Jako rodzic, z pewnością niejednokrotnie zastanawiałeś się nad zawiłościami rozwoju uzębienia u swojego dziecka. Kwestia wypadania zębów trzonowych budzi wiele pytań i niepokojów. Czy to normalne, że trzonowiec się rusza? Które z nich powinny wypaść, a które zostać na zawsze? Kiedy rozchwiany ząb to naturalny proces, a kiedy sygnał do pilnej wizyty u stomatologa dziecięcego? Postaram się rozwiać wszelkie wątpliwości i dostarczyć Ci kompleksowych informacji, które pomogą zapewnić Twojemu dziecku zdrowy i piękny uśmiech.
Zęby trzonowe u dzieci: co wypada, a co zostaje
- Tylko mleczne zęby trzonowe wypadają naturalnie, zastępowane przez zęby przedtrzonowe.
- Stałe zęby trzonowe (szóstki, siódemki, ósemki) nie mają mlecznych poprzedników i nie powinny wypadać.
- Mleczne trzonowce wypadają zazwyczaj między 10. a 12. rokiem życia, a pierwsze stałe trzonowce pojawiają się około 6. roku życia.
- Rozchwiany stały ząb zawsze wymaga konsultacji ze stomatologiem.
- Przedwczesna utrata mlecznych trzonowców może prowadzić do problemów z uzębieniem stałym.
- W przypadku urazu zęba stałego, należy pilnie skontaktować się z dentystą.

Czy zęby trzonowe wypadają u dzieci? Krótka odpowiedź dla rodziców
Tak, zęby trzonowe wypadają u dzieci, ale kluczowe jest rozróżnienie, o które zęby trzonowe chodzi. Tylko mleczne zęby trzonowe wypadają naturalnie, ustępując miejsca zębom stałym. Co ważne, ich miejsce zajmują zęby przedtrzonowe, a nie kolejne trzonowce. To bardzo istotna różnica, którą często pomijamy.
Natomiast stałe zęby trzonowe, czyli popularne "szóstki", "siódemki", a w późniejszym wieku "ósemki" (zęby mądrości), nie mają swoich mlecznych odpowiedników. Oznacza to, że wyrzynają się one za ostatnimi zębami mlecznymi i powinny pozostać w jamie ustnej dziecka na całe życie. Ich wypadnięcie jest zawsze sygnałem alarmowym i wymaga natychmiastowej konsultacji ze stomatologiem.
Które zęby trzonowe wypadają naturalnie, a które powinny zostać na całe życie?
Mleczne trzonowce i ich wymiana na zęby przedtrzonowe
Mleczne zęby trzonowe są integralną częścią uzębienia tymczasowego, które pełni niezwykle ważną rolę w procesie żucia, mowy oraz utrzymywania miejsca dla przyszłych zębów stałych. Kiedy nadchodzi odpowiedni czas, ich korzenie ulegają resorpcji (rozpuszczeniu), a ząb staje się rozchwiany i w końcu wypada. Jest to całkowicie naturalny i fizjologiczny proces. Co ciekawe, miejsce po mlecznych trzonowcach zajmują zęby stałe, które nazywamy zębami przedtrzonowymi. To właśnie one są ich bezpośrednimi następcami w łuku zębowym. Jest to normalny i zdrowy etap rozwoju uzębienia każdego dziecka.
Stałe trzonowce, czyli szóstki, siódemki i ósemki
Stałe zęby trzonowe to zupełnie inna kategoria. Wyrzynają się one za ostatnimi zębami mlecznymi i nie zastępują żadnych zębów mlecznych. Pierwsze stałe trzonowce, powszechnie nazywane "szóstkami", pojawiają się w jamie ustnej dziecka około 6. roku życia, często niezauważone przez rodziców, ponieważ nie poprzedza ich wypadnięcie mleczaka. Są to zęby, które powinny służyć dziecku przez całe życie. Ich wypadnięcie, ruchomość lub jakikolwiek uraz, który je dotyka, jest zawsze sygnałem alarmowym i wymaga pilnej interwencji stomatologicznej. Nie ma tu mowy o naturalnej wymianie – stałe trzonowce są zębami docelowymi.
W jakim wieku wypadają mleczne zęby trzonowe i kiedy pojawiają się stałe?
Orientacyjny kalendarz wymiany uzębienia od około 6. do 13. roku życia
Aby ułatwić zrozumienie tego procesu, przygotowałem orientacyjny kalendarz. Pamiętajmy, że są to widełki, a każde dziecko rozwija się w swoim tempie.
| Rodzaj zęba | Wiek wypadania (mleczne) | Wiek pojawiania się (stałe) |
|---|---|---|
| Pierwsze stałe trzonowce (szóstki) | Nie dotyczy | Około 6. roku życia |
| Mleczne zęby trzonowe | Między 10. a 12. rokiem życia | Zastępowane przez zęby przedtrzonowe około 13. roku życia |
| Stałe trzonowce (siódemki, ósemki) | Nie dotyczy | Później niż szóstki, ósemki mogą pojawić się nawet po 18. roku życia |
Dlaczego kolejność i tempo wypadania mogą się różnić u poszczególnych dzieci
Przedstawione powyżej widełki wiekowe są jedynie orientacyjne. Musimy pamiętać, że każde dziecko rozwija się indywidualnie, a na kolejność i tempo wypadania zębów wpływa wiele czynników. Należą do nich między innymi genetyka (często dzieci dziedziczą po rodzicach podobny harmonogram ząbkowania i wymiany uzębienia), ogólny stan zdrowia, a nawet dieta. Niewielkie odchylenia od normy są często naturalne i nie powinny od razu budzić niepokoju. Jeśli jednak zauważysz znaczące opóźnienia lub przyspieszenia, zawsze warto skonsultować to ze stomatologiem dziecięcym, aby upewnić się, że rozwój uzębienia przebiega prawidłowo.
Jak odróżnić naturalne wypadanie mlecznego trzonowca od problemu stomatologicznego?
Ząb, który się chwieje bez bólu, zwykle jest częścią fizjologicznej wymiany
Naturalne wypadanie mlecznego zęba trzonowego zazwyczaj przebiega w sposób stopniowy i bezboleśnie. Ząb zaczyna się delikatnie chwiać, a z czasem jego ruchomość narasta. Dziecko może odczuwać lekki dyskomfort podczas jedzenia, ale zazwyczaj nie towarzyszy temu silny ból ani obrzęk. To po prostu ciało przygotowuje się na pojawienie się zęba stałego. W takiej sytuacji interwencja stomatologiczna nie jest konieczna, chyba że ząb utrudnia dziecku jedzenie lub sprawia mu znaczny dyskomfort.
Ból, obrzęk, krwawienie, próchnica lub ropa to sygnały alarmowe
Istnieją jednak wyraźne sygnały, które powinny natychmiast zaniepokoić każdego rodzica i skłonić do pilnej wizyty u dentysty. Są to objawy wskazujące na problem stomatologiczny, który wymaga profesjonalnej oceny i leczenia:
- Silny ból zęba lub dziąsła, który nie ustępuje po lekach przeciwbólowych.
- Obrzęk w okolicy zęba lub twarzy, co może świadczyć o stanie zapalnym.
- Krwawienie z dziąsła, które jest obfite lub nie ustępuje samoistnie.
- Widoczna próchnica, szczególnie rozległa, która może prowadzić do infekcji.
- Obecność ropy lub przetoki (małej krostki na dziąśle), co jest oznaką aktywnego procesu zapalnego.
- Gorączka towarzysząca objawom stomatologicznym, wskazująca na ogólnoustrojową reakcję organizmu na infekcję.
Stały trzonowiec, który się rusza, nigdy nie jest „normalnym mleczakiem”
Chciałbym to bardzo mocno podkreślić: ruchomość zęba stałego u dziecka zawsze jest powodem do niepokoju i wymaga natychmiastowej konsultacji stomatologicznej. Zęby stałe nie powinny się chwiać, a ich ruchomość nigdy nie jest częścią naturalnego procesu wymiany uzębienia. Może to być wynik urazu (np. upadku), choroby dziąseł (choć rzadziej u dzieci), a nawet innych problemów zdrowotnych. Jak podkreśla Guy’s and St Thomas’ NHS, rozchwianie stałego zęba nie jest normalnym etapem wymiany uzębienia u dziecka i może wiązać się z urazem albo chorobą dziąseł, dlatego wymaga oceny dentysty.
Co zrobić, gdy dziecku wypadnie ząb trzonowy?
Postępowanie po naturalnym wypadnięciu mlecznego zęba
Kiedy mleczny ząb trzonowy wypadnie samoczynnie, zazwyczaj nie ma powodu do paniki. Oto proste instrukcje, jak postępować:
- Uspokój dziecko i zapewnij, że to naturalny proces, który oznacza, że rośnie coraz większe.
- Delikatnie przemyj jamę ustną dziecka letnią wodą, aby usunąć krew i resztki.
- Jeśli pojawi się niewielkie krwawienie, poproś dziecko o delikatne zagryzienie czystego gazika lub wacika przez kilka minut. Krwawienie powinno szybko ustąpić.
- Unikaj podawania twardych pokarmów przez kilka godzin po wypadnięciu zęba, aby nie podrażniać dziąsła.
- Nie próbuj wkładać zęba z powrotem do zębodołu – to mleczak, który już spełnił swoją rolę.
Co robić po urazie, gdy wypadł lub został wybity ząb stały
Wybicie stałego zęba to nagły wypadek stomatologiczny, który wymaga błyskawicznej reakcji. Im szybciej zareagujesz, tym większe szanse na uratowanie zęba. Jak podkreśla HealthyChildren, jeśli wypadnie lub zostanie wybity ząb stały, jest to stan nagły i wymaga szybkiej pomocy stomatologicznej. Oto, co należy zrobić krok po kroku:
- Zachowaj spokój. Twoja opanowana reakcja pomoże uspokoić dziecko.
- Znajdź wybity ząb. Chwytaj go wyłącznie za koronę (białą część), nigdy za korzeń.
- Jeśli ząb jest brudny, delikatnie opłucz go pod zimną bieżącą wodą przez maksymalnie 10 sekund. Nie szoruj go ani nie używaj mydła czy innych środków czyszczących.
- Spróbuj delikatnie włożyć ząb z powrotem do zębodołu. Jeśli się uda, poproś dziecko, aby go przytrzymało, delikatnie zagryzając gazik lub chusteczkę.
- Jeśli nie da się włożyć zęba z powrotem, przechowuj go w odpowiednim środowisku. Najlepsze jest mleko (najlepiej zimne), sól fizjologiczna lub ślina dziecka. Można go umieścić w małym pojemniku z jednym z tych płynów. Ostatecznie, jeśli nic innego nie jest dostępne, można go umieścić w ustach dziecka (między policzkiem a dziąsłem), uważając, aby go nie połknęło.
- Natychmiast udaj się do stomatologa dziecięcego – im szybciej, tym większe szanse na powodzenie replantacji (ponowne wszczepienie zęba). Idealnie, powinno to nastąpić w ciągu 30-60 minut od urazu.
Kiedy zęba nie wolno próbować wkładać z powrotem
Bardzo ważne jest, aby pamiętać, że zębów mlecznych nigdy nie należy próbować wkładać z powrotem do zębodołu. Może to uszkodzić zawiązek zęba stałego, który znajduje się pod nim i czeka na wyrznięcie. W przypadku zęba stałego, istnieją pewne sytuacje, w których próba replantacji może być niewskazana lub niemożliwa. Jeśli wybity ząb stały jest bardzo brudny i nie da się go delikatnie opłukać, jest połamany na wiele fragmentów, lub dziecko ma inne poważne obrażenia (np. głowy), priorytetem jest natychmiastowa wizyta u lekarza (np. na SOR), a nie próba replantacji na siłę. Zawsze jednak należy zabrać ząb ze sobą do dentysty, nawet jeśli wydaje się uszkodzony.
Dlaczego przedwczesna utrata mlecznych trzonowców może być problemem?
Ryzyko przesuwania się sąsiednich zębów i braku miejsca dla stałych
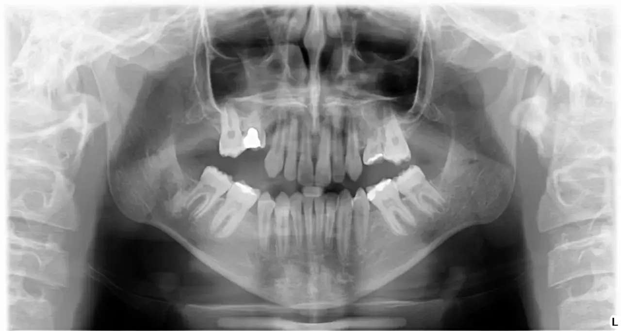
Mleczne zęby trzonowe pełnią niezwykle ważną funkcję, którą często niedoceniamy – są naturalnymi "utrzymywaczami miejsca" dla zębów stałych. Ich obecność w łuku zębowym gwarantuje, że przestrzeń dla przyszłych zębów przedtrzonowych będzie zachowana. Przedwczesna utrata mlecznego trzonowca (np. z powodu rozległej próchnicy, która doprowadziła do konieczności ekstrakcji) może spowodować, że sąsiednie zęby zaczną się przesuwać, zajmując wolną przestrzeń. W konsekwencji, gdy nadejdzie czas na wyrznięcie się zęba stałego, może zabraknąć dla niego miejsca, co prowadzi do stłoczeń, wad zgryzu i często wymaga długotrwałego leczenia ortodontycznego.
Wpływ próchnicy na zgryz, gryzienie i komfort dziecka
Nieleczona próchnica w mlecznych zębach trzonowych to nie tylko problem estetyczny. Może prowadzić do silnego bólu, infekcji, ropni, a nawet przetok. Ból i dyskomfort uniemożliwiają dziecku prawidłowe gryzienie i żucie pokarmów, co może wpływać na jego dietę i odżywianie. Problemy z zębami mogą również negatywnie wpływać na rozwój mowy, a także na ogólne samopoczucie i pewność siebie dziecka. Co więcej, zaawansowana próchnica w zębach mlecznych może przenosić się na nowo wyrzynające się zęby stałe, a także zaburzać prawidłowy rozwój i kształtowanie się zgryzu.Jak chronić trzonowce dziecka przed przedwczesnym wypadaniem?
Codzienne szczotkowanie, pasta z fluorem i czyszczenie bruzd
Podstawą profilaktyki jest oczywiście codzienna, prawidłowa higiena jamy ustnej. Należy uczyć dzieci dokładnego szczotkowania zębów minimum dwa razy dziennie, szczególnie po posiłkach, z użyciem pasty z fluorem dostosowanej do wieku dziecka. Zęby trzonowe, ze względu na swoje bruzdy i zagłębienia, są szczególnie podatne na próchnicę, dlatego wymagają szczególnej uwagi. Warto zainwestować w szczoteczkę o miękkim włosiu i upewnić się, że dziecko opanowało prawidłową technikę szczotkowania. W przypadku starszych dzieci, warto rozważyć także czyszczenie przestrzeni międzyzębowych.
Dieta z ograniczeniem częstych przekąsek i słodkich napojów
Dieta ma ogromny wpływ na zdrowie zębów. Kluczowe jest ograniczenie spożycia słodkich przekąsek i napojów, zwłaszcza między posiłkami. Częste podjadanie słodyczy i popijanie słodkich napojów sprzyja rozwojowi próchnicy, ponieważ zęby są stale narażone na działanie kwasów. Zamiast tego, należy promować zbilansowaną dietę bogatą w wapń i witaminy (np. witaminę D), które są niezbędne dla mocnych i zdrowych zębów.
Kontrole stomatologiczne, lakowanie i szybkie leczenie ubytków
Nawet najlepsza higiena domowa nie zastąpi profesjonalnej opieki stomatologicznej. Kluczowe elementy profilaktyki to:
- Regularne wizyty kontrolne u stomatologa dziecięcego (co 6 miesięcy), które pozwalają na wczesne wykrycie i leczenie ewentualnych problemów.
- Rozważenie lakowania bruzd w stałych zębach trzonowych (szóstkach i siódemkach) zaraz po ich wyrżnięciu. Lakowanie to zabieg polegający na wypełnieniu naturalnych bruzd i zagłębień w zębach specjalnym, ochronnym materiałem, co znacznie zmniejsza ryzyko próchnicy.
- Szybkie leczenie wszelkich ubytków próchnicowych, nawet w zębach mlecznych. Nie należy bagatelizować próchnicy w mleczakach, ponieważ może ona prowadzić do poważnych konsekwencji, takich jak przedwczesna utrata zęba i problemy z uzębieniem stałym.
Kiedy pilnie iść do stomatologa dziecięcego z powodu trzonowca?
Istnieją sytuacje, które wymagają natychmiastowej interwencji stomatologicznej. Nie należy ich lekceważyć, ponieważ szybka reakcja może zapobiec poważniejszym problemom i uratować ząb:
- Stały ząb trzonowy jest ruchomy, boli albo został wybity. To zawsze jest nagły wypadek i wymaga natychmiastowej oceny dentysty.
- Dziecko odczuwa silny, uporczywy ból zęba lub dziąsła, który nie ustępuje po lekach przeciwbólowych.
- Pojawił się obrzęk twarzy lub dziąseł w okolicy zęba.
- Występuje gorączka bez innych objawów infekcji (np. kataru, kaszlu), co może wskazywać na ropień zęba.
- Widoczny jest ropień lub przetoka na dziąśle (mała krostka z ropą).
- Mleczny ząb trzonowy wypadł znacznie wcześniej niż w typowym wieku wymiany (np. przed 10. rokiem życia). Może to wymagać założenia utrzymywacza przestrzeni.
- Po urazie, nawet jeśli ząb nie wypadł, ale jest uszkodzony, pęknięty lub boli.
Najczęstsze pytania rodziców o wypadające zęby trzonowe
Czy ósemki też wypadają?
Ósemki, czyli zęby mądrości, to stałe zęby trzonowe, które wyrzynają się zazwyczaj między 17. a 25. rokiem życia, a czasem nawet później lub wcale. Nie mają one mlecznych poprzedników i nie wypadają naturalnie. Mogą być usuwane chirurgicznie, jeśli powodują problemy, takie jak ból, stłoczenia, stany zapalne dziąseł czy uszkodzenia sąsiednich zębów, ale nie jest to proces naturalnego wypadania.
Czy ząb trzonowy może wypaść od próchnicy?
Tak, niestety zaawansowana próchnica może doprowadzić do utraty zarówno mlecznego, jak i stałego zęba trzonowego. Jeśli próchnica jest nieleczona i zniszczy znaczną część struktury zęba, a następnie doprowadzi do poważnej infekcji i stanu zapalnego kości, ząb może stać się tak osłabiony, że ulegnie złamaniu lub będzie musiał zostać usunięty. Jest to sytuacja, której należy bezwzględnie unikać poprzez odpowiednią profilaktykę i regularne wizyty u dentysty.
Przeczytaj również: Siekacze u dziecka - kiedy, jak dbać i na co zwrócić uwagę?
Czy trzeba iść do dentysty, jeśli mleczny trzonowiec sam się rusza?
Zazwyczaj nie jest to konieczne, jeśli mleczny ząb trzonowy rusza się bez bólu, obrzęku czy innych niepokojących objawów, ponieważ jest to naturalny proces przygotowujący go do wypadnięcia. Jednak zawsze warto wspomnieć o tym dentyście podczas najbliższej wizyty kontrolnej. Stomatolog oceni, czy proces wymiany przebiega prawidłowo i czy nie ma żadnych komplikacji, takich jak np. ząb stały wyrzynający się obok mlecznego, zamiast pod nim.
