Czarne zęby u dziecka mogą budzić niepokój u każdego rodzica. Choć często kojarzone z próchnicą, ciemne przebarwienia na zębach mlecznych lub stałych nie zawsze oznaczają ten sam problem. Ten artykuł pomoże zrozumieć najczęstsze przyczyny, rozróżnić osad od próchnicy, a co najważniejsze – wskaże, kiedy konieczna jest pilna wizyta u stomatologa, aby zapewnić dziecku zdrowy uśmiech.
Czarne zęby u dziecka: nie zawsze próchnica, zawsze powód do uwagi
- Czarne zęby mogą oznaczać próchnicę, osad, uraz lub efekt leczenia, a nie jedną diagnozę.
- Ból, nadwrażliwość lub ciemnienie zęba po urazie to sygnały alarmowe wymagające szybkiej konsultacji.
- Zewnętrzny czarny osad (black stain) to często zmiana estetyczna, ale zawsze wymaga różnicowania z próchnicą.
- Preparaty z żelazem i leczenie fluorkiem diaminosrebra (SDF) mogą powodować trwałe przebarwienia.
- Kluczowa jest codzienna higiena zębów pastą z fluorem i regularne wizyty u dentysty od najmłodszych lat.

Czarne zęby u dziecka: co to naprawdę oznacza i kiedy trzeba działać od razu
Kiedy zauważamy ciemne plamy na zębach naszych dzieci, naturalnie pojawia się w nas obawa. "Czarne zęby" u dzieci to jednak nie jedna diagnoza, a wiele możliwych przyczyn, które mogą prowadzić do takiego wyglądu. Nie zawsze musi to być próchnica, choć jest to jedna z najczęstszych i najbardziej niebezpiecznych opcji. Inne możliwości to zewnętrzne czarne osady, ślady po preparatach z żelazem, konsekwencje urazu zęba, a nawet efekt specjalistycznego leczenia, takiego jak zastosowanie fluorku diaminosrebra (SDF). Każda taka zmiana, niezależnie od jej wstępnego wyglądu, wymaga oceny specjalisty, aby prawidłowo zdiagnozować problem i wdrożyć odpowiednie postępowanie.
Najczęstsze przyczyny czarnych zębów u dzieci
Zrozumienie, co może stać za ciemnymi przebarwieniami na zębach dziecka, jest pierwszym krokiem do podjęcia właściwych działań. Przyczyn może być wiele, a każda z nich wymaga innego podejścia. Poniżej przedstawiam najczęściej spotykane powody, dla których zęby dziecka mogą zmieniać kolor na ciemniejszy.
Próchnica jako najważniejsza i najczęstsza przyczyna ciemnych zmian
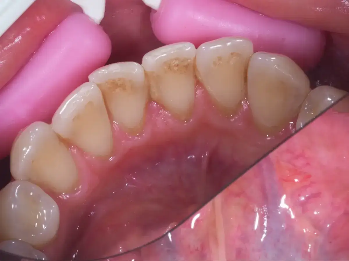
Próchnica jest niestety najczęstszą przyczyną ciemnych zmian na zębach u dzieci. Może ona objawiać się w różny sposób – od białych plam, które są wczesnym stadium demineralizacji szkliwa, przez brązowe, aż po czarne, widoczne ubytki. Jeśli zmiana wygląda jak dziurka, towarzyszy jej ból podczas jedzenia, picia, a zwłaszcza nadwrażliwość na zimno czy ciepło, to sygnały alarmowe. W takiej sytuacji konieczny jest szybki kontakt z dentystą, ponieważ próchnica postępuje szybko, zwłaszcza w zębach mlecznych, i może prowadzić do poważnych konsekwencji, takich jak infekcje i przedwczesna utrata zębów.Zewnętrzny czarny osad i przebarwienia przy linii dziąseł
Często spotykanym problemem, szczególnie u dzieci, jest tzw. "black stain", czyli zewnętrzny czarny osad. Charakteryzuje się on ciemnymi kropkami lub liniami, które pojawiają się wzdłuż linii dziąseł, często na zębach mlecznych. Co ciekawe, ten rodzaj osadu jest trudny do usunięcia domowymi sposobami i ma tendencję do nawracania. Chociaż w badaniach bywa opisywany jako zmiana estetyczna i nie zawsze jest bezpośrednio związany z próchnicą, to jednak zawsze wymaga różnicowania z nią. Obecność black stain może wskazywać na specyficzny skład mikroflory jamy ustnej dziecka, a jego usunięcie wymaga profesjonalnego czyszczenia w gabinecie stomatologicznym.
Preparaty z żelazem, niektóre leki i barwiąca dieta
Przebarwienia na zębach mogą być również związane z przyjmowaniem niektórych substancji. Preparaty z żelazem, szczególnie te podawane w formie syropów niemowlętom, są częstą przyczyną ciemnych plam. Żelazo, reagując ze składnikami śliny, może osadzać się na powierzchni zębów, tworząc ciemne zabarwienie. Podobnie, niektóre inne leki oraz dieta bogata w barwiące produkty (np. jagody, ciemne soki, herbata) mogą przyczyniać się do powstawania przebarwień. W tych przypadkach ciemne zabarwienie nie zawsze oznacza próchnicę, ale może być sygnałem do dokładniejszej higieny lub konsultacji z lekarzem w sprawie formy podawania leków.
Uraz zęba i ciemnienie po uszkodzeniu miazgi
Dzieci są aktywne, a urazy zębów, zwłaszcza siekaczy, są niestety powszechne. Czarne przebarwienie zęba po urazie jest zawsze sygnałem alarmowym. Może ono oznaczać krwawienie w zębie, uszkodzenie naczyń krwionośnych lub nawet obumarcie miazgi, czyli żywej tkanki wewnątrz zęba. Ciemniejący ząb po wypadku, nawet jeśli początkowo nie widać żadnych innych objawów, zawsze wymaga oceny stomatologicznej. Szybka interwencja może zapobiec dalszym komplikacjom i pomóc w uratowaniu zęba.
Zmiany rozwojowe szkliwa, fluoroza i rzadsze przyczyny ogólne
Rzadziej, ale jednak, czarne zęby mogą być wynikiem zmian rozwojowych szkliwa. Mogą to być wady wrodzone, które objawiają się nieprawidłową strukturą i kolorem szkliwa, czyniąc je bardziej podatnym na przebarwienia lub próchnicę. Innym przykładem jest fluoroza, czyli zaburzenie rozwojowe szkliwa spowodowane nadmiernym spożyciem fluoru w okresie jego tworzenia się. Fluoroza może objawiać się białymi plamami, ale w cięższych przypadkach również brązowymi lub czarnymi przebarwieniami. Istnieją również bardzo rzadkie przyczyny ogólnoustrojowe, takie jak niektóre choroby genetyczne, które mogą wpływać na kolor zębów.
Jak odróżnić osad od próchnicy, gdy ząb robi się czarny
Rozróżnienie między osadem a próchnicą jest kluczowe dla podjęcia właściwych działań. Chociaż oba problemy mogą prowadzić do ciemnych przebarwień, ich charakter i konsekwencje są zupełnie inne. Poniższa tabela przedstawia główne różnice, które pomogą wstępnie ocenić sytuację, zanim skonsultujesz się ze stomatologiem.
| Cecha | Osad (Black Stain) | Próchnica |
|---|---|---|
| Wygląd | Ciemne kropki, linie, często czarne lub brązowe | Białe, brązowe, czarne plamy; może być widoczny ubytek/dziurka |
| Lokalizacja | Zwykle przy linii dziąseł, na powierzchni szkliwa | Może pojawić się w dowolnym miejscu, często w bruzdach i na powierzchniach stycznych |
| Czy da się zetrzeć | Nie da się zetrzeć szczoteczką, wymaga profesjonalnego czyszczenia | Nie da się zetrzeć, jest to uszkodzenie struktury zęba |
| Twardość/Miękkość | Zwykle twardy, gładki osad | Zmieniona tkanka zęba może być miękka (w zaawansowanej próchnicy) |
| Ból/Nadwrażliwość | Zazwyczaj brak bólu i nadwrażliwości | Często ból przy jedzeniu/piciu, nadwrażliwość na zimno/ciepło, ból samoistny w zaawansowanych stadiach |
| Dziurka/Ubytek | Brak ubytku w strukturze zęba | Często obecny ubytek, dziurka |
| Zapach z ust | Zazwyczaj brak nieprzyjemnego zapachu | Może towarzyszyć nieprzyjemny zapach z ust |
Jak wyglądają przebarwienia powierzchowne
Przebarwienia powierzchowne, takie jak wspomniany wcześniej black stain, mają swoje charakterystyczne cechy. Zazwyczaj pojawiają się jako ciemne kropki, cienkie linie lub paski, najczęściej zlokalizowane wzdłuż linii dziąseł, na zewnętrznych i wewnętrznych powierzchniach zębów. Są twarde i gładkie w dotyku. Co ważne, nie da się ich usunąć zwykłym szczotkowaniem w domu. Nie tworzą one ubytku w strukturze zęba, co oznacza, że szkliwo pod nimi jest zazwyczaj zdrowe. Mimo że są to głównie problemy estetyczne, ich obecność zawsze powinna skłonić do wizyty u dentysty, aby wykluczyć inne, poważniejsze przyczyny.
Jak wyglądają ubytki próchnicowe i uszkodzone szkliwo
Ubytki próchnicowe wyglądają zupełnie inaczej. Mogą przybierać różne odcienie – od początkowych białych, matowych plam, przez brązowe, aż po głębokie, czarne dziurki. Próchnica to proces demineralizacji i zniszczenia struktury zęba. Zmieniona tkanka zęba może być miękka w dotyku (w zaawansowanej próchnicy), a często towarzyszy jej ból, nadwrażliwość na bodźce (zimno, ciepło, słodkie) lub widoczny ubytek, czyli dziurka. W przeciwieństwie do osadów, próchnicy nie da się zetrzeć, a jej postępujące zniszczenie zęba wymaga interwencji stomatologicznej.
Objawy alarmowe, których nie wolno ignorować
Niektóre objawy towarzyszące ciemnym przebarwieniom na zębach dziecka są sygnałem, że wizyta u dentysty jest nie tylko wskazana, ale wręcz pilna. Ignorowanie ich może prowadzić do poważnych komplikacji zdrowotnych.
- Ból zęba: Jeśli dziecko skarży się na ból, zwłaszcza podczas jedzenia, picia lub bez wyraźnej przyczyny, jest to bardzo poważny sygnał.
- Nadwrażliwość: Reakcja na zimne, ciepłe lub słodkie pokarmy i napoje, która utrzymuje się dłużej niż chwilę, może wskazywać na zaawansowaną próchnicę.
- Obrzęk dziąsła: Opuchlizna wokół zęba, zaczerwienienie lub pojawienie się przetoki (ropnego pęcherzyka) to objawy infekcji, które wymagają natychmiastowej interwencji.
- Nieprzyjemny zapach z ust: Utrzymujący się, nieprzyjemny zapach, który nie znika po szczotkowaniu, może świadczyć o obecności próchnicy lub infekcji.
- Gorączka: W połączeniu z bólem zęba lub obrzękiem, gorączka jest sygnałem rozprzestrzeniającej się infekcji.
- Trudności w jedzeniu: Jeśli dziecko unika gryzienia po jednej stronie, odmawia jedzenia lub jest rozdrażnione podczas posiłków, może to być spowodowane bólem zęba.
Ból, nadwrażliwość, obrzęk i nieprzyjemny zapach z ust
Ból zęba u dziecka, nadwrażliwość na zimno, ciepło czy słodkie, obrzęk dziąsła wokół zmienionego zęba lub nieprzyjemny zapach z ust to sygnały świadczące o poważnym problemie. Mogą one wskazywać na zaawansowaną próchnicę, która dotarła do miazgi zęba, wywołując stan zapalny, a nawet infekcję. W takich przypadkach nie ma miejsca na zwłokę – szybka konsultacja stomatologiczna jest niezbędna, aby zapobiec rozprzestrzenianiu się infekcji i uchronić dziecko przed większym cierpieniem.
Czarny ząb po urazie albo nagłe ciemnienie jednego zęba
Jeśli zauważysz, że ząb dziecka nagle ściemniał po urazie, nawet pozornie niegroźnym, lub bez wyraźnej przyczyny, jest to objaw, który wymaga natychmiastowej oceny stomatologicznej. Jak już wspomniałem, ciemnienie zęba po wypadku może wskazywać na uszkodzenie miazgi lub jej obumarcie. Nieleczone martwe zęby mogą stać się źródłem infekcji, prowadząc do powikłań, które mogą wpływać na rozwój zębów stałych. Szybka diagnoza pozwala na wdrożenie odpowiedniego leczenia i, w wielu przypadkach, uratowanie zęba.
Plamy, które powiększają się lub zamieniają w ubytek
Wszelkie ciemne plamy na zębach, które z czasem powiększają się, zmieniają kształt lub tworzą widoczny ubytek (dziurkę), są objawem aktywnej próchnicy. To nie jest już tylko kwestia estetyki. Postępująca próchnica prowadzi do nieodwracalnego zniszczenia tkanki zęba, a w konsekwencji do bólu, infekcji i konieczności leczenia, które może być bardziej skomplikowane i kosztowne, im dłużej zwlekamy. Interwencja stomatologiczna jest tu niezbędna.
Kiedy do dentysty z czarnym zębem u dziecka
Zawsze, gdy pojawiają się czarne lub ciemne przebarwienia na zębach dziecka, niezależnie od tego, czy towarzyszą im inne objawy, wizyta u dentysty jest wskazana. Przy podejrzeniu próchnicy, po urazie zęba, w przypadku bólu lub nagłego przebarwienia, wizyta ta powinna być szybka, wręcz pilna. U niemowląt i małych dzieci nie warto czekać z konsultacją, ponieważ próchnica w tej grupie wiekowej postępuje bardzo szybko. Wskazówka praktyczna: zdrowe zęby powinny mieć jednolity kolor; jeśli pojawiają się brązowe lub czarne plamy u niemowlęcia, warto umówić dziecko do dentysty. Im wcześniej problem zostanie zdiagnozowany, tym prostsze i mniej inwazyjne będzie leczenie.
Jak stomatolog dziecięcy diagnozuje problem
Diagnostyka czarnych zębów u dzieci jest procesem wieloetapowym, który pozwala stomatologowi na precyzyjne określenie przyczyny problemu i zaplanowanie odpowiedniego leczenia. Moje doświadczenie pokazuje, że dokładny wywiad i badanie są kluczowe.Wywiad o diecie, lekach, urazach i higienie
Pierwszym i bardzo ważnym krokiem jest zebranie szczegółowego wywiadu z rodzicami. Pytam o dietę dziecka, zwłaszcza o częstotliwość spożywania cukrów i słodzonych napojów, a także o ewentualne nocne karmienie butelką. Ważne są informacje o przyjmowanych lekach, zwłaszcza tych z żelazem, oraz o przebytych urazach zębów. Oceniam również nawyki higieniczne – jak często i czym dziecko szczotkuje zęby. Te informacje pomagają mi w ustaleniu potencjalnych przyczyn przebarwień i ogólnej kondycji jamy ustnej.
Badanie jamy ustnej i ocena, czy zmiana jest powierzchowna czy próchnicowa
Kolejnym etapem jest dokładne badanie fizykalne jamy ustnej dziecka. Podczas tego badania stomatolog ocenia charakter zmiany – czy jest to osad, który można usunąć, czy faktyczny ubytek próchnicowy. Sprawdzam twardość i integralność szkliwa, szukam oznak demineralizacji, a także oceniam stan dziąseł. Często już na tym etapie jestem w stanie odróżnić powierzchowne przebarwienia od próchnicy, co pozwala na wstępne określenie dalszego postępowania.
Zdjęcie RTG lub inne badania, gdy trzeba ocenić korzeń i miazgę
W niektórych przypadkach, zwłaszcza gdy podejrzewam głęboką próchnicę, uszkodzenie miazgi po urazie lub inne problemy niewidoczne gołym okiem, konieczne może być wykonanie zdjęcia rentgenowskiego (RTG). Zdjęcie RTG pozwala na ocenę stanu korzenia zęba, kości otaczającej ząb oraz miazgi (tkanki wewnątrz zęba). Jest to szczególnie ważne po urazach, aby wykluczyć złamania korzenia lub inne uszkodzenia, które mogą nie być widoczne podczas badania klinicznego. W rzadkich sytuacjach mogą być potrzebne inne badania dodatkowe, aby uzyskać pełny obraz sytuacji.
Jak zapobiegać czarnym zębom u dzieci
Profilaktyka jest zawsze lepsza niż leczenie. W przypadku czarnych zębów u dzieci, skupienie się na kilku kluczowych aspektach może znacząco zmniejszyć ryzyko wystąpienia problemów.
Szczotkowanie od pierwszego zęba pastą z fluorem
To absolutna podstawa! Szczotkowanie zębów pastą z fluorem dwa razy dziennie powinno rozpocząć się od pojawienia się pierwszego zęba w jamie ustnej dziecka. Fluor wzmacnia szkliwo, czyniąc je bardziej odpornym na działanie kwasów i bakterii. Według danych NIDCR (National Institute of Dental and Craniofacial Research), regularne szczotkowanie zębów pastą z fluorem jest kluczowe dla zapobiegania próchnicy. Pamiętajmy o odpowiedniej ilości pasty – śladowa ilość dla najmłodszych, wielkości ziarnka grochu dla starszych dzieci.Ograniczenie cukru, słodzonych napojów i butelki na noc
Dieta ma ogromny wpływ na zdrowie zębów. Ograniczenie spożycia cukru, słodzonych napojów, soków i słodyczy to podstawowa zasada profilaktyki próchnicy. Szczególnie niebezpieczne jest podawanie butelki z mlekiem, sokiem czy słodkim napojem na noc, ponieważ cukier pozostaje na zębach przez wiele godzin, sprzyjając rozwojowi próchnicy butelkowej. Po wieczornym szczotkowaniu dziecko powinno pić tylko wodę.
Regularne kontrole stomatologiczne od 1. roku życia
Wczesna pierwsza wizyta u dentysty, najlepiej do 1. roku życia, jest niezwykle ważna. Pozwala ona na ocenę stanu jamy ustnej, udzielenie rodzicom wskazówek dotyczących higieny i diety, a także wczesne wykrycie ewentualnych problemów. Regularne kontrole stomatologiczne, co 6 miesięcy, pozwalają na monitorowanie zdrowia zębów i szybką interwencję w przypadku pojawienia się jakichkolwiek zmian.
Kontrola suplementacji żelaza i konsultacja, jeśli pojawia się przebarwienie po syropie
Jeśli dziecko przyjmuje preparaty z żelazem, warto skonsultować z lekarzem lub dentystą, czy forma preparatu może być zmieniona na mniej barwiącą (np. tabletki zamiast syropu, jeśli dziecko jest w odpowiednim wieku). Jeśli po podawaniu syropów z żelazem pojawiają się przebarwienia na zębach, zawsze warto skonsultować to z lekarzem lub dentystą. Czasem proste zmiany w sposobie podawania (np. przez słomkę) mogą zminimalizować problem.
Czarne zęby u niemowlaka, przedszkolaka i starszego dziecka: co się różni
Problem czarnych zębów może pojawić się w różnym wieku, a jego przyczyny i podejście do leczenia mogą się różnić w zależności od etapu rozwoju dziecka. Moja praktyka pokazuje, że świadomość tych różnic jest bardzo pomocna dla rodziców.
Niemowlę: większe znaczenie mają leki, karmienie nocne i wczesna próchnica
U niemowląt czarne przebarwienia często są związane z preparatami żelaza, które są podawane w celu suplementacji. Inną częstą przyczyną jest tzw. próchnica butelkowa, wynikająca z nocnego karmienia mlekiem modyfikowanym, sokami lub innymi słodzonymi napojami. Wczesna próchnica u niemowląt jest szczególnie groźna, ponieważ szybko postępuje i może prowadzić do poważnego zniszczenia zębów mlecznych, a nawet do infekcji. W tej grupie wiekowej kluczowa jest szybka reakcja i konsultacja ze stomatologiem.
Przedszkolak: częstsze są osady, próchnica i przebarwienia po higienie lub diecie
U przedszkolaków, oprócz próchnicy, bardzo często pojawiają się czarne osady (black stain), które, jak już wspominałem, są problemem estetycznym, ale wymagają profesjonalnego usunięcia. Próchnica w tej grupie wiekowej często jest związana z niedostateczną higieną (dzieci uczą się samodzielnego szczotkowania) oraz dietą bogatą w słodycze i słodkie napoje. Przedszkolaki są również bardziej narażone na przebarwienia od barwiących pokarmów, takich jak jagody czy ciemne soki. Edukacja higieniczna i kontrola diety są tu priorytetem.
Starsze dziecko: ważne są urazy, leczenie SDF i higiena ortodontyczna, jeśli dotyczy
U starszych dzieci, zwłaszcza tych w wieku szkolnym, istotne stają się urazy zębów, szczególnie stałych siekaczy, które mogą prowadzić do ciemnienia. W tej grupie wiekowej możemy również spotkać się z przebarwieniami po leczeniu SDF, które, choć estetycznie kłopotliwe, świadczą o zahamowaniu próchnicy. Dodatkowo, jeśli dziecko nosi aparat ortodontyczny, utrzymanie prawidłowej higieny może być wyzwaniem, co zwiększa ryzyko powstawania osadów i próchnicy wokół zamków i drutów. W takich przypadkach konieczne jest wzmożone dbanie o higienę i regularne wizyty u ortodonty oraz stomatologa.
Najczęstsze pytania rodziców o czarne zęby u dzieci
W mojej praktyce często spotykam się z podobnymi pytaniami od zaniepokojonych rodziców. Oto odpowiedzi na te, które pojawiają się najczęściej.
Czy czarne plamy zawsze oznaczają próchnicę?
Nie, nie zawsze. Jak już wielokrotnie podkreślałem, czarne plamy mogą być również osadem (black stain), przebarwieniami po preparatach z żelazem, a także efektem leczenia fluorkiem diaminosrebra (SDF). Jednakże, każda taka zmiana, niezależnie od jej wstępnego wyglądu, zawsze wymaga oceny stomatologicznej, aby wykluczyć próchnicę lub inne poważne problemy.
Czy czarne przebarwienie samo zniknie?
Czarne przebarwienia zazwyczaj nie znikają same. Osady (black stain) wymagają profesjonalnego usunięcia w gabinecie stomatologicznym. Próchnica natomiast jest procesem postępującym i wymaga leczenia – sama nie ustąpi, a wręcz przeciwnie, będzie się pogłębiać, prowadząc do większych zniszczeń i bólu. W przypadku przebarwień po żelazie, mogą one z czasem nieco blednąć po zaprzestaniu suplementacji, ale często pozostają i również mogą wymagać interwencji.
Czy czarny ząb po urazie trzeba usuwać?
Nie zawsze. Czarny ząb po urazie nie musi być od razu usuwany. Często wymaga on obserwacji i ewentualnego leczenia, takiego jak leczenie kanałowe, aby uratować jego strukturę i funkcję. Kluczowa jest jednak szybka konsultacja z dentystą po urazie, aby ocenić stan zęba i miazgi oraz podjąć odpowiednie kroki. Wczesna interwencja może zapobiec konieczności ekstrakcji.
Przeczytaj również: Dziecko ząbkuje w nocy? Szybka ulga i spokojny sen
Czy preparaty z żelazem zawsze barwią zęby?
Preparaty z żelazem często powodują przebarwienia, zwłaszcza te podawane w formie syropów. Nie zawsze jednak tak się dzieje, a intensywność barwienia może zależeć od formy preparatu, indywidualnych predyspozycji dziecka, a także od poziomu higieny jamy ustnej. Regularne i dokładne szczotkowanie może pomóc zminimalizować osadzanie się przebarwień. Zawsze warto skonsultować się z lekarzem lub dentystą, jeśli zauważysz takie zmiany, aby omówić możliwe rozwiązania lub alternatywne formy suplementacji.
