Po każdym użyciu opróżnij zbiornik i przepłucz go czystą wodą, aby zapobiec rozwojowi bakterii.
Jak często stosować irygator
Zalecam codzienne stosowanie irygatora, najlepiej raz dziennie, po wieczornym szczotkowaniu zębów. To właśnie wtedy, po całym dniu, w jamie ustnej gromadzi się najwięcej resztek jedzenia i płytki nazębnej, które irygator może skutecznie usunąć przed snem.
Na co kierować strumień wody
Kluczem do efektywności jest precyzyjne kierowanie strumienia wody. Należy trzymać końcówkę irygatora pod kątem około 90 stopni do linii dziąseł, a następnie powoli przesuwać ją wzdłuż każdego zęba. Skup się na przestrzeniach międzyzębowych, gdzie gromadzą się resztki jedzenia, oraz na kieszonkach dziąsłowych, czyli niewielkich zagłębieniach między zębem a dziąsłem. Delikatne masowanie dziąseł strumieniem wody również przyczynia się do ich lepszego ukrwienia i zdrowia.
Jakie błędy najczęściej ograniczają skuteczność
Najczęstsze błędy, które ograniczają skuteczność irygatora, to: zbyt szybkie przesuwanie końcówki, co uniemożliwia dokładne oczyszczenie; używanie zbyt wysokiego ciśnienia, które może podrażniać dziąsła, zwłaszcza na początku; oraz pomijanie niektórych obszarów jamy ustnej, takich jak tylne zęby czy wewnętrzne powierzchnie. Pamiętaj, że irygacja wymaga cierpliwości i precyzji, aby była naprawdę efektywna.
Czego irygator nie zastąpi
Mimo wszystkich swoich zalet, irygator jest narzędziem pomocniczym. Ważne jest, aby mieć świadomość jego ograniczeń i nie traktować go jako substytutu podstawowych elementów higieny jamy ustnej i profesjonalnej opieki stomatologicznej.
- Profesjonalnego skalingu i piaskowania.
- Regularnego szczotkowania zębów pastą z fluorem.
- Kontroli stomatologicznej i profesjonalnej higienizacji.
Skalingu i piaskowania
Irygator w żaden sposób nie zastąpi profesjonalnego skalingu, czyli usuwania kamienia nazębnego, ani piaskowania, które polega na usuwaniu osadów i przebarwień z powierzchni zębów za pomocą strumienia wody, powietrza i drobnego proszku. Te zabiegi są niezbędne dla utrzymania zdrowia zębów i dziąseł, ponieważ tylko one są w stanie usunąć zmineralizowany kamień, który jest główną przyczyną chorób przyzębia. Irygator może jedynie opóźnić jego powstawanie, ale nigdy go nie usunie.
Regularnego szczotkowania pastą z fluorem
Podstawą codziennej higieny jamy ustnej zawsze pozostaje dokładne, dwukrotne szczotkowanie zębów pastą z fluorem. Fluor wzmacnia szkliwo, chroniąc zęby przed próchnicą, a mechaniczne działanie szczoteczki usuwa płytkę nazębną z większości powierzchni zębów. Irygator jest jedynie uzupełnieniem tego procesu, pomagając w miejscach trudno dostępnych dla szczoteczki.Kontroli stomatologicznej i higienizacji
Regularne wizyty kontrolne u stomatologa oraz profesjonalne zabiegi higienizacyjne (skaling, piaskowanie, fluoryzacja) są absolutnie kluczowe dla utrzymania długotrwałego zdrowia jamy ustnej. Stomatolog nie tylko usunie kamień i osady, ale także oceni stan zębów i dziąseł, wcześnie wykryje ewentualne problemy i zapobiegnie ich rozwojowi. Irygator, choć bardzo pomocny, nie zastąpi tej profesjonalnej opieki.
Czy irygator jest bezpieczny i dla kogo może nie być wystarczający
Irygator jest generalnie bezpiecznym narzędziem, jeśli jest używany prawidłowo. Jednak, jak każde urządzenie, ma swoje specyficzne zastosowania i ograniczenia, a w niektórych przypadkach jego skuteczność może być niewystarczająca, co wymaga konsultacji ze specjalistą.
Delikatne dziąsła i nadwrażliwość
Osoby z bardzo delikatnymi dziąsłami, skłonnymi do krwawień, lub z nadwrażliwością zębów, powinny rozpoczynać używanie irygatora od najniższego ustawienia ciśnienia wody. Stopniowe zwiększanie ciśnienia pozwoli dziąsłom na adaptację i zminimalizuje ryzyko podrażnień. Warto również używać letniej wody, aby uniknąć dyskomfortu związanego z temperaturą.
Zaawansowany kamień i choroby przyzębia
W przypadku zaawansowanego kamienia nazębnego, który jest już mocno zmineralizowany, lub rozwiniętych chorób przyzębia (takich jak paradontoza z głębokimi kieszonkami), irygator będzie niewystarczający. W takich sytuacjach konieczna jest profesjonalna interwencja stomatologiczna – skaling poddziąsłowy, kiretaż czy inne zabiegi periodontologiczne. Irygator może być używany jako wsparcie po tych zabiegach, ale nie jako ich substytut.
Sytuacje, w których warto skonsultować się ze stomatologiem
Niezależnie od stosowania irygatora, istnieją objawy, które powinny skłonić do natychmiastowej wizyty u dentysty. Należy do nich utrzymujące się krwawienie dziąseł, ból zębów lub dziąseł, obrzęk dziąseł, nieprzyjemny zapach z ust, ruchomość zębów, czy pojawienie się nowych ubytków. Irygator może poprawić ogólną higienę, ale nie wyleczy istniejących chorób ani nie zastąpi diagnozy i leczenia stomatologicznego.
Najczęstsze pytania o irygator i kamień nazębny
Podsumowując kluczowe kwestie, odpowiadam na najczęściej zadawane pytania dotyczące irygatora i kamienia nazębnego.
-
Czy irygator usuwa kamień z tyłu zębów?
Nie, irygator nie usuwa kamienia nazębnego z żadnej powierzchni zębów, niezależnie od ich lokalizacji. Kamień, będąc zmineralizowanym osadem, wymaga profesjonalnego usunięcia w gabinecie stomatologicznym.
-
Czy irygator może zastąpić nitkę dentystyczną?
Irygator jest doskonałym uzupełnieniem, ale nie całkowitym zamiennikiem nitki dentystycznej. Działają one na nieco innych zasadach: irygator wypłukuje, a nitka mechanicznie zdrapuje płytkę. W wielu przypadkach optymalne efekty daje połączenie obu metod.
-
Przeczytaj również: Końcówka szczoteczki sonicznej - wymiana co 3 miesiące czy wcześniej?
Czy warto kupić irygator, jeśli mam skłonność do kamienia?
Tak, warto. Irygator może pomóc w redukcji miękkiej płytki nazębnej, która jest prekursorem kamienia, a tym samym spowolnić jego powstawanie. Nie zapobiegnie jednak jego pojawieniu się w 100% ani go nie usunie, jeśli już się utworzył. Traktuj go jako element profilaktyki i wsparcie w utrzymaniu higieny, a nie jako jedyne rozwiązanie problemu kamienia.
Podsumowanie: kiedy irygator ma sens, a kiedy potrzebny jest stomatolog
Podsumowując, irygator dentystyczny to cenne i skuteczne narzędzie w codziennej profilaktyce i utrzymaniu higieny jamy ustnej. Jest szczególnie pomocny dla osób z aparatem ortodontycznym, mostami, implantami, a także dla tych, którzy mają trudności z tradycyjnym nitkowaniem. Jego główną rolą jest wypłukiwanie resztek jedzenia i luźnej płytki nazębnej, co przyczynia się do redukcji stanów zapalnych i krwawienia dziąseł. Należy jednak pamiętać o kluczowym wniosku: irygator nie usuwa kamienia nazębnego. Zmineralizowany kamień wymaga profesjonalnej higienizacji w gabinecie stomatologicznym, a irygator, choć wspiera zdrowie jamy ustnej, nigdy nie zastąpi regularnych wizyt kontrolnych i profesjonalnej opieki dentystycznej.
