Kajetan Michalak - Strona 6
Autor Leonard Ziółkowski - najnowsze wpisy
Ząbkowanie u 3-miesięcznego dziecka - objawy, normy, alarmy
Ropne zapalenie dziąseł - objawy i kiedy pilnie do dentysty?
Autor Emil Bąk - najnowsze wpisy
Dziecko nie myje zębów – jak to zmienić bez codziennych walk?
Ból dziąseł - podrażnienie czy choroba? Rozpoznaj i działaj!
Szczoteczka soniczna - obroty czy ruchy? Rozwiewamy wątpliwości
Publikacje autora
Leczenie kanałowe - bez bólu? Przewodnik przed i po
Leczenie kanałowe - czy boli? Poznaj przebieg zabiegu, objawy po i zasady NFZ. Dowiedz się, co jest normalne, a co alarmujące.
Spuchnięty policzek przy bólu zęba - ropień? Kiedy do dentysty?
Spuchnięty policzek przy bólu zęba to sygnał alarmowy. Dowiedz się, co oznacza, kiedy pilnie iść do dentysty i jak sobie pomóc doraźnie.
Ból dziąsła przy zębie - Co oznacza i kiedy jest groźny?
Ból dziąsła przy zębie - co oznacza? Poznaj przyczyny, objawy alarmowe i dowiedz się, kiedy pilnie iść do dentysty. Sprawdź, jak sobie pomóc.
Afta - Przebić? Nie! Co robić i kiedy do lekarza - Poradnik.
Masz aftę i zastanawiasz się, czy ją przebić? Dowiedz się, dlaczego to zły pomysł, co robić, by złagodzić ból i kiedy iść do lekarza. Sprawdź poradnik!
Ból martwego zęba po latach - skąd się bierze i jak go leczyć?
Zwiększ CTR i przyciągnij ruch z Google! Dowiedz się, jak napisać idealne meta description w kilku prostych krokach. Poznaj nasze triki i sprawdź poradnik!
Biały nalot w buzi niemowlaka - Pleśniawki czy mleko? Sprawdź!
Pleśniawki u niemowlaka - jak rozpoznać i odróżnić od mleka czy aft? Poznaj przyczyny, leczenie i kiedy iść do pediatry. Sprawdź nasz poradnik!
Irygator do zębów - czy zastąpi nić? Przewodnik eksperta
Zastanawiasz się, czym jest irygator do zębów i czy warto? Poznaj jego działanie, korzyści i dla kogo jest idealny. Sprawdź, czy zastępuje nić!
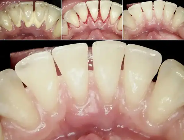
Infekcja dziąsła - co to, objawy, leczenie. Kiedy pilna wizyta?
Masz krwawiące dziąsła? Dowiedz się, jak rozpoznać i leczyć infekcję dziąsła, by uniknąć poważnych chorób przyzębia. Sprawdź praktyczne porady ekspertów!
Ból szczęki z prawej strony przy otwieraniu - TMD czy ząb? Kiedy do dentysty?
Ból szczęki z prawej strony przy otwieraniu? Sprawdź, czy to problem ze stawem, czy chory ząb. Poznaj przyczyny i domowe sposoby na szybką ulgę.
Dziąsło na ząb - Kiedy normalne, a kiedy pilna wizyta u dentysty?
Dziąsło nachodzące na ząb - poznaj przyczyny, objawy i leczenie. Sprawdź, kiedy to normalne, a kiedy pilnie iść do dentysty.