Wielu z nas zastanawia się, czy kamień nazębny można usunąć samodzielnie w domu. To pytanie pojawia się często, gdy zauważamy nieestetyczne osady na zębach lub czujemy szorstkość ich powierzchni. Niestety, wbrew powszechnym mitom, zmineralizowany kamień nazębny wymaga profesjonalnego usunięcia w gabinecie stomatologicznym. Domowe metody, choć kluczowe w codziennej higienie, są skuteczne jedynie w walce z miękką płytką bakteryjną, która jest prekursorem kamienia. W tym artykule wyjaśnię, czym dokładnie jest kamień nazębny, dlaczego nie jesteśmy w stanie pozbyć się go w domowym zaciszu i jakie profesjonalne zabiegi oferuje stomatologia, aby skutecznie zadbać o zdrowie i estetykę naszego uśmiechu.
Kamień nazębny: profesjonalne usuwanie i skuteczna profilaktyka
- Kamień nazębny to zmineralizowana płytka bakteryjna, której nie da się usunąć domowymi metodami.
- Skuteczne usunięcie kamienia wymaga profesjonalnego zabiegu skalingu w gabinecie stomatologicznym.
- Profesjonalne usuwanie kamienia często obejmuje skaling ultradźwiękowy, piaskowanie i polerowanie zębów.
- Kluczowa jest codzienna profilaktyka: regularne i dokładne szczotkowanie oraz czyszczenie przestrzeni międzyzębowych.
- Objawy takie jak krwawienie dziąseł, obrzęk czy nieświeży oddech wskazują na potrzebę pilnej wizyty u dentysty.
- Osoby palące, z cukrzycą czy zaburzeniami hormonalnymi są w grupie podwyższonego ryzyka.

Czym jest kamień nazębny i dlaczego powstaje z płytki bakteryjnej
Zacznijmy od podstaw: kamień nazębny nie powstaje znikąd. Jego bezpośrednim prekursorem jest płytka nazębna, czyli miękki, lepki nalot składający się z bakterii, resztek pokarmowych i śliny, który nieustannie odkłada się na powierzchni zębów. Płytka ta jest niewidoczna gołym okiem, ale możemy ją wyczuć językiem jako szorstką warstwę. Jeśli nie zostanie regularnie usunięta poprzez szczotkowanie i nitkowanie, zaczyna się mineralizować.
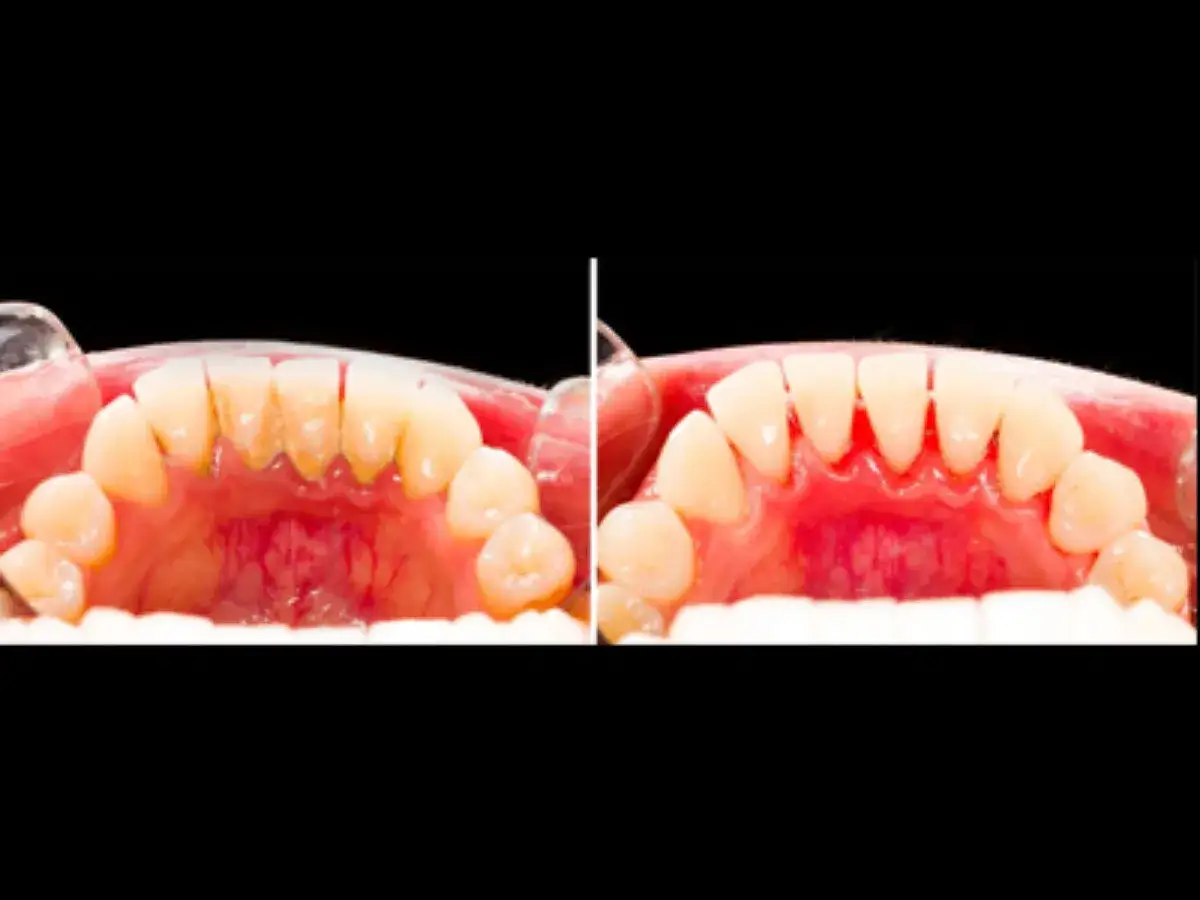
Proces mineralizacji polega na odkładaniu się w płytce związków mineralnych, głównie wapnia i fosforanów, obecnych w ślinie. W efekcie, miękka płytka bakteryjna twardnieje, przekształcając się w kamień nazębny. To twarda, porowata struktura, która najczęściej ma kolor żółtawy, brązowy, a nawet czarny, zwłaszcza u palaczy. Co ciekawe, proces ten może rozpocząć się bardzo szybko – nawet w ciągu zaledwie kilku godzin od ostatniego mycia zębów. Widoczny kamień może pojawić się już po kilku dniach, jeśli osad nie jest regularnie i dokładnie usuwany. Kamień nazębny jest nie tylko problemem estetycznym, ale przede wszystkim zdrowotnym, ponieważ jego porowata struktura stanowi idealne środowisko do namnażania się bakterii, co prowadzi do zapalenia dziąseł i próchnicy.

Czy kamień nazębny da się usunąć w domu
Odpowiedź jest jednoznaczna: nie, zmineralizowanego kamienia nazębnego nie da się usunąć domowymi metodami. To bardzo ważna kwestia, którą zawsze podkreślam moim pacjentom. Domowe sposoby, takie jak intensywne szczotkowanie, używanie past "wybielających" z drobinkami ściernymi, sody oczyszczonej czy octu, mogą być skuteczne w usuwaniu miękkiej płytki bakteryjnej i powierzchownych osadów, ale są całkowicie bezsilne wobec twardego, zmineralizowanego kamienia.
Próby samodzielnego "skrobania" kamienia ostrymi narzędziami, które niestety czasem widuję, są nie tylko nieskuteczne, ale przede wszystkim niebezpieczne dla zdrowia jamy ustnej. Mogą prowadzić do uszkodzenia szkliwa, zranienia dziąseł, a nawet do infekcji. Takie działania mogą pogłębić problem, zamiast go rozwiązać. Pamiętajmy, że kamień nazębny jest na tyle twardy, że wymaga specjalistycznych narzędzi i technik, które dostępne są wyłącznie w gabinecie stomatologicznym.
Jak dentysta usuwa kamień nazębny krok po kroku
Profesjonalne usuwanie kamienia nazębnego, czyli tak zwany skaling, to kluczowy zabieg w utrzymaniu zdrowia jamy ustnej. W gabinecie stomatologicznym proces ten jest przeprowadzany w kilku etapach, zapewniając skuteczne i bezpieczne usunięcie wszelkich osadów.
Skaling ultradźwiękowy i ręczne oczyszczanie
Główną metodą usuwania kamienia jest skaling ultradźwiękowy. Specjalne urządzenie, zwane skalerem ultradźwiękowym, generuje drgania o wysokiej częstotliwości, które przenoszone są na końcówkę dotykającą powierzchni zęba. Te drgania, w połączeniu ze strumieniem wody, skutecznie rozbijają twardy kamień nazębny, odrywając go od szkliwa. Woda dodatkowo chłodzi końcówkę i wypłukuje usunięte fragmenty kamienia. Zabieg jest zazwyczaj bezbolesny, choć pacjenci mogą odczuwać delikatne wibracje i chłód. W przypadku większej wrażliwości lub rozległych osadów, możliwe jest zastosowanie miejscowego znieczulenia. Po usunięciu większych złogów kamienia, stomatolog lub higienistka dentystyczna często używa narzędzi ręcznych (kiret i skalerów), aby precyzyjnie oczyścić trudno dostępne miejsca, takie jak przestrzenie międzyzębowe czy obszary poddziąsłowe.
Piaskowanie i polerowanie po skalingu
Po mechanicznym usunięciu kamienia, kolejnym etapem jest piaskowanie. Polega ono na usunięciu drobnych osadów, przebarwień (np. po kawie, herbacie, tytoniu) oraz resztek płytki nazębnej za pomocą specjalnego piaskarki. Urządzenie to pod ciśnieniem wyrzuca strumień drobnego proszku (najczęściej wodorowęglanu sodu lub glicyny) zmieszanego z wodą i powietrzem, który delikatnie, ale skutecznie oczyszcza powierzchnię zębów. Piaskowanie nie tylko poprawia estetykę, ale także przygotowuje zęby do ostatniego etapu – polerowania. Polerowanie zębów specjalnymi pastami i gumkami ma na celu wygładzenie ich powierzchni. Gładkie szkliwo jest mniej podatne na ponowne osadzanie się płytki bakteryjnej i kamienia, co znacząco wydłuża efekt czystych zębów i utrudnia bakteriom przyleganie.
Usuwanie kamienia poddziąsłowego
Szczególnie trudnym i niebezpiecznym rodzajem kamienia jest kamień poddziąsłowy. Odkłada się on w kieszonce dziąsłowej, czyli przestrzeni między zębem a dziąsłem, często niewidoczny gołym okiem. Jest on zazwyczaj twardszy i ciemniejszy niż kamień naddziąsłowy. Jego obecność jest niezwykle groźna, ponieważ bezpośrednio sprzyja rozwojowi zapalenia dziąseł (gingivitis) oraz, w dłuższej perspektywie, poważniejszej choroby przyzębia (paradontozy), która może prowadzić do utraty zębów. Usuwanie kamienia poddziąsłowego wymaga większej precyzji i doświadczenia, często z użyciem specjalnych, cienkich końcówek ultradźwiękowych lub kiret, aby nie uszkodzić delikatnych tkanek dziąsła i korzenia zęba. W niektórych przypadkach konieczne jest znieczulenie miejscowe.

Jak zapobiegać nawrotom kamienia nazębnego na co dzień
Po profesjonalnym usunięciu kamienia, kluczowe jest wdrożenie skutecznej profilaktyki, aby zminimalizować ryzyko jego ponownego odkładania się. Pamiętajmy, że bez regularnej i dokładnej higieny domowej, kamień szybko powróci.
Szczotkowanie zębów dwa razy dziennie pastą z fluorem
Podstawą jest regularne i dokładne szczotkowanie zębów co najmniej dwa razy dziennie, rano i wieczorem, przez minimum dwie minuty. Używanie pasty z fluorem jest niezwykle ważne, ponieważ fluor wzmacnia szkliwo i zwiększa jego odporność na działanie kwasów bakteryjnych. Kluczowa jest również technika szczotkowania – zalecam ruchy wymiatające, od dziąsła do korony zęba, delikatnie, ale skutecznie oczyszczając zarówno powierzchnie zębów, jak i linię dziąseł. Należy pamiętać o czyszczeniu wszystkich powierzchni zębów: zewnętrznych, wewnętrznych i żujących. Według danych ADA (American Dental Association), prawidłowe szczotkowanie jest fundamentem zdrowia jamy ustnej.
Czyszczenie przestrzeni międzyzębowych
Szczoteczka do zębów, nawet ta najlepsza, nie jest w stanie dotrzeć do wszystkich zakamarków, zwłaszcza do przestrzeni międzyzębowych. To właśnie tam najczęściej gromadzi się płytka bakteryjna i resztki pokarmowe, które z czasem mineralizują się w kamień. Dlatego codzienne czyszczenie przestrzeni międzyzębowych jest absolutnie niezbędne. Do tego celu możemy używać:
- Nici dentystycznej: Skuteczna w usuwaniu płytki i resztek pokarmowych z wąskich przestrzeni.
- Szczoteczek międzyzębowych: Dostępne w różnych rozmiarach, idealne do szerszych przestrzeni, aparatów ortodontycznych czy mostów.
- Irygatora: Urządzenie, które za pomocą strumienia wody pod ciśnieniem wypłukuje resztki pokarmowe i luźną płytkę, masując jednocześnie dziąsła. Jest to świetne uzupełnienie, ale nie zastępuje mechanicznego czyszczenia.
Pasty i płyny wspierające kontrolę osadu
Na rynku dostępne są pasty do zębów i płyny do płukania ust, które reklamują się jako "przeciw kamieniowi" lub "redukujące płytkę". Mogą one zawierać składniki takie jak pirofosforany czy cytrynian cynku, które pomagają opóźnić proces mineralizacji płytki bakteryjnej i zmniejszyć jej przyczepność do zębów. Z mojego doświadczenia wynika, że mogą one być cennym wsparciem w codziennej higienie, jednak nigdy nie zastąpią mechanicznego szczotkowania i nitkowania. Co więcej, żadna pasta ani płyn nie jest w stanie rozpuścić ani usunąć już istniejącego, zmineralizowanego kamienia nazębnego. Ich rola polega na profilaktyce i wspieraniu usuwania miękkiej płytki, zanim ta zdąży stwardnieć.
Jakie objawy sugerują, że kamień już szkodzi dziąsłom
Kamień nazębny, pozostawiony bez interwencji, może prowadzić do poważnych problemów ze zdrowiem jamy ustnej. Istnieje szereg objawów, które powinny zapalić czerwoną lampkę i skłonić do pilnej wizyty u stomatologa:
-
Krwawienie, obrzęk i nieświeży oddech
Te objawy to najczęściej wczesne sygnały zapalenia dziąseł (gingivitis). Krwawienie dziąseł podczas szczotkowania lub nitkowania, ich zaczerwienienie, obrzęk i tkliwość to wyraźne znaki, że bakterie z płytki i kamienia nazębnego podrażniają tkanki. Nieświeży oddech (halitoza) jest również często związany z obecnością bakterii w kamieniu i stanem zapalnym dziąseł. Ignorowanie tych sygnałów to prosta droga do poważniejszych problemów.
-
Cofanie się dziąseł, nadwrażliwość i ruchomość zębów
Jeśli zauważasz, że Twoje dziąsła zaczynają się cofać, odsłaniając korzenie zębów, a zęby stają się nadwrażliwe na zimno, ciepło lub dotyk, to są to już poważniejsze sygnały. Mogą one wskazywać na zaawansowaną chorobę przyzębia (paradontozę), w której kamień poddziąsłowy i stan zapalny niszczą kość podtrzymującą zęby. W skrajnych przypadkach, gdy utrata kości jest znaczna, zęby mogą stać się ruchome, a nawet wypaść. W takich sytuacjach pilna konsultacja stomatologiczna jest absolutnie konieczna, aby zatrzymać postęp choroby i uratować zęby.
Kto powinien szczególnie uważać na kamień nazębny
Choć kamień nazębny może dotknąć każdego, istnieją grupy osób, które są szczególnie narażone na jego odkładanie się lub u których jego obecność może prowadzić do poważniejszych konsekwencji. Warto, aby te osoby zwracały szczególną uwagę na higienę i regularne wizyty kontrolne:
- Osoby palące: Nikotyna i substancje smoliste sprzyjają szybszemu odkładaniu się płytki i kamienia, a także maskują objawy zapalenia dziąseł, utrudniając wczesne wykrycie problemu.
- Osoby z cukrzycą: Cukrzyca osłabia układ odpornościowy i utrudnia gojenie, co sprawia, że pacjenci są bardziej podatni na infekcje, w tym na zapalenie dziąseł i paradontozę, które są często pogarszane przez kamień.
- Osoby z utrudnioną higieną jamy ustnej: Dotyczy to pacjentów noszących aparaty ortodontyczne, mosty, protezy częściowe, a także tych z nieregularnym zgryzem, stłoczeniami zębów czy dużymi wypełnieniami, gdzie dokładne czyszczenie jest utrudnione.
- Pacjenci z zaburzeniami hormonalnymi: Zmiany hormonalne, takie jak te występujące w ciąży, podczas menopauzy czy w okresie dojrzewania, mogą zwiększać wrażliwość dziąseł na płytkę bakteryjną, prowadząc do silniejszego stanu zapalnego i szybszego odkładania się kamienia.
Najczęstsze mity o usuwaniu kamienia nazębnego
Wokół tematu usuwania kamienia nazębnego narosło wiele mitów, które mogą wprowadzać w błąd i prowadzić do nieprawidłowych działań. Jako ekspert, czuję się w obowiązku je obalić:
-
Mit: Domowe "skrobanie" kamienia ostrymi narzędziami jest skuteczne.
Fakt: To jeden z najgroźniejszych mitów. Kamień nazębny jest zbyt twardy, aby usunąć go domowymi metodami bez ryzyka uszkodzenia szkliwa i dziąseł. Próby takie mogą prowadzić do powstania rys na szkliwie, które staną się idealnym miejscem do gromadzenia się nowych osadów, a także do krwawień, infekcji i recesji dziąseł.
-
Mit: "Magiczne" płukanki ustne mogą rozpuścić kamień nazębny.
Fakt: Żaden płyn do płukania ust, niezależnie od składu, nie jest w stanie rozpuścić zmineralizowanego kamienia nazębnego. Płyny mogą wspierać redukcję płytki bakteryjnej i odświeżać oddech, ale nie mają wpływu na twarde złogi. Według danych mp.pl, płyny do płukania są jedynie uzupełnieniem, a nie alternatywą dla szczotkowania i nitkowania.
-
Mit: Specjalne pasty do zębów samodzielnie usuwają twardy kamień.
Fakt: Pasty "przeciw kamieniowi" mogą zawierać składniki, które spowalniają proces mineralizacji płytki i ułatwiają jej usunięcie podczas szczotkowania. Jednak żadna pasta nie jest w stanie usunąć już istniejącego, twardego kamienia nazębnego. Ich działanie jest profilaktyczne, a nie lecznicze w kontekście zmineralizowanych osadów.
Jak często usuwać kamień i kiedy umówić wizytę
Częstotliwość profesjonalnego usuwania kamienia nazębnego jest kwestią indywidualną i zależy od wielu czynników, takich jak tempo odkładania się osadu, stan higieny jamy ustnej, obecność chorób dziąseł czy ogólny stan zdrowia. Standardowo zaleca się wizyty u stomatologa lub higienistki dentystycznej w celu profesjonalnej higienizacji (skalingu i piaskowania) co 6 do 12 miesięcy. Jednak w przypadku osób z tendencją do szybkiego odkładania się kamienia, palaczy, pacjentów z cukrzycą, chorobami przyzębia czy noszących aparaty ortodontyczne, może być konieczne częstsze usuwanie kamienia, nawet co 3-4 miesiące. Niezależnie od zaleceń, warto reagować szybciej i umówić wizytę, jeśli pojawią się objawy takie jak krwawienie dziąseł, obrzęk, nieprzyjemny zapach z ust czy widoczne, twarde osady na zębach.
FAQ: najczęstsze pytania o usuwaniu kamienia nazębnego
Czy skaling boli?
Skaling ultradźwiękowy jest zazwyczaj zabiegiem bezbolesnym. Pacjenci mogą odczuwać delikatne wibracje, nacisk oraz chłód wody, co bywa określane jako dyskomfort, a nie ból. W przypadku dużej ilości kamienia, silnego stanu zapalnego dziąseł lub nadwrażliwości zębów, odczucia mogą być intensywniejsze. W takich sytuacjach, a także na życzenie pacjenta, możliwe jest zastosowanie miejscowego znieczulenia, które całkowicie eliminuje ból i pozwala na komfortowe przeprowadzenie zabiegu.
Czy kamień po usunięciu wraca?
Niestety, kamień nazębny ma tendencję do nawracania. Jest to naturalny proces wynikający z mineralizacji płytki bakteryjnej, która nieustannie tworzy się w jamie ustnej. Nawroty są nieuniknione, jeśli nie jest utrzymywana odpowiednia, codzienna higiena. Regularne i dokładne szczotkowanie, nitkowanie oraz stosowanie innych akcesoriów do higieny jamy ustnej są kluczowe, aby minimalizować tempo odkładania się kamienia i wydłużać okres między profesjonalnymi zabiegami.
Czy pasta do zębów może usunąć kamień?
Żadna pasta do zębów nie jest w stanie usunąć zmineralizowanego kamienia nazębnego. Pasty, nawet te reklamowane jako "przeciw kamieniowi", działają profilaktycznie. Mogą one zawierać składniki, które pomagają w usuwaniu miękkiej płytki bakteryjnej i opóźniają proces jej mineralizacji, ale nie mają zdolności do rozpuszczania ani mechanicznego usuwania twardych złogów. Do usunięcia kamienia niezbędne są specjalistyczne narzędzia stomatologiczne.
Przeczytaj również: Żucie gumy dla zębów - kiedy pomaga, a kiedy szkodzi?
Czy płyn do płukania zastępuje nitkowanie?
Płyn do płukania ust nie zastępuje mechanicznego czyszczenia przestrzeni międzyzębowych nicią dentystyczną lub szczoteczkami międzyzębowymi. Płyn może być cennym uzupełnieniem higieny, pomagając w redukcji bakterii w całej jamie ustnej i odświeżając oddech. Jednak jego działanie nie jest wystarczające, aby usunąć płytkę bakteryjną i resztki pokarmowe z ciasnych przestrzeni między zębami, do których nie dociera strumień płynu. Tylko mechaniczne czyszczenie jest w stanie skutecznie usunąć osady z tych trudno dostępnych miejsc.
