Ząbkowanie - czy to tylko zęby, czy coś więcej?
Emil Bąk - Strona 3
Autor Kajetan Michalak - najnowsze wpisy
Płytka nazębna - Co to jest, jak usunąć i zapobiegać?
Zęby niemowlaka - Kiedy ząbkują? Jak dbać i łagodzić ból?
Ropień zęba - Czy to groźne? Objawy, leczenie, pilna pomoc
Autor Leonard Ziółkowski - najnowsze wpisy
Ząbkowanie u 3-miesięcznego dziecka - objawy, normy, alarmy
Ropne zapalenie dziąseł - objawy i kiedy pilnie do dentysty?
Publikacje autora
Gorączka przy ząbkowaniu - Kiedy to już nie ząbkowanie?
Gorączka przy ząbkowaniu - jaka temperatura jest normą, a kiedy to infekcja? Sprawdź, jak odróżnić objawy i bezpiecznie ulżyć dziecku.
Pulsujący ból zęba martwego - dlaczego boli i jak sobie radzić?
Pulsujący ból zęba martwego to sygnał infekcji. Dowiedz się, dlaczego martwy ząb boli, jak rozpoznać ropień i przynieść sobie ulgę. Sprawdź wskazówki!
Ból policzka u dziecka - afta, uraz, infekcja? Kiedy do lekarza
Ból policzka u dziecka - afta, uraz, infekcja? Poznaj objawy, domowe sposoby i kluczowe sygnały do wizyty u lekarza. Działaj świadomie.
Płyn do irygatora - woda czy płukanka? Bezpieczna higiena
Płyn do irygatora - woda czy płukanka? Poznaj zasady bezpiecznego stosowania, co wlać, a czego unikać, by nie uszkodzić urządzenia.
Ropień zęba z opuchlizną policzka - Co robić? Pilna pomoc!
Masz ropień zęba z opuchlizną policzka? Dowiedz się, kiedy potrzebna jest pilna pomoc, jakie są objawy i skuteczne leczenie. Nie zwlekaj!
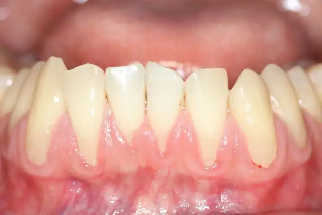
Ból zębów? Odsłonięte szyjki zębowe - Co robić i jak leczyć
Odsłonięte szyjki zębowe - przyczyny, objawy i skuteczne leczenie. Sprawdź, jak zmniejszyć ból i zatrzymać recesję dziąseł.
Nadwrażliwość dziąseł - objaw czy choroba? Przyczyny i leczenie
Nadwrażliwość dziąseł to sygnał. Poznaj przyczyny, objawy i skuteczne metody leczenia w domu i u dentysty. Sprawdź, jak dbać o zdrowe dziąsła!
Bolesne afty? Szybka ulga, leczenie i jak zapobiegać nawrotom
Masz afty? Dowiedz się, jak szybko złagodzić ból, przyspieszyć gojenie i zapobiegać nawrotom. Sprawdź skuteczne preparaty i porady.
Tabletki na ból zęba - ulga i kiedy pilnie do dentysty
Jakie tabletki na ból zęba wybrać? Dowiedz się, jak bezpiecznie stosować ibuprofen i paracetamol, by szybko uśmierzyć ból. Sprawdź porady na Szwedental!
Niemyte zęby u dzieci - Problem od 1. zęba? Skutki i porady
Niemyte zęby u dzieci to poważny problem. Poznaj skutki, objawy próchnicy i praktyczne porady, jak dbać o higienę jamy ustnej od 1. zęba. Sprawdź, jak zapobiegać!