Zrozum, czym jest kamień nazębny, jak powstaje, jakie są jego objawy, zagrożenia i skuteczne metody zapobiegania
- Kamień nazębny to zmineralizowana płytka bakteryjna, która twardnieje pod wpływem minerałów ze śliny.
- Główne przyczyny jego powstawania to niedostateczna higiena jamy ustnej, dieta bogata w cukry i palenie tytoniu.
- Kamień nazębny sprzyja zapaleniu dziąseł, próchnicy i chorobom przyzębia, prowadząc do poważnych problemów.
- Nie można go usunąć domowymi metodami; wymaga profesjonalnej higienizacji u dentysty lub higienistki.
- Skuteczna profilaktyka obejmuje regularne szczotkowanie, nitkowanie i wizyty kontrolne u stomatologa.

Od czego robi się kamień na zębach i czym właściwie jest
Kamień nazębny, nazywany również tartarem, to nic innego jak stwardniała płytka bakteryjna. Nie jest to więc osobny osad, który pojawia się znikąd, lecz konsekwencja zaniedbania higieny jamy ustnej. Powstaje on, gdy miękka płytka nazębna – lepki film składający się z bakterii, resztek jedzenia i śliny – nie jest regularnie usuwana. Z czasem płytka ta twardnieje pod wpływem minerałów zawartych w ślinie, głównie wapnia, fosforu i magnezu. W efekcie tworzy się porowata, szorstka struktura, która stanowi idealne środowisko dla dalszego rozwoju bakterii i gromadzenia się kolejnych osadów. Jak podaje ADA MouthHealthy, płytka nazębna nieustannie tworzy się na zębach, a jej regularne usuwanie jest kluczowe dla zapobiegania kamieniowi.

Jak powstaje kamień nazębny krok po kroku
Proces powstawania kamienia nazębnego jest złożony, ale można go rozłożyć na kilka kluczowych etapów, które pokazują, jak ważna jest codzienna, sumienna higiena.
Płytka nazębna tworzy się codziennie
Nasze usta są domem dla milionów bakterii. Po każdym posiłku, a nawet w ciągu dnia, na powierzchni zębów tworzy się miękki, lepki i bezbarwny film, który nazywamy płytką nazębną. Składa się on z bakterii, resztek pokarmowych oraz białek i polisacharydów ze śliny. Ta płytka jest głównym winowajcą problemów z jamą ustną, jeśli nie jest regularnie usuwana.Minerały ze śliny utwardzają płytkę
Jeśli płytka nazębna nie zostanie usunięta w ciągu 24 do 72 godzin, zaczyna się proces jej mineralizacji. Minerały obecne w ślinie, takie jak wapń i fosforany, zaczynają osadzać się w strukturze płytki, powodując jej stopniowe twardnienie. To właśnie ten proces przekształca miękką płytkę w twardy kamień nazębny, który staje się niemożliwy do usunięcia za pomocą zwykłej szczoteczki.
Dlaczego kamień gromadzi się przy linii dziąseł i w trudno dostępnych miejscach
Kamień nazębny najczęściej odkłada się w miejscach, które są trudniej dostępne dla szczoteczki i nici dentystycznej. To przede wszystkim obszar przy linii dziąseł, gdzie ząb styka się z dziąsłem, a także przestrzenie międzyzębowe oraz wewnętrzne powierzchnie dolnych siekaczy i zewnętrzne powierzchnie górnych trzonowców. W tych rejonach płytka bakteryjna łatwiej zalega i nie jest skutecznie usuwana, co sprzyja jej mineralizacji i tworzeniu się kamienia.

Najczęstsze przyczyny odkładania się kamienia na zębach
Choć główną przyczyną powstawania kamienia jest niedostateczna higiena, istnieje wiele czynników, które zwiększają ryzyko jego odkładania się. Zrozumienie ich pomoże w skuteczniejszej profilaktyce.
Zbyt rzadkie lub niedokładne szczotkowanie
To podstawowa i najczęstsza przyczyna. Jeśli zęby nie są szczotkowane regularnie (minimum dwa razy dziennie) i z odpowiednią techniką, płytka bakteryjna ma wystarczająco dużo czasu, aby się zmineralizować. Niedokładne szczotkowanie pozostawia resztki płytki, które z czasem twardnieją.
Pomijanie nitkowania i czyszczenia przestrzeni międzyzębowych
Szczoteczka do zębów nie jest w stanie dotrzeć do wszystkich zakamarków, zwłaszcza do ciasnych przestrzeni międzyzębowych. Pomijanie codziennego nitkowania lub używania szczoteczek międzyzębowych sprawia, że płytka bakteryjna zalega w tych miejscach, twardnieje i przekształca się w kamień.
Dieta bogata w cukier i produkty skrobiowe
Cukry i skrobie to ulubione pożywienie bakterii bytujących w jamie ustnej. Ich częste spożywanie prowadzi do szybszego namnażania się bakterii i intensywniejszego tworzenia płytki nazębnej. Im więcej płytki, tym większe ryzyko jej mineralizacji i powstawania kamienia.
Palenie papierosów i inne wyroby tytoniowe
Palenie tytoniu znacząco zwiększa ryzyko powstawania kamienia nazębnego. Substancje smoliste i inne chemikalia zawarte w dymie tytoniowym zmieniają skład śliny, sprzyjają gromadzeniu się osadów i sprawiają, że płytka bakteryjna jest bardziej lepka i trudniejsza do usunięcia. Według danych Cleveland Clinic, palacze są bardziej narażeni na gromadzenie się kamienia.
Suchość w ustach i mniejsza ilość śliny
Ślina pełni kluczową rolę w naturalnym oczyszczaniu zębów z resztek jedzenia i bakterii. Zbyt mała ilość śliny (kserostomia), spowodowana np. przyjmowaniem niektórych leków, chorobami (np. zespół Sjögrena) lub odwodnieniem, utrudnia ten proces, sprzyjając gromadzeniu się płytki i jej mineralizacji.
Aparat ortodontyczny i inne utrudnienia w higienie
Obecność aparatu ortodontycznego, mostów, koron czy implantów może stanowić dodatkowe wyzwanie dla dokładnej higieny jamy ustnej. Elementy te tworzą dodatkowe powierzchnie i zakamarki, w których płytka bakteryjna może łatwiej zalegać, co zwiększa ryzyko powstawania kamienia.

Skąd wiadomo, że kamienia nazbierało się za dużo
Kamień nazębny często daje o sobie znać poprzez szereg charakterystycznych objawów. Wczesne rozpoznanie tych sygnałów pozwala na szybką interwencję i zapobieganie poważniejszym problemom.
Twardy osad, którego nie da się usunąć szczoteczką
Najbardziej oczywistym objawem jest wyczuwalny, twardy osad na powierzchni zębów, zwłaszcza w okolicach linii dziąseł. Może mieć kolor od żółtawego, przez brązowy, aż po ciemnobrązowy lub nawet czarny, w zależności od diety i nawyków (np. picia kawy, herbaty, palenia). Co istotne, tego osadu nie da się usunąć zwykłym szczotkowaniem – jest on zbyt twardy.
Nieświeży oddech
Kamień nazębny jest porowaty i stanowi idealne środowisko dla bakterii beztlenowych, które rozkładają resztki pokarmowe i produkują lotne związki siarki. Te związki są odpowiedzialne za nieprzyjemny, nieświeży oddech, czyli halitozę. Nawet regularne szczotkowanie może nie pomóc, jeśli źródłem problemu jest zalegający kamień.
Krwawienie, zaczerwienienie i obrzęk dziąseł
Kamień nazębny, gromadząc się przy linii dziąseł, nieustannie podrażnia tkanki miękkie. To prowadzi do stanu zapalnego dziąseł (gingivitis), który objawia się ich zaczerwienieniem, obrzękiem i krwawieniem, szczególnie podczas szczotkowania, nitkowania czy jedzenia twardych pokarmów. Dziąsła mogą być również tkliwe i bolesne.
Szorstka powierzchnia zębów i żółtobrązowe przebarwienia
Kamień sprawia, że powierzchnia zębów staje się szorstka i nierówna, co ułatwia przyleganie kolejnych osadów, bakterii i barwników z pożywienia. W efekcie zęby stają się bardziej podatne na przebarwienia, często przyjmując nieestetyczny żółto-brązowy odcień, który trudno usunąć domowymi metodami.
Dlaczego kamień na zębach jest groźny
Kamień nazębny to nie tylko problem estetyczny. Jego obecność w jamie ustnej wiąże się z szeregiem poważnych zagrożeń dla zdrowia zębów i dziąseł, a w konsekwencji dla całego organizmu.
Ułatwia rozwój próchnicy
Porowata struktura kamienia nazębnego tworzy idealne schronienie dla bakterii próchnicowych. Kamień utrudnia ich usunięcie podczas szczotkowania, a kwaśne produkty przemiany materii tych bakterii prowadzą do demineralizacji szkliwa i powstawania ubytków próchnicowych. Nawet jeśli szczotkujesz zęby, kamień może "chronić" bakterie przed usunięciem.
Prowadzi do stanu zapalnego dziąseł i chorób przyzębia
Kamień nazębny jest główną przyczyną zapalenia dziąseł (gingivitis). Bakterie bytujące w kamieniu wydzielają toksyny, które wywołują reakcję zapalną. Nieleczone zapalenie dziąseł może przekształcić się w znacznie poważniejszą chorobę – zapalenie przyzębia, potocznie zwaną paradontozą. Paradontoza prowadzi do stopniowego niszczenia tkanek utrzymujących zęby w zębodole, co w zaawansowanych stadiach może skutkować ich rozchwianiem, a nawet utratą.
Może sprzyjać cofaniu się dziąseł i nadwrażliwości
Przewlekłe zapalenie dziąseł i postępujące choroby przyzębia często skutkują recesją dziąseł, czyli ich cofaniem się. Odsłonięcie szyjek zębowych, które nie są chronione szkliwem, prowadzi do zwiększonej nadwrażliwości na zimne, gorące, słodkie lub kwaśne bodźce. To nie tylko dyskomfort, ale także zwiększone ryzyko próchnicy korzenia.
Jak skutecznie usuwa się kamień nazębny
Wielu pacjentów zastanawia się, czy kamień nazębny można usunąć w domu. Odpowiedź jest jednoznaczna: nie. Skuteczne usunięcie kamienia wymaga profesjonalnych zabiegów stomatologicznych.
Dlaczego domowe metody nie działają
Kamień nazębny jest twardym, zmineralizowanym osadem. Zwykła szczoteczka, nić dentystyczna czy płukanki nie są w stanie go usunąć. Co więcej, próby samodzielnego zeskrobywania kamienia ostrymi narzędziami są niezwykle niebezpieczne. Mogą prowadzić do uszkodzenia szkliwa, zranienia dziąseł, a nawet wbicia bakterii głębiej pod dziąsła, co pogorszy stan zapalny. Zawsze należy powierzyć to zadanie specjaliście.
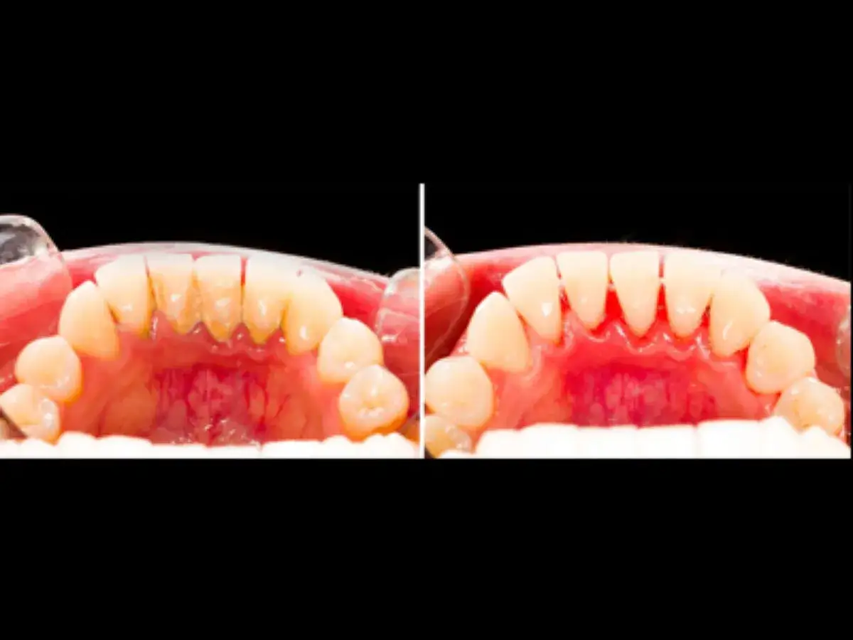
Na czym polega skaling i higienizacja
Profesjonalna higienizacja jamy ustnej to kompleksowy zabieg, który obejmuje kilka etapów:
- Skaling (ultradźwiękowy): To podstawowa metoda usuwania kamienia nazębnego. Wykorzystuje się do niej specjalne urządzenie – skaler ultradźwiękowy – które emituje drgania o wysokiej częstotliwości. Drgania te rozbijają twardy kamień na mniejsze fragmenty, które następnie są wypłukiwane wodą. Zabieg jest zazwyczaj bezbolesny, choć osoby z nadwrażliwością mogą odczuwać lekki dyskomfort.
- Piaskowanie: Po usunięciu kamienia skalerem, higienistka lub dentysta wykonuje piaskowanie. Polega ono na usunięciu osadów i przebarwień z powierzchni zębów za pomocą strumienia wody, powietrza i drobnego proszku (np. wodorowęglanu sodu). Piaskowanie dociera do trudno dostępnych miejsc, wygładzając powierzchnię zębów.
- Polerowanie: Ostatnim etapem jest polerowanie zębów specjalnymi pastami. Ma to na celu ostateczne wygładzenie powierzchni szkliwa. Gładka powierzchnia utrudnia ponowne przyleganie płytki bakteryjnej i osadów, co spowalnia proces tworzenia się nowego kamienia.
Kiedy potrzebne jest częstsze usuwanie kamienia
Standardowo zaleca się profesjonalną higienizację co 6 miesięcy. Jednak u niektórych osób, ze względu na indywidualne predyspozycje (np. skład śliny), dietę, nawyki (palenie tytoniu) czy obecność aparatu ortodontycznego, kamień może odkładać się szybciej. W takich przypadkach stomatolog może zalecić częstsze wizyty higienizacyjne, np. co 3-4 miesiące, aby skutecznie kontrolować jego narastanie.
Jak zapobiegać odkładaniu się kamienia na zębach
Profilaktyka jest zawsze lepsza niż leczenie. Stosowanie się do poniższych wskazówek znacząco zmniejszy ryzyko powstawania kamienia nazębnego i pomoże utrzymać zdrowy uśmiech.
Szczotkowanie dwa razy dziennie pastą z fluorem
To podstawa. Zęby należy szczotkować minimum dwa razy dziennie, rano i wieczorem, przez co najmniej dwie minuty. Używaj pasty z fluorem, który wzmacnia szkliwo i chroni przed próchnicą. Ważna jest również odpowiednia technika szczotkowania – pamiętaj o dokładnym czyszczeniu wszystkich powierzchni zębów, w tym linii dziąseł.
Codzienne czyszczenie przestrzeni międzyzębowych
Szczoteczka nie dociera wszędzie. Codzienne używanie nici dentystycznej, szczoteczek międzyzębowych lub irygatora jest absolutnie kluczowe dla usunięcia płytki bakteryjnej i resztek jedzenia z przestrzeni, do których włosie szczoteczki nie ma dostępu. To właśnie tam kamień nazębny najczęściej zaczyna się odkładać.
Ograniczenie podjadania i słodkich napojów
Ogranicz spożycie cukrów i produktów skrobiowych, które stanowią pożywkę dla bakterii. Staraj się unikać częstego podjadania między posiłkami, ponieważ każdy kontakt z cukrem inicjuje proces tworzenia kwasów i płytki. Jeśli już musisz podjadać, wybieraj zdrowe przekąski, takie jak warzywa czy orzechy.
Rzucenie palenia i nawodnienie przy suchości w ustach
Rzucenie palenia to jedna z najlepszych rzeczy, jakie możesz zrobić dla zdrowia jamy ustnej i całego organizmu. Jeśli cierpisz na suchość w ustach, pij dużo wody, aby pobudzić produkcję śliny i pomóc w naturalnym oczyszczaniu zębów. Warto również skonsultować się z lekarzem, aby ustalić przyczynę suchości i ewentualne metody leczenia.
Regularne wizyty kontrolne u dentysty i higienistki
Nawet przy najlepszej higienie domowej, regularne wizyty u stomatologa (przynajmniej raz na 6 miesięcy) i profesjonalne higienizacje są niezbędne. Pozwalają one na wczesne wykrycie i usunięcie kamienia, zanim zdąży on wyrządzić poważne szkody. Dentysta lub higienistka może również ocenić Twoją technikę szczotkowania i udzielić indywidualnych wskazówek.
Kiedy warto zgłosić się do dentysty
Niektóre objawy powinny być sygnałem do natychmiastowej wizyty u stomatologa, nawet jeśli nie jest to termin Twojej regularnej kontroli.
Kamień narasta szybko mimo higieny
Jeśli zauważasz, że kamień nazębny odkłada się na Twoich zębach w szybkim tempie, pomimo sumiennej i regularnej higieny domowej, koniecznie skonsultuj się z dentystą. Może to świadczyć o indywidualnych predyspozycjach, które wymagają częstszych profesjonalnych zabiegów.
Dziąsła krwawią, bolą lub odsłaniają szyjki zębów
Krwawiące, zaczerwienione, obrzęknięte lub bolesne dziąsła, a także widoczne cofanie się dziąseł i odsłonięcie szyjek zębowych, to objawy, które mogą świadczyć o zaawansowanym zapaleniu dziąseł lub paradontozie. Wymagają one natychmiastowej interwencji stomatologicznej, aby zapobiec dalszemu postępowi choroby i utracie zębów.
Pojawia się nieświeży oddech lub podejrzenie próchnicy
Uporczywy nieświeży oddech, którego nie da się usunąć za pomocą zwykłej higieny, może być sygnałem obecności dużej ilości kamienia lub innych problemów w jamie ustnej. Podobnie, wszelkie widoczne ubytki w zębach, ciemne plamy czy ból podczas jedzenia to powody do pilnej wizyty u dentysty, aby zdiagnozować i leczyć próchnicę.
Najczęstsze pytania o kamień na zębach
Wokół kamienia nazębnego krąży wiele pytań. Oto odpowiedzi na te najczęściej zadawane.
Czy kamień może sam zniknąć
Niestety, kamień nazębny nie może zniknąć samoczynnie. Jest to twardy, zmineralizowany osad, który wymaga profesjonalnego usunięcia przez stomatologa lub higienistkę stomatologiczną za pomocą specjalistycznych narzędzi.
Czy kamień na zębach oznacza chorobę
Sama obecność kamienia nazębnego nie jest chorobą, ale jest bardzo silnym czynnikiem sprzyjającym rozwojowi wielu poważnych schorzeń jamy ustnej. Kamień tworzy idealne środowisko dla bakterii, które wywołują zapalenie dziąseł, próchnicę oraz choroby przyzębia. Jest więc raczej wskaźnikiem ryzyka i przyczyną, a nie chorobą samą w sobie.
Jak często robić higienizację
Standardowa rekomendacja to profesjonalna higienizacja (skaling, piaskowanie, polerowanie) co najmniej raz na 6 miesięcy. Jednak częstotliwość ta może być indywidualnie dostosowana przez stomatologa, w zależności od szybkości odkładania się kamienia, stanu zdrowia dziąseł i ogólnej higieny pacjenta.
Przeczytaj również: Woda do irygatora - Wybór, bezpieczeństwo, higiena. Co wlać?
Czy kamień pojawia się u osób, które myją zęby
Tak, kamień nazębny może pojawić się nawet u osób, które regularnie myją zęby. Dzieje się tak, jeśli higiena nie jest wystarczająco dokładna (np. pomijanie nitkowania, nieprawidłowa technika szczotkowania, brak czyszczenia języka), lub z powodu indywidualnych predyspozycji, takich jak skład śliny, dieta czy genetyka. Dlatego tak ważne są regularne kontrole u dentysty i profesjonalne zabiegi higienizacyjne.
