Torbiel w okolicy zęba może długo nie dawać żadnych objawów, a mimo to powoli niszczyć kość i osłabiać okoliczne tkanki. Dlatego temat warto potraktować serio: tu liczy się nie tylko rozpoznanie, ale też szybkie ustalenie, czy zmiana wymaga leczenia kanałowego, zabiegu chirurgicznego, czy jeszcze innego postępowania. Poniżej znajdziesz konkretne wyjaśnienie, jak ją rozpoznać, kiedy boli najbardziej i co naprawdę działa w leczeniu.
Najważniejsze fakty o zmianie przy zębie, które warto znać od razu
- Torbiel zęba często rozwija się bez bólu i bywa wykrywana przypadkowo na RTG.
- Najczęściej ma związek z martwą miazgą, przewlekłym stanem zapalnym albo zębem zatrzymanym.
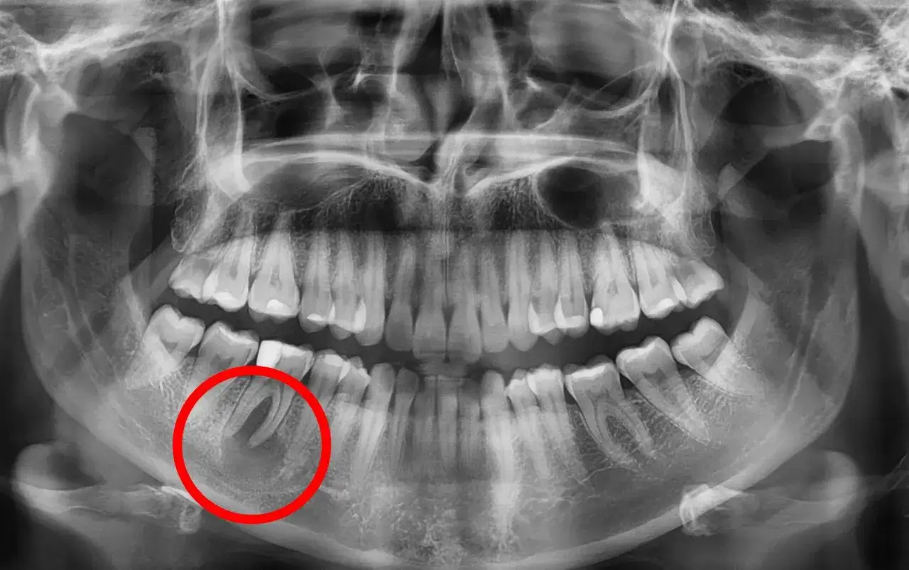
- RTG jest zwykle pierwszym krokiem, a w trudniejszych przypadkach lekarz zleca CBCT, czyli tomografię stożkową.
- Domowe sposoby nie usuwają torbieli; mogą co najwyżej chwilowo zmniejszyć dyskomfort.
- Leczenie zależy od wielkości i położenia zmiany: od leczenia kanałowego po wyłuszczenie chirurgiczne.
- Gorączka, narastający obrzęk, trudność w otwieraniu ust lub połykaniu to sygnał, że trzeba działać pilnie.
Co to właściwie jest torbiel zęba
Torbiel w obrębie zębów i kości szczęk to zamknięta przestrzeń wypełniona płynem lub treścią półpłynną, otoczona cienką błoną. W praktyce oznacza to, że nie jest to zwykły obrzęk ani „pryszcz na dziąśle”, tylko zmiana, która ma własną ścianę i potrafi rosnąć przez długi czas. Najczęściej tworzy się wokół wierzchołka korzenia zęba albo przy zębie zatrzymanym.
Właśnie dlatego torbiel bywa podstępna. Kość może przez pewien czas „ustępować miejsca” rozwijającej się zmianie, więc człowiek nie czuje niczego niepokojącego. Dopiero gdy dochodzi do nadkażenia, większego ucisku albo uszkodzenia sąsiednich tkanek, pojawia się ból, obrzęk lub przetoka ropna.
To nie jest zmiana, którą warto obserwować bez planu. Nawet jeśli nie boli, wymaga oceny stomatologa, bo jej zachowanie zależy od typu, wielkości i tego, czy ząb da się jeszcze uratować.
Jak dentysta potwierdza zmianę i odróżnia ją od ropnia
W gabinecie nie wystarczy samo obejrzenie dziąsła. Lekarz zwykle zaczyna od wywiadu, badania jamy ustnej i testów zęba, a potem kieruje na obrazowanie. Najczęściej podstawą jest zdjęcie RTG, zwłaszcza pantomogram, bo pozwala zobaczyć związek zmiany z korzeniem, kością i sąsiednimi zębami. Gdy trzeba dokładniej ocenić zasięg, przydaje się CBCT, czyli tomografia stożkowa.
| Cecha | Torbiel zęba | Ropień |
|---|---|---|
| Tempo rozwoju | Zwykle wolne, skryte | Najczęściej szybkie |
| Ból | Brak albo niewielki na początku | Zwykle silny, pulsujący |
| Objawy na zewnątrz | Często brak widocznych zmian przez długi czas | Obrzęk, zaczerwienienie, tkliwość |
| Obraz w badaniu | Częściej widoczna na RTG lub CBCT | Może być bardziej „miękka” klinicznie, z wyraźnym stanem zapalnym |
| Postępowanie | Leczenie przyczyny, czasem chirurgia | Leczenie źródła zakażenia, czasem drenaż i antybiotyk jako dodatek |
Ważne jest też to, że ostateczne rozpoznanie często potwierdza się dopiero po usunięciu zmiany, kiedy tkanka trafia do badania histopatologicznego. To standard, a nie nadmiar ostrożności. Dzięki temu lekarz wie, z jakim typem zmiany ma do czynienia i czy potrzebna jest dalsza kontrola.
Praktyczna różnica jest prosta: ropień zwykle daje bardziej gwałtowne objawy, a torbiel częściej rozwija się po cichu. Obie sytuacje mogą boleć, ale nie zachowują się tak samo i nie leczy się ich identycznie.

Skąd się bierze i które sytuacje najczęściej ją uruchamiają
Najczęstszym punktem wyjścia jest ząb z martwą miazgą, czyli taki, w którym doszło do głębokiego uszkodzenia tkanek wewnętrznych. Może do tego prowadzić zaawansowana próchnica, pęknięcie zęba, uraz albo niepowodzenie leczenia kanałowego. Zdarza się też, że torbiel rozwija się po pozostawionym w kanale fragmencie narzędzia lub po przewlekłym stanie zapalnym utrzymującym się latami.
Nie każda zmiana ma jednak taki sam mechanizm. Część torbieli ma charakter rozwojowy i wiąże się z zębem zatrzymanym albo niewyrzniętym. To ważne, bo rodzaj zmiany wpływa na sposób leczenia i na to, czy ząb można zachować.
- Martwa miazga i przewlekłe zapalenie - najczęstsza droga do torbieli przy wierzchołku korzenia.
- Nieudane leczenie kanałowe - infekcja nie została całkowicie opanowana, więc stan zapalny trwa.
- Uraz zęba - nawet jeśli początkowo wydaje się błahy, może uruchomić problem po czasie.
- Ząb zatrzymany - bywa związany z torbielą zawiązkową, zwłaszcza w obrębie zębów mądrości i kłów.
- Brak kontroli przez dłuższy czas - zmiana rośnie powoli, więc bez RTG łatwo ją przeoczyć.
Warto też uczciwie powiedzieć jedno: dobra higiena pomaga ograniczać ryzyko, ale nie daje pełnej ochrony. Niektóre torbiele rozwijają się mimo prawidłowego mycia zębów, bo problem zaczyna się głębiej, w miazdze albo w kości.
Jakie objawy powinny skłonić do szybkiej wizyty
Wczesna torbiel często nie daje prawie nic. Kłopot zaczyna się wtedy, gdy zmiana rośnie albo dołącza się infekcja. Najbardziej typowe sygnały to ból przy nagryzaniu, uczucie rozpierania, miejscowy obrzęk dziąsła oraz przetoka, czyli kanalikiem uchodząca ropa. Czasem pojawia się też przesunięcie zęba, jego rozchwianie albo asymetria twarzy.
| Objaw | Co może oznaczać | Jak zareagować |
|---|---|---|
| Ból przy nagryzaniu | Stan zapalny w okolicy wierzchołka korzenia | Umówić wizytę w najbliższym czasie |
| Obrzęk dziąsła lub policzka | Zmiana może się nadkazić | Nie zwlekać z konsultacją |
| Ropny smak w ustach, przetoka | Aktywne zakażenie | Potrzebna ocena stomatologiczna |
| Rozchwianie zęba | Ubytek kości i wpływ zmiany na otoczenie | Wymaga pilniejszej diagnostyki |
| Gorączka, trudność w połykaniu, otwieraniu ust | Możliwy szerzący się stan zapalny | To już sygnał pilny |
Jeśli pojawia się tylko dyskomfort, a nie ma wyraźnego obrzęku, nadal nie warto czekać „aż samo przejdzie”. Zmiany w kości nie cofają się samoczynnie, a każdy miesiąc zwłoki może utrudnić leczenie.
Jak wygląda leczenie i od czego zależy wybór metody
Leczenie zależy przede wszystkim od tego, czy ząb da się uratować, jak duża jest zmiana i gdzie dokładnie leży. W małych, dobrze ograniczonych zmianach przyczyną bywa ząb z martwą miazgą, więc pierwszym krokiem może być leczenie kanałowe albo powtórne leczenie kanałowe. Jeżeli to nie wystarcza, stomatolog rozważa zabieg chirurgiczny, na przykład resekcję wierzchołka korzenia z usunięciem zmiany zapalnej.
Przy większych torbielach często potrzebne jest wyłuszczenie całej zmiany. Gdy torbiel jest rozległa albo leży blisko nerwu, zatoki szczękowej czy innych ważnych struktur, lekarz może zacząć od odbarczenia, czyli marsupializacji lub dekompresji, aby zmniejszyć jej rozmiar przed pełnym usunięciem. To bardziej zachowawcze podejście bywa rozsądne, bo ogranicza ryzyko uszkodzeń.
Przeczytaj również: Ból szczęki - czy to nerwy? Diagnoza, leczenie, alarmy
Najczęstsze metody leczenia
| Metoda | Kiedy ma sens | Co warto wiedzieć |
|---|---|---|
| Leczenie kanałowe | Gdy torbiel wiąże się z martwą miazgą, a ząb da się uratować | Usuwa źródło zapalenia, ale wymaga kontroli radiologicznej |
| Reendo i resekcja wierzchołka | Gdy standardowe leczenie nie wystarcza lub kanał jest trudny do opracowania | Łączy leczenie endodontyczne z chirurgią |
| Wyłuszczenie torbieli | Gdy zmiana jest dobrze odgraniczona i można ją usunąć w całości | Usunięta tkanka trafia do badania histopatologicznego |
| Ekstrakcja zęba | Gdy ząb jest zbyt zniszczony, by go ratować | Czasem to najbezpieczniejsze rozwiązanie, zwłaszcza przy dużym zniszczeniu korzenia |
| Marsupializacja lub dekompresja | Przy dużych zmianach lub bliskości ważnych struktur | Pozwala zmniejszyć torbiel przed dalszym leczeniem |
Antybiotyk sam w sobie nie usuwa torbieli. Może być potrzebny, jeśli dojdzie do zakażenia, ale nie zastąpi leczenia przyczyny ani zabiegu. To ważna rzecz, bo wiele osób liczy, że po kilku tabletkach problem zniknie. Zwykle tak się nie dzieje.
Po zabiegu pacjent zwykle dostaje zalecenia dotyczące higieny, chłodzenia, leków przeciwbólowych i kontroli. W zależności od skali problemu gojenie może potrwać dłużej, zwłaszcza jeśli wcześniej ubytek kości był duży. Przy niektórych typach zmian potrzebna jest też dłuższa obserwacja, bo mają większą skłonność do nawrotów.
Czego nie robić i jak zmniejszyć ryzyko nawrotu
Najgorszy scenariusz to traktowanie problemu jak chwilowego stanu zapalnego. Płukanki, zimne okłady czy leki przeciwbólowe mogą dać ulgę na krótko, ale nie zmieniają tego, co dzieje się w kości. Tak samo nie warto rozgrzewać bolesnego miejsca, bo przy infekcji może to nasilić dolegliwości.
Po leczeniu naprawdę liczą się trzy rzeczy: regularna kontrola, dobra higiena i szybka reakcja na nowe objawy. Jeśli ząb był leczony kanałowo, trzeba go kontrolować radiologicznie zgodnie z zaleceniami lekarza. Jeśli usunięto torbiel, warto dopilnować wizyt kontrolnych, bo to najlepszy sposób, by zauważyć ewentualny problem zanim urośnie ponownie.
- Nie odkładaj wizyty, jeśli obrzęk wraca albo ból się nasila.
- Nie próbuj „przebić” zmiany samodzielnie.
- Nie licz na to, że antybiotyk rozwiąże sprawę bez leczenia przyczyny.
- Po leczeniu trzymaj się terminów kontroli, nawet jeśli objawy zniknęły.
- Dbaj o regularne przeglądy i zdjęcia RTG, zwłaszcza po leczeniu kanałowym lub urazie zęba.
Jeśli torbiel pojawia się przy zębie zatrzymanym albo w miejscu po dawnym urazie, plan leczenia bywa bardziej złożony. To normalne. W stomatologii rzadko wygrywa szybki skrót, a częściej dobrze zaplanowany zabieg i konsekwentna kontrola po nim.
