Leonard Ziółkowski - Strona 2
Autor Emil Bąk - najnowsze wpisy
Dziecko nie myje zębów – jak to zmienić bez codziennych walk?
Ból dziąseł - podrażnienie czy choroba? Rozpoznaj i działaj!
Szczoteczka soniczna - obroty czy ruchy? Rozwiewamy wątpliwości
Autor Kajetan Michalak - najnowsze wpisy
Ząbkowanie - czy to tylko zęby, czy coś więcej?
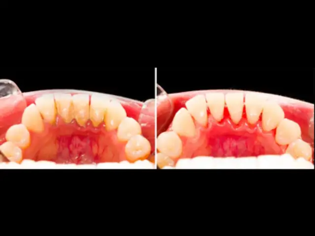
Płytka nazębna - Co to jest, jak usunąć i zapobiegać?
Zęby niemowlaka - Kiedy ząbkują? Jak dbać i łagodzić ból?
Ropień zęba - Czy to groźne? Objawy, leczenie, pilna pomoc
Publikacje autora
Czy kamień nazębny sam odpada? Prawda i co robić dalej
Kamień nazębny sam nie odpada – to mit. Dowiedz się, dlaczego jego fragmenty odpadają, co to oznacza dla dziąseł i jak skutecznie usunąć kamień.
Aftoza jamy ustnej - objawy, leczenie i kiedy do lekarza?
Aftoza jamy ustnej - kompleksowy przewodnik. Poznaj objawy, przyczyny, skuteczne leczenie domowe i gabinetowe. Dowiedz się, kiedy szukać pomocy.
Dziedziczenie paradontozy - Geny czy nawyki? Poznaj prawdę
Czy paradontoza jest dziedziczna? Dowiedz się, jak geny wpływają na ryzyko i co zrobić, by uniknąć problemów z dziąsłami. Sprawdź fakty i zadbaj o uśmiech!
Afty - rozpoznanie - leczenie - zapobieganie nawrotom - koniec z bólem?
Aftowe zapalenie jamy ustnej - kompleksowy przewodnik. Rozpoznaj afty, poznaj przyczyny, skuteczne leczenie i sposoby zapobiegania nawrotom. Kiedy do lekarza?
Bostonka u dzieci - bolesne usta? Jak rozpoznać i leczyć?
Bostonka u dzieci - bolesne zmiany w ustach? Dowiedz się, jak rozpoznać objawy, odróżnić od aft i opryszczki oraz bezpiecznie łagodzić dolegliwości w domu.
Dolne jedynki - ząbkowanie. Objawy, ulga, kiedy do lekarza?
Pierwsze ząbki - dolne jedynki. Rozpoznaj objawy ząbkowania, bezpiecznie ulżyj dziecku i wiedz, kiedy iść do lekarza. Przeczytaj!
Kamień nazębny - usuniesz w domu? Fakty i profilaktyka
Kamień nazębny - czy usuniesz go w domu? Poznaj fakty o usuwaniu kamienia, profesjonalne metody i skuteczną profilaktykę. Sprawdź, jak dbać o zęby!
Kieszonki dziąsłowe - czy leczenie jest konieczne? Dowiedz się
Kieszonki dziąsłowe - kompleksowy przewodnik. Zrozum przyczyny, objawy i leczenie. Dowiedz się, kiedy zabieg jest potrzebny i co Cię czeka.
Afty - Przyczyny, leczenie i kiedy do lekarza?
Afty - poznaj przyczyny, czynniki wyzwalające i dowiedz się, kiedy szukać pomocy. Odróżnij je od opryszczki i znajdź sposoby na ból i nawroty.
Pieczenie dziąseł - objaw, którego nie ignoruj. Kiedy do dentysty?
Pieczenie dziąseł - poznaj przyczyny, objawy alarmowe i sposoby łagodzenia. Dowiedz się, kiedy wizyta u dentysty jest niezbędna. Sprawdź!