Ciemny osad na zębach: co musisz wiedzieć
- Ciemny osad to zewnętrzne przebarwienie, często wywołane przez bakterie lub barwniki z pożywienia.
- Może pojawić się nawet przy dobrej higienie i często dotyka dzieci.
- Nie zawsze jest groźny, ale wymaga oceny stomatologicznej, by wykluczyć próchnicę czy kamień.
- Najskuteczniejsze usuwanie odbywa się w gabinecie dentystycznym poprzez skaling, piaskowanie i polerowanie.
- Kluczowa jest codzienna higiena, ograniczenie barwiących produktów i regularne wizyty u dentysty.
Zauważenie ciemnego nalotu na zębach może budzić niepokój, ale nie zawsze oznacza poważną chorobę. Ważne jest jednak, aby każdą taką zmianę ocenić, ponieważ może ona wskazywać na różne problemy – od estetycznych przebarwień po sygnały wymagające interwencji stomatologicznej. Zrozumienie, czym jest ciemny osad, skąd się bierze i jak sobie z nim radzić, to pierwszy krok do zachowania zdrowego i pięknego uśmiechu.

Czym jest ciemny osad na zębach i jak go rozpoznać
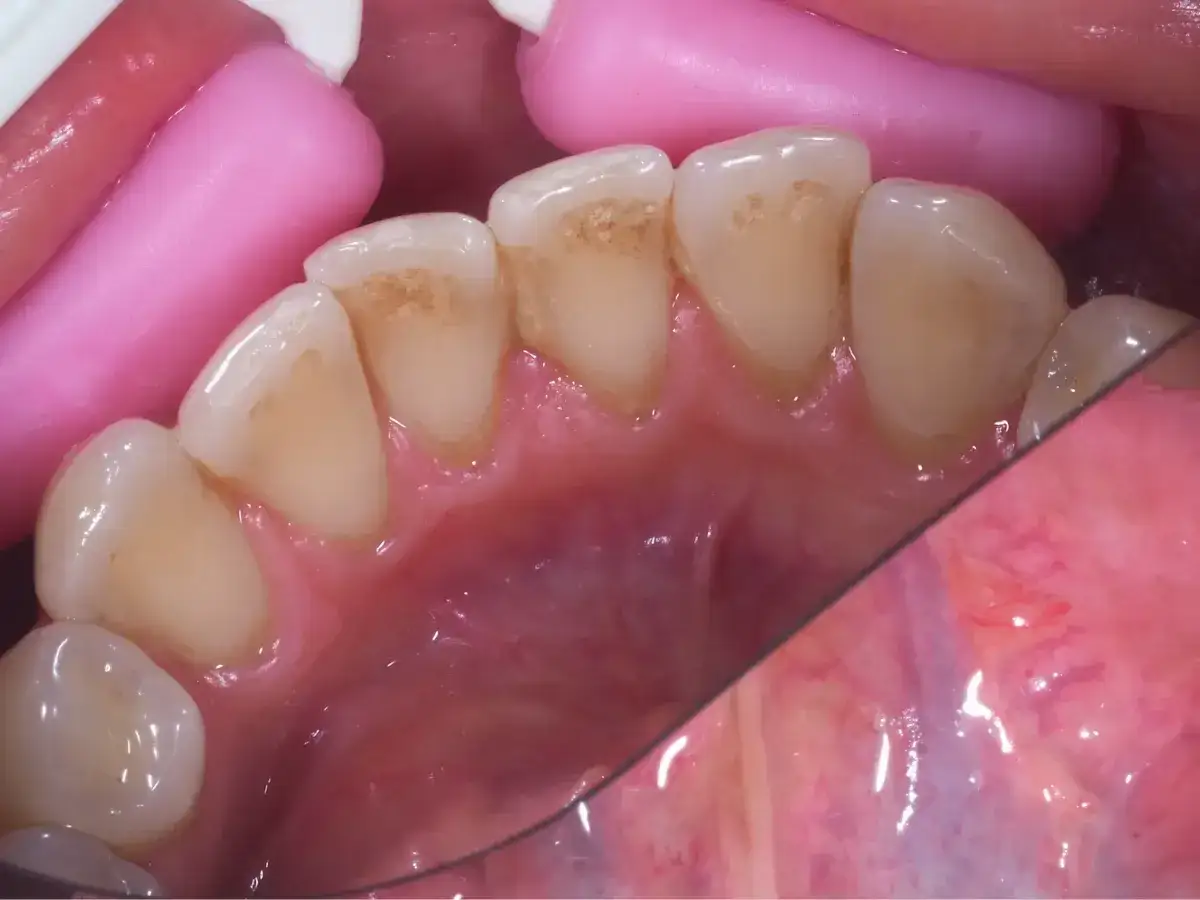
Ciemny osad na zębach to nic innego jak zewnętrzne przebarwienie, które odkłada się na powierzchni szkliwa. Zazwyczaj przyjmuje postać czarnych lub ciemnobrązowych kropek, cienkich linii wzdłuż brzegu dziąseł, a czasem nawet jednolitego nalotu. Najczęściej pojawia się właśnie przy linii dziąseł oraz w trudno dostępnych miejscach, takich jak bruzdy i zagłębienia na powierzchniach żujących zębów, gdzie płytka bakteryjna ma idealne warunki do gromadzenia się.Kluczowe jest odróżnienie ciemnego osadu od innych problemów jamy ustnej, które na pierwszy rzut oka mogą wyglądać podobnie. Poniżej przedstawiam główne różnice:
| Cecha | Ciemny osad | Kamień nazębny | Próchnica |
|---|---|---|---|
| Charakter | Zewnętrzne przebarwienie, miękki nalot lub twardsze, ale kruche złogi. | Twardy, zmineralizowany nalot, trudny do usunięcia domowymi metodami. | Ubytki w szkliwie i zębinie, postępujące zniszczenie tkanki zęba. |
| Kolor | Czarne, ciemnobrązowe, szare kropki, linie lub nalot. | Żółty, brązowy, szary lub czarny (szczególnie poddziąsłowy). | Czarne, brązowe plamy, białe plamy (początkowe stadium). |
| Lokalizacja | Głównie przy linii dziąseł, w bruzdach, na powierzchniach językowych/podniebiennych. | Głównie przy linii dziąseł, między zębami, w okolicy ujść gruczołów ślinowych (np. dolne siekacze, górne trzonowce). | W bruzdach, na powierzchniach stycznych, przy linii dziąseł, na szyjkach zębowych. |
| Objawy | Zazwyczaj brak bólu, głównie problem estetyczny. | Może prowadzić do zapalenia dziąseł (krwawienie, obrzęk), nadwrażliwości. | Ból (szczególnie na słodkie, zimne, gorące), nadwrażliwość, widoczne ubytki. |
| Usuwanie | Profesjonalne czyszczenie (piaskowanie, polerowanie). | Profesjonalny skaling (ultradźwięki, narzędzia ręczne). | Wypełnienie ubytku przez stomatologa. |
Osad najczęściej pojawia się przy linii dziąseł, ponieważ jest to obszar szczególnie narażony na gromadzenie się resztek pokarmowych i płytki bakteryjnej. Niewystarczające szczotkowanie lub trudności w dotarciu do tych miejsc sprawiają, że barwniki z pożywienia i działanie bakterii łatwiej tworzą trwałe przebarwienia.

Najczęstsze przyczyny ciemnego osadu na zębach
Ciemny osad na zębach to problem, który może dotknąć każdego, niezależnie od wieku czy poziomu higieny. Jego powstawanie jest zazwyczaj wynikiem złożonych procesów. Oto najczęstsze przyczyny, które obserwuję w mojej praktyce:
- Chromogenne bakterie: To jedna z głównych przyczyn, zwłaszcza w przypadku ciemnych linii osadu. Niektóre szczepy bakterii obecnych w jamie ustnej, zwane chromogennymi, mają zdolność do produkcji barwników, które osadzają się na powierzchni zębów.
- Reakcje związków żelaza: Ciemny osad może również powstawać w wyniku reakcji chemicznych między związkami żelaza (pochodzącymi z diety, wody lub suplementów) a produktami przemiany materii bakterii obecnych w jamie ustnej.
- Barwiące produkty spożywcze i używki: To chyba najbardziej oczywista przyczyna. Regularne spożywanie kawy, herbaty (szczególnie czarnej), czerwonego wina, ciemnych soków owocowych czy jagód, a także palenie tytoniu, znacząco przyczynia się do powstawania zewnętrznych przebarwień. Barwniki zawarte w tych produktach osadzają się na szkliwie, tworząc ciemny nalot.
- Niektóre substancje medyczne: Pewne leki i preparaty mogą również powodować przebarwienia. Przykładem jest chlorheksydyna, często stosowana w płukankach do ust o działaniu antybakteryjnym. Długotrwałe stosowanie chlorheksydyny może prowadzić do ciemnobrązowych przebarwień. Podobnie, suplementy żelaza mogą przyczyniać się do powstawania ciemnego osadu.
Co ciekawe, ciemny osad bywa częstszy i bardziej uporczywy u dzieci. W części badań opisuje się go jako zmiany łagodne, które nie uszkadzają zęba, ale nadal wymagają oceny stomatologicznej. Z moich obserwacji wynika, że osad może pojawić się nawet u osób z dobrą higieną jamy ustnej i ma tendencję do nawrotów, co bywa frustrujące. Według badań z lat 2024-2025 obraz kliniczny jest wieloczynnikowy i nie ma jednej, całkowicie pewnej przyczyny, co podkreśla złożoność problemu.
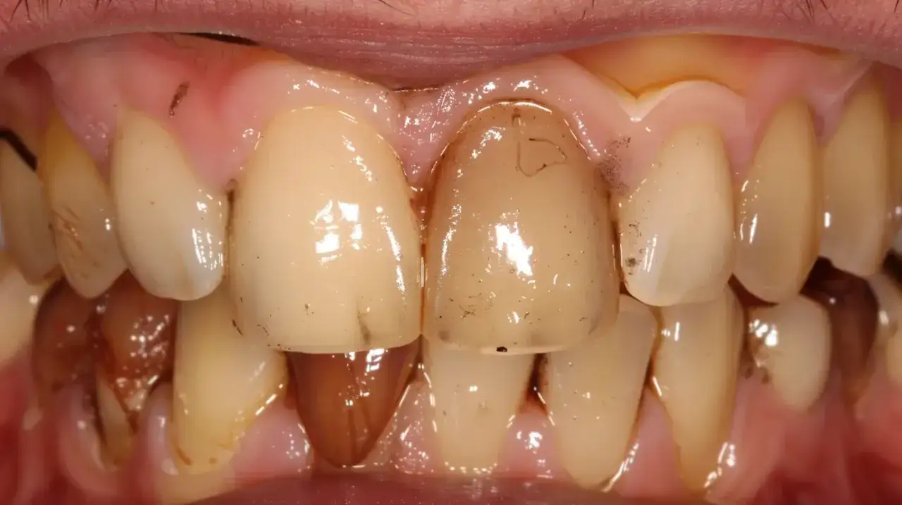
Czy ciemny osad na zębach jest groźny
W większości przypadków ciemny osad na zębach jest przede wszystkim problemem estetycznym. Nie wpływa on bezpośrednio na zdrowie zęba ani dziąseł, a jego obecność nie oznacza automatycznie próchnicy czy poważnej choroby. Jednakże, nie należy go bagatelizować, ponieważ może on maskować inne, groźniejsze schorzenia lub być wczesnym sygnałem, że coś jest nie tak z higieną jamy ustnej.
Kiedy zatem ciemny osad przestaje być tylko kwestią estetyki i staje się sygnałem alarmowym? Oto objawy, które powinny skłonić do pilnej wizyty u dentysty:
- Pojedyncza, ciemna plama, która nie jest tylko nalotem, ale wydaje się być częścią struktury zęba lub ubytkiem.
- Ból zęba, zwłaszcza podczas jedzenia, picia lub nagryzania.
- Nadwrażliwość na zimno, ciepło lub słodkie pokarmy, która wcześniej nie występowała.
- Widoczna dziura w zębie, nawet niewielka, która może wskazywać na zaawansowaną próchnicę.
- Kruszenie się szkliwa lub widoczne pęknięcia zęba.
- Krwawienie dziąseł podczas szczotkowania lub nitkowania, obrzęk lub zaczerwienienie dziąseł, co może świadczyć o zapaleniu dziąseł, często towarzyszącym kamieniowi nazębnemu.

Jak stomatolog usuwa ciemny osad
Gdy ciemny osad staje się problemem estetycznym lub higienicznym, najlepszym i najbezpieczniejszym rozwiązaniem jest profesjonalne usunięcie go w gabinecie stomatologicznym. Stomatolog lub higienistka stomatologiczna dysponują odpowiednimi narzędziami i wiedzą, aby skutecznie i bezinwazyjnie oczyścić zęby.
Proces profesjonalnego usuwania osadu zazwyczaj obejmuje kilka etapów:
- Skaling: Jest to zabieg polegający na usunięciu kamienia nazębnego, zarówno tego widocznego (naddziąsłowego), jak i ukrytego pod dziąsłami (poddziąsłowego). Kamień nazębny często towarzyszy osadowi i stanowi idealne podłoże dla jego gromadzenia się. Skaling wykonuje się za pomocą ultradźwięków, które rozbijają twarde złogi, lub narzędzi ręcznych.
- Piaskowanie: To kluczowy etap w usuwaniu ciemnego osadu i przebarwień. Polega na delikatnym usuwaniu nalotu za pomocą strumienia wody, powietrza i drobnego proszku (najczęściej wodorowęglanu sodu lub glicyny). Piaskowanie jest bardzo skuteczne w dotarciu do trudno dostępnych miejsc i usunięciu nawet uporczywych przebarwień, pozostawiając zęby gładkie i czyste.
- Polerowanie zębów: Po skalingu i piaskowaniu powierzchnie zębów są polerowane specjalnymi pastami i szczoteczkami lub gumkami. Polerowanie ma na celu wygładzenie szkliwa, co znacznie utrudnia ponowne osadzanie się płytki bakteryjnej i barwników. Gładka powierzchnia zęba jest mniej podatna na przyleganie osadu.
Chciałbym zdecydowanie odradzić wszelkie próby samodzielnego zdrapywania osadu w domu. Używanie ostrych przedmiotów, takich jak igły czy wykałaczki, może prowadzić do poważnego uszkodzenia szkliwa, skaleczenia dziąseł, a nawet infekcji. Takie działania mogą przynieść więcej szkody niż pożytku i tylko pogorszyć sytuację.
Jak zapobiegać nawrotom ciemnego osadu
Po profesjonalnym usunięciu osadu w gabinecie stomatologicznym, kluczowe jest wdrożenie odpowiednich nawyków, aby zapobiec jego szybkim nawrotom. Profilaktyka domowa odgrywa tutaj ogromną rolę. Oto zasady, które pomogą Ci utrzymać zęby czyste i wolne od przebarwień:
- Skuteczne szczotkowanie: To podstawa. Zęby należy szczotkować minimum dwa razy dziennie, przez co najmniej dwie minuty. Ważna jest technika – najlepiej używać szczoteczki sonicznej lub elektrycznej, która efektywniej usuwa płytkę nazębną. Jeśli używasz szczoteczki manualnej, upewnij się, że opanowałeś prawidłową technikę (np. ruchy wymiatające od dziąsła do korony zęba).
- Czyszczenie przestrzeni międzyzębowych: Sama szczoteczka nie dotrze do wszystkich zakamarków. Codzienne użycie nici dentystycznych, szczoteczek międzyzębowych lub irygatora jest niezbędne do usunięcia resztek pokarmowych i płytki bakteryjnej z przestrzeni między zębami, gdzie osad często się gromadzi.
- Nawyki po spożyciu barwiących napojów i pokarmów: Po wypiciu kawy, herbaty, czerwonego wina czy zjedzeniu barwiących produktów, warto przepłukać usta czystą wodą. Jeśli masz możliwość, umyj zęby po około 30 minutach (nie od razu, aby nie ścierać zmiękczonego przez kwasy szkliwa).
- Ograniczenie ryzyka przy stosowaniu płukanek i preparatów z żelazem: Jeśli stosujesz płukanki z chlorheksydyną, używaj ich tylko przez zalecany czas. W przypadku konieczności suplementacji żelaza, skonsultuj się z lekarzem lub dentystą w celu doboru alternatywnej formy preparatu lub wskazówek dotyczących minimalizowania przebarwień.
- Regularna higienizacja i kontrola stomatologiczna: Nawet przy najlepszej higienie domowej, profesjonalne czyszczenie zębów jest niezbędne. Zalecam wizyty u dentysty i higienistki stomatologicznej co 6-12 miesięcy, w zależności od indywidualnych potrzeb i tendencji do gromadzenia się osadu czy kamienia. To pozwoli na bieżąco usuwać wszelkie naloty i kontrolować stan zdrowia jamy ustnej.
Ciemny osad na zębach u dziecka
Ciemny osad na zębach u dzieci to dość częsty widok, który często budzi niepokój rodziców. Jak już wspomniałem, bywa on częstszy niż u dorosłych i w wielu przypadkach jest uznawany za łagodną zmianę, która nie uszkadza zęba. Niemniej jednak, zawsze wymaga oceny stomatologicznej, aby upewnić się, że nie maskuje poważniejszych problemów.
W większości sytuacji, gdy ciemny osad u dziecka jest jedynie przebarwieniem, wystarczy profesjonalne oczyszczenie w gabinecie. Dzieciom również wykonuje się piaskowanie (z użyciem delikatniejszych proszków, np. glicyny) oraz polerowanie, aby usunąć nalot i wygładzić powierzchnię zębów. Zabieg jest zazwyczaj szybki i bezbolesny, a jego efekty natychmiastowe.
Kluczowe jest jednak odróżnienie ciemnego osadu od próchnicy na zębach mlecznych. Próchnica u dzieci może rozwijać się bardzo szybko i często ma inną lokalizację – na przykład na powierzchniach żujących (w bruzdach) lub na powierzchniach stycznych między zębami. Ciemny osad zazwyczaj tworzy linie wzdłuż dziąseł lub punktowe przebarwienia. Próchnica natomiast prowadzi do widocznych ubytków, zmiękczenia tkanki zęba, a w późniejszych etapach do bólu i infekcji.
Rodzic powinien umówić dziecko na pilną konsultację stomatologiczną, jeśli zauważy:
- Ból zęba, zwłaszcza podczas jedzenia lub picia.
- Widoczny ubytek lub dziurę w zębie.
- Kruszenie się zęba lub jego części.
- Obrzęk dziąsła w okolicy ciemnego nalotu.
- Zmiany koloru zęba (np. szare, brązowe plamy, które nie dają się usunąć szczoteczką).
Regularne wizyty kontrolne u stomatologa dziecięcego są najlepszym sposobem na monitorowanie zdrowia jamy ustnej malucha i szybkie reagowanie na wszelkie niepokojące zmiany.
Domowe sposoby na ciemny osad na zębach: co działa, a czego unikać
W poszukiwaniu sposobów na usunięcie ciemnego osadu, wiele osób zwraca się ku domowym metodom. Ważne jest, aby rozróżnić te, które mogą być pomocne w profilaktyce i ograniczeniu przebarwień, od tych, które są nie tylko nieskuteczne, ale wręcz szkodliwe dla szkliwa i dziąseł.
Co może pomóc w ograniczeniu przebarwień
- Regularna i dokładna higiena jamy ustnej: To podstawa. Skuteczne szczotkowanie zębów dwa razy dziennie, używanie nici dentystycznych i szczoteczek międzyzębowych to najlepsza profilaktyka. Usuwając płytkę nazębną na bieżąco, ograniczamy miejsca, w których barwniki mogą się osadzać.
- Płukanie ust wodą po kawie, herbacie i innych barwiących produktach: Prosty, ale skuteczny nawyk. Płukanie ust czystą wodą po spożyciu kawy, herbaty, czerwonego wina czy ciemnych soków pomaga zmyć część barwników, zanim zdążą wniknąć w szkliwo.
- Użycie past z delikatnymi substancjami ściernymi: Niektóre pasty do zębów zawierają łagodne substancje ścierne, które mogą wspomagać usuwanie powierzchownych przebarwień. Ważne, aby były to pasty z niskim współczynnikiem RDA (Relative Dentin Abrasivity), co oznacza, że są delikatne dla szkliwa. Unikaj past "wybielających", które często są zbyt agresywne i mogą powodować mikrouszkodzenia szkliwa.
Przeczytaj również: Żucie gumy dla zębów - kiedy pomaga, a kiedy szkodzi?
Czego nie robić, żeby nie uszkodzić szkliwa i dziąseł
Istnieje wiele "domowych sposobów", które krążą w internecie, a które mogą przynieść więcej szkody niż pożytku. Zdecydowanie odradzam ich stosowanie:
- Szorowanie zębów sodą oczyszczoną, cytryną czy octem: Te substancje są silnie ścierne lub kwasowe. Regularne stosowanie sody może prowadzić do erozji szkliwa i nadwrażliwości, a kwasy z cytryny czy octu dosłownie rozpuszczają szkliwo, osłabiając zęby i czyniąc je bardziej podatnymi na próchnicę.
- Używanie zbyt twardych szczoteczek lub agresywnego szczotkowania: Agresywne szczotkowanie nie usunie osadu, ale może uszkodzić dziąsła (powodując recesje) i ścierać szkliwo, prowadząc do nadwrażliwości i nieestetycznych ubytków klinowych.
- Próby zdrapywania osadu ostrymi przedmiotami: Jak już wspominałem, jest to niezwykle niebezpieczne. Można łatwo skaleczyć dziąsła, uszkodzić szkliwo, a nawet złamać ząb. Takie działania mogą również wprowadzić bakterie do tkanek, prowadząc do infekcji.
Pamiętaj, że w przypadku ciemnego osadu, szczególnie tego uporczywego, najlepiej zaufać profesjonalistom. Domowe metody mogą wspomóc higienę, ale nie zastąpią wizyty u dentysty.
Najczęstsze pytania o ciemny osad na zębach
Wielu moich pacjentów ma podobne pytania dotyczące ciemnego osadu. Postaram się na nie krótko i zwięźle odpowiedzieć, aby rozwiać wszelkie wątpliwości.
Czy ciemny osad zawsze oznacza brudne zęby?
Nie, absolutnie nie. Jak już wspomniałem, ciemny osad może pojawić się nawet przy bardzo dobrej higienie jamy ustnej. Jest to często kwestia indywidualnych predyspozycji, składu śliny, obecności chromogennych bakterii czy diety. Badania z lat 2024-2025 również potwierdzają, że przyczyny są wieloczynnikowe, a sama higiena, choć kluczowa, nie zawsze jest jedynym czynnikiem.
Czy można go usunąć samą pastą wybielającą?
Pasty wybielające, szczególnie te z delikatnymi substancjami ściernymi, mogą pomóc w przypadku bardzo powierzchownych i świeżych przebarwień. Jednakże, nie są w stanie usunąć uporczywego, starego osadu ani, co ważniejsze, kamienia nazębnego. Do tego niezbędna jest profesjonalna higienizacja w gabinecie stomatologicznym.
Czy po usunięciu osad wraca?
Niestety, tak. Jeśli przyczyna jego powstawania – czy to nawyki żywieniowe, predyspozycje bakteryjne, czy stosowanie określonych leków – nie zostanie wyeliminowana lub ograniczona, osad ma tendencję do nawrotów. Dlatego tak ważna jest konsekwentna profilaktyka domowa i regularne wizyty u higienistki stomatologicznej.
Czy wybielanie rozwiązuje problem?
Wybielanie zębów to zabieg, który zmienia naturalny kolor szkliwa, rozjaśniając go. Nie usuwa ono jednak osadu ani kamienia nazębnego. Co więcej, aby wybielanie było skuteczne i bezpieczne, zęby muszą być najpierw dokładnie oczyszczone z wszelkich nalotów i kamienia. Zatem najpierw należy usunąć osad, a dopiero potem, jeśli nadal zależy nam na jaśniejszym uśmiechu, rozważyć profesjonalne wybielanie.
