Ząbkowanie - czy to tylko zęby, czy coś więcej?
Emil Bąk - Strona 4
Autor Kajetan Michalak - najnowsze wpisy
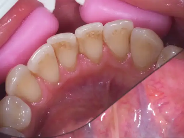
Płytka nazębna - Co to jest, jak usunąć i zapobiegać?
Zęby niemowlaka - Kiedy ząbkują? Jak dbać i łagodzić ból?
Ropień zęba - Czy to groźne? Objawy, leczenie, pilna pomoc
Autor Leonard Ziółkowski - najnowsze wpisy
Ząbkowanie u 3-miesięcznego dziecka - objawy, normy, alarmy
Ropne zapalenie dziąseł - objawy i kiedy pilnie do dentysty?
Publikacje autora
Czarne zęby u dziecka - Osad czy próchnica? Kiedy do dentysty?
Czarne zęby u dziecka - czy to próchnica, osad czy coś innego? Poznaj przyczyny, objawy alarmowe i dowiedz się, kiedy pilnie iść do dentysty. Sprawdź, jak dbać o uśmiech dziecka.
Przebicie ropnia zęba - ulga to pułapka? Co robić i kiedy do dentysty
Przebicie ropnia zęba to ulga, która myli. Dowiedz się, co robić natychmiast, kiedy szukać pilnej pomocy i jak uniknąć poważnych powikłań.
Pierwszy ząbek po roku - Kiedy do dentysty, a kiedy spokojnie czekać?
Późny pierwszy ząbek? Sprawdź, kiedy brak zębów to norma, a kiedy sygnał do wizyty u stomatologa. Uspokój się i dowiedz, co robić.
Odsłonięte szyjki zębowe - plomba czy przeszczep? Poznaj opcje
Odsłonięte szyjki zębowe - dowiedz się, kiedy wystarczy wypełnienie, a kiedy potrzebny jest periodontolog. Poznaj przyczyny i skuteczne leczenie.
Zęby trzonowe u dzieci - mleczne wypadają, stałe zostają?
Czy zęby trzonowe u dzieci wypadają? Dowiedz się, które mleczne trzonowce wypadają naturalnie, a które stałe zostają. Kiedy do dentysty? Sprawdź nasz poradnik!
Jak bezpiecznie usunąć kamień ze szczoteczki elektrycznej?
Usuń kamień ze szczoteczki elektrycznej bezpiecznie! Poznaj metody czyszczenia końcówki i uchwytu, unikaj błędów i zapobiegaj osadzaniu. Sprawdź nasz poradnik!
Fluor w paście - czy to fluorek sodu? Bezpieczeństwo i działanie
Czy fluorek sodu to fluor? Rozwiej wątpliwości! Dowiedz się, jak działa w paście, czy jest bezpieczny i jak go rozpoznać na etykiecie. Sprawdź!
Szałwia na ból zęba - doraźna ulga, kiedy pilnie do dentysty?
Szałwia na ból zęba - czy to działa? Poznaj bezpieczne sposoby na doraźną ulgę i sygnały, kiedy pilnie iść do dentysty. Sprawdź!
Opuchnięte dziąsła - kiedy do dentysty? Przyczyny i pomoc
Opuchnięte dziąsła? Dowiedz się, co wywołuje obrzęk, jak złagodzić ból i kiedy stan zapalny wymaga wizyty u dentysty. Poznaj rzetelne porady ekspertów!
Skaling zębów - efekty przed i po, czy zęby będą bielsze?
Skaling zębów - poznaj realne efekty przed i po. Czy boli? Czy zęby będą jaśniejsze? Sprawdź, jak dbać o uśmiech i kiedy go wykonać.